Hamburger Menu Button
Thermo Fisher Scientific Logo
登录
没有账号?建立账号 注册
  • 产品
    • 抗体
    • 引物合成
    • GeneArt Gene Synthesis Instant Designer
    • TaqMan Assay and Array Search
    • PCR 设备和耗材
    • 色谱柱和纯化柱
    • 实验室离心机
    • 分子生物学试剂和试剂盒
    • 实验室塑料耗材及用品
    • 查看所有产品分类
  • 应用和技术
    • 色谱
    • 细胞转染和培养
    • 实时荧光定量PCR
    • 质谱
    • 实验室塑料耗材及用品
    • 电子显微镜
    • 蛋白质生物学
    • PCR
    • RNAi
    • 环境
    • 查看所有应用和技术
  • 服务
    • 定制服务
    • 企业级实验室信息化服务
    • 金融&租赁服务
    • 仪器服务
    • OEM和商业供应
    • 培训服务
    • 360° CDMO 和 CRO 服务
    • CDMO 服务
    • 临床试验 CRO 服务
    • Unity Lab Services
    • 查看所有帮助和支持
  • 帮助和支持
    • 学习中心
    • 联系我们
    • 更改国家或地区
    • 查看所有帮助和支持
  • 热门产品
    • TaqMan Real-Time PCR Assays
      TaqMan 实时荧光定量 PCR 试剂盒
    • Antibodies
      抗体
    • Oligos, Primers & Probes
      寡核苷酸、引物、探针
    • GeneArt Gene Synthesis
      GeneArt 基因合成
    • Cell Culture Plastics
      细胞培养耗材
  • Who We Serve
    • 抗体治疗解决方案
    • 细胞与基因治疗解决方案
    • 学术科研
    • 工业与应用
  • 联系我们
  • 货号直购
  • 订单查询
  • 查找文件&证书
Thermo Fisher Scientific Logo

Search

搜索全部或下列指定分类
Search button
          • 联系我们
          • 货号直购
          • 登录
            登录
            没有账号?建立账号 注册
            • 我的账号
            • 订单
            • 会员中心
            • 账单及发票查询
            • 定制产品及项目
          • Primary Antibodies ›
          • RACK1 Antibodies

          Proteintech

          RACK1/GNB2L1 Polyclonal Antibody

          7 篇参考文献
          查看其他15个RACK1抗体

          {{$productOrderCtrl.translations['antibody.pdp.commerceCard.promotion.promotions']}}

          {{$productOrderCtrl.translations['antibody.pdp.commerceCard.promotion.viewpromo']}}

          {{$productOrderCtrl.translations['antibody.pdp.commerceCard.promotion.promocode']}}: {{promo.promoCode}} {{promo.promoTitle}} {{promo.promoDescription}}. {{$productOrderCtrl.translations['antibody.pdp.commerceCard.promotion.learnmore']}}

          说明书
          证书
          实验方案
          问题与答案
          技术支持
          说明书
          证书
          实验方案
          问题与答案
          技术支持
          说明书
          证书
          实验方案
          问题与答案
          技术支持

          Cite RACK1/GNB2L1 Polyclonal Antibody

          Additional Information:
          {{banner.description}}
          {{$ctrl.isSkuNotesCollapsed ? 'View more' : 'View less'}}
          • 抗体检测数据 (4)
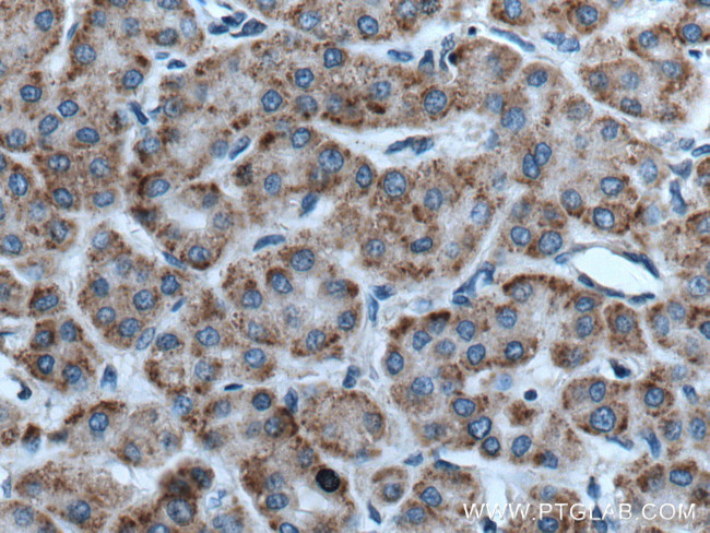
          RACK1/GNB2L1 Antibody in Immunohistochemistry (Paraffin) (IHC (P))
          Group 53 Created with Sketch.
          RACK1/GNB2L1 Antibody in Immunohistochemistry (Paraffin) (IHC (P))
          Group 53 Created with Sketch.

          图: 1 / 4

          {{ $ctrl.currentElement.advancedVerification.fullName }}
          {{ $ctrl.currentElement.advancedVerification.text }}

          RACK1/GNB2L1 Antibody (27592-1-AP) in IHC (P)

          Immunohistochemistry of paraffin-embedded human liver cancer tissue slide using 27592-1-AP (RACK1; GNB2L1 antibody) at dilution of 1:800 (under 40x lens) heat mediated antigen retrieved with Tris-EDTA buffer (pH 9). {{ $ctrl.currentElement.advancedVerification.fullName }} 验证信息 View more
          已发表图片由___提供 benchsci-logo
          PMID: {{$ctrl.currentElement.benchSciPubmedId}}
          查看产品

          {{$ctrl.videoDesc}}

          {{$ctrl.videoLongDesc}}

          RACK1/GNB2L1 Antibody in Immunohistochemistry (Paraffin) (IHC (P))
          RACK1/GNB2L1 Antibody in Immunohistochemistry (Paraffin) (IHC (P))
          RACK1/GNB2L1 Antibody in Western Blot (WB)
          RACK1/GNB2L1 Antibody in Western Blot (WB)
          RACK1/GNB2L1 Polyclonal Antibody

          产品信息

          27592-1-AP

          应用
          建议稀释比
          已发表文章

          免疫印迹 (WB)

          1:500-1:3,000
          查看6篇已发表文章 6篇已发表文章

          免疫组化(石蜡) (IHC (P))

          1:400-1:1,600
          -

          免疫沉淀 (IP)

          -
          查看1篇已发表文章 1篇已发表文章
          产品规格

          种属反应

          Human, Mouse, Rat

          宿主/亚型

          Rabbit / IgG

          分类

          Polyclonal

          类型

          Antibody

          抗原

          RACK1; GNB2L1 Fusion Protein Ag26708 (131-317 aa encoded by BC019093)
          3D表位/免疫原

          偶联物

          Unconjugated Unconjugated Unconjugated

          形式

          Liquid

          浓度

          0.23 mg/mL

          规格

          34.5 µg

          纯化类型

          Antigen affinity chromatography

          保存液

          PBS, pH 7.3, with 50% glycerol

          内含物

          0.02% sodium azide

          保存条件

          -20°C

          运输条件

          Wet ice (domestic); Dry ice (international)

          产品详细信息

          Immunogen sequence: LWNTLGVCK YTVQDESHSE WVSCVRFSPN SSNPIIVSCG WDKLVKVWNL ANCKLKTNHI GHTGYLNTVT VSPDGSLCAS GGKDGQAMLW DLNEGKHLYT LDGGDIINAL CFSPNRYWLC AATGPSIKIW DLEGKIIVDE LKQEVISTSS KAEPPQCTSL AWSADGQTLF AGYTDNLVRV WQVTIGTR (131-317 aa encoded by BC019093)

          靶标信息

          RACK1 (receptor for activated C kinase 1) was identified through its binding to various PKC isoforms. Its main function is to recruit PKC and various other proteins to specific locations to form multiprotein complexes, mediating various signal pathways. RACK1 is required for VANGL2 membrane localization and for PTK2/FAK1 phosphorylation and dephosphorylation.

          仅用于科研。不用于诊断过程。未经明确授权不得转售。

          生物信息学

          蛋白别名: 12-3; activated protein kinase C receptor; Cell proliferation-inducing gene 21 protein; GNB2L1; guanine nucleotide binding protein (G protein) beta polypeptide 2-like 1; guanine nucleotide binding protein (G protein), beta polypeptide 2 like 1 sequence 1; guanine nucleotide binding protein (G protein), beta polypeptide 2-like 1; guanine nucleotide binding protein beta polypeptide 2-like 1; guanine nucleotide binding protein related; guanine nucleotide binding protein, beta 2, related sequence 1; guanine nucleotide binding protein, beta polypeptide 2-like 1; guanine nucleotide binding protein, beta-2, related sequence 1; Guanine nucleotide-binding protein subunit beta-2-like 1; Guanine nucleotide-binding protein subunit beta-like protein 12.3; HLC-7; Human lung cancer oncogene 7 protein; lung cancer oncogene 7; OTTHUMP00000223870; OTTHUMP00000223891; OTTHUMP00000223893; OTTHUMP00000223900; OTTHUMP00000223901; OTTHUMP00000223902; OTTHUMP00000223930; OTTHUMP00000223931; p205; PIG21; proliferation-inducing gene 21; protein homologous to chicken B complex protein, guanine nucleotide binding; protein kinase C receptor; rack-1; Receptor for activated C kinase; Receptor for activated C kinase 1; receptor for activated protein kinase C; Receptor of activated protein C kinase 1; Receptor of activated protein kinase C 1; Small ribosomal subunit protein RACK1; unnamed protein product

          查看更多 收起

          基因别名: AL033335; GB-like; Gnb2-rs1; GNB2L1; H12.3; HLC-7; HLC7; p205; PIG21; RACK1

          查看更多 收起

          UniProt ID: (Rat) P63245, (Mouse) P68040, (Human) P63244

          查看更多 收起

          Entrez Gene ID: (Rat) 83427, (Mouse) 14694, (Human) 10399

          查看更多 收起

          功能
          protein kinase C binding ion channel inhibitor activity cysteine-type endopeptidase activator activity involved in apoptotic process enzyme binding protein phosphatase binding protein tyrosine kinase inhibitor activity receptor tyrosine kinase binding SH2 domain binding protein homodimerization activity poly(A) RNA binding receptor activity protein binding signaling adaptor activity RNA binding receptor binding enzyme activator activity protein serine/threonine kinase inhibitor activity cyclin binding identical protein binding ribosome binding translation regulator activity cadherin binding BH3 domain binding binding, bridging
          参与通路
          osteoblast differentiation positive regulation of protein phosphorylation activation of cysteine-type endopeptidase activity involved in apoptotic process protein kinase C-activating G-protein coupled receptor signaling pathway gastrulation negative regulation of gene expression negative regulation of translation negative regulation of Wnt signaling pathway negative regulation of cell growth positive regulation of cell migration positive regulation of cAMP catabolic process positive regulation of proteasomal ubiquitin-dependent protein catabolic process positive regulation of protein homooligomerization regulation of protein localization positive regulation of apoptotic process positive regulation of GTPase activity rhythmic process negative regulation of phagocytosis regulation of cell division positive regulation of cyclic-nucleotide phosphodiesterase activity regulation of cell cycle negative regulation of protein kinase B signaling positive regulation of mitochondrial depolarization negative regulation of protein tyrosine kinase activity regulation of establishment of protein localization to plasma membrane negative regulation of hydrogen peroxide-induced neuron death regulation of establishment of cell polarity positive regulation of gastrulation positive regulation of intrinsic apoptotic signaling pathway regulation of translation apoptotic process cell cycle multicellular organism development protein localization negative regulation of peptidyl-serine phosphorylation intracellular signal transduction regulation of growth cellular response to glucose stimulus cytoplasmic translation translation protein ubiquitination positive regulation of protein complex assembly negative regulation of protein binding positive regulation of Golgi to plasma membrane protein transport pigmentation negative regulation of smoothened signaling pathway cellular response to growth factor stimulus rescue of stalled ribosome regulation of adenylate cyclase-activating G protein-coupled receptor signaling pathway negative regulation of endoplasmic reticulum unfolded protein response negative regulation of intrinsic apoptotic signaling pathway in response to hydrogen peroxide negative regulation of translational frameshifting
          It has to be done as per old AB suggested Products section.

          Disclaimer

          Close

          Clicking the images or links will redirect you to a website hosted by BenchSci that provides third-party scientific content. Neither the content nor the BenchSci technology and processes for selection have been evaluated by us; we are providing them as-is and without warranty of any kind, including for use or application of the Thermo Fisher Scientific products presented.

          guarantee_icon

          性能保障

          只要您发现Invitrogen抗体在实验中的表现与网站或说明书的所述内容不符,您即可享受免费退换货服务。*

          了解更多
          help_icon

          随时为您服务

          获取常见问题的专家解答,或者直接联系我们的技术专家,咨询应用、设备、常规产品使用问题。

          联系技术支持
          订购 Plus Icon Minus Icon
          • 订单状态查询
          • 订单支持
          • 货号直购
          • 现货供应中心
          • 电子采购
          支持 Plus Icon Minus Icon
          • 帮助&支持
          • 联系我们 - 400 820 8982
          • 技术支持中心
          • 查找文件&证书
          • 报告网站问题
          资源 Plus Icon Minus Icon
          • 学习中心
          • 促销
          • 活动&研讨会
          • 社交媒体
          关于赛默飞 Plus Icon Minus Icon
          • 关于我们
          • 招聘 招聘
          • 投资者关系 投资者关系
          • 新闻 新闻
          • 社会责任 社会责任
          • 商标
          • 政策和通知
          品牌 Plus Icon Minus Icon
          • Thermo Scientific
          • Applied Biosystems
          • Invitrogen
          • Gibco
          • Ion Torrent
          • Unity Lab Services
          • Patheon
          • PPD
          • 服务条款
          • 隐私政策
          • 定价和运输保险政策
          © 2006-2026 Thermo Fisher Scientific Inc. All rights reserved. All trademarks are the property of Thermo Fisher Scientific and its subsidiaries unless otherwise specified.
          China flag icon
          China
          本网站销售的所有产品均不得用于人类或动物之临床诊断或治疗,仅可用于工业或者科研等非医疗目的。
             电子营业执照 | 经营证照公示 | ICP备案号:沪ICP备11003924号 | 沪公网安备 31011502006935号

          Your items have has been added!


          Host server : magellan-search-green-6479c7f679-mppzp:80/100.66.76.236:80.
          git-commit: b70c0dceb888abc3b0dcebb5bc3a5b8753e7e816
          git-url: https://github.com/thermofisher/magellan-search
          git-branch: release/2.50.0-Offline