Hamburger Menu Button
Thermo Fisher Scientific Logo
登录
没有账号?建立账号 注册
  • 产品
    • 抗体
    • 引物合成
    • GeneArt Gene Synthesis Instant Designer
    • TaqMan Assay and Array Search
    • PCR 设备和耗材
    • 色谱柱和纯化柱
    • 实验室离心机
    • 分子生物学试剂和试剂盒
    • 实验室塑料耗材及用品
    • 查看所有产品分类
  • 应用和技术
    • 色谱
    • 细胞转染和培养
    • 实时荧光定量PCR
    • 质谱
    • 实验室塑料耗材及用品
    • 电子显微镜
    • 蛋白质生物学
    • PCR
    • RNAi
    • 环境
    • 查看所有应用和技术
  • 服务
    • 定制服务
    • 企业级实验室信息化服务
    • 金融&租赁服务
    • 仪器服务
    • OEM和商业供应
    • 培训服务
    • 360° CDMO 和 CRO 服务
    • CDMO 服务
    • 临床试验 CRO 服务
    • Unity Lab Services
    • 查看所有帮助和支持
  • 帮助和支持
    • 学习中心
    • 联系我们
    • 更改国家或地区
    • 查看所有帮助和支持
  • 热门产品
    • TaqMan Real-Time PCR Assays
      TaqMan 实时荧光定量 PCR 试剂盒
    • Antibodies
      抗体
    • Oligos, Primers & Probes
      寡核苷酸、引物、探针
    • GeneArt Gene Synthesis
      GeneArt 基因合成
    • Cell Culture Plastics
      细胞培养耗材
  • Who We Serve
    • 抗体治疗解决方案
    • 细胞与基因治疗解决方案
    • 学术科研
    • 工业与应用
  • 联系我们
  • 货号直购
  • 订单查询
  • 查找文件&证书
Thermo Fisher Scientific Logo

Search

搜索全部或下列指定分类
Search button
          • 联系我们
          • 货号直购
          • 登录
            登录
            没有账号?建立账号 注册
            • 我的账号
            • 订单
            • 会员中心
            • 账单及发票查询
            • 定制产品及项目
          • Primary Antibodies ›
          • SIRT1 Antibodies

          Invitrogen

          SIRT1 Polyclonal Antibody

          查看其他47个SIRT1抗体

          {{$productOrderCtrl.translations['antibody.pdp.commerceCard.promotion.promotions']}}

          {{$productOrderCtrl.translations['antibody.pdp.commerceCard.promotion.viewpromo']}}

          {{$productOrderCtrl.translations['antibody.pdp.commerceCard.promotion.promocode']}}: {{promo.promoCode}} {{promo.promoTitle}} {{promo.promoDescription}}. {{$productOrderCtrl.translations['antibody.pdp.commerceCard.promotion.learnmore']}}

          说明书
          证书
          实验方案
          问题与答案
          技术支持
          说明书
          证书
          实验方案
          问题与答案
          技术支持
          说明书
          证书
          实验方案
          问题与答案
          技术支持

          Cite SIRT1 Polyclonal Antibody

          Additional Information:
          {{banner.description}}
          {{$ctrl.isSkuNotesCollapsed ? 'View more' : 'View less'}}
          • 抗体检测数据 (5)
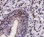
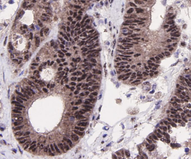
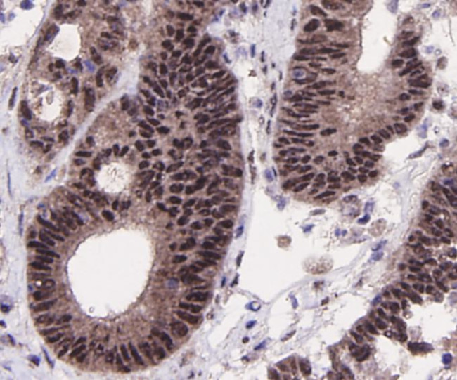
          SIRT1 Antibody in Immunohistochemistry (Paraffin) (IHC (P))
          Group 53 Created with Sketch.
          SIRT1 Antibody in Immunohistochemistry (Paraffin) (IHC (P))
          Group 53 Created with Sketch.

          图: 1 / 5

          {{ $ctrl.currentElement.advancedVerification.fullName }}
          {{ $ctrl.currentElement.advancedVerification.text }}

          SIRT1 Antibody (PA5-85921) in IHC (P)

          Immunohistochemical analysis of SIRT1 of paraffin-embedded Human colon carcinoma tissue using a SIRT1 Polyclonal antibody (Product #PA5-85921). Counter stained with hematoxylin. {{ $ctrl.currentElement.advancedVerification.fullName }} 验证信息 View more
          已发表图片由___提供 benchsci-logo
          PMID: {{$ctrl.currentElement.benchSciPubmedId}}
          查看产品

          {{$ctrl.videoDesc}}

          {{$ctrl.videoLongDesc}}

          SIRT1 Antibody in Immunohistochemistry (Paraffin) (IHC (P))
          SIRT1 Antibody in Immunohistochemistry (Paraffin) (IHC (P))
          SIRT1 Antibody in Western Blot (WB)
          SIRT1 Antibody in Western Blot (WB)
          SIRT1 Antibody in Flow Cytometry (Flow)
          SIRT1 Polyclonal Antibody

          产品信息

          PA5-85921

          应用
          建议稀释比
          已发表文章

          免疫印迹 (WB)

          1:1,000-1:2,000
          -

          免疫组化(石蜡) (IHC (P))

          1:200
          -

          免疫细胞化学 (ICC/IF)

          1:100
          -

          流式细胞分析 (Flow)

          1:1,000
          -
          产品规格

          种属反应

          Human, Mouse

          宿主/亚型

          Rabbit / IgG

          分类

          Polyclonal

          类型

          Antibody

          抗原

          Synthetic peptide within Human SIRT1 aa 698-747.
          3D表位/免疫原

          偶联物

          Unconjugated Unconjugated Unconjugated

          形式

          Liquid

          浓度

          1 mg/mL

          规格

          100 µg

          纯化类型

          Antigen affinity chromatography

          保存液

          PBS, pH 7.4, with 40% Glycerol, 0.2% BSA

          内含物

          0.05% sodium azide

          保存条件

          Store at 4°C short term. For long term storage, store at -20°C, avoiding freeze/thaw cycles.

          运输条件

          Ambient (domestic); Wet ice (international)

          RRID

          AB_2802722

          靶标信息

          NAD-dependent protein deacetylase sirtuin-1 (SIRT1) links transcriptional regulation directly to intracellular energetics and participates in the coordination of several separated cellular functions such as cell cycle, repsonse to DNA damage, metabolism, apoptosis, and autophagy. SIRT1 can modulate chromatin function through deacetylation of histones and can promote alterations in the methylation of histone and DNA, leading to transcriptional repression. It is essential in skeletal muscle cell differentiation and in response to low nutrients mediates the inhibitory effect on skeletal myoblast differentiation which also involves 5'-AMP-activated protein kinase (AMPK) and nicotinamide phosphoribosyltransferase (NAMPT).

          仅用于科研。不用于诊断过程。未经明确授权不得转售。

          篇参考文献 (0)

          您是否在文献中引用过该产品?请点击下方按钮邮件告知我们。
          引用该产品

          生物信息学

          蛋白别名: domain has histone deacetylase activity; hSIR2; hSIRT1; mSIR2a; NAD-dependent deacetylase sirtuin-1; NAD-dependent protein deacetylase sirtuin-1; NAD-dependent protein deacylase sirtuin-1; OTTHUMP00000198111; OTTHUMP00000198112; Regulatory protein SIR2 homolog 1; RP11-57G10.3; Sir2; sir2-like 1; SIR2-like protein 1; SIR2alpha; SIRT 1; SIRT-1; sirtuin 1 ((silent mating type information regulation 2, homolog) 1; sirtuin type 1; unnamed protein product; yeast silent information regulator 2 (Sir2p) homolog

          查看更多 收起

          基因别名: AA673258; SIR2; Sir2a; SIR2alpha; SIR2L1; SIRT1

          查看更多 收起

          UniProt ID: (Human) Q96EB6, (Mouse) Q923E4

          查看更多 收起

          Entrez Gene ID: (Human) 23411, (Mouse) 93759

          查看更多 收起

          功能
          RNA polymerase II core promoter proximal region sequence-specific DNA binding p53 binding transcription coactivator activity transcription corepressor activity NAD+ ADP-ribosyltransferase activity histone deacetylase activity enzyme inhibitor activity protein binding enzyme activator activity transferase activity ligand-dependent nuclear receptor binding NAD-dependent histone deacetylase activity deacetylase activity enzyme binding protein domain specific binding NAD-dependent histone deacetylase activity (H3-K14 specific) protein deacetylase activity NAD-dependent protein deacetylase activity histone binding identical protein binding HLH domain binding bHLH transcription factor binding metal ion binding NAD-dependent histone deacetylase activity (H3-K9 specific) NAD-dependent histone deacetylase activity (H4-K16 specific) mitogen-activated protein kinase binding NAD+ binding NAD-dependent protein-lysine depropionylase activity DNA-binding transcription factor binding transcription regulator inhibitor activity histone H4K12 deacetylase activity, hydrolytic mechanism histone H3K deacetylase activity NAD-dependent protein lysine delactylase activity NAD-dependent protein decrotonylase activity NAD-dependent histone decrotonylase activity keratin filament binding protein ADP-ribosylase activity promoter-specific chromatin binding core promoter sequence-specific DNA binding protein C-terminus binding transcription factor binding protein-N-terminal asparagine amidohydrolase activity UDP-3-O-[3-hydroxymyristoyl] N-acetylglucosamine deacetylase activity hydrolase activity iprodione amidohydrolase activity (3,5-dichlorophenylurea)acetate amidohydrolase activity 4'-(2-hydroxyisopropyl)phenylurea amidohydrolase activity didemethylisoproturon amidohydrolase activity N-isopropylacetanilide amidohydrolase activity N-cyclohexylformamide amidohydrolase activity isonicotinic acid hydrazide hydrolase activity cis-aconitamide amidase activity gamma-N-formylaminovinylacetate hydrolase activity protein kinase B binding N2-acetyl-L-lysine deacetylase activity O-succinylbenzoate synthase activity indoleacetamide hydrolase activity N-acetylcitrulline deacetylase activity N-acetylgalactosamine-6-phosphate deacetylase activity diacetylchitobiose deacetylase activity chitooligosaccharide deacetylase activity chromatin/chromatin-binding, or -regulatory protein histone modifying enzyme
          参与通路
          single strand break repair negative regulation of transcription from RNA polymerase II promoter chromatin silencing at rDNA pyrimidine dimer repair by nucleotide-excision repair DNA synthesis involved in DNA repair angiogenesis ovulation from ovarian follicle cellular glucose homeostasis positive regulation of protein phosphorylation positive regulation of endothelial cell proliferation positive regulation of adaptive immune response gluconeogenesis chromatin organization methylation-dependent chromatin silencing protein deacetylation triglyceride mobilization apoptotic process cellular response to DNA damage stimulus response to oxidative stress transforming growth factor beta receptor signaling pathway spermatogenesis regulation of mitotic cell cycle muscle organ development circadian rhythm positive regulation of cell proliferation intrinsic apoptotic signaling pathway in response to DNA damage cellular response to starvation negative regulation of gene expression regulation of centrosome duplication negative regulation of triglyceride biosynthetic process positive regulation of cholesterol efflux regulation of lipid storage regulation of glucose metabolic process positive regulation of macroautophagy protein ubiquitination peptidyl-lysine acetylation triglyceride biosynthetic process cell differentiation macrophage differentiation negative regulation of transforming growth factor beta receptor signaling pathway endoplasmic reticulum unfolded protein response negative regulation of prostaglandin biosynthetic process heterochromatin assembly telomeric heterochromatin assembly protein destabilization negative regulation of TOR signaling regulation of endodeoxyribonuclease activity negative regulation of NF-kappaB transcription factor activity positive regulation of proteasomal ubiquitin-dependent protein catabolic process response to insulin circadian regulation of gene expression leptin-mediated signaling pathway regulation of smooth muscle cell apoptotic process hippo signaling negative regulation of hippo signaling cellular triglyceride homeostasis regulation of peroxisome proliferator activated receptor signaling pathway regulation of cell proliferation cellular response to glucose starvation negative regulation of phosphorylation response to hydrogen peroxide behavioral response to starvation cholesterol homeostasis intrinsic apoptotic signaling pathway in response to DNA damage by p53 class mediator regulation of apoptotic process positive regulation of apoptotic process negative regulation of apoptotic process negative regulation of I-kappaB kinase/NF-kappaB signaling proteasome-mediated ubiquitin-dependent protein catabolic process negative regulation of DNA damage response, signal transduction by p53 class mediator negative regulation of neuron apoptotic process positive regulation of blood vessel endothelial cell migration response to leptin positive regulation of MHC class II biosynthetic process negative regulation of fat cell differentiation positive regulation of gluconeogenesis positive regulation of DNA repair positive regulation of angiogenesis negative regulation of cell cycle negative regulation of transcription, DNA-templated positive regulation of transcription from RNA polymerase II promoter regulation of transcription by glucose positive regulation of insulin receptor signaling pathway regulation of lipid biosynthetic process rhythmic process regulation of developmental process white fat cell differentiation positive regulation of smooth muscle cell differentiation regulation of multicellular organismal process attachment of mitotic spindle microtubules to kinetochore maintenance of nucleus location positive regulation of protein kinase B signaling negative regulation of protein kinase B signaling fatty acid homeostasis negative regulation of androgen receptor signaling pathway positive regulation of macrophage cytokine production positive regulation of small molecule metabolic process cellular response to hydrogen peroxide regulation of bile acid biosynthetic process UV-damage excision repair cellular response to tumor necrosis factor cellular response to hypoxia cellular response to ionizing radiation signal transduction by p53 class mediator tricarboxylic acid metabolic process regulation of brown fat cell differentiation stress-induced premature senescence energy homeostasis protein depropionylation DNA repair-dependent chromatin remodeling regulation of cellular response to heat negative regulation of signal transduction by p53 class mediator negative regulation of protein acetylation negative regulation of intrinsic apoptotic signaling pathway in response to DNA damage by p53 class mediator negative regulation of oxidative stress-induced intrinsic apoptotic signaling pathway positive regulation of endoplasmic reticulum stress-induced intrinsic apoptotic signaling pathway negative regulation of attachment of mitotic spindle microtubules to kinetochore positive regulation of adipose tissue development cellular response to leukemia inhibitory factor positive regulation of macrophage apoptotic process positive regulation of cAMP-dependent protein kinase activity negative regulation of cellular response to testosterone stimulus negative regulation of peptidyl-lysine acetylation negative regulation of cellular senescence positive regulation of cellular senescence positive regulation of double-strand break repair establishment of chromatin silencing maintenance of chromatin silencing transcription, DNA-templated regulation of transcription, DNA-templated rRNA processing multicellular organism development positive regulation of heart rate negative regulation of cardiac muscle cell apoptotic process positive regulation of neuron projection development positive regulation of skeletal muscle cell proliferation histone deacetylation negative regulation of cell growth positive regulation of chromatin silencing negative regulation of tumor necrosis factor production regulation of protein import into nucleus, translocation peptidyl-lysine deacetylation positive regulation of insulin secretion involved in cellular response to glucose stimulus positive regulation of cysteine-type endopeptidase activity involved in apoptotic process negative regulation of sequence-specific DNA binding transcription factor activity response to ethanol positive regulation of vasodilation negative regulation of helicase activity positive regulation of histone H3-K9 methylation negative regulation of growth hormone secretion negative regulation of cell death histone H3-K9 modification histone H3 deacetylation negative regulation of histone H3-K14 acetylation negative regulation of neuron death negative regulation of reactive oxygen species biosynthetic process histone H3-K9 deacetylation negative regulation of fibroblast apoptotic process negative regulation of cAMP-dependent protein kinase activity regulation of energy homeostasis positive regulation of thyroid-stimulating hormone secretion negative regulation of histone H4-K16 acetylation
          It has to be done as per old AB suggested Products section.

          Disclaimer

          Close

          Clicking the images or links will redirect you to a website hosted by BenchSci that provides third-party scientific content. Neither the content nor the BenchSci technology and processes for selection have been evaluated by us; we are providing them as-is and without warranty of any kind, including for use or application of the Thermo Fisher Scientific products presented.

          guarantee_icon

          性能保障

          只要您发现Invitrogen抗体在实验中的表现与网站或说明书的所述内容不符,您即可享受免费退换货服务。*

          了解更多
          help_icon

          随时为您服务

          获取常见问题的专家解答,或者直接联系我们的技术专家,咨询应用、设备、常规产品使用问题。

          联系技术支持
          订购 Plus Icon Minus Icon
          • 订单状态查询
          • 订单支持
          • 货号直购
          • 现货供应中心
          • 电子采购
          支持 Plus Icon Minus Icon
          • 帮助&支持
          • 联系我们 - 400 820 8982
          • 技术支持中心
          • 查找文件&证书
          • 报告网站问题
          资源 Plus Icon Minus Icon
          • 学习中心
          • 促销
          • 活动&研讨会
          • 社交媒体
          关于赛默飞 Plus Icon Minus Icon
          • 关于我们
          • 招聘 招聘
          • 投资者关系 投资者关系
          • 新闻 新闻
          • 社会责任 社会责任
          • 商标
          • 政策和通知
          品牌 Plus Icon Minus Icon
          • Thermo Scientific
          • Applied Biosystems
          • Invitrogen
          • Gibco
          • Ion Torrent
          • Unity Lab Services
          • Patheon
          • PPD
          • 服务条款
          • 隐私政策
          • 定价和运输保险政策
          © 2006-2026 Thermo Fisher Scientific Inc. All rights reserved. All trademarks are the property of Thermo Fisher Scientific and its subsidiaries unless otherwise specified.
          China flag icon
          China
          本网站销售的所有产品均不得用于人类或动物之临床诊断或治疗,仅可用于工业或者科研等非医疗目的。
             电子营业执照 | 经营证照公示 | ICP备案号:沪ICP备11003924号 | 沪公网安备 31011502006935号

          Your items have has been added!


          Host server : magellan-search-green-6479c7f679-zb4k5:80/100.66.74.142:80.
          git-commit: b70c0dceb888abc3b0dcebb5bc3a5b8753e7e816
          git-url: https://github.com/thermofisher/magellan-search
          git-branch: release/2.50.0-Offline