Hamburger Menu Button
Thermo Fisher Scientific Logo
登录
没有账号?建立账号 注册
  • 产品
    • 抗体
    • 引物合成
    • GeneArt Gene Synthesis Instant Designer
    • TaqMan Assay and Array Search
    • PCR 设备和耗材
    • 色谱柱和纯化柱
    • 实验室离心机
    • 分子生物学试剂和试剂盒
    • 实验室塑料耗材及用品
    • 查看所有产品分类
  • 应用和技术
    • 色谱
    • 细胞转染和培养
    • 实时荧光定量PCR
    • 质谱
    • 实验室塑料耗材及用品
    • 电子显微镜
    • 蛋白质生物学
    • PCR
    • RNAi
    • 环境
    • 查看所有应用和技术
  • 服务
    • 定制服务
    • 企业级实验室信息化服务
    • 金融&租赁服务
    • 仪器服务
    • OEM和商业供应
    • 培训服务
    • 360° CDMO 和 CRO 服务
    • CDMO 服务
    • 临床试验 CRO 服务
    • Unity Lab Services
    • 查看所有帮助和支持
  • 帮助和支持
    • 学习中心
    • 联系我们
    • 更改国家或地区
    • 查看所有帮助和支持
  • 热门产品
    • TaqMan Real-Time PCR Assays
      TaqMan 实时荧光定量 PCR 试剂盒
    • Antibodies
      抗体
    • Oligos, Primers & Probes
      寡核苷酸、引物、探针
    • GeneArt Gene Synthesis
      GeneArt 基因合成
    • Cell Culture Plastics
      细胞培养耗材
  • Who We Serve
    • 抗体治疗解决方案
    • 细胞与基因治疗解决方案
    • 学术科研
    • 工业与应用
  • 联系我们
  • 货号直购
  • 订单查询
  • 查找文件&证书
Thermo Fisher Scientific Logo

Search

搜索全部或下列指定分类
Search button
          • 联系我们
          • 货号直购
          • 登录
            登录
            没有账号?建立账号 注册
            • 我的账号
            • 订单
            • 会员中心
            • 账单及发票查询
            • 定制产品及项目
          • Primary Antibodies ›
          • SHP2 Antibodies

          Invitrogen

          SHP2 Polyclonal Antibody

          查看其他47个SHP2抗体

          {{$productOrderCtrl.translations['antibody.pdp.commerceCard.promotion.promotions']}}

          {{$productOrderCtrl.translations['antibody.pdp.commerceCard.promotion.viewpromo']}}

          {{$productOrderCtrl.translations['antibody.pdp.commerceCard.promotion.promocode']}}: {{promo.promoCode}} {{promo.promoTitle}} {{promo.promoDescription}}. {{$productOrderCtrl.translations['antibody.pdp.commerceCard.promotion.learnmore']}}

          说明书
          证书
          实验方案
          问题与答案
          技术支持
          说明书
          证书
          实验方案
          问题与答案
          技术支持
          说明书
          证书
          实验方案
          问题与答案
          技术支持

          Cite SHP2 Polyclonal Antibody

          Additional Information:
          {{banner.description}}
          {{$ctrl.isSkuNotesCollapsed ? 'View more' : 'View less'}}
          • 抗体检测数据 (5)
          SHP2 Antibody in Immunocytochemistry (ICC/IF)
          Group 53 Created with Sketch.
          SHP2 Antibody in Immunocytochemistry (ICC/IF)
          Group 53 Created with Sketch.

          图: 1 / 5

          {{ $ctrl.currentElement.advancedVerification.fullName }}
          {{ $ctrl.currentElement.advancedVerification.text }}

          SHP2 Antibody (PA5-120832) in ICC/IF

          Immunofluorescence analysis of SHP2 in PC-12 cells. Samples were incubated with SHP2 Polyclonal antibody (Product # PA5-120832) using a dilution of 1:200 (40x lens). Blue: DAPI for nuclear staining. {{ $ctrl.currentElement.advancedVerification.fullName }} 验证信息 View more
          已发表图片由___提供 benchsci-logo
          PMID: {{$ctrl.currentElement.benchSciPubmedId}}
          查看产品

          {{$ctrl.videoDesc}}

          {{$ctrl.videoLongDesc}}

          SHP2 Antibody in Immunocytochemistry (ICC/IF)
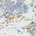
          SHP2 Antibody in Immunohistochemistry (Paraffin) (IHC (P))
          SHP2 Antibody in Immunohistochemistry (Paraffin) (IHC (P))
          SHP2 Antibody in Immunohistochemistry (Paraffin) (IHC (P))
          SHP2 Antibody in Western Blot (WB)
          SHP2 Polyclonal Antibody

          产品信息

          PA5-120832

          应用
          建议稀释比
          已发表文章

          免疫印迹 (WB)

          1:1,000-1:5,000
          -

          免疫组化(石蜡) (IHC (P))

          1:50-1:100
          -

          免疫细胞化学 (ICC/IF)

          1:50-1:200
          -

          酶联免疫吸附实验 (ELISA)

          1 µg/mL
          -
          产品规格

          种属反应

          Human, Mouse, Rat

          宿主/亚型

          Rabbit / IgG

          分类

          Polyclonal

          类型

          Antibody

          抗原

          Recombinant fusion protein containing a sequence corresponding to amino acids 514-593 of human SHP2 (NP_0028253)
          3D表位/免疫原

          偶联物

          Unconjugated Unconjugated Unconjugated

          形式

          Liquid

          浓度

          0.73 mg/mL

          规格

          73 µg

          纯化类型

          Affinity Chromatography

          保存液

          PBS, pH 7.3, with 50% glycerol

          内含物

          0.02% sodium azide

          保存条件

          -20°C, Avoid Freeze/Thaw Cycles

          运输条件

          Ambient (domestic); Wet ice (international)

          RRID

          AB_2914404

          产品详细信息

          Positive test controls include: HeLa, Jurkat, Mouse brain. The target is usually found in the following locations: Cytoplasm.

          Immunogen sequence: IYMAVQHYIE TLQRRIEEEQ KSKRKGHEYT NIKYSLADQT SGDQSPLPPC TPTPPCAEMR EDSARVYENV GLMQQQKSFR

          靶标信息

          The protein encoded by this gene is a member of the protein tyrosine phosphatase (PTP) family. PTPs are known to be signaling molecules that regulate a variety of cellular processes including cell growth, differentiation, mitotic cycle, and oncogenic transformation. This PTP contains two tandem Src homology-2 domains, which function as phospho-tyrosine binding domains and mediate the interaction of this PTP with its substrates. This PTP is widely expressed in most tissues and plays a regulatory role in various cell signaling events that are important for a diversity of cell functions, such as mitogenic activation, metabolic control, transcription regulation, and cell migration. Mutations in this gene are a cause of Noonan syndrome as well as acute myeloid leukemia.

          仅用于科研。不用于诊断过程。未经明确授权不得转售。

          篇参考文献 (0)

          您是否在文献中引用过该产品?请点击下方按钮邮件告知我们。
          引用该产品

          生物信息学

          蛋白别名: 2SH2 domain protein; encodes catalytic domain; HCP; HGNC:9644; MGC14433; Mutations: 351:OK; Noonan syndrome 1; null; OTTHUMP00000166108; protein tyrosine phosphatase SH-PTP2; Protein-tyrosine phosphatase 1D; Protein-tyrosine phosphatase 2C; Protein-tyrosine phosphatase SYP; PTP-1D; PTP-2C; PTP1C; SH-PTP2; SH-PTP2 protein tyrosine phosphatase non-receptor type 11; SH-PTP2 protein tyrosine phosphatase, non-receptor type 11; SH-PTP3; SH2 domain-containing protein tyrosine phosphatase 2; SH2 domain-containing protein tyrosine phosphatase-2; SHP-2; Tyrosine-protein phosphatase non-receptor type 11; unnamed protein product

          查看更多 收起

          基因别名: 2700084A17Rik; AW536184; BPTP3; CFC; JMML; METCDS; NS1; PTP-1D; PTP1D; PTP2C; PTPN11; SAP-2; SH-PTP2; SH-PTP3; SHP-2; SHP2; SHPTP2; Syp

          查看更多 收起

          UniProt ID: (Human) Q06124, (Mouse) P35235, (Rat) P41499

          查看更多 收起

          Entrez Gene ID: (Human) 5781, (Mouse) 19247, (Rat) 25622

          查看更多 收起

          功能
          phosphotyrosine binding phosphoprotein phosphatase activity protein tyrosine phosphatase activity non-membrane spanning protein tyrosine phosphatase activity insulin receptor binding protein binding hydrolase activity protein kinase binding receptor signaling complex scaffold activity receptor tyrosine kinase binding cadherin binding cell adhesion molecule binding peptide hormone receptor binding binding, bridging protein tyrosine kinase binding SH3/SH2 adaptor activity phosphatase activity protein domain specific binding D1 dopamine receptor binding phospholipase binding insulin receptor substrate binding protein phosphatase
          参与通路
          DNA damage checkpoint neutrophil activation involved in immune response lipid metabolic process triglyceride metabolic process signal transduction epidermal growth factor receptor signaling pathway integrin-mediated signaling pathway axonogenesis brain development heart development fibroblast growth factor receptor signaling pathway hormone-mediated signaling pathway positive regulation of signal transduction cytokine-mediated signaling pathway cerebellar cortex formation platelet formation T cell costimulation positive regulation of lipopolysaccharide-mediated signaling pathway negative regulation of chondrocyte differentiation negative regulation of type I interferon production positive regulation of type I interferon production microvillus organization positive regulation of interferon-beta production positive regulation of tumor necrosis factor production regulation of cell adhesion mediated by integrin negative regulation of cell adhesion mediated by integrin multicellular organism growth organ growth peptidyl-tyrosine dephosphorylation megakaryocyte development atrioventricular canal development ERBB signaling pathway negative regulation of T cell proliferation vasodilation hormone metabolic process glucose homeostasis regulation of protein complex assembly regulation of MAPK cascade positive regulation of ossification positive regulation of mitotic cell cycle positive regulation of glucose import positive regulation of insulin receptor signaling pathway negative regulation of insulin secretion regulation of protein export from nucleus positive regulation of hormone secretion negative regulation of hormone secretion platelet-derived growth factor receptor signaling pathway neurotrophin TRK receptor signaling pathway ephrin receptor signaling pathway genitalia development inner ear development homeostasis of number of cells within a tissue negative regulation of cortisol secretion positive regulation of protein kinase B signaling Bergmann glial cell differentiation negative regulation of growth hormone secretion face morphogenesis regulation of type I interferon-mediated signaling pathway intestinal epithelial cell migration positive regulation of ERK1 and ERK2 cascade cellular response to mechanical stimulus cellular response to epidermal growth factor stimulus positive regulation of intracellular signal transduction negative regulation of neutrophil activation activation of MAPK activity protein dephosphorylation dephosphorylation abortive mitotic cell cycle regulation of multicellular organism growth multicellular organismal reproductive process positive regulation of glucose import in response to insulin stimulus
          It has to be done as per old AB suggested Products section.

          Disclaimer

          Close

          Clicking the images or links will redirect you to a website hosted by BenchSci that provides third-party scientific content. Neither the content nor the BenchSci technology and processes for selection have been evaluated by us; we are providing them as-is and without warranty of any kind, including for use or application of the Thermo Fisher Scientific products presented.

          guarantee_icon

          性能保障

          只要您发现Invitrogen抗体在实验中的表现与网站或说明书的所述内容不符,您即可享受免费退换货服务。*

          了解更多
          help_icon

          随时为您服务

          获取常见问题的专家解答,或者直接联系我们的技术专家,咨询应用、设备、常规产品使用问题。

          联系技术支持
          订购 Plus Icon Minus Icon
          • 订单状态查询
          • 订单支持
          • 货号直购
          • 现货供应中心
          • 电子采购
          支持 Plus Icon Minus Icon
          • 帮助&支持
          • 联系我们 - 400 820 8982
          • 技术支持中心
          • 查找文件&证书
          • 报告网站问题
          资源 Plus Icon Minus Icon
          • 学习中心
          • 促销
          • 活动&研讨会
          • 社交媒体
          关于赛默飞 Plus Icon Minus Icon
          • 关于我们
          • 招聘 招聘
          • 投资者关系 投资者关系
          • 新闻 新闻
          • 社会责任 社会责任
          • 商标
          • 政策和通知
          品牌 Plus Icon Minus Icon
          • Thermo Scientific
          • Applied Biosystems
          • Invitrogen
          • Gibco
          • Ion Torrent
          • Unity Lab Services
          • Patheon
          • PPD
          • 服务条款
          • 隐私政策
          • 定价和运输保险政策
          © 2006-2026 Thermo Fisher Scientific Inc. All rights reserved. All trademarks are the property of Thermo Fisher Scientific and its subsidiaries unless otherwise specified.
          China flag icon
          China
          本网站销售的所有产品均不得用于人类或动物之临床诊断或治疗,仅可用于工业或者科研等非医疗目的。
             电子营业执照 | 经营证照公示 | ICP备案号:沪ICP备11003924号 | 沪公网安备 31011502006935号

          Your items have has been added!


          Host server : magellan-search-green-6479c7f679-rv8h9:80/100.66.78.195:80.
          git-commit: b70c0dceb888abc3b0dcebb5bc3a5b8753e7e816
          git-url: https://github.com/thermofisher/magellan-search
          git-branch: release/2.50.0-Offline