Hamburger Menu Button
Thermo Fisher Scientific Logo
登录
没有账号?建立账号 注册
  • 产品
    • 抗体
    • 引物合成
    • GeneArt Gene Synthesis Instant Designer
    • TaqMan Assay and Array Search
    • PCR 设备和耗材
    • 色谱柱和纯化柱
    • 实验室离心机
    • 分子生物学试剂和试剂盒
    • 实验室塑料耗材及用品
    • 查看所有产品分类
  • 应用和技术
    • 色谱
    • 细胞转染和培养
    • 实时荧光定量PCR
    • 质谱
    • 实验室塑料耗材及用品
    • 电子显微镜
    • 蛋白质生物学
    • PCR
    • RNAi
    • 环境
    • 查看所有应用和技术
  • 服务
    • 定制服务
    • 企业级实验室信息化服务
    • 金融&租赁服务
    • 仪器服务
    • OEM和商业供应
    • 培训服务
    • 360° CDMO 和 CRO 服务
    • CDMO 服务
    • 临床试验 CRO 服务
    • Unity Lab Services
    • 查看所有帮助和支持
  • 帮助和支持
    • 学习中心
    • 联系我们
    • 更改国家或地区
    • 查看所有帮助和支持
  • 热门产品
    • TaqMan Real-Time PCR Assays
      TaqMan 实时荧光定量 PCR 试剂盒
    • Antibodies
      抗体
    • Oligos, Primers & Probes
      寡核苷酸、引物、探针
    • GeneArt Gene Synthesis
      GeneArt 基因合成
    • Cell Culture Plastics
      细胞培养耗材
  • Who We Serve
    • 抗体治疗解决方案
    • 细胞与基因治疗解决方案
    • 学术科研
    • 工业与应用
  • 联系我们
  • 货号直购
  • 订单查询
  • 查找文件&证书
Thermo Fisher Scientific Logo

Search

搜索全部或下列指定分类
Search button
          • 联系我们
          • 货号直购
          • 登录
            登录
            没有账号?建立账号 注册
            • 我的账号
            • 订单
            • 会员中心
            • 账单及发票查询
            • 定制产品及项目
          • Primary Antibodies ›
          • SLC34A1 Antibodies

          Invitrogen

          SLC34A1 Polyclonal Antibody

          1 篇参考文献
          查看其他5个SLC34A1抗体

          {{$productOrderCtrl.translations['antibody.pdp.commerceCard.promotion.promotions']}}

          {{$productOrderCtrl.translations['antibody.pdp.commerceCard.promotion.viewpromo']}}

          {{$productOrderCtrl.translations['antibody.pdp.commerceCard.promotion.promocode']}}: {{promo.promoCode}} {{promo.promoTitle}} {{promo.promoDescription}}. {{$productOrderCtrl.translations['antibody.pdp.commerceCard.promotion.learnmore']}}

          说明书
          证书
          实验方案
          问题与答案
          技术支持
          说明书
          证书
          实验方案
          问题与答案
          技术支持
          说明书
          证书
          实验方案
          问题与答案
          技术支持

          Cite SLC34A1 Polyclonal Antibody

          Additional Information:
          {{banner.description}}
          {{$ctrl.isSkuNotesCollapsed ? 'View more' : 'View less'}}
          • 抗体检测数据 (3)
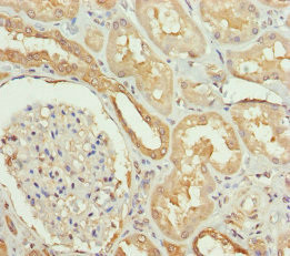
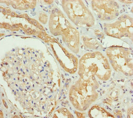
          SLC34A1 Antibody in Immunohistochemistry (Paraffin) (IHC (P))
          Group 53 Created with Sketch.
          SLC34A1 Antibody in Immunohistochemistry (Paraffin) (IHC (P))
          Group 53 Created with Sketch.

          图: 1 / 3

          {{ $ctrl.currentElement.advancedVerification.fullName }}
          {{ $ctrl.currentElement.advancedVerification.text }}

          SLC34A1 Antibody (PA5-113005) in IHC (P)

          Immunocytochemical analysis of paraffin-embeded SLC34A1 in human kidney tissue using a SLC34A1 Polyclonal antibody (Product # PA5-113005) at a dilution of 1:100. {{ $ctrl.currentElement.advancedVerification.fullName }} 验证信息 View more
          已发表图片由___提供 benchsci-logo
          PMID: {{$ctrl.currentElement.benchSciPubmedId}}
          查看产品

          {{$ctrl.videoDesc}}

          {{$ctrl.videoLongDesc}}

          SLC34A1 Antibody in Immunohistochemistry (Paraffin) (IHC (P))
          SLC34A1 Antibody in Immunohistochemistry (Paraffin) (IHC (P))
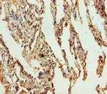
          SLC34A1 Antibody in Western Blot (WB)
          SLC34A1 Polyclonal Antibody

          产品信息

          PA5-113005

          应用
          建议稀释比
          已发表文章

          免疫印迹 (WB)

          1:100-1:500
          -

          免疫组化 (IHC)

          -
          查看1篇已发表文章 1篇已发表文章

          免疫组化(石蜡) (IHC (P))

          1:20-1:200
          -

          酶联免疫吸附实验 (ELISA)

          Assay-dependent
          -
          产品规格

          种属反应

          Human, Mouse

          已发表种属

          Mouse

          宿主/亚型

          Rabbit / IgG

          分类

          Polyclonal

          类型

          Antibody

          抗原

          Recombinant Human Sodium-dependent phosphate transport protein 2A protein (1-103AA)
          3D表位/免疫原

          偶联物

          Unconjugated Unconjugated Unconjugated

          形式

          Liquid

          浓度

          1 mg/mL

          规格

          100 µg

          纯化类型

          Antigen affinity chromatography

          保存液

          PBS, pH 7.3, with 50% glycerol

          内含物

          0.02% sodium azide

          保存条件

          -20°C or -80°C if preferred

          运输条件

          Ambient (domestic); Wet ice (international)

          RRID

          AB_2867739

          靶标信息

          Renal tubular reabsorption of phosphate is critical to the maintenance of phosphate homeostasis in mammals. The brush-border membrane Na+/Pi cotransport systems in proximal tubules play a major role in this process. The renal Na(+)/P(i) cotransporter NPT2 is expressed in the brush border membrane (BBM) of proximal tubular cells. NPT2 gene expression is crucial for PTH effects on renal P(i) handling. However, renal expression of the sodium/phosphate cotransporter gene, NPT2, is not required for regulation of renal 1 alpha-hydroxylase by phosphate. NPT2 is an integral membrane protein expressed in kidney and lung. The gene encoding human NPT1 maps to chromosome 6q21.3-p23, while the gene encoding human NPT2 maps to chromosome 5q35.

          仅用于科研。不用于诊断过程。未经明确授权不得转售。

          生物信息学

          蛋白别名: Na(+)-dependent phosphate cotransporter 2A; Na(+)/Pi cotransporter 2A; Na+-phosphate cotransporter type II; Na/Pi cotransporter; naPi-2a; NaPi-3; naPi-7; renal Na+/Pi transporter; renal sodium-dependent phosphate transporter; Sodium-dependent phosphate transport protein 2A; Sodium-phosphate transport protein 2A; sodium/phosphate co-transporter; Sodium/phosphate cotransporter 2A; solute carrier family 17 (sodium phosphate), member 2; solute carrier family 17 (sodium/hydrogen exchanger), member 2; solute carrier family 34 (sodium phosphate), member 1; solute carrier family 34 (type II sodium/phosphate cotransporter), member 1; Solute carrier family 34 member 1; type IIa Na+/Pi-cotransporter; unnamed protein product

          查看更多 收起

          基因别名: FRTS2; HCINF2; NAPI-3; NaPi-IIa; NPHLOP1; NPT2; Npt2a; NPTIIa; SLC11; SLC17A2; SLC34A1

          查看更多 收起

          UniProt ID: (Human) Q06495

          查看更多 收起

          Entrez Gene ID: (Human) 6569, (Mouse) 20505

          查看更多 收起

          功能
          sodium:phosphate symporter activity protein binding symporter activity PDZ domain binding identical protein binding macromolecular complex binding sodium-dependent phosphate transmembrane transporter activity protein complex binding protein homodimerization activity secondary carrier transporter
          参与通路
          ossification kidney development ion transport sodium ion transport phosphate ion transport response to nutrient glycoprotein metabolic process response to xenobiotic stimulus response to lead ion cellular response to phosphate starvation cellular phosphate ion homeostasis response to magnesium ion response to estradiol response to vitamin A phosphate ion transmembrane transport response to potassium ion indole metabolic process response to peptide hormone sodium-dependent phosphate transport positive regulation of membrane potential response to cadmium ion response to mercury ion phosphate ion homeostasis response to growth hormone response to parathyroid hormone cellular response to metal ion cellular response to parathyroid hormone stimulus tricarboxylic acid metabolic process cellular response to staurosporine response to thyroid hormone dentinogenesis sodium ion import across plasma membrane gentamycin metabolic process response to peptide arsenate ion transmembrane transport positive regulation of sodium-dependent phosphate transport positive regulation of phosphate transmembrane transport transport bone remodeling protein homooligomerization
          It has to be done as per old AB suggested Products section.

          Disclaimer

          Close

          Clicking the images or links will redirect you to a website hosted by BenchSci that provides third-party scientific content. Neither the content nor the BenchSci technology and processes for selection have been evaluated by us; we are providing them as-is and without warranty of any kind, including for use or application of the Thermo Fisher Scientific products presented.

          guarantee_icon

          性能保障

          只要您发现Invitrogen抗体在实验中的表现与网站或说明书的所述内容不符,您即可享受免费退换货服务。*

          了解更多
          help_icon

          随时为您服务

          获取常见问题的专家解答,或者直接联系我们的技术专家,咨询应用、设备、常规产品使用问题。

          联系技术支持
          订购 Plus Icon Minus Icon
          • 订单状态查询
          • 订单支持
          • 货号直购
          • 现货供应中心
          • 电子采购
          支持 Plus Icon Minus Icon
          • 帮助&支持
          • 联系我们 - 400 820 8982
          • 技术支持中心
          • 查找文件&证书
          • 报告网站问题
          资源 Plus Icon Minus Icon
          • 学习中心
          • 促销
          • 活动&研讨会
          • 社交媒体
          关于赛默飞 Plus Icon Minus Icon
          • 关于我们
          • 招聘 招聘
          • 投资者关系 投资者关系
          • 新闻 新闻
          • 社会责任 社会责任
          • 商标
          • 政策和通知
          品牌 Plus Icon Minus Icon
          • Thermo Scientific
          • Applied Biosystems
          • Invitrogen
          • Gibco
          • Ion Torrent
          • Unity Lab Services
          • Patheon
          • PPD
          • 服务条款
          • 隐私政策
          • 定价和运输保险政策
          © 2006-2026 Thermo Fisher Scientific Inc. All rights reserved. All trademarks are the property of Thermo Fisher Scientific and its subsidiaries unless otherwise specified.
          China flag icon
          China
          本网站销售的所有产品均不得用于人类或动物之临床诊断或治疗,仅可用于工业或者科研等非医疗目的。
             电子营业执照 | 经营证照公示 | ICP备案号:沪ICP备11003924号 | 沪公网安备 31011502006935号

          Your items have has been added!


          Host server : magellan-search-green-6479c7f679-zb4k5:80/100.66.74.142:80.
          git-commit: b70c0dceb888abc3b0dcebb5bc3a5b8753e7e816
          git-url: https://github.com/thermofisher/magellan-search
          git-branch: release/2.50.0-Offline