Hamburger Menu Button
Thermo Fisher Scientific Logo
登录
没有账号?建立账号 注册
  • 产品
    • 抗体
    • 引物合成
    • GeneArt Gene Synthesis Instant Designer
    • TaqMan Assay and Array Search
    • PCR 设备和耗材
    • 色谱柱和纯化柱
    • 实验室离心机
    • 分子生物学试剂和试剂盒
    • 实验室塑料耗材及用品
    • 查看所有产品分类
  • 应用和技术
    • 色谱
    • 细胞转染和培养
    • 实时荧光定量PCR
    • 质谱
    • 实验室塑料耗材及用品
    • 电子显微镜
    • 蛋白质生物学
    • PCR
    • RNAi
    • 环境
    • 查看所有应用和技术
  • 服务
    • 定制服务
    • 企业级实验室信息化服务
    • 金融&租赁服务
    • 仪器服务
    • OEM和商业供应
    • 培训服务
    • 360° CDMO 和 CRO 服务
    • CDMO 服务
    • 临床试验 CRO 服务
    • Unity Lab Services
    • 查看所有帮助和支持
  • 帮助和支持
    • 学习中心
    • 联系我们
    • 更改国家或地区
    • 查看所有帮助和支持
  • 热门产品
    • TaqMan Real-Time PCR Assays
      TaqMan 实时荧光定量 PCR 试剂盒
    • Antibodies
      抗体
    • Oligos, Primers & Probes
      寡核苷酸、引物、探针
    • GeneArt Gene Synthesis
      GeneArt 基因合成
    • Cell Culture Plastics
      细胞培养耗材
  • Who We Serve
    • 抗体治疗解决方案
    • 细胞与基因治疗解决方案
    • 学术科研
    • 工业与应用
  • 联系我们
  • 货号直购
  • 订单查询
  • 查找文件&证书
Thermo Fisher Scientific Logo

Search

搜索全部或下列指定分类
Search button
          • 联系我们
          • 货号直购
          • 登录
            登录
            没有账号?建立账号 注册
            • 我的账号
            • 订单
            • 账单及发票查询
            • 定制产品及项目
          • Primary Antibodies ›
          • SAP97 Antibodies

          Huabio

          SAP97 Polyclonal Antibody

          查看其他18个SAP97抗体

          {{$productOrderCtrl.translations['antibody.pdp.commerceCard.promotion.promotions']}}

          {{$productOrderCtrl.translations['antibody.pdp.commerceCard.promotion.viewpromo']}}

          {{$productOrderCtrl.translations['antibody.pdp.commerceCard.promotion.promocode']}}: {{promo.promoCode}} {{promo.promoTitle}} {{promo.promoDescription}}. {{$productOrderCtrl.translations['antibody.pdp.commerceCard.promotion.learnmore']}}

          说明书
          证书
          实验方案
          问题与答案
          技术支持
          说明书
          证书
          实验方案
          问题与答案
          技术支持
          说明书
          证书
          实验方案
          问题与答案
          技术支持

          Cite SAP97 Polyclonal Antibody

          Additional Information:
          {{banner.description}}
          {{$ctrl.isSkuNotesCollapsed ? 'View more' : 'View less'}}
          • 抗体检测数据 (4)
          SAP97 Antibody in Immunohistochemistry (Paraffin) (IHC (P))
          Group 53 Created with Sketch.
          SAP97 Antibody in Immunohistochemistry (Paraffin) (IHC (P))
          Group 53 Created with Sketch.

          图: 1 / 4

          {{ $ctrl.currentElement.advancedVerification.fullName }}
          {{ $ctrl.currentElement.advancedVerification.text }}

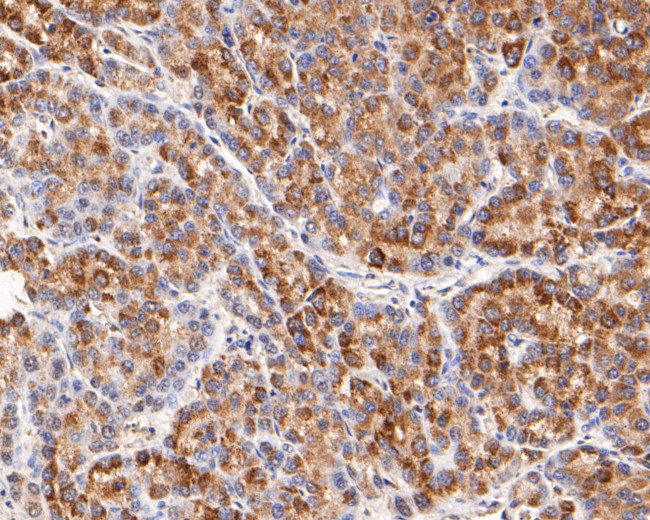
          SAP97 Antibody (ER2001-07) in IHC (P)

          Immunohistochemical analysis of paraffin-embedded human liver carcinoma tissue using anti-SAP97 antibody. The section was pre-treated using heat mediated antigen retrieval with Tris-EDTA buffer (pH 8.0-8.4) for 20 minutes. The tissues were blocked in 5% BSA for 30 minutes at room temperature, washed with ddH2O and PBS, and then probed with the primary antibody (ER2001-07, 1:50) for 30 minutes at room temper... View More {{ $ctrl.currentElement.advancedVerification.fullName }} 验证信息 View more
          已发表图片由___提供 benchsci-logo
          PMID: {{$ctrl.currentElement.benchSciPubmedId}}
          查看产品

          {{$ctrl.videoDesc}}

          {{$ctrl.videoLongDesc}}

          SAP97 Antibody in Immunohistochemistry (Paraffin) (IHC (P))
          SAP97 Antibody in Immunohistochemistry (Paraffin) (IHC (P))
          SAP97 Antibody in Western Blot (WB)
          SAP97 Antibody in Flow Cytometry (Flow)
          SAP97 Polyclonal Antibody

          产品信息

          ER2001-07

          应用
          建议稀释比
          已发表文章

          免疫印迹 (WB)

          1:500
          -

          免疫组化(石蜡) (IHC (P))

          1:50-1:200
          -

          流式细胞分析 (Flow)

          1:50-1:100
          -
          产品规格

          种属反应

          Human, Mouse

          宿主/亚型

          Rabbit / IgG

          分类

          Polyclonal

          类型

          Antibody

          抗原

          Synthetic peptide within human aa 1-100.
          3D表位/免疫原

          偶联物

          Unconjugated Unconjugated Unconjugated

          形式

          Liquid

          浓度

          1 mg/mL

          规格

          100 µg

          纯化类型

          Antigen affinity chromatography

          保存液

          TBS, pH 7.4, with 1% BSA, 50% glycerol

          内含物

          0.05% sodium azide

          保存条件

          Store at 4°C short term. For long term storage, store at -20°C, avoiding freeze/thaw cycles.

          运输条件

          Ambient (domestic); Wet ice (international)

          靶标信息

          This gene encodes a multi-domain scaffolding protein that is required for normal development. This protein may have a role in septate junction formation, signal transduction, cell proliferation, synaptogenesis and lymphocyte activation. Several alternatively spliced transcript variants encoding different isoforms have been described for this gene, but the full-length nature of some of the variants is not known.

          仅用于科研。不用于诊断过程。未经明确授权不得转售。

          篇参考文献 (0)

          您是否在文献中引用过该产品?请点击下方按钮邮件告知我们。
          引用该产品

          生物信息学

          蛋白别名: discs large homolog 1, scribble cell polarity complex component; Disks large homolog 1; dJ1061C18.1.1; DKFZp761P0818; DKFZp781B0426; E-dlg/SAP97; Embryo-dlg/synapse-associated protein 97; hDlg; presynaptic protein SAP97; SAP-97; Synapse-associated protein 97; unnamed protein product

          查看更多 收起

          基因别名: B130052P05Rik; DLG1; DLGH1; E-dlg/SAP97; hdlg; mKIAA4187; SAP-97; SAP97

          查看更多 收起

          UniProt ID: (Human) Q12959, (Mouse) Q811D0

          查看更多 收起

          Entrez Gene ID: (Human) 1739, (Mouse) 13383

          查看更多 收起

          功能
          guanylate kinase activity phosphoprotein phosphatase activity protein binding cytoskeletal protein binding potassium channel regulator activity kinase binding protein kinase binding phosphatase binding ionotropic glutamate receptor binding ion channel binding cadherin binding binding, bridging L27 domain binding structural constituent of postsynaptic density protein C-terminus binding PDZ domain binding mitogen-activated protein kinase kinase binding protein complex scaffold scaffold/adaptor protein
          参与通路
          negative regulation of transcription from RNA polymerase II promoter ureteric bud development branching involved in ureteric bud morphogenesis immunological synapse formation endothelial cell proliferation lens development in camera-type eye actin filament organization establishment or maintenance of cell polarity chemical synaptic transmission nervous system development protein localization cell proliferation positive regulation of cell proliferation regulation of cell shape actin filament polymerization peristalsis positive regulation of actin filament polymerization cortical actin cytoskeleton organization astral microtubule organization protein complex localization membrane raft organization regulation of myelination regulation of protein localization protein localization to synapse T cell proliferation T cell activation negative regulation of T cell proliferation regulation of membrane potential amyloid precursor protein metabolic process receptor clustering regulation of potassium ion transport positive regulation of potassium ion transport protein kinase B signaling cortical microtubule organization establishment or maintenance of epithelial cell apical/basal polarity GMP metabolic process GDP metabolic process reproductive structure development embryonic skeletal system morphogenesis tissue morphogenesis smooth muscle tissue development negative regulation of epithelial cell proliferation establishment of centrosome localization negative regulation of protein kinase B signaling hard palate development negative regulation of ERK1 and ERK2 cascade bicellular tight junction assembly protein localization to membrane protein localization to plasma membrane receptor localization to synapse cell-cell adhesion regulation of ventricular cardiac muscle cell action potential membrane repolarization during ventricular cardiac muscle cell action potential regulation of postsynaptic membrane neurotransmitter receptor levels maintenance of postsynaptic density structure neurotransmitter receptor localization to postsynaptic specialization membrane regulation of NIK/NF-kappaB signaling regulation of sodium ion transmembrane transport regulation of protein localization to synapse positive regulation of protein localization to plasma membrane regulation of potassium ion import negative regulation of p38MAPK cascade regulation of potassium ion export across plasma membrane protein localization to cell periphery negative regulation of G1/S transition of mitotic cell cycle T cell cytokine production single organismal cell-cell adhesion activation of protein kinase activity positive regulation of multicellular organism growth negative regulation of mitotic cell cycle nucleotide phosphorylation positive regulation of developmental growth positive regulation of establishment of protein localization to plasma membrane
          It has to be done as per old AB suggested Products section.

          Disclaimer

          Close

          Clicking the images or links will redirect you to a website hosted by BenchSci that provides third-party scientific content. Neither the content nor the BenchSci technology and processes for selection have been evaluated by us; we are providing them as-is and without warranty of any kind, including for use or application of the Thermo Fisher Scientific products presented.

          guarantee_icon

          性能保障

          只要您发现Invitrogen抗体在实验中的表现与网站或说明书的所述内容不符,您即可享受免费退换货服务。*

          了解更多
          help_icon

          随时为您服务

          获取常见问题的专家解答,或者直接联系我们的技术专家,咨询应用、设备、常规产品使用问题。

          联系技术支持
          订购 Plus Icon Minus Icon
          • 订单状态查询
          • 订单支持
          • 货号直购
          • 现货供应中心
          • 电子采购
          支持 Plus Icon Minus Icon
          • 帮助&支持
          • 联系我们 - 400 820 8982
          • 技术支持中心
          • 查找文件&证书
          • 报告网站问题
          资源 Plus Icon Minus Icon
          • 学习中心
          • 促销
          • 活动&研讨会
          • 社交媒体
          关于赛默飞 Plus Icon Minus Icon
          • 关于我们
          • 招聘 招聘
          • 投资者关系 投资者关系
          • 新闻 新闻
          • 社会责任 社会责任
          • 商标
          • 政策和通知
          品牌 Plus Icon Minus Icon
          • Thermo Scientific
          • Applied Biosystems
          • Invitrogen
          • Gibco
          • Ion Torrent
          • Unity Lab Services
          • Patheon
          • PPD
          • 服务条款
          • 隐私政策
          • 定价和运输保险政策
          © 2006-2026 Thermo Fisher Scientific Inc. All rights reserved. All trademarks are the property of Thermo Fisher Scientific and its subsidiaries unless otherwise specified.
          China flag icon
          China
          本网站销售的所有产品均不得用于人类或动物之临床诊断或治疗,仅可用于工业或者科研等非医疗目的。
             电子营业执照 | 经营证照公示 | ICP备案号:沪ICP备11003924号 | 沪公网安备 31011502006935号

          Your items have has been added!


          Host server : magellan-search-blue-744bc48644-454p7:80/100.66.72.101:80.
          git-commit: 747bde55a712f6f97bf7760408d445eefba4e16f
          git-url: https://github.com/thermofisher/magellan-search
          git-branch: release/2.48.0-Offline