Hamburger Menu Button
Thermo Fisher Scientific Logo
登录
没有账号?建立账号 注册
  • 产品
    • 抗体
    • 引物合成
    • GeneArt Gene Synthesis Instant Designer
    • TaqMan Assay and Array Search
    • PCR 设备和耗材
    • 色谱柱和纯化柱
    • 实验室离心机
    • 分子生物学试剂和试剂盒
    • 实验室塑料耗材及用品
    • 查看所有产品分类
  • 应用和技术
    • 色谱
    • 细胞转染和培养
    • 实时荧光定量PCR
    • 质谱
    • 实验室塑料耗材及用品
    • 电子显微镜
    • 蛋白质生物学
    • PCR
    • RNAi
    • 环境
    • 查看所有应用和技术
  • 服务
    • 定制服务
    • 企业级实验室信息化服务
    • 金融&租赁服务
    • 仪器服务
    • OEM和商业供应
    • 培训服务
    • 360° CDMO 和 CRO 服务
    • CDMO 服务
    • 临床试验 CRO 服务
    • Unity Lab Services
    • 查看所有帮助和支持
  • 帮助和支持
    • 学习中心
    • 联系我们
    • 更改国家或地区
    • 查看所有帮助和支持
  • 热门产品
    • TaqMan Real-Time PCR Assays
      TaqMan 实时荧光定量 PCR 试剂盒
    • Antibodies
      抗体
    • Oligos, Primers & Probes
      寡核苷酸、引物、探针
    • GeneArt Gene Synthesis
      GeneArt 基因合成
    • Cell Culture Plastics
      细胞培养耗材
  • Who We Serve
    • 抗体治疗解决方案
    • 细胞与基因治疗解决方案
    • 学术科研
    • 工业与应用
  • 联系我们
  • 货号直购
  • 订单查询
  • 查找文件&证书
Thermo Fisher Scientific Logo

Search

搜索全部或下列指定分类
Search button
          • 联系我们
          • 货号直购
          • 登录
            登录
            没有账号?建立账号 注册
            • 我的账号
            • 订单
            • 会员中心
            • 账单及发票查询
            • 定制产品及项目
          • Primary Antibodies ›
          • SLIT2 Antibodies

          Rockland

          SLIT2 Polyclonal Antibody

          查看其他13个SLIT2抗体

          {{$productOrderCtrl.translations['antibody.pdp.commerceCard.promotion.promotions']}}

          {{$productOrderCtrl.translations['antibody.pdp.commerceCard.promotion.viewpromo']}}

          {{$productOrderCtrl.translations['antibody.pdp.commerceCard.promotion.promocode']}}: {{promo.promoCode}} {{promo.promoTitle}} {{promo.promoDescription}}. {{$productOrderCtrl.translations['antibody.pdp.commerceCard.promotion.learnmore']}}

          说明书
          证书
          实验方案
          问题与答案
          技术支持
          说明书
          证书
          实验方案
          问题与答案
          技术支持
          说明书
          证书
          实验方案
          问题与答案
          技术支持

          Cite SLIT2 Polyclonal Antibody

          Additional Information:
          {{banner.description}}
          {{$ctrl.isSkuNotesCollapsed ? 'View more' : 'View less'}}
          • 抗体检测数据 (2)
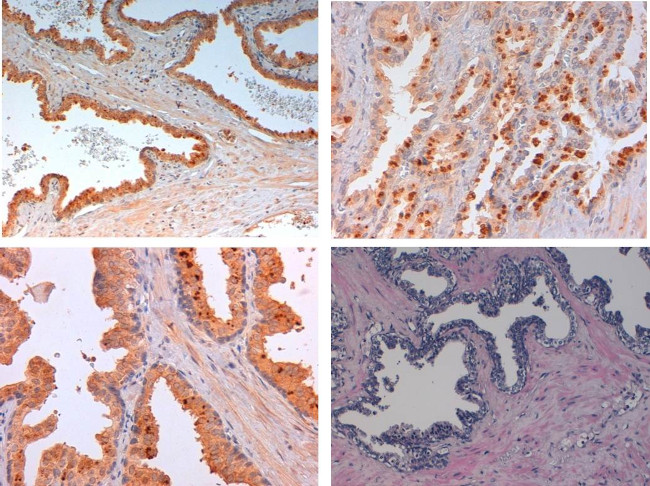
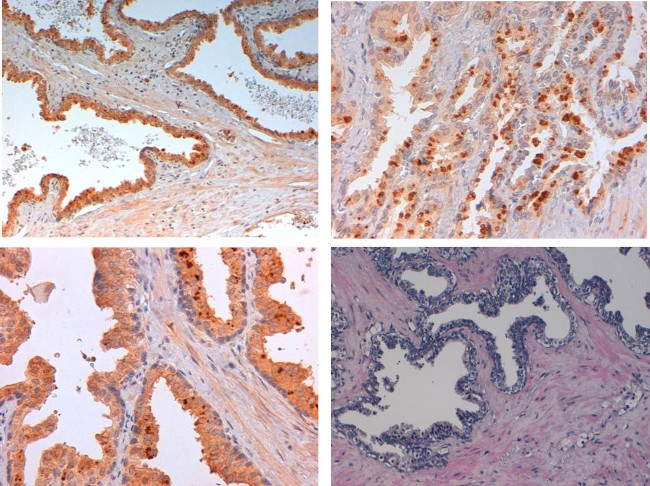
          SLIT2 Antibody in Immunohistochemistry (Paraffin) (IHC (P))
          Group 53 Created with Sketch.
          SLIT2 Antibody in Immunohistochemistry (Paraffin) (IHC (P))
          Group 53 Created with Sketch.

          图: 1 / 2

          {{ $ctrl.currentElement.advancedVerification.fullName }}
          {{ $ctrl.currentElement.advancedVerification.text }}

          SLIT2 Antibody (600-401-846) in IHC (P)

          Immunohistochemistry of Rabbit anti SLIT-2 Antibody in human breast carcinoma. Tissue: Human prostate. Fixation: FFPE buffered formalin 10% conc. Ag Retrieval: Heat, Citrate pH 6.2. Pressure Cooker, EDTA pH 9.5 Pressure Cooker. Primary antibody: SLIT2 at 2 µg/mL for 1.5 hour @ room Temp. Secondary Ab: MACH 1 HRP POLYMER at 1:50 for 458221 RT. {{ $ctrl.currentElement.advancedVerification.fullName }} 验证信息 View more
          已发表图片由___提供 benchsci-logo
          PMID: {{$ctrl.currentElement.benchSciPubmedId}}
          查看产品

          {{$ctrl.videoDesc}}

          {{$ctrl.videoLongDesc}}

          SLIT2 Antibody in Immunohistochemistry (Paraffin) (IHC (P))
          SLIT2 Antibody in Western Blot (WB)
          SLIT2 Polyclonal Antibody

          产品信息

          600-401-846

          应用
          建议稀释比
          已发表文章

          免疫印迹 (WB)

          1:500- 1:2,000
          -

          免疫组化(石蜡) (IHC (P))

          2 µg/mL
          -

          酶联免疫吸附实验 (ELISA)

          1:5,000-1:50,000
          -

          免疫沉淀 (IP)

          1:500-1:2,000
          -
          产品规格

          种属反应

          Chicken, Human

          宿主/亚型

          Rabbit / IgG

          分类

          Polyclonal

          类型

          Antibody

          抗原

          This affinity purified antibody was prepared from whole rabbit serum produced by repeated immunizations with a synthetic peptide corresponding aa 475-500 of Human SLIT-2 protein.
          3D表位/免疫原

          偶联物

          Unconjugated Unconjugated Unconjugated

          形式

          Liquid

          浓度

          1 mg/mL

          规格

          100 µg

          纯化类型

          Affinity chromatography

          保存液

          0.02M potassium phosphate, pH 7.2, with 0.15M NaCl

          内含物

          0.01% sodium azide

          保存条件

          -20°C, Avoid Freeze/Thaw Cycles

          运输条件

          Ambient (domestic); Wet ice (international)

          产品详细信息

          Store vial at -20° C prior to opening. Aliquot contents and freeze at -20° C or below for extended storage. Avoid cycles of freezing and thawing. Centrifuge product if not completely clear after standing at room temperature. This product is stable for several weeks at 4° C as an undiluted liquid. Dilute only prior to immediate use.

          This affinity purified antibody is directed against human SLIT-2 protein. A BLAST analysis was used to suggest reactivity with this protein from human and chicken based on 100% homology for the immunogen sequence. Expect cross reactivity with SLIT-2 from Tetraodon nigroviridis , as only a single amino acid residue change is found within the immunogen sequence (94% positive by BLAST). The core 13 amino acids of the immunogen are also 100% homologous to SLIT-2 from mouse, rat, bovine and Xenopus laevis. Cross reactivity with SLIT-2 homologues from other sources has not been determined.

          靶标信息

          SLIT2 are ligands for Robo receptors and play a vital role for axonal migration/navigation during neural development. A number of cleavage products through alternate splicing are reported in the literature for SLIT2 proteins. The C-terminal cleavage proteins are more diffusible than the larger N-terminal protein that is more tightly cell associated. SLIT2 protein is expressed in tissues such as fetal lung, kidney, and adult spinal cord.

          仅用于科研。不用于诊断过程。未经明确授权不得转售。

          篇参考文献 (0)

          您是否在文献中引用过该产品?请点击下方按钮邮件告知我们。
          引用该产品

          生物信息学

          蛋白别名: leucine-rich repeat EGF-like repeat secreted protein; secreted ligand for robo receptors; Slit homolog 2 protein; Slit-2; unnamed protein product

          查看更多 收起

          基因别名: SLIL3; Slit; Slit-2; SLIT2

          查看更多 收起

          UniProt ID: (Human) O94813

          查看更多 收起

          Entrez Gene ID: (Human) 9353, (Chicken) 373967

          查看更多 收起

          功能
          GTPase inhibitor activity calcium ion binding protein binding heparin binding identical protein binding protein homodimerization activity laminin-1 binding proteoglycan binding Roundabout binding immunoglobulin superfamily cell adhesion molecule
          参与通路
          ureteric bud development kidney development negative regulation of protein phosphorylation cell migration involved in sprouting angiogenesis negative regulation of leukocyte chemotaxis aortic valve morphogenesis pulmonary valve morphogenesis chemotaxis nervous system development axon guidance motor neuron axon guidance negative regulation of lamellipodium assembly negative regulation of endothelial cell migration negative regulation of macromolecule metabolic process negative regulation of neuron projection development negative regulation of smooth muscle cell migration olfactory bulb development chemorepulsion involved in embryonic olfactory bulb interneuron precursor migration chemorepulsion involved in postnatal olfactory bulb interneuron migration corticospinal neuron axon guidance through spinal cord telencephalon cell migration cell differentiation negative regulation of cell growth negative regulation of cell migration negative regulation of actin filament polymerization retinal ganglion cell axon guidance regulation of cellular component size cellular response to hormone stimulus Roundabout signaling pathway positive regulation of apoptotic process negative regulation of vascular permeability branching morphogenesis of an epithelial tube axon extension involved in axon guidance regulation of neurogenesis regulation of axonogenesis positive regulation of axonogenesis negative chemotaxis induction of negative chemotaxis negative regulation of small GTPase mediated signal transduction response to cortisol ventricular septum morphogenesis epithelial tube morphogenesis apoptotic process involved in luteolysis negative regulation of chemokine-mediated signaling pathway cellular response to heparin negative regulation of smooth muscle cell chemotaxis negative regulation of mononuclear cell migration circulatory system development negative regulation of neutrophil chemotaxis negative regulation of monocyte chemotaxis negative regulation of retinal ganglion cell axon guidance negative regulation of cellular response to growth factor stimulus
          It has to be done as per old AB suggested Products section.

          Disclaimer

          Close

          Clicking the images or links will redirect you to a website hosted by BenchSci that provides third-party scientific content. Neither the content nor the BenchSci technology and processes for selection have been evaluated by us; we are providing them as-is and without warranty of any kind, including for use or application of the Thermo Fisher Scientific products presented.

          guarantee_icon

          性能保障

          只要您发现Invitrogen抗体在实验中的表现与网站或说明书的所述内容不符,您即可享受免费退换货服务。*

          了解更多
          help_icon

          随时为您服务

          获取常见问题的专家解答,或者直接联系我们的技术专家,咨询应用、设备、常规产品使用问题。

          联系技术支持
          订购 Plus Icon Minus Icon
          • 订单状态查询
          • 订单支持
          • 货号直购
          • 现货供应中心
          • 电子采购
          支持 Plus Icon Minus Icon
          • 帮助&支持
          • 联系我们 - 400 820 8982
          • 技术支持中心
          • 查找文件&证书
          • 报告网站问题
          资源 Plus Icon Minus Icon
          • 学习中心
          • 促销
          • 活动&研讨会
          • 社交媒体
          关于赛默飞 Plus Icon Minus Icon
          • 关于我们
          • 招聘 招聘
          • 投资者关系 投资者关系
          • 新闻 新闻
          • 社会责任 社会责任
          • 商标
          • 政策和通知
          品牌 Plus Icon Minus Icon
          • Thermo Scientific
          • Applied Biosystems
          • Invitrogen
          • Gibco
          • Ion Torrent
          • Unity Lab Services
          • Patheon
          • PPD
          • 服务条款
          • 隐私政策
          • 定价和运输保险政策
          © 2006-2026 Thermo Fisher Scientific Inc. All rights reserved. All trademarks are the property of Thermo Fisher Scientific and its subsidiaries unless otherwise specified.
          China flag icon
          China
          本网站销售的所有产品均不得用于人类或动物之临床诊断或治疗,仅可用于工业或者科研等非医疗目的。
             电子营业执照 | 经营证照公示 | ICP备案号:沪ICP备11003924号 | 沪公网安备 31011502006935号

          Your items have has been added!


          Host server : magellan-search-blue-7c59b9b899-4kcjf:80/100.66.78.36:80.
          git-commit: 8ef7cf686e3c81d28b13492708ce56d167b2f995
          git-url: https://github.com/thermofisher/magellan-search
          git-branch: release/2.49.0-Offline