Hamburger Menu Button
Thermo Fisher Scientific Logo
登录
没有账号?建立账号 注册
  • 产品
    • 抗体
    • 引物合成
    • GeneArt Gene Synthesis Instant Designer
    • TaqMan Assay and Array Search
    • PCR 设备和耗材
    • 色谱柱和纯化柱
    • 实验室离心机
    • 分子生物学试剂和试剂盒
    • 实验室塑料耗材及用品
    • 查看所有产品分类
  • 应用和技术
    • 色谱
    • 细胞转染和培养
    • 实时荧光定量PCR
    • 质谱
    • 实验室塑料耗材及用品
    • 电子显微镜
    • 蛋白质生物学
    • PCR
    • RNAi
    • 环境
    • 查看所有应用和技术
  • 服务
    • 定制服务
    • 企业级实验室信息化服务
    • 金融&租赁服务
    • 仪器服务
    • OEM和商业供应
    • 培训服务
    • 360° CDMO 和 CRO 服务
    • CDMO 服务
    • 临床试验 CRO 服务
    • Unity Lab Services
    • 查看所有帮助和支持
  • 帮助和支持
    • 学习中心
    • 联系我们
    • 更改国家或地区
    • 查看所有帮助和支持
  • 热门产品
    • TaqMan Real-Time PCR Assays
      TaqMan 实时荧光定量 PCR 试剂盒
    • Antibodies
      抗体
    • Oligos, Primers & Probes
      寡核苷酸、引物、探针
    • GeneArt Gene Synthesis
      GeneArt 基因合成
    • Cell Culture Plastics
      细胞培养耗材
  • Who We Serve
    • 抗体治疗解决方案
    • 细胞与基因治疗解决方案
    • 学术科研
    • 工业与应用
  • 联系我们
  • 货号直购
  • 订单查询
  • 查找文件&证书
Thermo Fisher Scientific Logo

Search

搜索全部或下列指定分类
Search button
          • 联系我们
          • 货号直购
          • 登录
            登录
            没有账号?建立账号 注册
            • 我的账号
            • 订单
            • 会员中心
            • 账单及发票查询
            • 定制产品及项目
          • Primary Antibodies ›
          • SHH Antibodies

          Invitrogen

          SHH Recombinant Rabbit Monoclonal Antibody (SC05-28)

          查看其他23个SHH抗体

          {{$productOrderCtrl.translations['antibody.pdp.commerceCard.promotion.promotions']}}

          {{$productOrderCtrl.translations['antibody.pdp.commerceCard.promotion.viewpromo']}}

          {{$productOrderCtrl.translations['antibody.pdp.commerceCard.promotion.promocode']}}: {{promo.promoCode}} {{promo.promoTitle}} {{promo.promoDescription}}. {{$productOrderCtrl.translations['antibody.pdp.commerceCard.promotion.learnmore']}}

          说明书
          证书
          实验方案
          问题与答案
          技术支持
          说明书
          证书
          实验方案
          问题与答案
          技术支持
          说明书
          证书
          实验方案
          问题与答案
          技术支持

          Cite SHH Recombinant Rabbit Monoclonal Antibody (SC05-28)

          Additional Information:
          {{banner.description}}
          {{$ctrl.isSkuNotesCollapsed ? 'View more' : 'View less'}}
          • 抗体检测数据 (9)
          SHH Antibody in Immunocytochemistry (ICC/IF)
          Group 53 Created with Sketch.
          SHH Antibody in Immunocytochemistry (ICC/IF)
          Group 53 Created with Sketch.

          图: 1 / 9

          {{ $ctrl.currentElement.advancedVerification.fullName }}
          {{ $ctrl.currentElement.advancedVerification.text }}

          SHH Antibody (MA5-41159) in ICC/IF

          Immunocytochemistry/Immunofluorescence analysis of SHH in A549 cells (green) using SHH Recombinant Monoclonal Antibody (Product # MA5-41159). Cells were fixed in paraformaldehyde, permeabilised with 0.25% Triton X100/PBS. The nuclear counter stain is DAPI (blue). {{ $ctrl.currentElement.advancedVerification.fullName }} 验证信息 View more
          已发表图片由___提供 benchsci-logo
          PMID: {{$ctrl.currentElement.benchSciPubmedId}}
          查看产品

          {{$ctrl.videoDesc}}

          {{$ctrl.videoLongDesc}}

          SHH Antibody in Immunocytochemistry (ICC/IF)
          SHH Antibody in Immunocytochemistry (ICC/IF)
          SHH Antibody in Immunocytochemistry (ICC/IF)
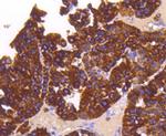
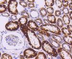
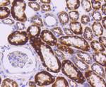
          SHH Antibody in Immunohistochemistry (Paraffin) (IHC (P))
          SHH Antibody in Immunohistochemistry (Paraffin) (IHC (P))
          SHH Antibody in Immunohistochemistry (Paraffin) (IHC (P))
          SHH Antibody in Immunohistochemistry (Paraffin) (IHC (P))
          SHH Antibody in Western Blot (WB)
          SHH Antibody in Flow Cytometry (Flow)
          SHH Recombinant Rabbit Monoclonal Antibody (SC05-28)

          产品信息

          MA5-41159

          应用
          建议稀释比
          已发表文章

          免疫印迹 (WB)

          1:1,000-1:2,000
          -

          免疫组化(石蜡) (IHC (P))

          1:200-1:1,000
          -

          免疫细胞化学 (ICC/IF)

          1:50-1:200
          -

          流式细胞分析 (Flow)

          1:50-1:100
          -
          产品规格

          种属反应

          Human

          宿主/亚型

          Rabbit / IgG

          Expression System

          HEK293 cells

          分类

          Recombinant Monoclonal

          类型

          Antibody

          克隆号

          SC05-28

          抗原

          Synthetic peptide within Human Sonic Hedgehog Protein aa 258-307.
          3D表位/免疫原

          偶联物

          Unconjugated Unconjugated Unconjugated

          形式

          Liquid

          浓度

          1 mg/mL

          规格

          100 µg

          纯化类型

          Protein A

          保存液

          TBS, pH 7.4, with 40% glycerol, 0.05% BSA

          内含物

          0.05% sodium azide

          保存条件

          Store at 4°C short term. For long term storage, store at -20°C, avoiding freeze/thaw cycles.

          运输条件

          Ambient (domestic); Wet ice (international)

          RRID

          AB_2898913

          靶标信息

          Sonic Hedgehog (SHH), which is expressed only during embryogenesis, is instrumental in patterning the early embryo. It has been implicated as the key inductive signal in patterning of the ventral neural tube, the anterior-posterior limb axis, and the ventral somites. Of three human proteins showing sequence and functional similarity to the Sonic Hedgehog protein of Drosophila, this protein is the most similar. The protein is made as a precursor that is autocatalytically cleaved, the N-terminal portion is soluble and contains the signalling activity while the C-terminal portion is involved in precursor processing. More importantly, the C-terminal product covalently attaches a cholesterol moiety to the N-terminal product, restricting the N-terminal product to the cell surface and preventing it from freely diffusing throughout the developing embryo. Defects in this protein or in its signalling pathway are a cause of holoprosencephaly (HPE), a disorder in which the developing forebrain fails to correctly separate into right and left hemispheres. HPE is manifested by facial deformities. In addition, it is thought that mutations in this gene or in its signalling pathway may be responsible for VACTERL syndrome, which is characterized by vertebral defects, anal atresia, tracheoesophageal fistula with esophageal atresia, radial and renal dysplasia, cardiac anomalies, and limb abnormalities.

          仅用于科研。不用于诊断过程。未经明确授权不得转售。

          篇参考文献 (0)

          您是否在文献中引用过该产品?请点击下方按钮邮件告知我们。
          引用该产品

          生物信息学

          蛋白别名: HHG-1; SHH; Shh unprocessed N-terminal signaling and C-terminal autoprocessing domains; ShhNC; sonic hedgehog homolog; Sonic hedgehog protein

          查看更多 收起

          基因别名: HHG1; HLP3; HPE3; MCOPCB5; SHH; ShhNC; SMMCI; TPT; TPTPS

          查看更多 收起

          UniProt ID: (Human) Q15465

          查看更多 收起

          Entrez Gene ID: (Human) 6469

          查看更多 收起

          功能
          endopeptidase activity patched binding calcium ion binding protein binding glycosaminoglycan binding peptidase activity zinc ion binding morphogen activity transferase activity hydrolase activity laminin-1 binding metal ion binding cholesterol-protein transferase activity
          参与通路
          negative regulation of transcription from RNA polymerase II promoter angiogenesis patterning of blood vessels vasculogenesis metanephros development branching involved in ureteric bud morphogenesis cell fate specification neural crest cell migration kidney development hair follicle development vasculature development heart looping positive regulation of neuroblast proliferation positive regulation of mesenchymal cell proliferation osteoblast development lymphoid progenitor cell differentiation determination of left/right asymmetry in lateral mesoderm regulation of transcription, DNA-templated proteolysis protein import into nucleus endocytosis smoothened signaling pathway cell-cell signaling determination of left/right symmetry pattern specification process ectoderm development neuroblast proliferation axon guidance central nervous system development ventral midline development hindgut morphogenesis heart development skeletal muscle tissue development blood coagulation androgen metabolic process cell proliferation positive regulation of cell proliferation embryonic pattern specification tissue development polarity specification of anterior/posterior axis anterior/posterior pattern specification dorsal/ventral pattern formation mesenchymal cell proliferation gene expression regulation of gene expression positive regulation of gene expression negative regulation of gene expression oligodendrocyte development striated muscle tissue development skeletal muscle cell proliferation positive regulation of skeletal muscle cell proliferation myotube differentiation cell migration intein-mediated protein splicing protein autoprocessing spinal cord dorsal/ventral patterning spinal cord motor neuron differentiation thalamus development forebrain regionalization dorsal/ventral neural tube patterning cell proliferation in external granule layer cerebellar granule cell precursor proliferation positive regulation of cerebellar granule cell precursor proliferation telencephalon regionalization regulation of proteolysis positive regulation of Wnt signaling pathway negative regulation of Wnt signaling pathway neuron differentiation respiratory tube development lung development embryonic limb morphogenesis negative regulation of cell migration male genitalia development prostate gland development thyroid gland development forebrain development midbrain development hindbrain development pancreas development hair follicle morphogenesis negative regulation of proteasomal ubiquitin-dependent protein catabolic process T cell differentiation in thymus negative regulation of T cell differentiation in thymus positive regulation of T cell differentiation in thymus positive regulation of immature T cell proliferation in thymus negative regulation of transcription elongation from RNA polymerase II promoter protein localization to nucleus embryonic forelimb morphogenesis embryonic hindlimb morphogenesis tube development trunk neural crest cell migration T cell proliferation regulation of cell proliferation negative regulation of T cell proliferation negative regulation of protein catabolic process positive regulation of protein import into nucleus odontogenesis of dentin-containing tooth odontogenesis regulation of odontogenesis embryonic digit morphogenesis camera-type eye development negative regulation of apoptotic process CD4-positive or CD8-positive, alpha-beta T cell lineage commitment skin development positive thymic T cell selection negative thymic T cell selection intermediate filament organization cell fate commitment myoblast differentiation negative regulation of cell differentiation negative regulation of neuron differentiation positive regulation of smoothened signaling pathway positive regulation of transcription, DNA-templated positive regulation of transcription from RNA polymerase II promoter alpha-beta T cell differentiation positive regulation of alpha-beta T cell differentiation negative regulation of alpha-beta T cell differentiation cell development animal organ development thymus development digestive tract morphogenesis embryonic digestive tract morphogenesis embryonic organ development developmental growth embryonic morphogenesis embryonic foregut morphogenesis positive regulation of skeletal muscle tissue development organ formation anatomical structure formation involved in morphogenesis neuron fate commitment embryonic skeletal system development astrocyte differentiation oligodendrocyte differentiation positive regulation of astrocyte differentiation positive regulation of oligodendrocyte differentiation smooth muscle tissue development branching morphogenesis of an epithelial tube inner ear development formation of anatomical boundary stem cell development epithelial cell proliferation positive regulation of epithelial cell proliferation regulation of developmental process striated muscle cell differentiation positive regulation of striated muscle cell differentiation positive regulation of cell division Bergmann glial cell differentiation palate development canonical Wnt signaling pathway limb development limb bud formation regulation of glial cell proliferation lung morphogenesis lung epithelium development trachea development trachea morphogenesis epithelial tube branching involved in lung morphogenesis branching involved in prostate gland morphogenesis branching involved in salivary gland morphogenesis bud outgrowth involved in lung branching right lung development left lung development lung lobe morphogenesis lung-associated mesenchyme development primary prostatic bud elongation prostate epithelial cord elongation salivary gland cavitation epithelial cell proliferation involved in salivary gland morphogenesis epithelial-mesenchymal cell signaling regulation of prostatic bud formation epithelial-mesenchymal signaling involved in prostate gland development epithelial cell proliferation involved in prostate gland development regulation of epithelial cell proliferation involved in prostate gland development positive regulation of epithelial cell proliferation involved in prostate gland development regulation of mesenchymal cell proliferation involved in prostate gland development mesenchymal smoothened signaling pathway involved in prostate gland development artery development mesenchymal cell proliferation involved in lung development somite development positive regulation of sclerotome development cellular response to lithium ion dopaminergic neuron differentiation stem cell proliferation regulation of stem cell proliferation metanephric mesenchymal cell proliferation involved in metanephros development metanephric collecting duct development negative regulation of canonical Wnt signaling pathway establishment of epithelial cell polarity negative regulation of cholesterol efflux mesenchymal cell apoptotic process apoptotic signaling pathway self proteolysis skeletal muscle fiber differentiation regulation of nodal signaling pathway regulation of protein localization to nucleus negative regulation of dopaminergic neuron differentiation tracheoesophageal septum formation negative regulation of ureter smooth muscle cell differentiation positive regulation of ureter smooth muscle cell differentiation negative regulation of kidney smooth muscle cell differentiation positive regulation of kidney smooth muscle cell differentiation positive regulation of mesenchymal cell proliferation involved in ureter development negative regulation of mesenchymal cell apoptotic process
          It has to be done as per old AB suggested Products section.

          Disclaimer

          Close

          Clicking the images or links will redirect you to a website hosted by BenchSci that provides third-party scientific content. Neither the content nor the BenchSci technology and processes for selection have been evaluated by us; we are providing them as-is and without warranty of any kind, including for use or application of the Thermo Fisher Scientific products presented.

          guarantee_icon

          性能保障

          只要您发现Invitrogen抗体在实验中的表现与网站或说明书的所述内容不符,您即可享受免费退换货服务。*

          了解更多
          help_icon

          随时为您服务

          获取常见问题的专家解答,或者直接联系我们的技术专家,咨询应用、设备、常规产品使用问题。

          联系技术支持
          订购 Plus Icon Minus Icon
          • 订单状态查询
          • 订单支持
          • 货号直购
          • 现货供应中心
          • 电子采购
          支持 Plus Icon Minus Icon
          • 帮助&支持
          • 联系我们 - 400 820 8982
          • 技术支持中心
          • 查找文件&证书
          • 报告网站问题
          资源 Plus Icon Minus Icon
          • 学习中心
          • 促销
          • 活动&研讨会
          • 社交媒体
          关于赛默飞 Plus Icon Minus Icon
          • 关于我们
          • 招聘 招聘
          • 投资者关系 投资者关系
          • 新闻 新闻
          • 社会责任 社会责任
          • 商标
          • 政策和通知
          品牌 Plus Icon Minus Icon
          • Thermo Scientific
          • Applied Biosystems
          • Invitrogen
          • Gibco
          • Ion Torrent
          • Unity Lab Services
          • Patheon
          • PPD
          • 服务条款
          • 隐私政策
          • 定价和运输保险政策
          © 2006-2026 Thermo Fisher Scientific Inc. All rights reserved. All trademarks are the property of Thermo Fisher Scientific and its subsidiaries unless otherwise specified.
          China flag icon
          China
          本网站销售的所有产品均不得用于人类或动物之临床诊断或治疗,仅可用于工业或者科研等非医疗目的。
             电子营业执照 | 经营证照公示 | ICP备案号:沪ICP备11003924号 | 沪公网安备 31011502006935号

          Your items have has been added!


          Host server : magellan-search-green-6479c7f679-jmhj8:80/100.66.74.142:80.
          git-commit: b70c0dceb888abc3b0dcebb5bc3a5b8753e7e816
          git-url: https://github.com/thermofisher/magellan-search
          git-branch: release/2.50.0-Offline