Hamburger Menu Button
Thermo Fisher Scientific Logo
登录
没有账号?建立账号 注册
  • 产品
    • 抗体
    • 引物合成
    • GeneArt Gene Synthesis Instant Designer
    • TaqMan Assay and Array Search
    • PCR 设备和耗材
    • 色谱柱和纯化柱
    • 实验室离心机
    • 分子生物学试剂和试剂盒
    • 实验室塑料耗材及用品
    • 查看所有产品分类
  • 应用和技术
    • 色谱
    • 细胞转染和培养
    • 实时荧光定量PCR
    • 质谱
    • 实验室塑料耗材及用品
    • 电子显微镜
    • 蛋白质生物学
    • PCR
    • RNAi
    • 环境
    • 查看所有应用和技术
  • 服务
    • 定制服务
    • 企业级实验室信息化服务
    • 金融&租赁服务
    • 仪器服务
    • OEM和商业供应
    • 培训服务
    • 360° CDMO 和 CRO 服务
    • CDMO 服务
    • 临床试验 CRO 服务
    • Unity Lab Services
    • 查看所有帮助和支持
  • 帮助和支持
    • 学习中心
    • 联系我们
    • 更改国家或地区
    • 查看所有帮助和支持
  • 热门产品
    • TaqMan Real-Time PCR Assays
      TaqMan 实时荧光定量 PCR 试剂盒
    • Antibodies
      抗体
    • Oligos, Primers & Probes
      寡核苷酸、引物、探针
    • GeneArt Gene Synthesis
      GeneArt 基因合成
    • Cell Culture Plastics
      细胞培养耗材
  • Who We Serve
    • 抗体治疗解决方案
    • 细胞与基因治疗解决方案
    • 学术科研
    • 工业与应用
  • 联系我们
  • 货号直购
  • 订单查询
  • 查找文件&证书
Thermo Fisher Scientific Logo

Search

搜索全部或下列指定分类
Search button
          • 联系我们
          • 货号直购
          • 登录
            登录
            没有账号?建立账号 注册
            • 我的账号
            • 订单
            • 会员中心
            • 账单及发票查询
            • 定制产品及项目
          • Primary Antibodies ›
          • RXRA Antibodies

          Invitrogen

          RXRA Polyclonal Antibody

          查看其他22个RXRA抗体

          {{$productOrderCtrl.translations['antibody.pdp.commerceCard.promotion.promotions']}}

          {{$productOrderCtrl.translations['antibody.pdp.commerceCard.promotion.viewpromo']}}

          {{$productOrderCtrl.translations['antibody.pdp.commerceCard.promotion.promocode']}}: {{promo.promoCode}} {{promo.promoTitle}} {{promo.promoDescription}}. {{$productOrderCtrl.translations['antibody.pdp.commerceCard.promotion.learnmore']}}

          说明书
          证书
          实验方案
          问题与答案
          技术支持
          说明书
          证书
          实验方案
          问题与答案
          技术支持
          说明书
          证书
          实验方案
          问题与答案
          技术支持

          Cite RXRA Polyclonal Antibody

          Additional Information:
          {{banner.description}}
          {{$ctrl.isSkuNotesCollapsed ? 'View more' : 'View less'}}
          • 抗体检测数据 (3)
          RXRA Antibody in Immunohistochemistry (Paraffin) (IHC (P))
          Group 53 Created with Sketch.
          RXRA Antibody in Immunohistochemistry (Paraffin) (IHC (P))
          Group 53 Created with Sketch.

          图: 1 / 3

          {{ $ctrl.currentElement.advancedVerification.fullName }}
          {{ $ctrl.currentElement.advancedVerification.text }}

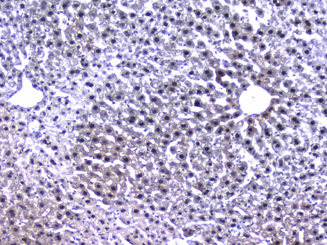
          RXRA Antibody (PA5-79945) in IHC (P)

          Immunohistochemistry analysis of RXRA on paraffin-embedded mouse liver tissue. Antigen retrieval was performed using citrate buffer (pH6, epitope retrieval solution) for 20 mins. Sample was blocked using 10% goat serum, incubated with RXRA polyclonal antibody (Product# PA5-79945) with a dilution of 1 µg/mL (overnight at 4°C), and followed by biotinylated goat anti-rabbit IgG (30 minutes at 37°C). Developmen... View More {{ $ctrl.currentElement.advancedVerification.fullName }} 验证信息 View more
          已发表图片由___提供 benchsci-logo
          PMID: {{$ctrl.currentElement.benchSciPubmedId}}
          查看产品

          {{$ctrl.videoDesc}}

          {{$ctrl.videoLongDesc}}

          RXRA Antibody in Immunohistochemistry (Paraffin) (IHC (P))
          RXRA Antibody in Immunohistochemistry (Paraffin) (IHC (P))
          RXRA Antibody in Western Blot (WB)
          RXRA Polyclonal Antibody

          产品信息

          PA5-79945

          应用
          建议稀释比
          已发表文章

          免疫印迹 (WB)

          0.1-0.5 µg/mL
          -

          免疫组化(石蜡) (IHC (P))

          0.5-1 µg/mL
          -

          免疫细胞化学 (ICC/IF)

          2 µg/mL
          -

          流式细胞分析 (Flow)

          1-3 µg/1x10^6 cells
          -

          酶联免疫吸附实验 (ELISA)

          0.1-0.5 µg/mL
          -
          产品规格

          种属反应

          Human, Mouse, Rat

          宿主/亚型

          Rabbit / IgG

          分类

          Polyclonal

          类型

          Antibody

          抗原

          E. coli-derived human RXRA recombinant protein (Position: A226-T462).
          3D表位/免疫原

          偶联物

          Unconjugated Unconjugated Unconjugated

          形式

          Lyophilized

          浓度

          500 µg/mL

          规格

          100 µg

          纯化类型

          Antigen affinity chromatography

          保存液

          PBS with 4mg trehalose

          内含物

          0.05mg sodium azide

          保存条件

          -20°C

          运输条件

          Ambient (domestic); Wet ice (international)

          RRID

          AB_2747060

          产品详细信息

          Reconstitute with 0.2 mL of distilled water to yield a concentration of 500 µg/mL.

          Positive Control - WB: human Hela whole cell, human COLO-320 whole cell, human A431 whole cell, human MCF-7 whole cell, rat heart tissue, mouse heart tissue. IHC: mouse liver tissue, rat liver tissue. ICC/IF: A431 cell. Flow: A431 cell.

          靶标信息

          Retinoic Acid (RA; active metabolite of vitamin A) plays a prominent role in regulating the transition of proliferating precursor cells (such as carcinoma cells and neuronal precursors) to postmitotic differentiated cells. The Retinoid X Receptors (RXRs) family (RXR alpha, beta, and gamma), preferentially bind 9-cis -RA and regulate gene transcription by forming heterodimers with a second family of RA receptors. RAs have been suggested to potentially play a therapeutic role in cervical cancer. RAs are known to play key roles in neuronal development and an increasing body of evidence indicates that retinoid signaling may regulate synaptic plasticity and associated learning and memory behaviors.

          仅用于科研。不用于诊断过程。未经明确授权不得转售。

          篇参考文献 (0)

          您是否在文献中引用过该产品?请点击下方按钮邮件告知我们。
          引用该产品

          生物信息学

          蛋白别名: Nuclear receptor subfamily 2 group B member 1; ORF-3; Retinoic acid receptor RXR-alpha; retinoid X nuclear receptor alpha; retinoid X receptor; Retinoid X receptor alpha; rxr alpha; RXR alpha 1; unnamed protein product

          查看更多 收起

          基因别名: 9530071D11Rik; NR2B1; RXR-alpha; RXRA; RXRalpha; RXRalpha1

          查看更多 收起

          UniProt ID: (Human) P19793, (Mouse) P28700

          查看更多 收起

          Entrez Gene ID: (Human) 6256, (Rat) 25271, (Mouse) 20181

          查看更多 收起

          功能
          transcription regulatory region sequence-specific DNA binding RNA polymerase II regulatory region sequence-specific DNA binding RNA polymerase II core promoter proximal region sequence-specific DNA binding RNA polymerase II transcription factor activity, sequence-specific DNA binding transcription cofactor binding retinoic acid binding DNA binding double-stranded DNA binding transcription factor activity, sequence-specific DNA binding steroid hormone receptor activity RNA polymerase II transcription factor activity, ligand-activated sequence-specific DNA binding protein binding zinc ion binding enzyme binding peptide binding identical protein binding vitamin D receptor binding sequence-specific DNA binding retinoic acid-responsive element binding metal ion binding DBD domain binding LBD domain binding vitamin D response element binding sequence-specific double-stranded DNA binding 9-cis retinoic acid receptor activity transcription factor binding protein domain specific binding chromatin DNA binding protein complex binding retinoic acid receptor binding transcription regulatory region DNA binding protein heterodimerization activity C4 zinc finger nuclear receptor
          参与通路
          negative regulation of transcription from RNA polymerase II promoter positive regulation of thyroid hormone receptor signaling pathway regulation of transcription, DNA-templated nervous system development hormone-mediated signaling pathway positive regulation of cholesterol efflux cell differentiation monocyte differentiation positive regulation of bone mineralization intracellular steroid hormone receptor signaling pathway response to retinoic acid peroxisome proliferator activated receptor signaling pathway mRNA transcription from RNA polymerase II promoter positive regulation of lipid metabolic process positive regulation of transcription, DNA-templated positive regulation of transcription from RNA polymerase II promoter retinoic acid receptor signaling pathway cell maturation positive regulation of vitamin D receptor signaling pathway cellular response to low-density lipoprotein particle stimulus nucleus-associated proteasomal ubiquitin-dependent protein catabolic process positive regulation of lipoprotein transport in utero embryonic development liver development placenta development maternal placenta development transcription, DNA-templated regulation of transcription from RNA polymerase II promoter transcription from RNA polymerase II promoter inflammatory response midgut development heart development female pregnancy embryo implantation aging response to nutrient negative regulation of cell proliferation response to selenium ion response to organic cyclic compound modulation by virus of host morphology or physiology axon regeneration regulation of myelination cellular response to insulin stimulus response to vitamin A response to vitamin D camera-type eye development positive regulation of apoptotic process steroid hormone mediated signaling pathway response to ethanol positive regulation of translational initiation by iron protein homotetramerization response to glucocorticoid ventricular cardiac muscle tissue morphogenesis ventricular cardiac muscle cell differentiation cardiac muscle cell proliferation secretory columnal luminar epithelial cell differentiation involved in prostate glandular acinus development regulation of branching involved in prostate gland morphogenesis positive regulation of transcription from RNA polymerase II promoter involved in cellular response to chemical stimulus heart morphogenesis negative regulation of gene expression cardiac muscle cell differentiation mesenchyme development angiogenesis involved in coronary vascular morphogenesis visceral serous pericardium development
          It has to be done as per old AB suggested Products section.

          Disclaimer

          Close

          Clicking the images or links will redirect you to a website hosted by BenchSci that provides third-party scientific content. Neither the content nor the BenchSci technology and processes for selection have been evaluated by us; we are providing them as-is and without warranty of any kind, including for use or application of the Thermo Fisher Scientific products presented.

          guarantee_icon

          性能保障

          只要您发现Invitrogen抗体在实验中的表现与网站或说明书的所述内容不符,您即可享受免费退换货服务。*

          了解更多
          help_icon

          随时为您服务

          获取常见问题的专家解答,或者直接联系我们的技术专家,咨询应用、设备、常规产品使用问题。

          联系技术支持
          订购 Plus Icon Minus Icon
          • 订单状态查询
          • 订单支持
          • 货号直购
          • 现货供应中心
          • 电子采购
          支持 Plus Icon Minus Icon
          • 帮助&支持
          • 联系我们 - 400 820 8982
          • 技术支持中心
          • 查找文件&证书
          • 报告网站问题
          资源 Plus Icon Minus Icon
          • 学习中心
          • 促销
          • 活动&研讨会
          • 社交媒体
          关于赛默飞 Plus Icon Minus Icon
          • 关于我们
          • 招聘 招聘
          • 投资者关系 投资者关系
          • 新闻 新闻
          • 社会责任 社会责任
          • 商标
          • 政策和通知
          品牌 Plus Icon Minus Icon
          • Thermo Scientific
          • Applied Biosystems
          • Invitrogen
          • Gibco
          • Ion Torrent
          • Unity Lab Services
          • Patheon
          • PPD
          • 服务条款
          • 隐私政策
          • 定价和运输保险政策
          © 2006-2026 Thermo Fisher Scientific Inc. All rights reserved. All trademarks are the property of Thermo Fisher Scientific and its subsidiaries unless otherwise specified.
          China flag icon
          China
          本网站销售的所有产品均不得用于人类或动物之临床诊断或治疗,仅可用于工业或者科研等非医疗目的。
             电子营业执照 | 经营证照公示 | ICP备案号:沪ICP备11003924号 | 沪公网安备 31011502006935号

          Your items have has been added!


          Host server : magellan-search-green-6479c7f679-zb4k5:80/100.66.74.142:80.
          git-commit: b70c0dceb888abc3b0dcebb5bc3a5b8753e7e816
          git-url: https://github.com/thermofisher/magellan-search
          git-branch: release/2.50.0-Offline