Hamburger Menu Button
Thermo Fisher Scientific Logo
登录
没有账号?建立账号 注册
  • 产品
    • 抗体
    • 引物合成
    • GeneArt Gene Synthesis Instant Designer
    • TaqMan Assay and Array Search
    • PCR 设备和耗材
    • 色谱柱和纯化柱
    • 实验室离心机
    • 分子生物学试剂和试剂盒
    • 实验室塑料耗材及用品
    • 查看所有产品分类
  • 应用和技术
    • 色谱
    • 细胞转染和培养
    • 实时荧光定量PCR
    • 质谱
    • 实验室塑料耗材及用品
    • 电子显微镜
    • 蛋白质生物学
    • PCR
    • RNAi
    • 环境
    • 查看所有应用和技术
  • 服务
    • 定制服务
    • 企业级实验室信息化服务
    • 金融&租赁服务
    • 仪器服务
    • OEM和商业供应
    • 培训服务
    • 360° CDMO 和 CRO 服务
    • CDMO 服务
    • 临床试验 CRO 服务
    • Unity Lab Services
    • 查看所有帮助和支持
  • 帮助和支持
    • 学习中心
    • 联系我们
    • 更改国家或地区
    • 查看所有帮助和支持
  • 热门产品
    • TaqMan Real-Time PCR Assays
      TaqMan 实时荧光定量 PCR 试剂盒
    • Antibodies
      抗体
    • Oligos, Primers & Probes
      寡核苷酸、引物、探针
    • GeneArt Gene Synthesis
      GeneArt 基因合成
    • Cell Culture Plastics
      细胞培养耗材
  • Who We Serve
    • 抗体治疗解决方案
    • 细胞与基因治疗解决方案
    • 学术科研
    • 工业与应用
  • 联系我们
  • 货号直购
  • 订单查询
  • 查找文件&证书
Thermo Fisher Scientific Logo

Search

搜索全部或下列指定分类
Search button
          • 联系我们
          • 货号直购
          • 登录
            登录
            没有账号?建立账号 注册
            • 我的账号
            • 订单
            • 会员中心
            • 账单及发票查询
            • 定制产品及项目
          • Primary Antibodies ›
          • RAR gamma-2 Antibodies

          Invitrogen

          RAR gamma-2 Polyclonal Antibody

          {{$productOrderCtrl.translations['antibody.pdp.commerceCard.promotion.promotions']}}

          {{$productOrderCtrl.translations['antibody.pdp.commerceCard.promotion.viewpromo']}}

          {{$productOrderCtrl.translations['antibody.pdp.commerceCard.promotion.promocode']}}: {{promo.promoCode}} {{promo.promoTitle}} {{promo.promoDescription}}. {{$productOrderCtrl.translations['antibody.pdp.commerceCard.promotion.learnmore']}}

          说明书
          证书
          实验方案
          问题与答案
          技术支持
          说明书
          证书
          实验方案
          问题与答案
          技术支持
          说明书
          证书
          实验方案
          问题与答案
          技术支持

          Cite RAR gamma-2 Polyclonal Antibody

          Additional Information:
          {{banner.description}}
          {{$ctrl.isSkuNotesCollapsed ? 'View more' : 'View less'}}
          • 抗体检测数据 (3)
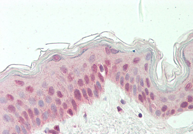
          RAR gamma-2 Antibody in Immunohistochemistry (Paraffin) (IHC (P))
          Group 53 Created with Sketch.
          RAR gamma-2 Antibody in Immunohistochemistry (Paraffin) (IHC (P))
          Group 53 Created with Sketch.

          图: 1 / 3

          {{ $ctrl.currentElement.advancedVerification.fullName }}
          {{ $ctrl.currentElement.advancedVerification.text }}

          RAR gamma-2 Antibody (PA5-107012) in IHC (P)

          Immunohistochemistry of RAR gamma-2 in formalin fixed paraffin embedded human skin using an RAR gamma-2 Polyclonal Antibody (Product # PA5-107012) diluted 1:100. {{ $ctrl.currentElement.advancedVerification.fullName }} 验证信息 View more
          已发表图片由___提供 benchsci-logo
          PMID: {{$ctrl.currentElement.benchSciPubmedId}}
          查看产品

          {{$ctrl.videoDesc}}

          {{$ctrl.videoLongDesc}}

          RAR gamma-2 Antibody in Immunohistochemistry (Paraffin) (IHC (P))
          RAR gamma-2 Antibody in Western Blot (WB)
          RAR gamma-2 Antibody in Western Blot (WB)

          产品信息

          PA5-107012

          应用
          建议稀释比
          已发表文章

          免疫印迹 (WB)

          0.2-1 µg/mL
          -

          免疫组化(石蜡) (IHC (P))

          1:100
          -
          产品规格

          种属反应

          Human, Mouse

          宿主/亚型

          Rabbit / IgG

          分类

          Polyclonal

          类型

          Antibody

          抗原

          Synthetic peptide directed towards the N terminal region of human RARG

          偶联物

          Unconjugated Unconjugated Unconjugated

          形式

          Liquid

          浓度

          0.5 mg/mL

          规格

          50 µg

          纯化类型

          Affinity Chromatography

          保存液

          PBS, pH 7.4, with 2% sucrose

          内含物

          0.09% sodium azide

          保存条件

          Store at 4°C short term. For long term storage, store at -20°C, avoiding freeze/thaw cycles.

          运输条件

          Ambient (domestic); Wet ice (international)

          RRID

          AB_2817728

          产品详细信息

          Sequence homology: Cow: 100%; Dog: 100%; Guinea Pig: 100%; Horse: 100%; Human: 100%; Mouse: 100%; Rat: 100%; Sheep: 100%

          靶标信息

          Retinoic acid, a metabolite of vitamin A, is necessary for normal organogenesis but acts as a teratogen at high levels during embryonic and fetal development. Retinoic acid functions through its interaction with the nuclear protein, retinoic acid receptor (RAR). RAR belongs to the steroid and thyroid hormone superfamily of nuclear receptor proteins which exert their effects by binding to specific DNA response elements, thus regulating gene expression in target cells. RAR exists as three major subtypes: alpha, beta and gamma. Two main isoforms of RAR gamma exist: RAR gamma-1 has been found to be predominantly expressed in skin, while RAR gamma-2 has been found early in embryogenesis and in embryonal carcinoma cells. RAR gamma is also known as RARD.||The corresponding gene for the retinoic acid receptor gamma 2 is NR1B3.

          仅用于科研。不用于诊断过程。未经明确授权不得转售。

          篇参考文献 (0)

          您是否在文献中引用过该产品?请点击下方按钮邮件告知我们。
          引用该产品

          生物信息学

          蛋白别名: Nuclear receptor subfamily 1 group B member 3; RAR gamma 2; RAR Gamma-2; RAR-gamma; retinoic acid; retinoic acid receptor; Retinoic acid receptor gamma; retinoic acid receptor gamma 2; retinoic acid receptor gamma 4; unnamed protein product

          查看更多 收起

          基因别名: NR1B3; RAR-gamma; RARC; RARD; RARG; RARgamma; RARgamma2

          查看更多 收起

          UniProt ID: (Human) P13631, (Mouse) P18911

          查看更多 收起

          Entrez Gene ID: (Human) 5916, (Mouse) 19411

          查看更多 收起

          功能
          RNA polymerase II core promoter proximal region sequence-specific DNA binding RNA polymerase II transcription factor activity, sequence-specific DNA binding DNA binding chromatin binding transcription factor activity, sequence-specific DNA binding RNA polymerase II transcription factor activity, ligand-activated sequence-specific DNA binding protein binding zinc ion binding sequence-specific DNA binding metal ion binding retinoid X receptor binding sequence-specific double-stranded DNA binding RNA polymerase II regulatory region sequence-specific DNA binding steroid hormone receptor activity retinoic acid receptor activity C4 zinc finger nuclear receptor
          参与通路
          negative regulation of transcription from RNA polymerase II promoter neural tube closure chondrocyte development glandular epithelial cell development growth plate cartilage development growth plate cartilage chondrocyte growth regulation of transcription, DNA-templated apoptotic process cell proliferation positive regulation of cell proliferation negative regulation of cell proliferation regulation of cell size anterior/posterior pattern specification regulation of gene expression positive regulation of gene expression programmed cell death cell differentiation embryonic camera-type eye development regulation of myelination negative regulation of chondrocyte differentiation response to retinoic acid embryonic hindlimb morphogenesis multicellular organism growth positive regulation of apoptotic process positive regulation of programmed cell death negative regulation of cell differentiation regulation of myeloid cell differentiation positive regulation of transcription from RNA polymerase II promoter embryonic eye morphogenesis retinoic acid receptor signaling pathway reproductive structure development gland development canonical Wnt signaling pathway limb development face development bone development bone morphogenesis epithelium development trachea cartilage development prostate gland epithelium morphogenesis negative regulation of cartilage development Harderian gland development cellular response to retinoic acid stem cell proliferation cellular response to leukemia inhibitory factor negative regulation of stem cell proliferation retinal pigment epithelium development transcription, DNA-templated regulation of transcription from RNA polymerase II promoter transcription from RNA polymerase II promoter camera-type eye development negative regulation of apoptotic process steroid hormone mediated signaling pathway retina development in camera-type eye
          It has to be done as per old AB suggested Products section.

          Disclaimer

          Close

          Clicking the images or links will redirect you to a website hosted by BenchSci that provides third-party scientific content. Neither the content nor the BenchSci technology and processes for selection have been evaluated by us; we are providing them as-is and without warranty of any kind, including for use or application of the Thermo Fisher Scientific products presented.

          guarantee_icon

          性能保障

          只要您发现Invitrogen抗体在实验中的表现与网站或说明书的所述内容不符,您即可享受免费退换货服务。*

          了解更多
          help_icon

          随时为您服务

          获取常见问题的专家解答,或者直接联系我们的技术专家,咨询应用、设备、常规产品使用问题。

          联系技术支持
          订购 Plus Icon Minus Icon
          • 订单状态查询
          • 订单支持
          • 货号直购
          • 现货供应中心
          • 电子采购
          支持 Plus Icon Minus Icon
          • 帮助&支持
          • 联系我们 - 400 820 8982
          • 技术支持中心
          • 查找文件&证书
          • 报告网站问题
          资源 Plus Icon Minus Icon
          • 学习中心
          • 促销
          • 活动&研讨会
          • 社交媒体
          关于赛默飞 Plus Icon Minus Icon
          • 关于我们
          • 招聘 招聘
          • 投资者关系 投资者关系
          • 新闻 新闻
          • 社会责任 社会责任
          • 商标
          • 政策和通知
          品牌 Plus Icon Minus Icon
          • Thermo Scientific
          • Applied Biosystems
          • Invitrogen
          • Gibco
          • Ion Torrent
          • Unity Lab Services
          • Patheon
          • PPD
          • 服务条款
          • 隐私政策
          • 定价和运输保险政策
          © 2006-2026 Thermo Fisher Scientific Inc. All rights reserved. All trademarks are the property of Thermo Fisher Scientific and its subsidiaries unless otherwise specified.
          China flag icon
          China
          本网站销售的所有产品均不得用于人类或动物之临床诊断或治疗,仅可用于工业或者科研等非医疗目的。
             电子营业执照 | 经营证照公示 | ICP备案号:沪ICP备11003924号 | 沪公网安备 31011502006935号

          Your items have has been added!


          Host server : magellan-search-green-6479c7f679-v472f:80/100.66.78.195:80.
          git-commit: b70c0dceb888abc3b0dcebb5bc3a5b8753e7e816
          git-url: https://github.com/thermofisher/magellan-search
          git-branch: release/2.50.0-Offline