Hamburger Menu Button
Thermo Fisher Scientific Logo
登录
没有账号?建立账号 注册
  • 产品
    • 抗体
    • 引物合成
    • GeneArt Gene Synthesis Instant Designer
    • TaqMan Assay and Array Search
    • PCR 设备和耗材
    • 色谱柱和纯化柱
    • 实验室离心机
    • 分子生物学试剂和试剂盒
    • 实验室塑料耗材及用品
    • 查看所有产品分类
  • 应用和技术
    • 色谱
    • 细胞转染和培养
    • 实时荧光定量PCR
    • 质谱
    • 实验室塑料耗材及用品
    • 电子显微镜
    • 蛋白质生物学
    • PCR
    • RNAi
    • 环境
    • 查看所有应用和技术
  • 服务
    • 定制服务
    • 企业级实验室信息化服务
    • 金融&租赁服务
    • 仪器服务
    • OEM和商业供应
    • 培训服务
    • 360° CDMO 和 CRO 服务
    • CDMO 服务
    • 临床试验 CRO 服务
    • Unity Lab Services
    • 查看所有帮助和支持
  • 帮助和支持
    • 学习中心
    • 联系我们
    • 更改国家或地区
    • 查看所有帮助和支持
  • 热门产品
    • TaqMan Real-Time PCR Assays
      TaqMan 实时荧光定量 PCR 试剂盒
    • Antibodies
      抗体
    • Oligos, Primers & Probes
      寡核苷酸、引物、探针
    • GeneArt Gene Synthesis
      GeneArt 基因合成
    • Cell Culture Plastics
      细胞培养耗材
  • Who We Serve
    • 抗体治疗解决方案
    • 细胞与基因治疗解决方案
    • 学术科研
    • 工业与应用
  • 联系我们
  • 货号直购
  • 订单查询
  • 查找文件&证书
Thermo Fisher Scientific Logo

Search

搜索全部或下列指定分类
Search button
          • 联系我们
          • 货号直购
          • 登录
            登录
            没有账号?建立账号 注册
            • 我的账号
            • 订单
            • 会员中心
            • 账单及发票查询
            • 定制产品及项目
          • Primary Antibodies ›
          • SFRP1 Antibodies

          Invitrogen

          SFRP1 Polyclonal Antibody

          查看其他18个SFRP1抗体

          {{$productOrderCtrl.translations['antibody.pdp.commerceCard.promotion.promotions']}}

          {{$productOrderCtrl.translations['antibody.pdp.commerceCard.promotion.viewpromo']}}

          {{$productOrderCtrl.translations['antibody.pdp.commerceCard.promotion.promocode']}}: {{promo.promoCode}} {{promo.promoTitle}} {{promo.promoDescription}}. {{$productOrderCtrl.translations['antibody.pdp.commerceCard.promotion.learnmore']}}

          说明书
          证书
          实验方案
          问题与答案
          技术支持
          说明书
          证书
          实验方案
          问题与答案
          技术支持
          说明书
          证书
          实验方案
          问题与答案
          技术支持

          Cite SFRP1 Polyclonal Antibody

          Additional Information:
          {{banner.description}}
          {{$ctrl.isSkuNotesCollapsed ? 'View more' : 'View less'}}
          • 抗体检测数据 (1)
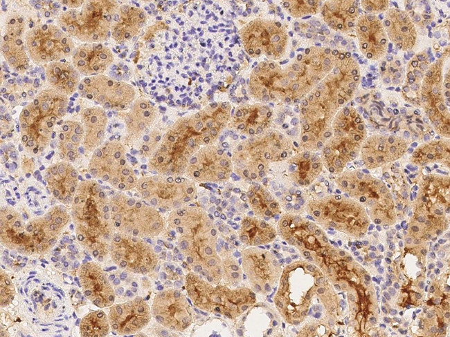
          SFRP1 Antibody in Immunohistochemistry (Paraffin) (IHC (P))
          Group 53 Created with Sketch.
          SFRP1 Antibody in Immunohistochemistry (Paraffin) (IHC (P))
          Group 53 Created with Sketch.

          图: 1 / 1

          {{ $ctrl.currentElement.advancedVerification.fullName }}
          {{ $ctrl.currentElement.advancedVerification.text }}

          SFRP1 Antibody (PA5-81019) in IHC (P)

          Immunohistochemical staining of human SFRP1 in human kidney with SFRP1 Polyclonal Antibody (Product # PA5-81019, 1:300 dilution, formalin-fixed paraffin embedded sections). {{ $ctrl.currentElement.advancedVerification.fullName }} 验证信息 View more
          已发表图片由___提供 benchsci-logo
          PMID: {{$ctrl.currentElement.benchSciPubmedId}}
          查看产品

          {{$ctrl.videoDesc}}

          {{$ctrl.videoLongDesc}}

          SFRP1 Antibody in Immunohistochemistry (Paraffin) (IHC (P))
          SFRP1 Polyclonal Antibody

          产品信息

          PA5-81019

          应用
          建议稀释比
          已发表文章

          免疫组化(石蜡) (IHC (P))

          1:200-1:1,000
          -

          酶联免疫吸附实验 (ELISA)

          1:5,000-1:10,000
          -
          产品规格

          种属反应

          Human

          宿主/亚型

          Rabbit / IgG

          分类

          Polyclonal

          类型

          Antibody

          抗原

          Recombinant Human SFRP1 Protein (Met1-Lys314)
          3D表位/免疫原

          偶联物

          Unconjugated Unconjugated Unconjugated

          形式

          Liquid

          浓度

          1 mg/mL

          规格

          100 µg

          纯化类型

          Protein A, Antigen affinity chromatography

          保存液

          PBS

          内含物

          no preservative

          保存条件

          Store at 4°C short term. For long term storage, store at -20°C, avoiding freeze/thaw cycles.

          运输条件

          Ambient (domestic); Wet ice (international)

          RRID

          AB_2788274

          产品详细信息

          This product is preservative free. It is recommended to add sodium azide to avoid contamination (final concentration 0.05%-0.1%).

          This antibody has specificity for Human SFRP1.

          靶标信息

          Secreted frizzled-related protein 1 (SFRP1) is a member of the SFRP family that contains a cysteine-rich domain homologous to the putative Wnt-binding site of Frizzled proteins. SFRPs act as soluble modulators of Wnt signaling. SFRP1 and SFRP5 may be involved in determining the polarity of photoreceptor cells in the retina. SFRP1 is expressed in several human tissues, with the highest levels in heart.

          仅用于科研。不用于诊断过程。未经明确授权不得转售。

          篇参考文献 (0)

          您是否在文献中引用过该产品?请点击下方按钮邮件告知我们。
          引用该产品

          生物信息学

          蛋白别名: frizzled-related protein; FRP; FRP-1; SARP-2; Secreted apoptosis-related protein 2; Secreted frizzled-related protein 1; sFRP-1; similar to frizzled-like receptor, extracellular protein; unnamed protein product

          查看更多 收起

          基因别名: FRP; FRP-1; FRP1; FrzA; SARP2; SFRP1

          查看更多 收起

          UniProt ID: (Human) Q8N474

          查看更多 收起

          Entrez Gene ID: (Human) 6422

          查看更多 收起

          功能
          cysteine-type endopeptidase activity frizzled binding protein binding heparin binding Wnt-protein binding identical protein binding
          参与通路
          osteoblast differentiation ureteric bud development somitogenesis neural tube closure positive regulation of cell-matrix adhesion hematopoietic progenitor cell differentiation regionalization positive regulation of cell proliferation negative regulation of cell proliferation male gonad development female gonad development cellular response to starvation response to xenobiotic stimulus dorsal/ventral axis specification anterior/posterior pattern specification regulation of cell cycle process negative regulation of gene expression negative regulation of epithelial to mesenchymal transition regulation of neuron projection development neural crest cell fate commitment Wnt signaling pathway neural tube development hemopoiesis cell differentiation positive regulation of Wnt signaling pathway negative regulation of Wnt signaling pathway negative regulation of ossification positive regulation of cell growth negative regulation of cell growth osteoclast differentiation negative regulation of cell migration BMP signaling pathway negative regulation of BMP signaling pathway negative regulation of osteoblast proliferation somatic stem cell population maintenance non-canonical Wnt signaling pathway positive regulation of apoptotic process negative regulation of apoptotic process negative regulation of B cell differentiation positive regulation of fat cell differentiation negative regulation of osteoblast differentiation negative regulation of osteoclast differentiation regulation of angiogenesis positive regulation of smoothened signaling pathway negative regulation of transcription, DNA-templated positive regulation of transcription, DNA-templated development of primary male sexual characteristics negative regulation of bone remodeling negative regulation of fibroblast proliferation digestive tract morphogenesis stem cell differentiation negative regulation of epithelial cell proliferation negative regulation of peptidyl-tyrosine phosphorylation positive regulation of stress fiber assembly positive regulation of focal adhesion assembly canonical Wnt signaling pathway Wnt signaling pathway, planar cell polarity pathway hematopoietic stem cell differentiation bone trabecula formation prostate epithelial cord arborization involved in prostate glandular acinus morphogenesis regulation of branching involved in prostate gland morphogenesis negative regulation of androgen receptor signaling pathway cellular response to vitamin D cellular response to interleukin-1 cellular response to tumor necrosis factor cellular response to prostaglandin E stimulus cellular response to estrogen stimulus cellular response to estradiol stimulus cellular response to hypoxia cellular response to X-ray dopaminergic neuron differentiation cellular response to transforming growth factor beta stimulus cellular response to BMP stimulus negative regulation of canonical Wnt signaling pathway regulation of establishment of planar polarity Wnt signaling pathway involved in somitogenesis convergent extension involved in somitogenesis positive regulation of canonical Wnt signaling pathway extrinsic apoptotic signaling pathway positive regulation of extrinsic apoptotic signaling pathway via death domain receptors regulation of midbrain dopaminergic neuron differentiation positive regulation of non-canonical Wnt signaling pathway negative regulation of fibroblast apoptotic process positive regulation of fibroblast apoptotic process positive regulation of extrinsic apoptotic signaling pathway
          It has to be done as per old AB suggested Products section.

          Disclaimer

          Close

          Clicking the images or links will redirect you to a website hosted by BenchSci that provides third-party scientific content. Neither the content nor the BenchSci technology and processes for selection have been evaluated by us; we are providing them as-is and without warranty of any kind, including for use or application of the Thermo Fisher Scientific products presented.

          guarantee_icon

          性能保障

          只要您发现Invitrogen抗体在实验中的表现与网站或说明书的所述内容不符,您即可享受免费退换货服务。*

          了解更多
          help_icon

          随时为您服务

          获取常见问题的专家解答,或者直接联系我们的技术专家,咨询应用、设备、常规产品使用问题。

          联系技术支持
          订购 Plus Icon Minus Icon
          • 订单状态查询
          • 订单支持
          • 货号直购
          • 现货供应中心
          • 电子采购
          支持 Plus Icon Minus Icon
          • 帮助&支持
          • 联系我们 - 400 820 8982
          • 技术支持中心
          • 查找文件&证书
          • 报告网站问题
          资源 Plus Icon Minus Icon
          • 学习中心
          • 促销
          • 活动&研讨会
          • 社交媒体
          关于赛默飞 Plus Icon Minus Icon
          • 关于我们
          • 招聘 招聘
          • 投资者关系 投资者关系
          • 新闻 新闻
          • 社会责任 社会责任
          • 商标
          • 政策和通知
          品牌 Plus Icon Minus Icon
          • Thermo Scientific
          • Applied Biosystems
          • Invitrogen
          • Gibco
          • Ion Torrent
          • Unity Lab Services
          • Patheon
          • PPD
          • 服务条款
          • 隐私政策
          • 定价和运输保险政策
          © 2006-2026 Thermo Fisher Scientific Inc. All rights reserved. All trademarks are the property of Thermo Fisher Scientific and its subsidiaries unless otherwise specified.
          China flag icon
          China
          本网站销售的所有产品均不得用于人类或动物之临床诊断或治疗,仅可用于工业或者科研等非医疗目的。
             电子营业执照 | 经营证照公示 | ICP备案号:沪ICP备11003924号 | 沪公网安备 31011502006935号

          Your items have has been added!


          Host server : magellan-search-green-6479c7f679-v472f:80/100.66.78.195:80.
          git-commit: b70c0dceb888abc3b0dcebb5bc3a5b8753e7e816
          git-url: https://github.com/thermofisher/magellan-search
          git-branch: release/2.50.0-Offline