Hamburger Menu Button
Thermo Fisher Scientific Logo
登录
没有账号?建立账号 注册
  • 产品
    • 抗体
    • 引物合成
    • GeneArt Gene Synthesis Instant Designer
    • TaqMan Assay and Array Search
    • PCR 设备和耗材
    • 色谱柱和纯化柱
    • 实验室离心机
    • 分子生物学试剂和试剂盒
    • 实验室塑料耗材及用品
    • 查看所有产品分类
  • 应用和技术
    • 色谱
    • 细胞转染和培养
    • 实时荧光定量PCR
    • 质谱
    • 实验室塑料耗材及用品
    • 电子显微镜
    • 蛋白质生物学
    • PCR
    • RNAi
    • 环境
    • 查看所有应用和技术
  • 服务
    • 定制服务
    • 企业级实验室信息化服务
    • 金融&租赁服务
    • 仪器服务
    • OEM和商业供应
    • 培训服务
    • 360° CDMO 和 CRO 服务
    • CDMO 服务
    • 临床试验 CRO 服务
    • Unity Lab Services
    • 查看所有帮助和支持
  • 帮助和支持
    • 学习中心
    • 联系我们
    • 更改国家或地区
    • 查看所有帮助和支持
  • 热门产品
    • TaqMan Real-Time PCR Assays
      TaqMan 实时荧光定量 PCR 试剂盒
    • Antibodies
      抗体
    • Oligos, Primers & Probes
      寡核苷酸、引物、探针
    • GeneArt Gene Synthesis
      GeneArt 基因合成
    • Cell Culture Plastics
      细胞培养耗材
  • Who We Serve
    • 抗体治疗解决方案
    • 细胞与基因治疗解决方案
    • 学术科研
    • 工业与应用
  • 联系我们
  • 货号直购
  • 订单查询
  • 查找文件&证书
Thermo Fisher Scientific Logo

Search

搜索全部或下列指定分类
Search button
          • 联系我们
          • 货号直购
          • 登录
            登录
            没有账号?建立账号 注册
            • 我的账号
            • 订单
            • 会员中心
            • 账单及发票查询
            • 定制产品及项目
          • Primary Antibodies ›
          • Calprotectin Antibodies

          NeoBiotechnologies

          S100A9 + Calprotectin (S100A8/A9 Complex) Recombinant Rabbit Monoclonal Antibody (MAC3157R)

          查看其他38个Calprotectin抗体

          {{$productOrderCtrl.translations['antibody.pdp.commerceCard.promotion.promotions']}}

          {{$productOrderCtrl.translations['antibody.pdp.commerceCard.promotion.viewpromo']}}

          {{$productOrderCtrl.translations['antibody.pdp.commerceCard.promotion.promocode']}}: {{promo.promoCode}} {{promo.promoTitle}} {{promo.promoDescription}}. {{$productOrderCtrl.translations['antibody.pdp.commerceCard.promotion.learnmore']}}

          说明书
          证书
          实验方案
          问题与答案
          技术支持
          说明书
          证书
          实验方案
          问题与答案
          技术支持
          说明书
          证书
          实验方案
          问题与答案
          技术支持

          Cite S100A9 + Calprotectin (S100A8/A9 Complex) Recombinant Rabbit Monoclonal Antibody (MAC3157R)

          Additional Information:
          {{banner.description}}
          {{$ctrl.isSkuNotesCollapsed ? 'View more' : 'View less'}}
          • 抗体检测数据 (3)
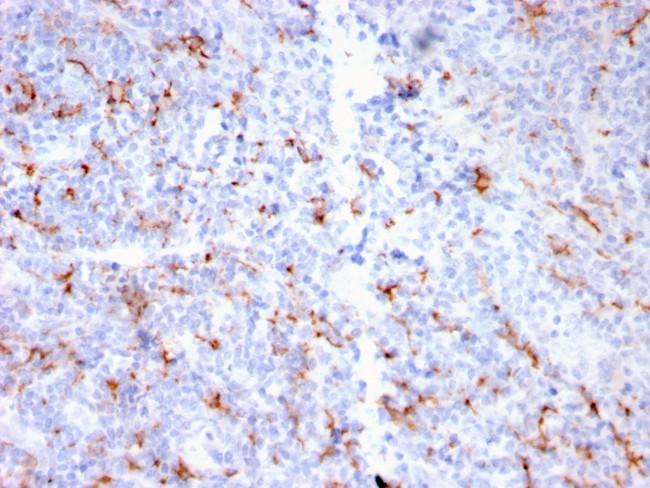
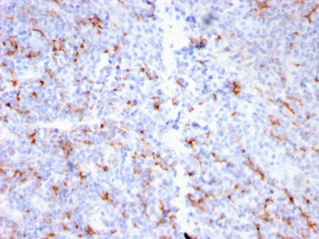
          S100A9 + Calprotectin (S100A8/A9 Complex) Antibody in Immunohistochemistry (Paraffin) (IHC (P))
          Group 53 Created with Sketch.
          S100A9 + Calprotectin (S100A8/A9 Complex) Antibody in Immunohistochemistry (Paraffin) (IHC (P))
          Group 53 Created with Sketch.

          图: 1 / 3

          {{ $ctrl.currentElement.advancedVerification.fullName }}
          {{ $ctrl.currentElement.advancedVerification.text }}

          S100A9 + Calprotectin (S100A8/A9 Complex) Antibody (6279-RBM5-P1ABX) in IHC (P)

          Immunohistochemistry (Paraffin) analysis performed in formalin fixed, paraffin-embedded human tonsil using S100A9 + Calprotectin (S100A8, A9 Complex) Recombinant Monoclonal Antibody (Product # 6279-RBM5-P1ABX). {{ $ctrl.currentElement.advancedVerification.fullName }} 验证信息 View more
          已发表图片由___提供 benchsci-logo
          PMID: {{$ctrl.currentElement.benchSciPubmedId}}
          查看产品

          {{$ctrl.videoDesc}}

          {{$ctrl.videoLongDesc}}

          S100A9 + Calprotectin (S100A8/A9 Complex) Antibody in Immunohistochemistry (Paraffin) (IHC (P))
          S100A9 + Calprotectin (S100A8/A9 Complex) Antibody in Immunohistochemistry (Paraffin) (IHC (P))
          S100A9 + Calprotectin (S100A8/A9 Complex) Antibody in SDS-PAGE (SDS-PAGE)

          产品信息

          6279-RBM5-P1ABX

          应用
          建议稀释比
          已发表文章

          免疫组化(石蜡) (IHC (P))

          1-2 µg/mL
          -
          产品规格

          种属反应

          Baboon, Bovine, Dog, Horse, Cat, Guinea pig, Goat, Human, Mouse, Non-human primate, Pig, Rabbit, Rat

          宿主/亚型

          Rabbit / IgG

          Expression System

          HEK293 cells

          分类

          Recombinant Monoclonal

          类型

          Antibody

          克隆号

          MAC3157R

          抗原

          Affinity Purified monocyte membrane preparation

          偶联物

          Unconjugated Unconjugated Unconjugated

          形式

          Liquid

          浓度

          1 mg/mL

          规格

          100 µg

          纯化类型

          Protein A/G

          保存液

          PBS, pH 7.4

          内含物

          no preservative

          保存条件

          -20°C or -80°C if preferred

          运输条件

          Ambient (domestic); Wet ice (international)

          产品详细信息

          Immunohistochemistry (PFA fixed): incubate antibody for 30 min RT. Staining of formalin-fixed tissues requires heating tissue sections in 10mM Tris with 1mM EDTA, pH 9.0, for 45 min at 95 degrees C followed by cooling at RT for 20 minutes.

          靶标信息

          The S100A8/A9 heterocomplex, also called MRP-8/MRP-14 complex or calprotectin, comprises 60% of the cytoplasmic protein fraction of circulating polymorphonuclear granulocytes and is also found in monocytes, macrophages and ileal tissue eosinophils. Peripheral blood monocytes carry the antigen extra- and intracellularly, neutrophils only intracellularly. The S100A8/A9 complex has antibacterial, antifungal, immunomodulating and antiproliferative effects. Besides this it is a potent chemotactic factor for neutrophils. Plasma concentrations are elevated in diseases associated with increased neutrophil activity, like inflammatory bowel disease. Granulocytes terminate their existence after transmigration through the intestinal wall. Therefore calprotectin is also detectable in feces. Elevated levels of calprotectin have been observed in body fluids such as plasma, saliva, gingival crevicular fluid, stools, and synovial fluid during infection and inflammatory conditions.

          仅用于科研。不用于诊断过程。未经明确授权不得转售。

          篇参考文献 (0)

          您是否在文献中引用过该产品?请点击下方按钮邮件告知我们。
          引用该产品

          生物信息学

          蛋白别名: AI323541; B8Ag; BEE11; BEE22; calcium binding protein; S100 protein; calgranulin A; calgranulin B; Calgranulin-A; Calgranulin-B; calprotectin; Calprotectin L1H subunit; Calprotectin L1L subunit; CFAG; Chemotactic cytokine CP-10; chemotactic S100 protein; Cystic fibrosis antigen; intracellular calcium-binding protein (MRP14); Leukocyte L1 complex heavy chain; Leukocyte L1 complex light chain; macrophage migration inhibitory factor-related protein-14; macrophage migration inhibitory factor-related protein-8; Migration inhibitory factor-related protein 14; Migration inhibitory factor-related protein 8; MRP-14; MRP-8; Myeloid-related protein 14; Neutrophil cytosolic 23 kDa protein; Neutrophil cytosolic 7 kDa protein; p14; p23; P7; p8; Pro-inflammatory S100 cytokine; Protein S100-A8; Protein S100-A9; S100 calcium binding protein A8; S100 calcium binding protein A8 (calgranulin A); S100 calcium binding protein A9 (calgranulin B); S100 calcium-binding protein A8; S100 calcium-binding protein A8 (calgranulin A); S100 calcium-binding protein A9; S100 calcium-binding protein A9 (calgranulin B); S100A8; S100A8/S100A9; S100A9; unnamed protein product; Urinary stone protein band A

          查看更多 收起

          基因别名: 60B8AG; AI323541; AW546964; B8Ag; BEE22; CAGA; CAGB; CFAG; CGLA; CGLB; CP-10; GAGB; L1AG; LIAG; MA387; MAC387; MIF; MRP-14; MRP-8; MRP14; MRP8; NIF; P14; P8; S100-A8; S100-A9; S100A8; S100A9

          查看更多 收起

          UniProt ID: (Human) P05109, (Bovine) P28782, (Bovine) P28783, (Human) P06702, (Rabbit) P50117, (Rat) P50115, (Mouse) P27005, (Mouse) P31725, (Rat) P50116

          查看更多 收起

          Entrez Gene ID: (Guinea pig) 100735514, (Horse) 100061766, (Dog) 490461, (Human) 6279, (Bovine) 616818, (Pig) 100127488, (Rabbit) 100008985, (Goat) 102168876, (Dog) 490463, (Bovine) 532569, (Pig) 100127489, (Human) 6280, (Horse) 100061730, (Rabbit) 100008704, (Goat) 102182273, (Rat) 116547, (Mouse) 20201, (Mouse) 20202, (Guinea pig) 100735238, (Rat) 94195

          查看更多 收起

          功能
          calcium ion binding protein binding microtubule binding zinc ion binding Toll-like receptor 4 binding metal ion binding calcium-dependent protein binding arachidonic acid binding RAGE receptor binding antioxidant activity molecular_function calmodulin-related
          参与通路
          immune system process leukocyte migration involved in inflammatory response chronic inflammatory response peptide secretion positive regulation of peptide secretion autophagy apoptotic process chemotaxis inflammatory response response to zinc ion astrocyte development peptidyl-cysteine S-nitrosylation positive regulation of cell growth neutrophil chemotaxis response to lipopolysaccharide regulation of toll-like receptor signaling pathway autocrine signaling defense response to bacterium endothelial cell migration innate immune response response to ethanol positive regulation of inflammatory response defense response to fungus regulation of cytoskeleton organization neutrophil aggregation positive regulation of intrinsic apoptotic signaling pathway activation of cysteine-type endopeptidase activity involved in apoptotic process cellular oxidant detoxification cell-cell signaling positive regulation of neuron projection development peptidyl-cysteine S-trans-nitrosylation regulation of respiratory burst involved in inflammatory response antimicrobial humoral immune response mediated by antimicrobial peptide acute inflammatory response wound healing regulation of inflammatory response regulation of translation leukocyte chemotaxis actin cytoskeleton reorganization regulation of integrin biosynthetic process
          It has to be done as per old AB suggested Products section.

          Disclaimer

          Close

          Clicking the images or links will redirect you to a website hosted by BenchSci that provides third-party scientific content. Neither the content nor the BenchSci technology and processes for selection have been evaluated by us; we are providing them as-is and without warranty of any kind, including for use or application of the Thermo Fisher Scientific products presented.

          guarantee_icon

          性能保障

          只要您发现Invitrogen抗体在实验中的表现与网站或说明书的所述内容不符,您即可享受免费退换货服务。*

          了解更多
          help_icon

          随时为您服务

          获取常见问题的专家解答,或者直接联系我们的技术专家,咨询应用、设备、常规产品使用问题。

          联系技术支持
          订购 Plus Icon Minus Icon
          • 订单状态查询
          • 订单支持
          • 货号直购
          • 现货供应中心
          • 电子采购
          支持 Plus Icon Minus Icon
          • 帮助&支持
          • 联系我们 - 400 820 8982
          • 技术支持中心
          • 查找文件&证书
          • 报告网站问题
          资源 Plus Icon Minus Icon
          • 学习中心
          • 促销
          • 活动&研讨会
          • 社交媒体
          关于赛默飞 Plus Icon Minus Icon
          • 关于我们
          • 招聘 招聘
          • 投资者关系 投资者关系
          • 新闻 新闻
          • 社会责任 社会责任
          • 商标
          • 政策和通知
          品牌 Plus Icon Minus Icon
          • Thermo Scientific
          • Applied Biosystems
          • Invitrogen
          • Gibco
          • Ion Torrent
          • Unity Lab Services
          • Patheon
          • PPD
          • 服务条款
          • 隐私政策
          • 定价和运输保险政策
          © 2006-2026 Thermo Fisher Scientific Inc. All rights reserved. All trademarks are the property of Thermo Fisher Scientific and its subsidiaries unless otherwise specified.
          China flag icon
          China
          本网站销售的所有产品均不得用于人类或动物之临床诊断或治疗,仅可用于工业或者科研等非医疗目的。
             电子营业执照 | 经营证照公示 | ICP备案号:沪ICP备11003924号 | 沪公网安备 31011502006935号

          Your items have has been added!


          Host server : magellan-search-green-6479c7f679-v472f:80/100.66.78.195:80.
          git-commit: b70c0dceb888abc3b0dcebb5bc3a5b8753e7e816
          git-url: https://github.com/thermofisher/magellan-search
          git-branch: release/2.50.0-Offline