Hamburger Menu Button
Thermo Fisher Scientific Logo
登录
没有账号?建立账号 注册
  • 产品
    • 抗体
    • 引物合成
    • GeneArt Gene Synthesis Instant Designer
    • TaqMan Assay and Array Search
    • PCR 设备和耗材
    • 色谱柱和纯化柱
    • 实验室离心机
    • 分子生物学试剂和试剂盒
    • 实验室塑料耗材及用品
    • 查看所有产品分类
  • 应用和技术
    • 色谱
    • 细胞转染和培养
    • 实时荧光定量PCR
    • 质谱
    • 实验室塑料耗材及用品
    • 电子显微镜
    • 蛋白质生物学
    • PCR
    • RNAi
    • 环境
    • 查看所有应用和技术
  • 服务
    • 定制服务
    • 企业级实验室信息化服务
    • 企业服务
    • 金融&租赁服务
    • 仪器服务
    • OEM和商业供应
    • 培训服务
    • 360° CDMO 和 CRO 服务
    • CDMO 服务
    • 临床试验 CRO 服务
    • 查看所有帮助和支持
  • 帮助和支持
    • 学习中心
    • 联系我们
    • 更改国家或地区
    • 查看所有帮助和支持
  • 热门产品
    • TaqMan Real-Time PCR Assays
      TaqMan 实时荧光定量 PCR 试剂盒
    • Antibodies
      抗体
    • Oligos, Primers & Probes
      寡核苷酸、引物、探针
    • GeneArt Gene Synthesis
      GeneArt 基因合成
    • Cell Culture Plastics
      细胞培养耗材
  • 联系我们
  • 货号直购
  • 订单查询
  • 查找文件&证书
Thermo Fisher Scientific Logo

Search

搜索全部或下列指定分类
Search button
          • 联系我们
          • 货号直购
          • 登录
            登录
            没有账号?建立账号 注册
            • 我的账号
            • 订单
            • 账单及发票查询
            • 定制产品及项目

          Disclaimer

          Clicking the images or links will redirect you to a website hosted by BenchSci that provides third-party scientific content. Neither the content nor the BenchSci technology and processes for selection have been evaluated by us; we are providing them as-is and without warranty of any kind, including for use or application of the Thermo Fisher Scientific products presented.

          • Primary Antibodies ›
          • REST Antibodies

          Bethyl Laboratories

          REST Polyclonal Antibody

          查看其他15个REST抗体

          {{$productOrderCtrl.translations['antibody.pdp.commerceCard.promotion.promotions']}}

          {{$productOrderCtrl.translations['antibody.pdp.commerceCard.promotion.viewpromo']}}

          {{$productOrderCtrl.translations['antibody.pdp.commerceCard.promotion.promocode']}}: {{promo.promoCode}} {{promo.promoTitle}} {{promo.promoDescription}}. {{$productOrderCtrl.translations['antibody.pdp.commerceCard.promotion.learnmore']}}

          说明书
          证书
          实验方案
          问题与答案
          技术支持
          说明书
          证书
          实验方案
          问题与答案
          技术支持
          说明书
          证书
          实验方案
          问题与答案
          技术支持

          Cite REST Polyclonal Antibody

          • 抗体检测数据 (2)
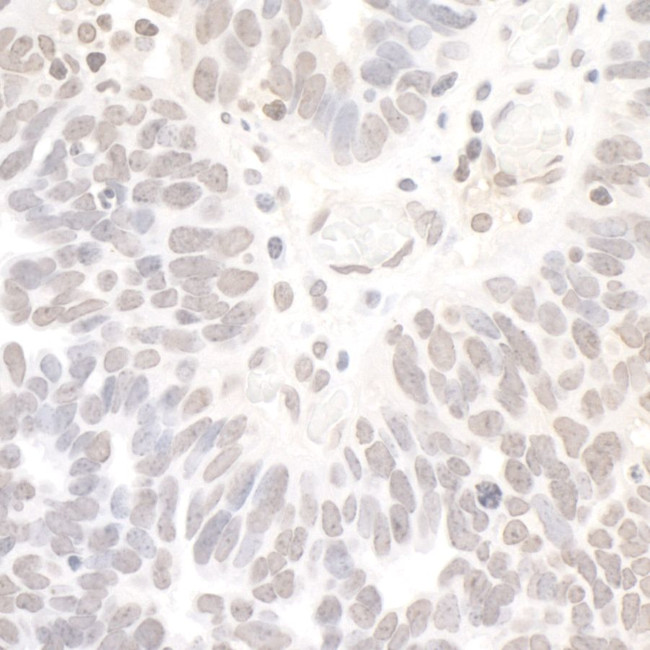
          REST Antibody in Immunohistochemistry (Paraffin) (IHC (P))
          Group 53 Created with Sketch.
          REST Antibody in Immunohistochemistry (Paraffin) (IHC (P))
          Group 53 Created with Sketch.

          图: 1 / 2

          {{ $ctrl.currentElement.advancedVerification.fullName }}
          {{ $ctrl.currentElement.advancedVerification.text }}

          REST Antibody (A300-539A) in IHC (P)

          Detection of human REST by immunohistochemistry. Sample: FFPE section of human ovarian carcinoma. Antibody: Affinity purified rabbit anti-REST (Product # A300-539A) (Lot 2) used at a dilution of 1:1,000 (1 µg/mL). Detection: DAB. {{ $ctrl.currentElement.advancedVerification.fullName }} 验证信息 View more
          已发表图片由___提供 benchsci-logo
          PMID: {{$ctrl.currentElement.benchSciPubmedId}}
          查看产品

          {{$ctrl.videoDesc}}

          {{$ctrl.videoLongDesc}}

          REST Antibody in Immunohistochemistry (Paraffin) (IHC (P))
          REST Antibody in Immunoprecipitation (IP)
          REST Polyclonal Antibody

          产品信息

          A300-539A

          应用
          建议稀释比
          已发表文章

          免疫印迹 (WB)

          Assay-dependent
          -

          免疫组化 (IHC)

          1:500-1:2,000
          -

          免疫组化(石蜡) (IHC (P))

          1:500-1:2,000
          -

          免疫沉淀 (IP)

          2-10 µg/mg lysate
          -
          产品规格

          种属反应

          Human

          宿主/亚型

          Rabbit / IgG

          分类

          Polyclonal

          类型

          Antibody

          抗原

          Region between residues 800 and 850 of Human RE1-silencing transcription factor.
          查看免疫原

          偶联物

          Unconjugated Unconjugated Unconjugated

          形式

          Liquid

          浓度

          1 mg/mL

          纯化类型

          Antigen affinity chromatography

          保存液

          tris citrate/phosphate, pH 7-8

          内含物

          0.09% sodium azide

          保存条件

          4°C

          运输条件

          Ambient (domestic); Wet ice (international)

          产品详细信息

          The recommended shelf life for this product is 1 year from date of receipt.

          Application Note: For IHC, epitope retrieval with citrate buffer pH 6.0 is recommended for FFPE tissue sections.

          靶标信息

          Transcriptional repressor which binds neuron-restrictive silencer element (NRSE) and represses neuronal gene transcription in non-neuronal cells. Restricts the expression of neuronal genes by associating with two distinct corepressors, mSin3 and CoREST, which in turn recruit histone deacetylase to the promoters of REST-regulated genes. Mediates repression by recruiting the BHC complex at RE1/NRSE sites which acts by deacetylating and demethylating specific sites on histones, thereby acting as a chromatin modifier.

          仅用于科研。不用于诊断过程。未经明确授权不得转售。

          篇参考文献 (0)

          您是否在文献中引用过该产品?请点击下方按钮邮件告知我们。
          引用该产品

          生物信息学

          蛋白别名: Neural-restrictive silencer factor; neuron restrictive silencer factor; neuron-restrictive silencer factor; RE1-silencing transcription factor; RE1-silencing transcription factor variant E1a/E2/E3/E4c; RE1-silencing transcription factor variant E1a/E2/E3/E5; RE1-silencing transcription factor variant E1a/E2/E3/N3a/E4i; RE1-silencing transcription factor variant E1a/E2/E3/N3c/E4; RE1-silencing transcription factor variant E1a/E2/E4; RE1-silencing transcription factor variant E1a/E2/E5; RE1-silencing transcription factor variant E1a/E2a/E2k; RE1-silencing transcription factor variant E1a/E2d/E4g; RE1-silencing transcription factor variant E1a/E2e/E4h; RE1-silencing transcription factor variant E1a/E2f/E4e; RE1-silencing transcription factor variant E1a/E2k/E2i/E3/E4j; RE1-silencing transcription factor variant E1b/E2/E3/E5; RE1-silencing transcription factor variant E1b/E2/E3/N3b/E4i; RE1-silencing transcription factor variant E1b/E2/E3/N3c/E4; RE1-silencing transcription factor variant E1b/E2a/E2k; RE1-silencing transcription factor variant E1b/E2c/E2j/E3/E4; RE1-silencing transcription factor variant E1b/E2e/E4h; RE1-silencing transcription factor variant E1c/E2/E3/E5; RE1-silencing transcription factor variant E1c/E2a/E2k; RE1-silencing transcription factor variant E1c/E2g/E3/E4; repressor binding to the X2 box; X2 box repressor

          查看更多 收起

          基因别名: NRSF; REST; WT6; XBR

          查看更多 收起

          UniProt ID: (Human) Q13127

          查看更多 收起

          Entrez Gene ID: (Human) 5978

          查看更多 收起

          功能
          core promoter sequence-specific DNA binding core promoter binding transcriptional repressor activity, RNA polymerase II core promoter proximal region sequence-specific binding transcriptional activator activity, RNA polymerase II transcription regulatory region sequence-specific binding chromatin binding transcription factor activity, sequence-specific DNA binding histone deacetylase activity protein binding transcription factor binding outward rectifier potassium channel activity protein complex binding transcription regulatory region DNA binding metal ion binding C2H2 zinc finger transcription factor
          参与通路
          negative regulation of transcription from RNA polymerase II promoter hematopoietic progenitor cell differentiation regulation of transcription, DNA-templated transcription from RNA polymerase II promoter negative regulation of cell proliferation negative regulation of gene expression negative regulation of aldosterone biosynthetic process cellular response to drug positive regulation of apoptotic process positive regulation of cysteine-type endopeptidase activity involved in apoptotic process negative regulation by host of viral transcription negative regulation of neuron differentiation negative regulation of transcription, DNA-templated positive regulation of transcription, DNA-templated positive regulation of transcription from RNA polymerase II promoter negative regulation of calcium ion-dependent exocytosis negative regulation of insulin secretion negative regulation of neurogenesis cardiac muscle cell myoblast differentiation histone H4 deacetylation cellular response to electrical stimulus cellular response to glucocorticoid stimulus potassium ion transmembrane transport negative regulation of cortisol biosynthetic process negative regulation of dense core granule biogenesis negative regulation of mesenchymal stem cell differentiation negative regulation of amniotic stem cell differentiation
          It has to be done as per old AB suggested Products section.
          guarantee_icon

          性能保障

          只要您发现Invitrogen抗体在实验中的表现与网站或说明书的所述内容不符,您即可享受免费退换货服务。*

          了解更多
          help_icon

          随时为您服务

          获取常见问题的专家解答,或者直接联系我们的技术专家,咨询应用、设备、常规产品使用问题。

          联系技术支持
          订购 Plus Icon Minus Icon
          • 订单状态查询
          • 订单支持
          • 货号直购
          • 现货供应中心
          • 电子采购
          支持 Plus Icon Minus Icon
          • 帮助&支持
          • 联系我们 - 400 820 8982
          • 技术支持中心
          • 查找文件&证书
          • 报告网站问题
          资源 Plus Icon Minus Icon
          • 学习中心
          • 促销
          • 活动&研讨会
          • 社交媒体
          关于赛默飞 Plus Icon Minus Icon
          • 关于我们
          • 招聘 招聘
          • 投资者关系 投资者关系
          • 新闻 新闻
          • 社会责任 社会责任
          • 商标
          • 政策和通知
          品牌 Plus Icon Minus Icon
          • Thermo Scientific
          • Applied Biosystems
          • Invitrogen
          • Gibco
          • Ion Torrent
          • Patheon
          • PPD
          • 服务条款
          • 隐私政策
          • 定价和运输保险政策
          © 2006-2026 Thermo Fisher Scientific Inc. All rights reserved. All trademarks are the property of Thermo Fisher Scientific and its subsidiaries unless otherwise specified.
          China flag icon
          China
          本网站销售的所有产品均不得用于人类或动物之临床诊断或治疗,仅可用于工业或者科研等非医疗目的。
             电子营业执照 | 经营证照公示 | ICP备案号:沪ICP备11003924号 | 沪公网安备 31011502006935号

          Your items have has been added!


          Host server : magellan-search-blue-55ff9ddd88-lffdw:80/100.66.79.31:80.
          git-commit: d366ff9721d93504b2ac26a183b2b3e3d0e7d9ec
          git-url: https://github.com/thermofisher/magellan-search
          git-branch: release/2.42.0-2026.01.03-1.0