Hamburger Menu Button
Thermo Fisher Scientific Logo
登录
没有账号?建立账号 注册
  • 产品
    • 抗体
    • 引物合成
    • GeneArt Gene Synthesis Instant Designer
    • TaqMan Assay and Array Search
    • PCR 设备和耗材
    • 色谱柱和纯化柱
    • 实验室离心机
    • 分子生物学试剂和试剂盒
    • 实验室塑料耗材及用品
    • 查看所有产品分类
  • 应用和技术
    • 色谱
    • 细胞转染和培养
    • 实时荧光定量PCR
    • 质谱
    • 实验室塑料耗材及用品
    • 电子显微镜
    • 蛋白质生物学
    • PCR
    • RNAi
    • 环境
    • 查看所有应用和技术
  • 服务
    • 定制服务
    • 企业级实验室信息化服务
    • 金融&租赁服务
    • 仪器服务
    • OEM和商业供应
    • 培训服务
    • 360° CDMO 和 CRO 服务
    • CDMO 服务
    • 临床试验 CRO 服务
    • Unity Lab Services
    • 查看所有帮助和支持
  • 帮助和支持
    • 学习中心
    • 联系我们
    • 更改国家或地区
    • 查看所有帮助和支持
  • 热门产品
    • TaqMan Real-Time PCR Assays
      TaqMan 实时荧光定量 PCR 试剂盒
    • Antibodies
      抗体
    • Oligos, Primers & Probes
      寡核苷酸、引物、探针
    • GeneArt Gene Synthesis
      GeneArt 基因合成
    • Cell Culture Plastics
      细胞培养耗材
  • Who We Serve
    • 抗体治疗解决方案
    • 细胞与基因治疗解决方案
    • 学术科研
    • 工业与应用
  • 联系我们
  • 货号直购
  • 订单查询
  • 查找文件&证书
Thermo Fisher Scientific Logo

Search

搜索全部或下列指定分类
Search button
          • 联系我们
          • 货号直购
          • 登录
            登录
            没有账号?建立账号 注册
            • 我的账号
            • 订单
            • 会员中心
            • 账单及发票查询
            • 定制产品及项目
          • Primary Antibodies ›
          • CXCL12 Antibodies

          Invitrogen

          SDF1 Polyclonal Antibody

          4个已发表图片
          5 篇参考文献
          查看其他25个CXCL12抗体

          {{$productOrderCtrl.translations['antibody.pdp.commerceCard.promotion.promotions']}}

          {{$productOrderCtrl.translations['antibody.pdp.commerceCard.promotion.viewpromo']}}

          {{$productOrderCtrl.translations['antibody.pdp.commerceCard.promotion.promocode']}}: {{promo.promoCode}} {{promo.promoTitle}} {{promo.promoDescription}}. {{$productOrderCtrl.translations['antibody.pdp.commerceCard.promotion.learnmore']}}

          说明书
          证书
          实验方案
          问题与答案
          技术支持
          说明书
          证书
          实验方案
          问题与答案
          技术支持
          说明书
          证书
          实验方案
          问题与答案
          技术支持

          Cite SDF1 Polyclonal Antibody

          Additional Information:
          {{banner.description}}
          {{$ctrl.isSkuNotesCollapsed ? 'View more' : 'View less'}}
          • 抗体检测数据 (5)
          • 已发表图片 (4)
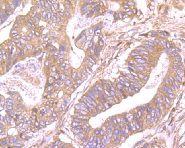
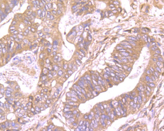
          SDF1 Antibody in Immunohistochemistry (Paraffin) (IHC (P))
          Group 53 Created with Sketch.
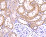
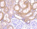
          SDF1 Antibody in Immunohistochemistry (Paraffin) (IHC (P))
          Group 53 Created with Sketch.

          图: 1 / 9

          {{ $ctrl.currentElement.advancedVerification.fullName }}
          {{ $ctrl.currentElement.advancedVerification.text }}

          SDF1 Antibody (PA5-114344) in IHC (P)

          Immunohistochemical analysis of SDF1 in paraffin-embedded human colon cancer tissue using a polyclonal antibody (Product #PA5-114344). The section was pre-treated using heat mediated antigen retrieval with Tris-EDTA buffer (pH 8.0-8.4) for 20 minutes. The tissues were blocked in 5% BSA for 30 minutes at room temperature, washed with ddH2O and PBS, and then probed with the primary antibody (1:100) for 30 min... View More {{ $ctrl.currentElement.advancedVerification.fullName }} 验证信息 View more
          已发表图片由___提供 benchsci-logo
          PMID: {{$ctrl.currentElement.benchSciPubmedId}}
          查看产品

          {{$ctrl.videoDesc}}

          {{$ctrl.videoLongDesc}}

          SDF1 Antibody in Immunohistochemistry (Paraffin) (IHC (P))
          SDF1 Antibody in Immunohistochemistry (Paraffin) (IHC (P))
          SDF1 Antibody in Immunohistochemistry (Paraffin) (IHC (P))
          SDF1 Antibody in Immunohistochemistry (Paraffin) (IHC (P))
          SDF1 Antibody in Western Blot (WB)
          SDF1 Antibody in Immunohistochemistry (IHC)
          SDF1 Antibody in Immunocytochemistry (ICC/IF)
          SDF1 Antibody in Immunohistochemistry (IHC)
          SDF1 Antibody in Western Blot (WB)
          SDF1 Polyclonal Antibody

          产品信息

          PA5-114344

          应用
          建议稀释比
          已发表文章

          免疫印迹 (WB)

          1:500
          查看1篇已发表文章 1篇已发表文章

          免疫组化 (IHC)

          -
          查看3篇已发表文章 3篇已发表文章

          免疫组化(石蜡) (IHC (P))

          1:50-1:600
          -

          免疫细胞化学 (ICC/IF)

          -
          查看1篇已发表文章 1篇已发表文章
          产品规格

          种属反应

          Human, Mouse, Rat

          已发表种属

          Human, Rat

          宿主/亚型

          Rabbit / IgG

          分类

          Polyclonal

          类型

          Antibody

          抗原

          Recombinant protein within human SDF1 alpha aa 1-93.
          3D表位/免疫原

          偶联物

          Unconjugated Unconjugated Unconjugated

          形式

          Liquid

          浓度

          1 mg/mL

          规格

          100 µg

          纯化类型

          Antigen affinity chromatography

          保存液

          PBS, pH 7.4, with 0.2% BSA, 50% glycerol

          内含物

          0.05% sodium azide

          保存条件

          Store at 4°C short term. For long term storage, store at -20°C, avoiding freeze/thaw cycles.

          运输条件

          Ambient (domestic); Wet ice (international)

          RRID

          AB_2890495

          靶标信息

          CXCL12 is a stromal cell-derived alpha chemokine member of the intercrine family. This gene product and its receptor CXCR4 can activate lymphocytes and have been implicated in the metastasis of some cancers such as breast cancer. Mutations in this gene are associated with resistance to human immunodeficiency virus type 1 infections. Multiple transcript variants encoding different isoforms have been found for this gene.

          仅用于科研。不用于诊断过程。未经明确授权不得转售。

          生物信息学

          蛋白别名: 12-O-tetradecanoylphorbol 13-acetate repressed protein 1; AI174028; C Cmotif chemokine; C X C motif chemokine; C-X-C motif chemokine 12; CC motif chemokine; CCmotif chemokine; chemokine; chemokine (C-X-C motif) ligand 12; chemokine (C-X-C motif) ligand 12 (stromal cell-derived factor 1); CXC; CXC motif chemokine; CXCL; CXCL12; hIRH; hSDF-1; Intercrine reduced in hepatomas; IRH; PBSF; Pre-B cell growth-stimulating factor; pre-B-cell growth-stimulating factor; SDF-1; SDF-1 delta; chemokine (C-X-C motif) ligand 12 transcript variant 5; SDF-1 epsilon; chemokine (C-X-C motif) ligand 12 transcript variant 6; SDF-1 gamma; SDF-1 gamma; chemokine (C-X-C motif) ligand 12 transcript variant 4; SDF-1 theta; chemokine (C-X-C motif) ligand 12 transcript variant 7; SDF-1a; SDF-1b; SDF1a; Stromal cell-derived factor 1; stromal cell-derived factor-1 alpha; stromal cell-derived factor-1 gamma; Thymic lymphoma cell-stimulating factor; TLSF; TLSF-a; TLSF-b; Tlsfa; Tlsfb; TPAR1; unnamed protein product

          查看更多 收起

          基因别名: CXCL12; IRH; PBSF; SCYB12; SDF1; SDF1A; SDF1B; TLSF; TPAR1

          查看更多 收起

          UniProt ID: (Human) P48061, (Mouse) P40224

          查看更多 收起

          Entrez Gene ID: (Human) 6387, (Rat) 24772, (Mouse) 20315

          查看更多 收起

          功能
          receptor binding cytokine activity integrin binding protein binding chemokine activity growth factor activity chemokine receptor binding CXCR chemokine receptor binding
          参与通路
          patterning of blood vessels response to hypoxia ameboidal-type cell migration neuron migration positive regulation of endothelial cell proliferation immune response germ cell development brain development motor neuron axon guidance positive regulation of cell proliferation adult locomotory behavior germ cell migration response to radiation response to heat response to mechanical stimulus cell migration telencephalon cell migration regulation of cell migration positive regulation of cell migration organ regeneration positive regulation of dopamine secretion T cell proliferation response to peptide hormone positive regulation of neuron differentiation positive regulation of cell adhesion positive regulation of axon extension involved in axon guidance induction of positive chemotaxis regulation of calcium ion transport cell chemotaxis chemokine-mediated signaling pathway positive regulation of monocyte chemotaxis positive regulation of myoblast fusion negative regulation of intrinsic apoptotic signaling pathway in response to DNA damage negative regulation of leukocyte tethering or rolling negative regulation of leukocyte apoptotic process positive regulation of T cell migration chemotaxis cellular calcium ion homeostasis defense response cell adhesion signal transduction G-protein coupled receptor signaling pathway adenylate cyclase-activating G-protein coupled receptor signaling pathway adenylate cyclase-inhibiting G-protein coupled receptor signaling pathway axon guidance blood circulation regulation of actin polymerization or depolymerization response to virus T cell chemotaxis killing of cells of other organism integrin activation chemokine (C-X-C motif) ligand 12 signaling pathway CXCL12-activated CXCR4 signaling pathway positive regulation of chemotaxis detection of temperature stimulus involved in sensory perception of pain detection of mechanical stimulus involved in sensory perception of pain antimicrobial humoral immune response mediated by antimicrobial peptide positive regulation of calcium ion import positive regulation of vasculature development response to ultrasound cellular response to chemokine negative regulation of dendritic cell apoptotic process
          It has to be done as per old AB suggested Products section.

          Disclaimer

          Close

          Clicking the images or links will redirect you to a website hosted by BenchSci that provides third-party scientific content. Neither the content nor the BenchSci technology and processes for selection have been evaluated by us; we are providing them as-is and without warranty of any kind, including for use or application of the Thermo Fisher Scientific products presented.

          guarantee_icon

          性能保障

          只要您发现Invitrogen抗体在实验中的表现与网站或说明书的所述内容不符,您即可享受免费退换货服务。*

          了解更多
          help_icon

          随时为您服务

          获取常见问题的专家解答,或者直接联系我们的技术专家,咨询应用、设备、常规产品使用问题。

          联系技术支持
          订购 Plus Icon Minus Icon
          • 订单状态查询
          • 订单支持
          • 货号直购
          • 现货供应中心
          • 电子采购
          支持 Plus Icon Minus Icon
          • 帮助&支持
          • 联系我们 - 400 820 8982
          • 技术支持中心
          • 查找文件&证书
          • 报告网站问题
          资源 Plus Icon Minus Icon
          • 学习中心
          • 促销
          • 活动&研讨会
          • 社交媒体
          关于赛默飞 Plus Icon Minus Icon
          • 关于我们
          • 招聘 招聘
          • 投资者关系 投资者关系
          • 新闻 新闻
          • 社会责任 社会责任
          • 商标
          • 政策和通知
          品牌 Plus Icon Minus Icon
          • Thermo Scientific
          • Applied Biosystems
          • Invitrogen
          • Gibco
          • Ion Torrent
          • Unity Lab Services
          • Patheon
          • PPD
          • 服务条款
          • 隐私政策
          • 定价和运输保险政策
          © 2006-2026 Thermo Fisher Scientific Inc. All rights reserved. All trademarks are the property of Thermo Fisher Scientific and its subsidiaries unless otherwise specified.
          China flag icon
          China
          本网站销售的所有产品均不得用于人类或动物之临床诊断或治疗,仅可用于工业或者科研等非医疗目的。
             电子营业执照 | 经营证照公示 | ICP备案号:沪ICP备11003924号 | 沪公网安备 31011502006935号

          Your items have has been added!


          Host server : magellan-search-green-6479c7f679-l2s7p:80/100.66.76.236:80.
          git-commit: b70c0dceb888abc3b0dcebb5bc3a5b8753e7e816
          git-url: https://github.com/thermofisher/magellan-search
          git-branch: release/2.50.0-Offline