Hamburger Menu Button
Thermo Fisher Scientific Logo
登录
没有账号?建立账号 注册
  • 产品
    • 抗体
    • 引物合成
    • GeneArt Gene Synthesis Instant Designer
    • TaqMan Assay and Array Search
    • PCR 设备和耗材
    • 色谱柱和纯化柱
    • 实验室离心机
    • 分子生物学试剂和试剂盒
    • 实验室塑料耗材及用品
    • 查看所有产品分类
  • 应用和技术
    • 色谱
    • 细胞转染和培养
    • 实时荧光定量PCR
    • 质谱
    • 实验室塑料耗材及用品
    • 电子显微镜
    • 蛋白质生物学
    • PCR
    • RNAi
    • 环境
    • 查看所有应用和技术
  • 服务
    • 定制服务
    • 企业级实验室信息化服务
    • 金融&租赁服务
    • 仪器服务
    • OEM和商业供应
    • 培训服务
    • 360° CDMO 和 CRO 服务
    • CDMO 服务
    • 临床试验 CRO 服务
    • Unity Lab Services
    • 查看所有帮助和支持
  • 帮助和支持
    • 学习中心
    • 联系我们
    • 更改国家或地区
    • 查看所有帮助和支持
  • 热门产品
    • TaqMan Real-Time PCR Assays
      TaqMan 实时荧光定量 PCR 试剂盒
    • Antibodies
      抗体
    • Oligos, Primers & Probes
      寡核苷酸、引物、探针
    • GeneArt Gene Synthesis
      GeneArt 基因合成
    • Cell Culture Plastics
      细胞培养耗材
  • Who We Serve
    • 抗体治疗解决方案
    • 细胞与基因治疗解决方案
    • 学术科研
    • 工业与应用
  • 联系我们
  • 货号直购
  • 订单查询
  • 查找文件&证书
Thermo Fisher Scientific Logo

Search

搜索全部或下列指定分类
Search button
          • 联系我们
          • 货号直购
          • 登录
            登录
            没有账号?建立账号 注册
            • 我的账号
            • 订单
            • 会员中心
            • 账单及发票查询
            • 定制产品及项目
          • Primary Antibodies ›
          • RyR2 Antibodies

          Alomone Labs, LTD

          Ryanodine Receptor 2 Polyclonal Antibody

          查看其他7个RyR2抗体

          {{$productOrderCtrl.translations['antibody.pdp.commerceCard.promotion.promotions']}}

          {{$productOrderCtrl.translations['antibody.pdp.commerceCard.promotion.viewpromo']}}

          {{$productOrderCtrl.translations['antibody.pdp.commerceCard.promotion.promocode']}}: {{promo.promoCode}} {{promo.promoTitle}} {{promo.promoDescription}}. {{$productOrderCtrl.translations['antibody.pdp.commerceCard.promotion.learnmore']}}

          说明书
          证书
          实验方案
          问题与答案
          技术支持
          说明书
          证书
          实验方案
          问题与答案
          技术支持
          说明书
          证书
          实验方案
          问题与答案
          技术支持

          Cite Ryanodine Receptor 2 Polyclonal Antibody

          Additional Information:
          {{banner.description}}
          {{$ctrl.isSkuNotesCollapsed ? 'View more' : 'View less'}}
          • 抗体检测数据 (3)
          Ryanodine Receptor 2 Antibody in Immunohistochemistry (Paraffin) (IHC (P))
          Group 53 Created with Sketch.
          Ryanodine Receptor 2 Antibody in Immunohistochemistry (Paraffin) (IHC (P))
          Group 53 Created with Sketch.

          图: 1 / 3

          {{ $ctrl.currentElement.advancedVerification.fullName }}
          {{ $ctrl.currentElement.advancedVerification.text }}

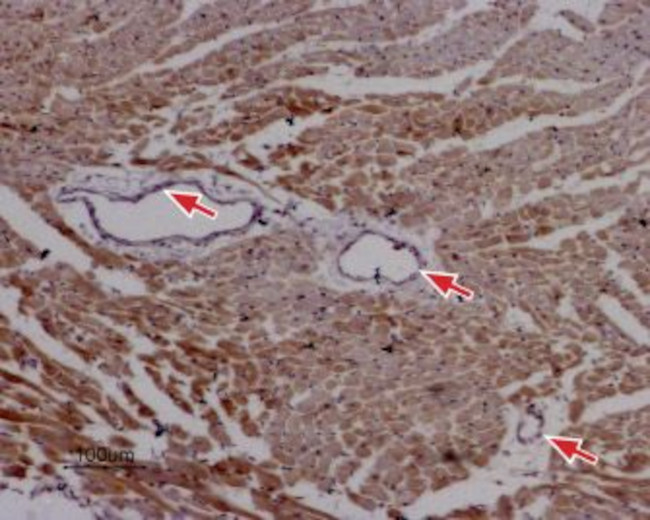
          Ryanodine Receptor 2 Antibody (ARR-002-200UL) in IHC (P)

          Expression of RyR2 in rat cardiac muscle - Immunohistochemical staining of paraffin-embedded sections of ratmyocardium using Anti-Ryanodine Receptor 2 Antibody (#ARR-002), (1:50). Staining is specific for cardiomyocytes while smooth muscles cells in the artery walls are negative (red arrows). Hematoxilin is used as the counterstain. {{ $ctrl.currentElement.advancedVerification.fullName }} 验证信息 View more
          已发表图片由___提供 benchsci-logo
          PMID: {{$ctrl.currentElement.benchSciPubmedId}}
          查看产品

          {{$ctrl.videoDesc}}

          {{$ctrl.videoLongDesc}}

          Ryanodine Receptor 2 Antibody in Immunohistochemistry (Paraffin) (IHC (P))
          Ryanodine Receptor 2 Antibody in Immunohistochemistry (Frozen) (IHC (F))
          Ryanodine Receptor 2 Antibody in Western Blot (WB)
          Ryanodine Receptor 2 Polyclonal Antibody

          产品信息

          ARR-002-200UL

          应用
          建议稀释比
          已发表文章

          免疫印迹 (WB)

          1:200
          -

          免疫组化(石蜡) (IHC (P))

          1:50
          -

          免疫组化(冰冻) (IHC (F))

          1:100
          -
          产品规格

          种属反应

          Human, Mouse, Rat

          宿主/亚型

          Rabbit / IgG

          分类

          Polyclonal

          类型

          Antibody

          抗原

          CAGESMSPGQGRNN, corresponding to amino acid residues 1489-1502 of human RyR2, Intracellular, N-terminus
          3D表位/免疫原

          偶联物

          Unconjugated Unconjugated Unconjugated

          形式

          Lyophilized

          浓度

          0.8 mg/mL

          规格

          160 µg

          纯化类型

          Antigen affinity chromatography

          保存液

          PBS, pH 7.4, with 1% BSA

          内含物

          0.05% sodium azide

          保存条件

          -20°C, Avoid Freeze/Thaw Cycles

          运输条件

          Ambient (domestic); Wet ice (international)

          产品详细信息

          Reconstitution: 25 µL, 50 µL or 0.2 mL double distilled water (DDW), depending on the sample size. The antibody ships as a lyophilized powder at room temperature. Upon arrival, it should be stored at -20C. The reconstituted solution can be stored at 4C for up to 1 week. For longer periods, small aliquots should be stored at -20C. Avoid multiple freezing and thawing. Centrifuge all antibody preparations before use (10000 x g 5 min).

          靶标信息

          Dihydropyridine receptor (DHPR) is a surface membrane protein critical for the excitation-contraction coupling of striated muscle. DHPR and the sarcoplasmic reticulum ryanodine receptor (RyR) are two key components of the intracellular junctions, where depolarization of the surface membrane is converted into the release of Ca2+ from internal stores. The alpha1-subunit of the DHPR contains a cytoplasmic loop which is thought to be involved in the interactions with RyR. Phosphorylation of the DHPR alpha1-subunit is also thought to play a role in the functional interaction of DHPR and RyR. Mutation in DHPR alpha1 results in excitation-contraction uncoupling, leading to muscular dysgenesis, a complete inactivity in developing skeletal muscles. Cells that do not express RyR also lack excitation-contraction coupling and exhibit a severalfold reduction in Ca2+ current density.

          仅用于科研。不用于诊断过程。未经明确授权不得转售。

          篇参考文献 (0)

          您是否在文献中引用过该产品?请点击下方按钮邮件告知我们。
          引用该产品

          生物信息学

          蛋白别名: calcium release channel; Cardiac muscle ryanodine receptor; Cardiac muscle ryanodine receptor-calcium release channel; cardiac-type ryanodine receptor; hRYR-2; islet-type ryanodine receptor; kidney-type ryanodine receptor; Ryanodine receptor; Ryanodine receptor 2; ryanodine receptor 2 (cardiac); ryanodine receptor type 2; ryanodine receptor type II; RYR-2; Type 2 ryanodine receptor; unnamed protein product

          查看更多 收起

          基因别名: 9330127I20Rik; ARVC2; ARVD2; RyR; RYR-2; RYR2; VACRDS; VTSIP

          查看更多 收起

          UniProt ID: (Human) Q92736, (Rat) B0LPN4, (Mouse) E9Q401

          查看更多 收起

          Entrez Gene ID: (Human) 6262, (Rat) 689560, (Mouse) 20191

          查看更多 收起

          功能
          ion channel activity ryanodine-sensitive calcium-release channel activity calcium channel activity calcium ion binding protein binding calmodulin binding calcium-release channel activity enzyme binding protein kinase binding protein kinase A catalytic subunit binding protein kinase A regulatory subunit binding identical protein binding suramin binding ion channel binding calcium-induced calcium release activity protein self-association scaffold protein binding organic cyclic compound binding ligand-gated ion channel scaffold/adaptor protein
          参与通路
          response to hypoxia regulation of heart rate embryonic heart tube morphogenesis left ventricular cardiac muscle tissue morphogenesis cardiac muscle hypertrophy detection of calcium ion ion transport calcium ion transport cellular calcium ion homeostasis striated muscle contraction positive regulation of heart rate regulation of cardiac muscle contraction by regulation of the release of sequestered calcium ion regulation of cardiac muscle contraction by calcium ion signaling release of sequestered calcium ion into cytosol by sarcoplasmic reticulum response to muscle activity calcium-mediated signaling response to caffeine ion transmembrane transport response to muscle stretch release of sequestered calcium ion into cytosol positive regulation of sequestering of calcium ion regulation of cytosolic calcium ion concentration establishment of localization in cell response to redox state transmembrane transport regulation of cardiac muscle contraction cardiac muscle contraction calcium ion transport into cytosol sarcoplasmic reticulum calcium ion transport calcium ion transmembrane transport cellular response to caffeine cellular response to epinephrine stimulus establishment of protein localization to endoplasmic reticulum ventricular cardiac muscle cell action potential Purkinje myocyte to ventricular cardiac muscle cell signaling cell communication by electrical coupling involved in cardiac conduction type B pancreatic cell apoptotic process calcium ion transmembrane import into cytosol positive regulation of the force of heart contraction regulation of AV node cell action potential regulation of SA node cell action potential regulation of atrial cardiac muscle cell action potential regulation of ventricular cardiac muscle cell action potential response to nutrient BMP signaling pathway response to magnesium ion calcium-mediated signaling using intracellular calcium source response to drug negative regulation of cytosolic calcium ion concentration response to calcium ion canonical Wnt signaling pathway cytosolic calcium ion transport manganese ion transmembrane transport positive regulation of ryanodine-sensitive calcium-release channel activity by adrenergic receptor signaling pathway involved in positive regulation of cardiac muscle contraction positive regulation of calcium-transporting ATPase activity transport multicellular organism development
          It has to be done as per old AB suggested Products section.

          Disclaimer

          Close

          Clicking the images or links will redirect you to a website hosted by BenchSci that provides third-party scientific content. Neither the content nor the BenchSci technology and processes for selection have been evaluated by us; we are providing them as-is and without warranty of any kind, including for use or application of the Thermo Fisher Scientific products presented.

          guarantee_icon

          性能保障

          只要您发现Invitrogen抗体在实验中的表现与网站或说明书的所述内容不符,您即可享受免费退换货服务。*

          了解更多
          help_icon

          随时为您服务

          获取常见问题的专家解答,或者直接联系我们的技术专家,咨询应用、设备、常规产品使用问题。

          联系技术支持
          订购 Plus Icon Minus Icon
          • 订单状态查询
          • 订单支持
          • 货号直购
          • 现货供应中心
          • 电子采购
          支持 Plus Icon Minus Icon
          • 帮助&支持
          • 联系我们 - 400 820 8982
          • 技术支持中心
          • 查找文件&证书
          • 报告网站问题
          资源 Plus Icon Minus Icon
          • 学习中心
          • 促销
          • 活动&研讨会
          • 社交媒体
          关于赛默飞 Plus Icon Minus Icon
          • 关于我们
          • 招聘 招聘
          • 投资者关系 投资者关系
          • 新闻 新闻
          • 社会责任 社会责任
          • 商标
          • 政策和通知
          品牌 Plus Icon Minus Icon
          • Thermo Scientific
          • Applied Biosystems
          • Invitrogen
          • Gibco
          • Ion Torrent
          • Unity Lab Services
          • Patheon
          • PPD
          • 服务条款
          • 隐私政策
          • 定价和运输保险政策
          © 2006-2026 Thermo Fisher Scientific Inc. All rights reserved. All trademarks are the property of Thermo Fisher Scientific and its subsidiaries unless otherwise specified.
          China flag icon
          China
          本网站销售的所有产品均不得用于人类或动物之临床诊断或治疗,仅可用于工业或者科研等非医疗目的。
             电子营业执照 | 经营证照公示 | ICP备案号:沪ICP备11003924号 | 沪公网安备 31011502006935号

          Your items have has been added!


          Host server : magellan-search-green-6479c7f679-7tw72:80/100.66.78.195:80.
          git-commit: b70c0dceb888abc3b0dcebb5bc3a5b8753e7e816
          git-url: https://github.com/thermofisher/magellan-search
          git-branch: release/2.50.0-Offline