Hamburger Menu Button
Thermo Fisher Scientific Logo
登录
没有账号?建立账号 注册
  • 产品
    • 抗体
    • 引物合成
    • GeneArt Gene Synthesis Instant Designer
    • TaqMan Assay and Array Search
    • PCR 设备和耗材
    • 色谱柱和纯化柱
    • 实验室离心机
    • 分子生物学试剂和试剂盒
    • 实验室塑料耗材及用品
    • 查看所有产品分类
  • 应用和技术
    • 色谱
    • 细胞转染和培养
    • 实时荧光定量PCR
    • 质谱
    • 实验室塑料耗材及用品
    • 电子显微镜
    • 蛋白质生物学
    • PCR
    • RNAi
    • 环境
    • 查看所有应用和技术
  • 服务
    • 定制服务
    • 企业级实验室信息化服务
    • 金融&租赁服务
    • 仪器服务
    • OEM和商业供应
    • 培训服务
    • 360° CDMO 和 CRO 服务
    • CDMO 服务
    • 临床试验 CRO 服务
    • Unity Lab Services
    • 查看所有帮助和支持
  • 帮助和支持
    • 学习中心
    • 联系我们
    • 更改国家或地区
    • 查看所有帮助和支持
  • 热门产品
    • TaqMan Real-Time PCR Assays
      TaqMan 实时荧光定量 PCR 试剂盒
    • Antibodies
      抗体
    • Oligos, Primers & Probes
      寡核苷酸、引物、探针
    • GeneArt Gene Synthesis
      GeneArt 基因合成
    • Cell Culture Plastics
      细胞培养耗材
  • Who We Serve
    • 抗体治疗解决方案
    • 细胞与基因治疗解决方案
    • 学术科研
    • 工业与应用
  • 联系我们
  • 货号直购
  • 订单查询
  • 查找文件&证书
Thermo Fisher Scientific Logo

Search

搜索全部或下列指定分类
Search button
          • 联系我们
          • 货号直购
          • 登录
            登录
            没有账号?建立账号 注册
            • 我的账号
            • 订单
            • 会员中心
            • 账单及发票查询
            • 定制产品及项目
          • Primary Antibodies ›
          • ROR gamma Antibodies

          NeoBiotechnologies

          ROR-gamma/RORC (RAR-related Orphan Receptor C) Monoclonal Antibody (RORC/2941)

          查看其他23个ROR gamma抗体

          {{$productOrderCtrl.translations['antibody.pdp.commerceCard.promotion.promotions']}}

          {{$productOrderCtrl.translations['antibody.pdp.commerceCard.promotion.viewpromo']}}

          {{$productOrderCtrl.translations['antibody.pdp.commerceCard.promotion.promocode']}}: {{promo.promoCode}} {{promo.promoTitle}} {{promo.promoDescription}}. {{$productOrderCtrl.translations['antibody.pdp.commerceCard.promotion.learnmore']}}

          说明书
          证书
          实验方案
          问题与答案
          技术支持
          说明书
          证书
          实验方案
          问题与答案
          技术支持
          说明书
          证书
          实验方案
          问题与答案
          技术支持

          Cite ROR-gamma/RORC (RAR-related Orphan Receptor C) Monoclonal Antibody (RORC/2941)

          Additional Information:
          {{banner.description}}
          {{$ctrl.isSkuNotesCollapsed ? 'View more' : 'View less'}}
          • 抗体检测数据 (7)
          ROR-gamma/RORC (RAR-related Orphan Receptor C) Antibody in Immunocytochemistry (ICC/IF)
          Group 53 Created with Sketch.
          ROR-gamma/RORC (RAR-related Orphan Receptor C) Antibody in Immunocytochemistry (ICC/IF)
          Group 53 Created with Sketch.

          图: 1 / 7

          {{ $ctrl.currentElement.advancedVerification.fullName }}
          {{ $ctrl.currentElement.advancedVerification.text }}

          ROR-gamma/RORC (RAR-related Orphan Receptor C) Antibody (6097-MSM1-P0) in ICC/IF

          Immunofluorescence staining of PFA-fixed MOLT4 cells with ROR-gamma/RORC Mouse Monoclonal Antibody (RORC/2941) followed by goat anti-mouse IgG-CF488. Nuclei counterstained with RedDot. {{ $ctrl.currentElement.advancedVerification.fullName }} 验证信息 View more
          已发表图片由___提供 benchsci-logo
          PMID: {{$ctrl.currentElement.benchSciPubmedId}}
          查看产品

          {{$ctrl.videoDesc}}

          {{$ctrl.videoLongDesc}}

          ROR-gamma/RORC (RAR-related Orphan Receptor C) Antibody in Immunocytochemistry (ICC/IF)
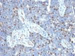
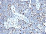
          ROR-gamma/RORC (RAR-related Orphan Receptor C) Antibody in Immunohistochemistry (Paraffin) (IHC (P))
          ROR-gamma/RORC (RAR-related Orphan Receptor C) Antibody in Immunohistochemistry (Paraffin) (IHC (P))
          ROR-gamma/RORC (RAR-related Orphan Receptor C) Antibody in Immunohistochemistry (Paraffin) (IHC (P))
          ROR-gamma/RORC (RAR-related Orphan Receptor C) Antibody in Flow Cytometry (Flow)
          ROR-gamma/RORC (RAR-related Orphan Receptor C) Antibody in Peptide array (ARRAY)
          ROR-gamma/RORC (RAR-related Orphan Receptor C) Antibody in SDS-PAGE (SDS-PAGE)
          ROR-gamma/RORC (RAR-related Orphan Receptor C) Monoclonal Antibody (RORC/2941)

          产品信息

          6097-MSM1-P0

          应用
          建议稀释比
          已发表文章

          免疫组化(石蜡) (IHC (P))

          Assay-dependent
          -

          免疫组织化学(多聚甲醛固定) (IHC (PFA))

          1-2 µg/mL
          -

          免疫细胞化学 (ICC/IF)

          Assay-dependent
          -

          流式细胞分析 (Flow)

          1-2 µg/10^6 cells
          -

          肽阵列 (Array)

          Assay-dependent
          -
          产品规格

          种属反应

          Human

          宿主/亚型

          Mouse / IgG2a, kappa

          分类

          Monoclonal

          类型

          Antibody

          克隆号

          RORC/2941

          抗原

          Recombinant full-length human RORC protein
          3D表位/免疫原

          偶联物

          Unconjugated Unconjugated Unconjugated

          形式

          Liquid

          浓度

          200 µg/mL

          规格

          20 µg

          纯化类型

          Protein A/G

          保存液

          PBS, pH 7.4, with 0.05% BSA

          内含物

          0.05% sodium azide

          保存条件

          4°C, do not freeze

          运输条件

          Ambient (domestic); Wet ice (international)

          靶标信息

          ROR gamma is a 560 amino acid novel DNA-binding transcription factor belonging to the ROR/RZR orphan nuclear receptor subfamily. Reports suggest thatROR gammais a ligand activated transcription factor and may be essential for lymphoid organogenesis (lymph nodes and Peyer's patches) and may play an important regulatory role in controlling apoptosis during thymopoiesis. ROR gamma inhibits the expression of Fas ligand and IL2 and directs the differentiation program of proinflammatory IL-17+ T helper cells. ROR gamma shares 50 to 51% sequence identity with RORA and RORB and is 88% identical to mouse ROR gamma. It is highly expressed in skeletal muscle and at lower levels in various other tissues.

          仅用于科研。不用于诊断过程。未经明确授权不得转售。

          篇参考文献 (0)

          您是否在文献中引用过该产品?请点击下方按钮邮件告知我们。
          引用该产品

          生物信息学

          蛋白别名: Nuclear receptor ROR-gamma; Nuclear receptor RZR-gamma; Nuclear receptor subfamily 1 group F member 3; RAR-related orphan receptor C; retinoic acid-binding receptor gamma; retinoid-related orphan receptor gamma; Retinoid-related orphan receptor-gamma; RORC; unnamed protein product

          查看更多 收起

          基因别名: IMD42; NR1F3; RORC; RORG; RZR-GAMMA; RZRG; TOR

          查看更多 收起

          UniProt ID: (Human) P51449

          查看更多 收起

          Entrez Gene ID: (Human) 6097

          查看更多 收起

          功能
          RNA polymerase II core promoter proximal region sequence-specific DNA binding RNA polymerase II transcription factor activity, sequence-specific DNA binding transcriptional repressor activity, RNA polymerase II transcription regulatory region sequence-specific binding DNA binding transcription factor activity, sequence-specific DNA binding RNA polymerase II transcription factor activity, ligand-activated sequence-specific DNA binding protein binding oxysterol binding zinc ion binding sequence-specific DNA binding metal ion binding transcription factor activity, direct ligand regulated sequence-specific DNA binding sequence-specific double-stranded DNA binding
          参与通路
          negative regulation of transcription from RNA polymerase II promoter regulation of transcription, DNA-templated regulation of transcription from RNA polymerase II promoter xenobiotic metabolic process circadian rhythm regulation of gene expression regulation of glucose metabolic process regulation of steroid metabolic process intracellular receptor signaling pathway circadian regulation of gene expression cellular response to sterol T-helper cell differentiation positive regulation of circadian rhythm regulation of fat cell differentiation positive regulation of transcription, DNA-templated rhythmic process lymph node development Peyer's patch development adipose tissue development negative regulation of thymocyte apoptotic process T-helper 17 cell differentiation
          It has to be done as per old AB suggested Products section.

          Disclaimer

          Close

          Clicking the images or links will redirect you to a website hosted by BenchSci that provides third-party scientific content. Neither the content nor the BenchSci technology and processes for selection have been evaluated by us; we are providing them as-is and without warranty of any kind, including for use or application of the Thermo Fisher Scientific products presented.

          guarantee_icon

          性能保障

          只要您发现Invitrogen抗体在实验中的表现与网站或说明书的所述内容不符,您即可享受免费退换货服务。*

          了解更多
          help_icon

          随时为您服务

          获取常见问题的专家解答,或者直接联系我们的技术专家,咨询应用、设备、常规产品使用问题。

          联系技术支持
          订购 Plus Icon Minus Icon
          • 订单状态查询
          • 订单支持
          • 货号直购
          • 现货供应中心
          • 电子采购
          支持 Plus Icon Minus Icon
          • 帮助&支持
          • 联系我们 - 400 820 8982
          • 技术支持中心
          • 查找文件&证书
          • 报告网站问题
          资源 Plus Icon Minus Icon
          • 学习中心
          • 促销
          • 活动&研讨会
          • 社交媒体
          关于赛默飞 Plus Icon Minus Icon
          • 关于我们
          • 招聘 招聘
          • 投资者关系 投资者关系
          • 新闻 新闻
          • 社会责任 社会责任
          • 商标
          • 政策和通知
          品牌 Plus Icon Minus Icon
          • Thermo Scientific
          • Applied Biosystems
          • Invitrogen
          • Gibco
          • Ion Torrent
          • Unity Lab Services
          • Patheon
          • PPD
          • 服务条款
          • 隐私政策
          • 定价和运输保险政策
          © 2006-2026 Thermo Fisher Scientific Inc. All rights reserved. All trademarks are the property of Thermo Fisher Scientific and its subsidiaries unless otherwise specified.
          China flag icon
          China
          本网站销售的所有产品均不得用于人类或动物之临床诊断或治疗,仅可用于工业或者科研等非医疗目的。
             电子营业执照 | 经营证照公示 | ICP备案号:沪ICP备11003924号 | 沪公网安备 31011502006935号

          Your items have has been added!


          Host server : magellan-search-green-6479c7f679-46l5g:80/100.66.76.236:80.
          git-commit: b70c0dceb888abc3b0dcebb5bc3a5b8753e7e816
          git-url: https://github.com/thermofisher/magellan-search
          git-branch: release/2.50.0-Offline