Hamburger Menu Button
Thermo Fisher Scientific Logo
登录
没有账号?建立账号 注册
  • 产品
    • 抗体
    • 引物合成
    • GeneArt Gene Synthesis Instant Designer
    • TaqMan Assay and Array Search
    • PCR 设备和耗材
    • 色谱柱和纯化柱
    • 实验室离心机
    • 分子生物学试剂和试剂盒
    • 实验室塑料耗材及用品
    • 查看所有产品分类
  • 应用和技术
    • 色谱
    • 细胞转染和培养
    • 实时荧光定量PCR
    • 质谱
    • 实验室塑料耗材及用品
    • 电子显微镜
    • 蛋白质生物学
    • PCR
    • RNAi
    • 环境
    • 查看所有应用和技术
  • 服务
    • 定制服务
    • 企业级实验室信息化服务
    • 金融&租赁服务
    • 仪器服务
    • OEM和商业供应
    • 培训服务
    • 360° CDMO 和 CRO 服务
    • CDMO 服务
    • 临床试验 CRO 服务
    • Unity Lab Services
    • 查看所有帮助和支持
  • 帮助和支持
    • 学习中心
    • 联系我们
    • 更改国家或地区
    • 查看所有帮助和支持
  • 热门产品
    • TaqMan Real-Time PCR Assays
      TaqMan 实时荧光定量 PCR 试剂盒
    • Antibodies
      抗体
    • Oligos, Primers & Probes
      寡核苷酸、引物、探针
    • GeneArt Gene Synthesis
      GeneArt 基因合成
    • Cell Culture Plastics
      细胞培养耗材
  • Who We Serve
    • 抗体治疗解决方案
    • 细胞与基因治疗解决方案
    • 学术科研
    • 工业与应用
  • 联系我们
  • 货号直购
  • 订单查询
  • 查找文件&证书
Thermo Fisher Scientific Logo

Search

搜索全部或下列指定分类
Search button
          • 联系我们
          • 货号直购
          • 登录
            登录
            没有账号?建立账号 注册
            • 我的账号
            • 订单
            • 会员中心
            • 账单及发票查询
            • 定制产品及项目
          • Primary Antibodies ›
          • ROBO1 Antibodies

          Invitrogen

          ROBO1 Monoclonal Antibody (10E2)

          查看其他24个ROBO1抗体

          {{$productOrderCtrl.translations['antibody.pdp.commerceCard.promotion.promotions']}}

          {{$productOrderCtrl.translations['antibody.pdp.commerceCard.promotion.viewpromo']}}

          {{$productOrderCtrl.translations['antibody.pdp.commerceCard.promotion.promocode']}}: {{promo.promoCode}} {{promo.promoTitle}} {{promo.promoDescription}}. {{$productOrderCtrl.translations['antibody.pdp.commerceCard.promotion.learnmore']}}

          说明书
          证书
          实验方案
          问题与答案
          技术支持
          说明书
          证书
          实验方案
          问题与答案
          技术支持
          说明书
          证书
          实验方案
          问题与答案
          技术支持

          Cite ROBO1 Monoclonal Antibody (10E2)

          Additional Information:
          {{banner.description}}
          {{$ctrl.isSkuNotesCollapsed ? 'View more' : 'View less'}}
          • 抗体检测数据 (5)
          ROBO1 Antibody in Immunohistochemistry (Paraffin) (IHC (P))
          Group 53 Created with Sketch.
          ROBO1 Antibody in Immunohistochemistry (Paraffin) (IHC (P))
          Group 53 Created with Sketch.

          图: 1 / 5

          {{ $ctrl.currentElement.advancedVerification.fullName }}
          {{ $ctrl.currentElement.advancedVerification.text }}

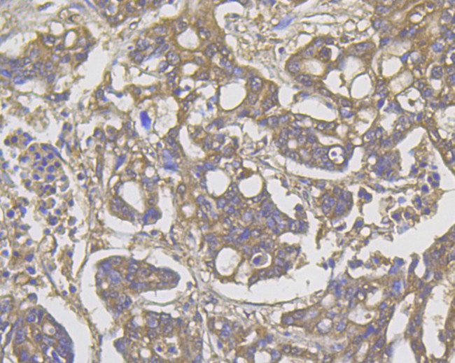
          ROBO1 Antibody (MA5-36105) in IHC (P)

          Immunohistochemical analysis of ROBO1 in paraffin-embedded human stomach cancer tissue using a monoclonal antibody (Product #MA5-36105). The section was pre-treated using heat mediated antigen retrieval with Tris-EDTA buffer (pH 8.0-8.4) for 20 minutes. The tissues were blocked in 5% BSA for 30 minutes at room temperature, washed with ddH2O and PBS, and then probed with the primary antibody (1:100) for 30 m... View More {{ $ctrl.currentElement.advancedVerification.fullName }} 验证信息 View more
          已发表图片由___提供 benchsci-logo
          PMID: {{$ctrl.currentElement.benchSciPubmedId}}
          查看产品

          {{$ctrl.videoDesc}}

          {{$ctrl.videoLongDesc}}

          ROBO1 Antibody in Immunohistochemistry (Paraffin) (IHC (P))
          ROBO1 Antibody in Immunohistochemistry (Paraffin) (IHC (P))
          ROBO1 Antibody in Immunohistochemistry (Paraffin) (IHC (P))
          ROBO1 Antibody in Immunohistochemistry (Paraffin) (IHC (P))
          ROBO1 Antibody in Western Blot (WB)
          ROBO1 Monoclonal Antibody (10E2)

          产品信息

          MA5-36105

          应用
          建议稀释比
          已发表文章

          免疫印迹 (WB)

          1:1,000-1:5,000
          -

          免疫组化(石蜡) (IHC (P))

          1:50-1:1,000
          -
          产品规格

          种属反应

          Human, Mouse

          宿主/亚型

          Mouse / IgG1

          分类

          Monoclonal

          类型

          Antibody

          克隆号

          10E2

          抗原

          Recombinant protein within Human ROBO1 aa 41-286.
          3D表位/免疫原

          偶联物

          Unconjugated Unconjugated Unconjugated

          形式

          Liquid

          浓度

          2 mg/mL

          规格

          200 µg

          纯化类型

          Protein G

          保存液

          PBS, pH 7.4, with 0.2% BSA, 50% glycerol

          内含物

          0.05% sodium azide

          保存条件

          Store at 4°C short term. For long term storage, store at -20°C, avoiding freeze/thaw cycles.

          运输条件

          Ambient (domestic); Wet ice (international)

          RRID

          AB_2890404

          靶标信息

          Specialized cells at the midline, which separates the left and right halves of the CNS, have a number of roles in directing growth cone behavior. In the vertebrate spinal cord, the insect ventral nerve cord and in C. elegans, midline cells produce guidance cues such as nectins and slit, which act as attractants and repellents, respectively. These cells may act as gatekeepers to prevent axons from crossing the midline and to induce a switch in growth cone responsiveness to guidance cues beyond the gateway. One such gatekeeper, Robo, is an axon guidance receptor that defines a novel subfamily of Ig superfamily proteins that are conserved from fruit flies to mammals. Robo acts as a receptor for the repellent Slit and functions in a cell-autonomous fashion. Non-crossing axons express high levels of Robo, whereas crossing axons express low levels of Robo before reaching the midline and high levels after they cross. Robo1 and Robo2 are two human homologs of the Drosophila protein Roundabout. Robo1 is also homologous to the C. elegans gene sax3, whereas Robo2 is homologous to the zebrafish gene astray.

          仅用于科研。不用于诊断过程。未经明确授权不得转售。

          篇参考文献 (0)

          您是否在文献中引用过该产品?请点击下方按钮邮件告知我们。
          引用该产品

          生物信息学

          蛋白别名: Deleted in U twenty twenty; FLJ21882; H-Robo-1; H-Robo1; HGNC:10249; MGC131599; MGC133277; roundabout 1; Roundabout homolog 1; roundabout, axon guidance receptor, homolog 1; unnamed protein product

          查看更多 收起

          基因别名: AW494633; AW742721; CPHD8; DUTT1; Gm310; NORS; NYS8; ROBO1; SAX3

          查看更多 收起

          UniProt ID: (Human) Q9Y6N7, (Mouse) O89026

          查看更多 收起

          Entrez Gene ID: (Human) 6091, (Mouse) 19876

          查看更多 收起

          功能
          protein binding axon guidance receptor activity LRR domain binding identical protein binding scaffold/adaptor protein
          参与通路
          cell migration involved in sprouting angiogenesis heart induction outflow tract septum morphogenesis aortic valve morphogenesis pulmonary valve morphogenesis endocardial cushion formation chemotaxis cell adhesion homophilic cell adhesion via plasma membrane adhesion molecules nervous system development axon guidance brain development positive regulation of gene expression negative regulation of gene expression axon midline choice point recognition chemorepulsion involved in postnatal olfactory bulb interneuron migration cell differentiation negative regulation of cell migration positive regulation of vascular endothelial growth factor receptor signaling pathway negative regulation of mammary gland epithelial cell proliferation positive regulation of Rho protein signal transduction tube development Roundabout signaling pathway aorta development positive regulation of MAPK cascade positive regulation of Notch signaling pathway positive regulation of axonogenesis negative regulation of negative chemotaxis ventricular septum morphogenesis negative regulation of chemokine-mediated signaling pathway positive regulation of vascular endothelial growth factor signaling pathway activation of cysteine-type endopeptidase activity involved in apoptotic process multicellular organism development negative regulation of cell proliferation olfactory bulb interneuron development regulation of dendrite morphogenesis mammary duct terminal end bud growth
          It has to be done as per old AB suggested Products section.

          Disclaimer

          Close

          Clicking the images or links will redirect you to a website hosted by BenchSci that provides third-party scientific content. Neither the content nor the BenchSci technology and processes for selection have been evaluated by us; we are providing them as-is and without warranty of any kind, including for use or application of the Thermo Fisher Scientific products presented.

          guarantee_icon

          性能保障

          只要您发现Invitrogen抗体在实验中的表现与网站或说明书的所述内容不符,您即可享受免费退换货服务。*

          了解更多
          help_icon

          随时为您服务

          获取常见问题的专家解答,或者直接联系我们的技术专家,咨询应用、设备、常规产品使用问题。

          联系技术支持
          订购 Plus Icon Minus Icon
          • 订单状态查询
          • 订单支持
          • 货号直购
          • 现货供应中心
          • 电子采购
          支持 Plus Icon Minus Icon
          • 帮助&支持
          • 联系我们 - 400 820 8982
          • 技术支持中心
          • 查找文件&证书
          • 报告网站问题
          资源 Plus Icon Minus Icon
          • 学习中心
          • 促销
          • 活动&研讨会
          • 社交媒体
          关于赛默飞 Plus Icon Minus Icon
          • 关于我们
          • 招聘 招聘
          • 投资者关系 投资者关系
          • 新闻 新闻
          • 社会责任 社会责任
          • 商标
          • 政策和通知
          品牌 Plus Icon Minus Icon
          • Thermo Scientific
          • Applied Biosystems
          • Invitrogen
          • Gibco
          • Ion Torrent
          • Unity Lab Services
          • Patheon
          • PPD
          • 服务条款
          • 隐私政策
          • 定价和运输保险政策
          © 2006-2026 Thermo Fisher Scientific Inc. All rights reserved. All trademarks are the property of Thermo Fisher Scientific and its subsidiaries unless otherwise specified.
          China flag icon
          China
          本网站销售的所有产品均不得用于人类或动物之临床诊断或治疗,仅可用于工业或者科研等非医疗目的。
             电子营业执照 | 经营证照公示 | ICP备案号:沪ICP备11003924号 | 沪公网安备 31011502006935号

          Your items have has been added!


          Host server : magellan-search-green-6479c7f679-jmhj8:80/100.66.74.142:80.
          git-commit: b70c0dceb888abc3b0dcebb5bc3a5b8753e7e816
          git-url: https://github.com/thermofisher/magellan-search
          git-branch: release/2.50.0-Offline