Hamburger Menu Button
Thermo Fisher Scientific Logo
登录
没有账号?建立账号 注册
  • 产品
    • 抗体
    • 引物合成
    • GeneArt Gene Synthesis Instant Designer
    • TaqMan Assay and Array Search
    • PCR 设备和耗材
    • 色谱柱和纯化柱
    • 实验室离心机
    • 分子生物学试剂和试剂盒
    • 实验室塑料耗材及用品
    • 查看所有产品分类
  • 应用和技术
    • 色谱
    • 细胞转染和培养
    • 实时荧光定量PCR
    • 质谱
    • 实验室塑料耗材及用品
    • 电子显微镜
    • 蛋白质生物学
    • PCR
    • RNAi
    • 环境
    • 查看所有应用和技术
  • 服务
    • 定制服务
    • 企业级实验室信息化服务
    • 金融&租赁服务
    • 仪器服务
    • OEM和商业供应
    • 培训服务
    • 360° CDMO 和 CRO 服务
    • CDMO 服务
    • 临床试验 CRO 服务
    • Unity Lab Services
    • 查看所有帮助和支持
  • 帮助和支持
    • 学习中心
    • 联系我们
    • 更改国家或地区
    • 查看所有帮助和支持
  • 热门产品
    • TaqMan Real-Time PCR Assays
      TaqMan 实时荧光定量 PCR 试剂盒
    • Antibodies
      抗体
    • Oligos, Primers & Probes
      寡核苷酸、引物、探针
    • GeneArt Gene Synthesis
      GeneArt 基因合成
    • Cell Culture Plastics
      细胞培养耗材
  • Who We Serve
    • 抗体治疗解决方案
    • 细胞与基因治疗解决方案
    • 学术科研
    • 工业与应用
  • 联系我们
  • 货号直购
  • 订单查询
  • 查找文件&证书
Thermo Fisher Scientific Logo

Search

搜索全部或下列指定分类
Search button
          • 联系我们
          • 货号直购
          • 登录
            登录
            没有账号?建立账号 注册
            • 我的账号
            • 订单
            • 账单及发票查询
            • 定制产品及项目
          • Primary Antibodies ›
          • RAC1 Antibodies

          Proteintech

          Rac1 Polyclonal Antibody

          84 篇参考文献
          查看其他10个RAC1抗体

          {{$productOrderCtrl.translations['antibody.pdp.commerceCard.promotion.promotions']}}

          {{$productOrderCtrl.translations['antibody.pdp.commerceCard.promotion.viewpromo']}}

          {{$productOrderCtrl.translations['antibody.pdp.commerceCard.promotion.promocode']}}: {{promo.promoCode}} {{promo.promoTitle}} {{promo.promoDescription}}. {{$productOrderCtrl.translations['antibody.pdp.commerceCard.promotion.learnmore']}}

          说明书
          证书
          实验方案
          问题与答案
          技术支持
          说明书
          证书
          实验方案
          问题与答案
          技术支持
          说明书
          证书
          实验方案
          问题与答案
          技术支持

          Cite Rac1 Polyclonal Antibody

          Additional Information:
          {{banner.description}}
          {{$ctrl.isSkuNotesCollapsed ? 'View more' : 'View less'}}
          • 抗体检测数据 (9)
          Rac1 Antibody in Immunocytochemistry (ICC/IF)
          Group 53 Created with Sketch.
          Rac1 Antibody in Immunocytochemistry (ICC/IF)
          Group 53 Created with Sketch.

          图: 1 / 9

          {{ $ctrl.currentElement.advancedVerification.fullName }}
          {{ $ctrl.currentElement.advancedVerification.text }}

          Rac1 Antibody (24072-1-AP) in ICC/IF

          Immunofluorescent analysis of (-20°C Ethanol) fixed HeLa cells using (Product # 24072-1-AP) (Rac1 antibody), at dilution of 1:200 and CoraLite®488-Conjugated AffiniPure Goat Anti-Rabbit IgG(H+L). {{ $ctrl.currentElement.advancedVerification.fullName }} 验证信息 View more
          已发表图片由___提供 benchsci-logo
          PMID: {{$ctrl.currentElement.benchSciPubmedId}}
          查看产品

          {{$ctrl.videoDesc}}

          {{$ctrl.videoLongDesc}}

          Rac1 Antibody in Immunocytochemistry (ICC/IF)
          Rac1 Antibody in Immunocytochemistry (ICC/IF)
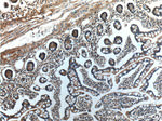
          Rac1 Antibody in Immunohistochemistry (Paraffin) (IHC (P))
          Rac1 Antibody in Immunohistochemistry (Paraffin) (IHC (P))
          Rac1 Antibody in Immunohistochemistry (Paraffin) (IHC (P))
          Rac1 Antibody in Immunohistochemistry (Paraffin) (IHC (P))
          Rac1 Antibody in Western Blot (WB)
          Rac1 Antibody in Western Blot (WB)
          Rac1 Antibody in Western Blot (WB)
          Rac1 Polyclonal Antibody

          产品信息

          24072-1-AP

          应用
          建议稀释比
          已发表文章

          免疫印迹 (WB)

          1:500-1:1,000
          查看64篇已发表文章 64篇已发表文章

          免疫组化 (IHC)

          -
          查看6篇已发表文章 6篇已发表文章

          免疫组化(石蜡) (IHC (P))

          1:50-1:500
          -

          免疫细胞化学 (ICC/IF)

          1:50-1:500
          查看8篇已发表文章 8篇已发表文章

          免疫沉淀 (IP)

          -
          查看4篇已发表文章 4篇已发表文章

          其他PubMed (Misc)

          -
          查看1篇已发表文章 1篇已发表文章

          不适用 (N/A)

          -
          查看1篇已发表文章 1篇已发表文章
          产品规格

          种属反应

          Human, Mouse, Rat

          已发表种属

          Human, Mouse, Rat

          宿主/亚型

          Rabbit / IgG

          分类

          Polyclonal

          类型

          Antibody

          抗原

          Rac1 Fusion Protein Ag17779 (1-192 aa encoded by BC004247)
          3D表位/免疫原

          偶联物

          Unconjugated Unconjugated Unconjugated

          形式

          Liquid

          浓度

          0.3 mg/mL

          规格

          45 µg

          纯化类型

          Antigen affinity chromatography

          保存液

          PBS, pH 7.3, with 50% glycerol

          内含物

          0.02% sodium azide

          保存条件

          -20°C

          运输条件

          Wet ice (domestic); Dry ice (international)

          产品详细信息

          Immunogen sequence: MQAIKCVVV GDGAVGKTCL LISYTTNAFP GEYIPTVFDN YSANVMVDGK PVNLGLWDTA GQEDYDRLRP LSYPQTDVFL ICFSLVSPAS FENVRAKWYP EVRHHCPNTP IILVGTKLDL RDDKDTIEKL KEKKLIPITY PQGLAMAKEI GAVKYLECSA LTQRGLKTVF DEAIRAVLCP PPVKKRKRKC LLL (1-192 aa encoded by BC004247)

          靶标信息

          The protein encoded by this gene is a GTPase which belongs to the RAS superfamily of small GTP-binding proteins. Members of this superfamily appear to regulate a diverse array of cellular events, including the control of cell growth, cytoskeletal reorganization, and the activation of protein kinases. Two transcript variants encoding different isoforms have been found for this gene.

          仅用于科研。不用于诊断过程。未经明确授权不得转售。

          生物信息学

          蛋白别名: Cell migration-inducing gene 5 protein; MGC111543; p21-Rac1; Rac1ins; ras-like protein; Ras-like protein TC25; ras-related C3 botulinum toxin substrate; Ras-related C3 botulinum toxin substrate 1; ras-related C3 botulinum toxin substrate 1 (rho family small GTP binding protein Rac1); ras-related C3 botulinum toxin substrate 1 (rho family, small GTP binding protein Rac1); rho family, small GTP binding protein Rac1; unnamed protein product

          查看更多 收起

          基因别名: AL023026; D5Ertd559e; MIG5; MRD48; p21-Rac1; Rac; Rac-1; RAC1; TC-25; TC25

          查看更多 收起

          UniProt ID: (Human) P63000, (Mouse) P63001, (Rat) Q6RUV5

          查看更多 收起

          Entrez Gene ID: (Human) 5879, (Mouse) 19353, (Rat) 363875

          查看更多 收起

          功能
          nucleotide binding GTPase activity obsolete small monomeric GTPase activity protein binding GTP binding hydrolase activity enzyme binding protein kinase binding GTP-dependent protein binding thioesterase binding macromolecular complex binding Rho GDP-dissociation inhibitor binding Rab GTPase binding histone deacetylase binding immunoglobulin small GTPase
          参与通路
          neuron migration positive regulation of protein phosphorylation auditory receptor cell morphogenesis sphingosine-1-phosphate signaling pathway epithelial cell morphogenesis endocytosis phagocytosis, engulfment inflammatory response hyperosmotic response cytoskeleton organization actin filament organization cell adhesion cell-matrix adhesion establishment or maintenance of cell polarity enzyme linked receptor protein signaling pathway G-protein coupled receptor signaling pathway small GTPase mediated signal transduction axon guidance motor neuron axon guidance regulation of cell shape response to wounding anatomical structure morphogenesis regulation of hydrogen peroxide metabolic process regulation of lamellipodium assembly positive regulation of lamellipodium assembly positive regulation of endothelial cell migration regulation of fibroblast migration negative regulation of fibroblast migration regulation of cell-substrate adhesion positive regulation of cell-substrate adhesion regulation of neuron maturation dendrite development cell migration Rac protein signal transduction cerebral cortex radially oriented cell migration embryonic olfactory bulb interneuron precursor migration cerebral cortex GABAergic interneuron development regulation of cell morphogenesis cell projection assembly lamellipodium assembly actin cytoskeleton organization actin filament polymerization regulation of cell migration positive regulation of actin filament polymerization cortical cytoskeleton organization forebrain development positive regulation of microtubule polymerization ruffle organization response to lipopolysaccharide negative regulation of interleukin-23 production regulation of actin cytoskeleton organization substrate adhesion-dependent cell spreading positive regulation of Rho protein signal transduction intracellular signal transduction non-canonical Wnt signaling pathway positive regulation of insulin secretion involved in cellular response to glucose stimulus superoxide anion generation erythrocyte enucleation engulfment of apoptotic cell cell-cell junction organization regulation of nitric oxide biosynthetic process respiratory burst regulation of JAK-STAT cascade hepatocyte growth factor receptor signaling pathway regulation of neuronal synaptic plasticity negative regulation of receptor-mediated endocytosis anatomical structure arrangement neuron projection morphogenesis dendrite morphogenesis cell motility homeostasis of number of cells within a tissue regulation of stress fiber assembly positive regulation of stress fiber assembly localization within membrane positive regulation of focal adhesion assembly positive regulation of protein kinase B signaling synaptic transmission, GABAergic Wnt signaling pathway, planar cell polarity pathway regulation of respiratory burst cell chemotaxis positive regulation of dendritic spine development regulation of cell adhesion involved in heart morphogenesis regulation of ERK5 cascade semaphorin-plexin signaling pathway dopaminergic neuron differentiation protein localization to plasma membrane angiotensin-activated signaling pathway involved in heart process positive regulation of neutrophil chemotaxis cochlea morphogenesis ruffle assembly regulation of postsynapse assembly positive regulation of substrate adhesion-dependent cell spreading positive regulation of ruffle assembly regulation of synaptic vesicle endocytosis regulation of neutrophil migration positive regulation of bicellular tight junction assembly positive regulation of skeletal muscle acetylcholine-gated channel clustering interneuron migration midbrain dopaminergic neuron differentiation positive regulation of ovarian follicle development regulation of neuron migration mast cell chemotaxis chemotaxis metabolic process cell proliferation positive regulation of phosphatidylinositol 3-kinase activity bone resorption positive regulation of DNA replication cellular response to mechanical stimulus
          It has to be done as per old AB suggested Products section.

          Disclaimer

          Close

          Clicking the images or links will redirect you to a website hosted by BenchSci that provides third-party scientific content. Neither the content nor the BenchSci technology and processes for selection have been evaluated by us; we are providing them as-is and without warranty of any kind, including for use or application of the Thermo Fisher Scientific products presented.

          guarantee_icon

          性能保障

          只要您发现Invitrogen抗体在实验中的表现与网站或说明书的所述内容不符,您即可享受免费退换货服务。*

          了解更多
          help_icon

          随时为您服务

          获取常见问题的专家解答,或者直接联系我们的技术专家,咨询应用、设备、常规产品使用问题。

          联系技术支持
          订购 Plus Icon Minus Icon
          • 订单状态查询
          • 订单支持
          • 货号直购
          • 现货供应中心
          • 电子采购
          支持 Plus Icon Minus Icon
          • 帮助&支持
          • 联系我们 - 400 820 8982
          • 技术支持中心
          • 查找文件&证书
          • 报告网站问题
          资源 Plus Icon Minus Icon
          • 学习中心
          • 促销
          • 活动&研讨会
          • 社交媒体
          关于赛默飞 Plus Icon Minus Icon
          • 关于我们
          • 招聘 招聘
          • 投资者关系 投资者关系
          • 新闻 新闻
          • 社会责任 社会责任
          • 商标
          • 政策和通知
          品牌 Plus Icon Minus Icon
          • Thermo Scientific
          • Applied Biosystems
          • Invitrogen
          • Gibco
          • Ion Torrent
          • Unity Lab Services
          • Patheon
          • PPD
          • 服务条款
          • 隐私政策
          • 定价和运输保险政策
          © 2006-2026 Thermo Fisher Scientific Inc. All rights reserved. All trademarks are the property of Thermo Fisher Scientific and its subsidiaries unless otherwise specified.
          China flag icon
          China
          本网站销售的所有产品均不得用于人类或动物之临床诊断或治疗,仅可用于工业或者科研等非医疗目的。
             电子营业执照 | 经营证照公示 | ICP备案号:沪ICP备11003924号 | 沪公网安备 31011502006935号

          Your items have has been added!


          Host server : magellan-search-green-b49b87d85-n9r8p:80/100.66.76.150:80.
          git-commit: 5b8c860b7cdb41e9cfe07630520f6b51e109d38e
          git-url: https://github.com/thermofisher/magellan-search
          git-branch: release/2.47.0-Offline