Hamburger Menu Button
Thermo Fisher Scientific Logo
登录
没有账号?建立账号 注册
  • 产品
    • 抗体
    • 引物合成
    • GeneArt Gene Synthesis Instant Designer
    • TaqMan Assay and Array Search
    • PCR 设备和耗材
    • 色谱柱和纯化柱
    • 实验室离心机
    • 分子生物学试剂和试剂盒
    • 实验室塑料耗材及用品
    • 查看所有产品分类
  • 应用和技术
    • 色谱
    • 细胞转染和培养
    • 实时荧光定量PCR
    • 质谱
    • 实验室塑料耗材及用品
    • 电子显微镜
    • 蛋白质生物学
    • PCR
    • RNAi
    • 环境
    • 查看所有应用和技术
  • 服务
    • 定制服务
    • 企业级实验室信息化服务
    • 企业服务
    • 金融&租赁服务
    • 仪器服务
    • OEM和商业供应
    • 培训服务
    • 360° CDMO 和 CRO 服务
    • CDMO 服务
    • 临床试验 CRO 服务
    • 查看所有帮助和支持
  • 帮助和支持
    • 学习中心
    • 联系我们
    • 更改国家或地区
    • 查看所有帮助和支持
  • 热门产品
    • TaqMan Real-Time PCR Assays
      TaqMan 实时荧光定量 PCR 试剂盒
    • Antibodies
      抗体
    • Oligos, Primers & Probes
      寡核苷酸、引物、探针
    • GeneArt Gene Synthesis
      GeneArt 基因合成
    • Cell Culture Plastics
      细胞培养耗材
  • 联系我们
  • 货号直购
  • 订单查询
  • 查找文件&证书
Thermo Fisher Scientific Logo

Search

搜索全部或下列指定分类
Search button
          • 联系我们
          • 货号直购
          • 登录
            登录
            没有账号?建立账号 注册
            • 我的账号
            • 订单
            • 账单及发票查询
            • 定制产品及项目

          Disclaimer

          Clicking the images or links will redirect you to a website hosted by BenchSci that provides third-party scientific content. Neither the content nor the BenchSci technology and processes for selection have been evaluated by us; we are providing them as-is and without warranty of any kind, including for use or application of the Thermo Fisher Scientific products presented.

          • Primary Antibodies ›
          • RUNX1T1 Antibodies

          OriGene

          RUNX1T1 Monoclonal Antibody (OTI1H1), TrueMAB™

          查看其他12个RUNX1T1抗体

          {{$productOrderCtrl.translations['antibody.pdp.commerceCard.promotion.promotions']}}

          {{$productOrderCtrl.translations['antibody.pdp.commerceCard.promotion.viewpromo']}}

          {{$productOrderCtrl.translations['antibody.pdp.commerceCard.promotion.promocode']}}: {{promo.promoCode}} {{promo.promoTitle}} {{promo.promoDescription}}. {{$productOrderCtrl.translations['antibody.pdp.commerceCard.promotion.learnmore']}}

          说明书
          证书
          实验方案
          问题与答案
          技术支持
          说明书
          证书
          实验方案
          问题与答案
          技术支持
          说明书
          证书
          实验方案
          问题与答案
          技术支持

          Cite RUNX1T1 Monoclonal Antibody (OTI1H1), TrueMAB™

          • 抗体检测数据 (4)
          RUNX1T1 Antibody in Immunocytochemistry (ICC/IF)
          Group 53 Created with Sketch.
          RUNX1T1 Antibody in Immunocytochemistry (ICC/IF)
          Group 53 Created with Sketch.

          图: 1 / 4

          {{ $ctrl.currentElement.advancedVerification.fullName }}
          {{ $ctrl.currentElement.advancedVerification.text }}

          RUNX1T1 Antibody (CF504703) in ICC/IF

          Anti-RUNX1T1 mouse monoclonal antibody (TA504703) Immunofluorescent staining of COS7 cells transiently transfected by pCMV6-ENTRY RUNX1T1(RC222426). {{ $ctrl.currentElement.advancedVerification.fullName }} 验证信息 View more
          已发表图片由___提供 benchsci-logo
          PMID: {{$ctrl.currentElement.benchSciPubmedId}}
          查看产品

          {{$ctrl.videoDesc}}

          {{$ctrl.videoLongDesc}}

          RUNX1T1 Antibody in Immunocytochemistry (ICC/IF)
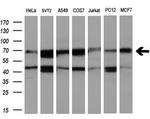
          RUNX1T1 Antibody in Western Blot (WB)
          RUNX1T1 Antibody in Western Blot (WB)
          RUNX1T1 Antibody in Western Blot (WB)
          RUNX1T1 Monoclonal Antibody (OTI1H1), TrueMAB™

          产品信息

          CF504703

          应用
          建议稀释比
          已发表文章

          免疫印迹 (WB)

          1:2,000
          -

          免疫细胞化学 (ICC/IF)

          1:100
          -
          产品规格

          种属反应

          Human

          宿主/亚型

          Mouse / IgG1

          分类

          Monoclonal

          类型

          Antibody

          克隆号

          OTI1H1

          抗原

          Full length human recombinant protein of human RUNX1T1 produced in HEK293T cell.
          查看免疫原

          偶联物

          Unconjugated Unconjugated Unconjugated

          形式

          Lyophilized

          浓度

          1 mg/mL

          纯化类型

          Affinity chromatography

          保存液

          PBS, pH 7.3, with 8% trehalose

          内含物

          no preservative

          保存条件

          -20°C, Avoid Freeze/Thaw Cycles

          运输条件

          Ambient (domestic); Wet ice (international)

          产品详细信息

          For reconstitution, we recommend adding 100 µL distilled water to a final antibody concentration of about 1 mg/mL. To use this carrier-free antibody for conjugation experiments, we strongly recommend performing another round of desalting. (Zeba Spin Desalting Columns, 7KMWCO, 0.5 mL, Product # 89882)

          靶标信息

          RUNX1T1 is a putative zinc finger transcription factor and oncoprotein. In acute myeloid leukemia, especially in the M2 subtype, the t(8;21)(q22;q22) translocation is one of the most frequent karyotypic abnormalities. The translocation produces a chimeric gene made up of the 5'-region of the RUNX1 gene fused to the 3'-region of this gene. The chimeric protein is thought to associate with the nuclear corepressor/histone deacetylase complex to block hematopoietic differentiation. The protein encoded by this gene is a putative zinc finger transcription factor and oncoprotein. In acute myeloid leukemia, especially in the M2 subtype, the t(8;21)(q22;q22) translocation is one of the most frequent karyotypic abnormalities. The translocation produces a chimeric gene made up of the 5'-region of the RUNX1 gene fused to the 3'-region of this gene. The chimeric protein is thought to associate with the nuclear corepressor/histone deacetylase complex to block hematopoietic differentiation. Several transcript variants encoding multiple isoforms have been found for this gene.

          仅用于科研。不用于诊断过程。未经明确授权不得转售。

          篇参考文献 (0)

          您是否在文献中引用过该产品?请点击下方按钮邮件告知我们。
          引用该产品

          生物信息学

          蛋白别名: acute myelogenous leukemia 1 translocation 1, cyclin-D related; CBFA2T1 isoform r1t1-11a61; CBFA2T1 isoform r1t1-11a62; CBFA2T1 isoform r1t1-11a63; CBFA2T1 isoform r1t1-11a64; CBFA2T1 isoform r1t1-11a65; CBFA2T1 isoform r1t1-7a47; CBFA2T1 isoform r1t1-7a48; CBFA2T1 isoform r1t1-7a49; CBFA2T1 isoform r1t1-7a50; CBFA2T1 isoform r1t1-7a51; CBFA2T1 isoform r1t1-7a52; CBFA2T1 isoform r1t1-7d53; CBFA2T1 isoform r1t1-7d54; CBFA2T1 isoform r1t1-7d55; CBFA2T1 isoform r1t1-7d56; CBFA2T1 isoform r1t1-8a57; CBFA2T1 isoform r1t1-8a58; CBFA2T1 isoform r1t1-8a59; CBFA2T1 isoform r1t1-8a60; core-binding factor, runt domain, alpha subunit 2; translocated to, 1; cyclin D-related; Cyclin-D-related protein; Eight twenty one protein; MGC2796; MTG8b; myeloid translocation gene on 8q22; Protein CBFA2T1; Protein ETO; Protein MTG8; runt related transcription factor 1; translocated to, 1 (cyclin D related); runt-related transcription factor 1; translocated to, 1 (cyclin D-related); Zinc finger MYND domain-containing protein 2

          查看更多 收起

          基因别名: AML1-MTG8; AML1T1; CBFA2T1; CDR; ETO; MTG8; RUNX1T1; ZMYND2

          查看更多 收起

          UniProt ID: (Human) Q06455

          查看更多 收起

          Entrez Gene ID: (Human) 862

          查看更多 收起

          功能
          DNA binding transcription factor activity, sequence-specific DNA binding transcription corepressor activity protein binding metal ion binding transcription cofactor
          参与通路
          generation of precursor metabolites and energy transcription, DNA-templated negative regulation of fat cell differentiation negative regulation of transcription, DNA-templated
          It has to be done as per old AB suggested Products section.
          guarantee_icon

          性能保障

          只要您发现Invitrogen抗体在实验中的表现与网站或说明书的所述内容不符,您即可享受免费退换货服务。*

          了解更多
          help_icon

          随时为您服务

          获取常见问题的专家解答,或者直接联系我们的技术专家,咨询应用、设备、常规产品使用问题。

          联系技术支持
          订购 Plus Icon Minus Icon
          • 订单状态查询
          • 订单支持
          • 货号直购
          • 现货供应中心
          • 电子采购
          支持 Plus Icon Minus Icon
          • 帮助&支持
          • 联系我们 - 400 820 8982
          • 技术支持中心
          • 查找文件&证书
          • 报告网站问题
          资源 Plus Icon Minus Icon
          • 学习中心
          • 促销
          • 活动&研讨会
          • 社交媒体
          关于赛默飞 Plus Icon Minus Icon
          • 关于我们
          • 招聘 招聘
          • 投资者关系 投资者关系
          • 新闻 新闻
          • 社会责任 社会责任
          • 商标
          • 政策和通知
          品牌 Plus Icon Minus Icon
          • Thermo Scientific
          • Applied Biosystems
          • Invitrogen
          • Gibco
          • Ion Torrent
          • Patheon
          • PPD
          • 服务条款
          • 隐私政策
          • 定价和运输保险政策
          © 2006-2026 Thermo Fisher Scientific Inc. All rights reserved. All trademarks are the property of Thermo Fisher Scientific and its subsidiaries unless otherwise specified.
          China flag icon
          China
          本网站销售的所有产品均不得用于人类或动物之临床诊断或治疗,仅可用于工业或者科研等非医疗目的。
             电子营业执照 | 经营证照公示 | ICP备案号:沪ICP备11003924号 | 沪公网安备 31011502006935号

          Your items have has been added!


          Host server : magellan-search-blue-55ff9ddd88-ctdjb:80/100.66.76.55:80.
          git-commit: d366ff9721d93504b2ac26a183b2b3e3d0e7d9ec
          git-url: https://github.com/thermofisher/magellan-search
          git-branch: release/2.42.0-2026.01.03-1.0