Hamburger Menu Button
Thermo Fisher Scientific Logo
登录
没有账号?建立账号 注册
  • 产品
    • 抗体
    • 引物合成
    • GeneArt Gene Synthesis Instant Designer
    • TaqMan Assay and Array Search
    • PCR 设备和耗材
    • 色谱柱和纯化柱
    • 实验室离心机
    • 分子生物学试剂和试剂盒
    • 实验室塑料耗材及用品
    • 查看所有产品分类
  • 应用和技术
    • 色谱
    • 细胞转染和培养
    • 实时荧光定量PCR
    • 质谱
    • 实验室塑料耗材及用品
    • 电子显微镜
    • 蛋白质生物学
    • PCR
    • RNAi
    • 环境
    • 查看所有应用和技术
  • 服务
    • 定制服务
    • 企业级实验室信息化服务
    • 企业服务
    • 金融&租赁服务
    • 仪器服务
    • OEM和商业供应
    • 培训服务
    • 360° CDMO 和 CRO 服务
    • CDMO 服务
    • 临床试验 CRO 服务
    • 查看所有帮助和支持
  • 帮助和支持
    • 学习中心
    • 联系我们
    • 更改国家或地区
    • 查看所有帮助和支持
  • 热门产品
    • TaqMan Real-Time PCR Assays
      TaqMan 实时荧光定量 PCR 试剂盒
    • Antibodies
      抗体
    • Oligos, Primers & Probes
      寡核苷酸、引物、探针
    • GeneArt Gene Synthesis
      GeneArt 基因合成
    • Cell Culture Plastics
      细胞培养耗材
  • 联系我们
  • 货号直购
  • 订单查询
  • 查找文件&证书
Thermo Fisher Scientific Logo

Search

搜索全部或下列指定分类
Search button
          • 联系我们
          • 货号直购
          • 登录
            登录
            没有账号?建立账号 注册
            • 我的账号
            • 订单
            • 账单及发票查询
            • 定制产品及项目

          Disclaimer

          Clicking the images or links will redirect you to a website hosted by BenchSci that provides third-party scientific content. Neither the content nor the BenchSci technology and processes for selection have been evaluated by us; we are providing them as-is and without warranty of any kind, including for use or application of the Thermo Fisher Scientific products presented.

          • Primary Antibodies ›
          • Rb Antibodies

          NeoBiotechnologies

          Rb1 (Tumor Suppressor Protein) Monoclonal Antibody (RB1, 1754)

          查看其他72个Rb抗体

          {{$productOrderCtrl.translations['antibody.pdp.commerceCard.promotion.promotions']}}

          {{$productOrderCtrl.translations['antibody.pdp.commerceCard.promotion.viewpromo']}}

          {{$productOrderCtrl.translations['antibody.pdp.commerceCard.promotion.promocode']}}: {{promo.promoCode}} {{promo.promoTitle}} {{promo.promoDescription}}. {{$productOrderCtrl.translations['antibody.pdp.commerceCard.promotion.learnmore']}}

          说明书
          实验方案
          问题与答案
          技术支持
          说明书
          实验方案
          问题与答案
          技术支持
          说明书
          实验方案
          问题与答案
          技术支持

          Cite Rb1 (Tumor Suppressor Protein) Monoclonal Antibody (RB1, 1754)

          • 抗体检测数据 (2)
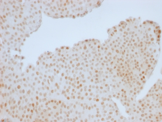
          Rb1 (Tumor Suppressor Protein) Antibody in Immunohistochemistry (Paraffin) (IHC (P))
          Group 53 Created with Sketch.
          Rb1 (Tumor Suppressor Protein) Antibody in Immunohistochemistry (Paraffin) (IHC (P))
          Group 53 Created with Sketch.

          图: 1 / 2

          {{ $ctrl.currentElement.advancedVerification.fullName }}
          {{ $ctrl.currentElement.advancedVerification.text }}

          Rb1 (Tumor Suppressor Protein) Antibody (5925-MSM2-P1) in IHC (P)

          Immunohistochemistry (Paraffin) analysis performed in formalin fixed, paraffin-embedded human colon using Rb1 (Tumor Suppressor Protein) Monoclonal Antibody (Product # 5925-MSM2-P1). {{ $ctrl.currentElement.advancedVerification.fullName }} 验证信息 View more
          已发表图片由___提供 benchsci-logo
          PMID: {{$ctrl.currentElement.benchSciPubmedId}}
          查看产品

          {{$ctrl.videoDesc}}

          {{$ctrl.videoLongDesc}}

          Rb1 (Tumor Suppressor Protein) Antibody in Immunohistochemistry (Paraffin) (IHC (P))
          Rb1 (Tumor Suppressor Protein) Antibody in Immunohistochemistry (Paraffin) (IHC (P))
          Rb1 (Tumor Suppressor Protein) Monoclonal Antibody (RB1, 1754)

          产品信息

          5925-MSM2-P1

          应用
          建议稀释比
          已发表文章

          免疫组化(石蜡) (IHC (P))

          1-2 µg/mL
          -
          产品规格

          种属反应

          Human, Mouse

          宿主/亚型

          Mouse / IgG1, kappa

          分类

          Monoclonal

          类型

          Antibody

          克隆号

          RB1, 1754

          抗原

          Recombinant human Rb1 protein. The antigen corresponds to amino acid range 1-928 of the target protein.
          查看免疫原

          偶联物

          Unconjugated Unconjugated Unconjugated

          形式

          Liquid

          浓度

          200 µg/mL

          纯化类型

          Protein A/G

          保存液

          PBS, pH 7.4, with 0.05% BSA

          内含物

          0.05% sodium azide

          保存条件

          4°C

          运输条件

          Ambient (domestic); Wet ice (international)

          产品详细信息

          Immunohistochemistry (PFA fixed): incubate antibody for 30 min RT. Staining of formalin-fixed tissues requires heating tissue sections in 10mM Tris with 1mM EDTA, pH 9.0, for 45 min at 95 degrees C followed by cooling at RT for 20 minutes.

          靶标信息

          Rb is a tumor suppressor nuclear phosphoprotein capable of binding to DNA. It is phosphorylated on serine and threonine, but not on tyrosine residues. It forms a complex with SV40 large T antigen, adenovirus E1A, and human papilloma virus-16 E. Rb protein may act by regulating transcription and loss of its function leads to uncontrolled cell growth. Aberrations in the RB gene have been implicated in cancers of breast, colon, prostate, kidney, nasopharynx, and leukemia.

          仅用于科研。不用于诊断过程。未经明确授权不得转售。

          篇参考文献 (0)

          您是否在文献中引用过该产品?请点击下方按钮邮件告知我们。
          引用该产品

          生物信息学

          蛋白别名: Cleaved Rb; delta RB-p70; DRb-p70; exon 17 tumor GOS561 substitution mutation causes premature stop; GOS563 exon 17 substitution mutation causes premature stop; p105-Rb; P105RB; p110-RB1; Phospho-Retinoblastoma; pp105; pp110; pRb; prepro-retinoblastoma-associated protein; protein phosphatase 1, regulatory subunit 130; Rb; Rb-p70; Retin; Retinoblastoma; retinoblastoma 1; retinoblastoma gene; retinoblastoma suspectibility protein; Retinoblastoma-associated protein

          查看更多 收起

          基因别名: OSRC; p105-Rb; pp110; PPP1R130; pRb; RB; Rb-1; RB1

          查看更多 收起

          UniProt ID: (Human) P06400, (Mouse) P13405

          查看更多 收起

          Entrez Gene ID: (Human) 5925, (Mouse) 19645

          查看更多 收起

          功能
          core promoter binding RNA polymerase II activating transcription factor binding DNA binding transcription factor activity, sequence-specific DNA binding transcription coactivator activity protein binding transcription factor binding kinase binding ubiquitin protein ligase binding identical protein binding androgen receptor binding phosphoprotein binding enzyme binding chromatin/chromatin-binding, or -regulatory protein
          参与通路
          cell cycle checkpoint G1/S transition of mitotic cell cycle regulation of transcription involved in G1/S transition of mitotic cell cycle chromatin remodeling transcription, DNA-templated negative regulation of protein kinase activity cell cycle arrest negative regulation of transcription from RNA polymerase II promoter during mitosis mitotic cell cycle checkpoint Ras protein signal transduction regulation of mitotic cell cycle negative regulation of gene expression viral process covalent chromatin modification androgen receptor signaling pathway sister chromatid biorientation neuron projection development maintenance of mitotic sister chromatid cohesion glial cell apoptotic process skeletal muscle cell differentiation neuron maturation enucleate erythrocyte differentiation negative regulation of sequence-specific DNA binding transcription factor activity regulation of lipid kinase activity myoblast differentiation positive regulation of macrophage differentiation positive regulation of mitotic metaphase/anaphase transition negative regulation of smoothened signaling pathway negative regulation of transcription, DNA-templated positive regulation of transcription, DNA-templated positive regulation of transcription from RNA polymerase II promoter digestive tract development cell morphogenesis involved in neuron differentiation negative regulation of epithelial cell proliferation striated muscle cell differentiation cell division neuron apoptotic process protein localization to chromosome, centromeric region cellular response to xenobiotic stimulus regulation of cohesin loading negative regulation of transcription involved in G1/S transition of mitotic cell cycle regulation of centromere complex assembly hepatocyte apoptotic process negative regulation of G1/S transition of mitotic cell cycle positive regulation of transcription regulatory region DNA binding negative regulation of transcription from RNA polymerase II promoter regulation of transcription, DNA-templated regulation of transcription from RNA polymerase II promoter cell cycle negative regulation of cell proliferation chromatin modification neuron differentiation negative regulation of cell cycle negative regulation of mitotic cell cycle regulation of cell cycle negative regulation of hepatocyte apoptotic process
          It has to be done as per old AB suggested Products section.
          guarantee_icon

          性能保障

          只要您发现Invitrogen抗体在实验中的表现与网站或说明书的所述内容不符,您即可享受免费退换货服务。*

          了解更多
          help_icon

          随时为您服务

          获取常见问题的专家解答,或者直接联系我们的技术专家,咨询应用、设备、常规产品使用问题。

          联系技术支持
          订购 Plus Icon Minus Icon
          • 订单状态查询
          • 订单支持
          • 货号直购
          • 现货供应中心
          • 电子采购
          支持 Plus Icon Minus Icon
          • 帮助&支持
          • 联系我们 - 400 820 8982
          • 技术支持中心
          • 查找文件&证书
          • 报告网站问题
          资源 Plus Icon Minus Icon
          • 学习中心
          • 促销
          • 活动&研讨会
          • 社交媒体
          关于赛默飞 Plus Icon Minus Icon
          • 关于我们
          • 招聘 招聘
          • 投资者关系 投资者关系
          • 新闻 新闻
          • 社会责任 社会责任
          • 商标
          • 政策和通知
          品牌 Plus Icon Minus Icon
          • Thermo Scientific
          • Applied Biosystems
          • Invitrogen
          • Gibco
          • Ion Torrent
          • Patheon
          • PPD
          • 服务条款
          • 隐私政策
          • 定价和运输保险政策
          © 2006-2025 Thermo Fisher Scientific Inc. All rights reserved. All trademarks are the property of Thermo Fisher Scientific and its subsidiaries unless otherwise specified.
          China flag icon
          China
          本网站销售的所有产品均不得用于人类或动物之临床诊断或治疗,仅可用于工业或者科研等非医疗目的。
             电子营业执照 | 经营证照公示 | ICP备案号:沪ICP备11003924号 | 沪公网安备 31011502006935号

          Your items have has been added!


          Host server : magellan-search-green-55658555d6-h6m8v:80/100.66.79.224:80.
          git-commit: ec8e7df5f8fec8d765bd419205f1b5046a016d37
          git-url: https://github.com/thermofisher/magellan-search
          git-branch: release/2.41.0-Offline