Hamburger Menu Button
Thermo Fisher Scientific Logo
登录
没有账号?建立账号 注册
  • 产品
    • 抗体
    • 引物合成
    • GeneArt Gene Synthesis Instant Designer
    • TaqMan Assay and Array Search
    • PCR 设备和耗材
    • 色谱柱和纯化柱
    • 实验室离心机
    • 分子生物学试剂和试剂盒
    • 实验室塑料耗材及用品
    • 查看所有产品分类
  • 应用和技术
    • 色谱
    • 细胞转染和培养
    • 实时荧光定量PCR
    • 质谱
    • 实验室塑料耗材及用品
    • 电子显微镜
    • 蛋白质生物学
    • PCR
    • RNAi
    • 环境
    • 查看所有应用和技术
  • 服务
    • 定制服务
    • 企业级实验室信息化服务
    • 金融&租赁服务
    • 仪器服务
    • OEM和商业供应
    • 培训服务
    • 360° CDMO 和 CRO 服务
    • CDMO 服务
    • 临床试验 CRO 服务
    • Unity Lab Services
    • 查看所有帮助和支持
  • 帮助和支持
    • 学习中心
    • 联系我们
    • 更改国家或地区
    • 查看所有帮助和支持
  • 热门产品
    • TaqMan Real-Time PCR Assays
      TaqMan 实时荧光定量 PCR 试剂盒
    • Antibodies
      抗体
    • Oligos, Primers & Probes
      寡核苷酸、引物、探针
    • GeneArt Gene Synthesis
      GeneArt 基因合成
    • Cell Culture Plastics
      细胞培养耗材
  • Who We Serve
    • 抗体治疗解决方案
    • 细胞与基因治疗解决方案
    • 学术科研
    • 工业与应用
  • 联系我们
  • 货号直购
  • 订单查询
  • 查找文件&证书
Thermo Fisher Scientific Logo

Search

搜索全部或下列指定分类
Search button
          • 联系我们
          • 货号直购
          • 登录
            登录
            没有账号?建立账号 注册
            • 我的账号
            • 订单
            • 会员中心
            • 账单及发票查询
            • 定制产品及项目
          • Primary Antibodies ›
          • SMAD1 Antibodies

          Invitrogen

          SMAD1 Polyclonal Antibody

          高级验证
          32个已发表图片
          24 篇参考文献
          查看其他35个SMAD1抗体

          {{$productOrderCtrl.translations['antibody.pdp.commerceCard.promotion.promotions']}}

          {{$productOrderCtrl.translations['antibody.pdp.commerceCard.promotion.viewpromo']}}

          {{$productOrderCtrl.translations['antibody.pdp.commerceCard.promotion.promocode']}}: {{promo.promoCode}} {{promo.promoTitle}} {{promo.promoDescription}}. {{$productOrderCtrl.translations['antibody.pdp.commerceCard.promotion.learnmore']}}

          说明书
          证书
          实验方案
          问题与答案
          技术支持
          说明书
          证书
          实验方案
          问题与答案
          技术支持
          说明书
          证书
          实验方案
          问题与答案
          技术支持

          Cite SMAD1 Polyclonal Antibody

          Additional Information:
          {{banner.description}}
          {{$ctrl.isSkuNotesCollapsed ? 'View more' : 'View less'}}
          • 抗体检测数据 (4)
          • 已发表图片 (32)
          • 高级验证 (1)
          SMAD1 Antibody in Immunohistochemistry (Paraffin) (IHC (P))
          Group 53 Created with Sketch.
          SMAD1 Antibody in Immunohistochemistry (Paraffin) (IHC (P))
          Group 53 Created with Sketch.

          图: 1 / 37

          {{ $ctrl.currentElement.advancedVerification.fullName }}
          {{ $ctrl.currentElement.advancedVerification.text }}

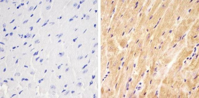
          SMAD1 Antibody (38-5400) in IHC (P)

          Immunohistochemistry analysis of SMAD1 showing staining in the cytoplasm of paraffin-embedded mouse heart tissue (right) compared to a negative control without primary antibody (left). To expose target proteins, antigen retrieval was performed using 10mM sodium citrate (pH 6.0), microwaved for 8-15 min. Following antigen retrieval, tissues were blocked in 3% H2O2-methanol for 15 min at room temperature, was... View More {{ $ctrl.currentElement.advancedVerification.fullName }} 验证信息 View more
          已发表图片由___提供 benchsci-logo
          PMID: {{$ctrl.currentElement.benchSciPubmedId}}
          查看产品

          {{$ctrl.videoDesc}}

          {{$ctrl.videoLongDesc}}

          SMAD1 Antibody in Immunohistochemistry (Paraffin) (IHC (P))
          SMAD1 Antibody in Western Blot (WB)
          SMAD1 Antibody in Western Blot (WB)
          SMAD1 Antibody in Western Blot (WB)
          SMAD1 Antibody in Western Blot (WB)
          SMAD1 Antibody in Western Blot, Immunocytochemistry (WB, ICC/IF)
          SMAD1 Antibody in Immunohistochemistry (Paraffin) (IHC (P))
          SMAD1 Antibody in Immunohistochemistry (IHC)
          SMAD1 Antibody in Western Blot (WB)
          SMAD1 Antibody in Western Blot (WB)
          SMAD1 Antibody in Western Blot (WB)
          SMAD1 Antibody in Western Blot (WB)
          SMAD1 Antibody in Western Blot (WB)
          SMAD1 Antibody in Western Blot (WB)
          SMAD1 Antibody in Western Blot (WB)
          SMAD1 Antibody in Western Blot (WB)
          SMAD1 Antibody in Western Blot (WB)
          SMAD1 Antibody in Western Blot (WB)
          SMAD1 Antibody in Western Blot (WB)
          SMAD1 Antibody in Western Blot (WB)
          SMAD1 Antibody in Western Blot (WB)
          SMAD1 Antibody in Western Blot (WB)
          SMAD1 Antibody in Western Blot (WB)
          SMAD1 Antibody in Western Blot (WB)
          SMAD1 Antibody in Western Blot (WB)
          SMAD1 Antibody in Western Blot (WB)
          SMAD1 Antibody in Western Blot (WB)
          SMAD1 Antibody in Western Blot (WB)
          SMAD1 Antibody in Western Blot (WB)
          SMAD1 Antibody in Western Blot (WB)
          SMAD1 Antibody in Western Blot (WB)
          SMAD1 Antibody in Western Blot (WB)
          SMAD1 Antibody in Western Blot (WB)
          SMAD1 Antibody in Immunoprecipitation (IP)
          SMAD1 Antibody in Immunoprecipitation (IP)
          SMAD1 Antibody in ChIP Assay (ChIP)
          SMAD1 Antibody

          产品信息

          38-5400

          应用
          建议稀释比
          已发表文章

          免疫印迹 (WB)

          1:1,000
          查看16篇已发表文章 16篇已发表文章

          免疫组化 (IHC)

          -
          查看2篇已发表文章 2篇已发表文章

          免疫组化(石蜡) (IHC (P))

          1:10-1:100
          查看1篇已发表文章 1篇已发表文章

          免疫细胞化学 (ICC/IF)

          -
          查看1篇已发表文章 1篇已发表文章

          免疫沉淀 (IP)

          -
          查看2篇已发表文章 2篇已发表文章

          染色质免疫沉淀 实验 (ChIP)

          -
          查看1篇已发表文章 1篇已发表文章

          其他PubMed (Misc)

          -
          查看1篇已发表文章 1篇已发表文章
          产品规格

          种属反应

          Human, Mouse, Non-human primate

          已发表种属

          Human, Mouse, Xenopus

          宿主/亚型

          Rabbit / IgG

          分类

          Polyclonal

          类型

          Antibody

          抗原

          Synthetic peptide derived from an internal region of the human Smad1 protein.

          偶联物

          Unconjugated Unconjugated Unconjugated

          形式

          Liquid

          浓度

          0.25 mg/mL

          规格

          100 µg

          纯化类型

          Antigen affinity chromatography

          保存液

          PBS, pH 7.4

          内含物

          0.1% sodium azide

          保存条件

          -20°C

          运输条件

          Ambient (domestic); Wet ice (international)

          RRID

          AB_2533373

          靶标信息

          The protein encoded by this gene belongs to the SMAD, a family of proteins similar to the gene products of the Drosophila gene 'mothers against decapentaplegic' (Mad) and the C. elegans gene Sma. SMAD proteins are signal transducers and transcriptional modulators that mediate multiple signaling pathways. This protein mediates the signals of the bone morphogenetic proteins (BMPs), which are involved in a range of biological activities including cell growth, apoptosis, morphogenesis, development and immune responses. In response to BMP ligands, this protein can be phosphorylated and activated by the BMP receptor kinase. The phosphorylated form of this protein forms a complex with SMAD4, which is important for its function in the transcription regulation. This protein is a target for SMAD-specific E3 ubiquitin ligases, such as SMURF1 and SMURF2, and undergoes ubiquitination and proteasome-mediated degradation. Alternatively spliced transcript variants encoding the same protein have been observed.

          仅用于科研。不用于诊断过程。未经明确授权不得转售。

          生物信息学

          蛋白别名: BSP-1; Dwarfin-A; Dwf-A; DWFC; hSMAD1; JV4-1; JV5-1; MAD homolog 1; MAD, mothers against decapentaplegic homolog 1; Mad-related protein 1; MADH5; mMad1; Mothers against decapentaplegic homolog 1; mothers against DPP homolog 1; Mothers-against-DPP-related 1; Mothers-against-DPP-related-1; OTTHUMP00000220456; Sma and Mad homolog; SMAD; SMAD 1; SMAD family member 1; SMAD, mothers against DPP homolog 1; SMAD5; TGF-beta signaling protein 1; transforming growth factor-beta signaling protein 1; Transforming growth factor-beta-signaling protein 1; unnamed protein product

          查看更多 收起

          基因别名: AI528653; BSP-1; BSP1; JV4-1; JV41; MADH1; MADR1; Mlp1; MusMLP; SMAD1

          查看更多 收起

          UniProt ID: (Human) Q15797, (Mouse) P70340

          查看更多 收起

          Entrez Gene ID: (Human) 4086, (Mouse) 17125

          查看更多 收起

          功能
          RNA polymerase II core promoter proximal region sequence-specific DNA binding RNA polymerase II transcription factor activity, sequence-specific DNA binding transcriptional activator activity, RNA polymerase II transcription regulatory region sequence-specific binding DNA binding transcription factor activity, sequence-specific DNA binding protein binding DEAD/H-box RNA helicase binding protein kinase binding ubiquitin protein ligase binding identical protein binding sequence-specific DNA binding metal ion binding co-SMAD binding I-SMAD binding primary miRNA binding RNA polymerase II core promoter sequence-specific DNA binding transcriptional activator activity, RNA polymerase II core promoter proximal region sequence-specific binding protein homodimerization activity protein heterodimerization activity DNA-binding transcription factor gene-specific transcriptional regulator
          参与通路
          MAPK cascade ossification osteoblast differentiation ureteric bud development mesodermal cell fate commitment osteoblast fate commitment cardiac conduction system development transcription, DNA-templated regulation of transcription, DNA-templated regulation of transcription from RNA polymerase II promoter transcription from RNA polymerase II promoter cellular iron ion homeostasis inflammatory response signal transduction transforming growth factor beta receptor signaling pathway gamete generation cell proliferation negative regulation of cell proliferation anatomical structure morphogenesis embryonic pattern specification positive regulation of gene expression cell differentiation BMP signaling pathway midbrain development hindbrain development primary miRNA processing developmental process homeostatic process positive regulation of osteoblast differentiation positive regulation of transcription from RNA polymerase II promoter stem cell differentiation negative regulation of muscle cell differentiation cartilage development cardiac muscle cell proliferation bone development SMAD protein signal transduction positive regulation of cartilage development cellular response to growth factor stimulus transforming growth factor beta receptor superfamily signaling pathway positive regulation of dendrite development positive regulation of pri-miRNA transcription from RNA polymerase II promoter positive regulation of sprouting angiogenesis anti-Mullerian hormone signaling pathway protein phosphorylation SMAD protein complex assembly response to drug positive regulation of cell differentiation cellular response to organic cyclic compound cellular response to BMP stimulus positive regulation of transcription from RNA polymerase II promoter involved in cellular response to chemical stimulus
          It has to be done as per old AB suggested Products section.

          Disclaimer

          Close

          Clicking the images or links will redirect you to a website hosted by BenchSci that provides third-party scientific content. Neither the content nor the BenchSci technology and processes for selection have been evaluated by us; we are providing them as-is and without warranty of any kind, including for use or application of the Thermo Fisher Scientific products presented.

          guarantee_icon

          性能保障

          只要您发现Invitrogen抗体在实验中的表现与网站或说明书的所述内容不符,您即可享受免费退换货服务。*

          了解更多
          help_icon

          随时为您服务

          获取常见问题的专家解答,或者直接联系我们的技术专家,咨询应用、设备、常规产品使用问题。

          联系技术支持
          订购 Plus Icon Minus Icon
          • 订单状态查询
          • 订单支持
          • 货号直购
          • 现货供应中心
          • 电子采购
          支持 Plus Icon Minus Icon
          • 帮助&支持
          • 联系我们 - 400 820 8982
          • 技术支持中心
          • 查找文件&证书
          • 报告网站问题
          资源 Plus Icon Minus Icon
          • 学习中心
          • 促销
          • 活动&研讨会
          • 社交媒体
          关于赛默飞 Plus Icon Minus Icon
          • 关于我们
          • 招聘 招聘
          • 投资者关系 投资者关系
          • 新闻 新闻
          • 社会责任 社会责任
          • 商标
          • 政策和通知
          品牌 Plus Icon Minus Icon
          • Thermo Scientific
          • Applied Biosystems
          • Invitrogen
          • Gibco
          • Ion Torrent
          • Unity Lab Services
          • Patheon
          • PPD
          • 服务条款
          • 隐私政策
          • 定价和运输保险政策
          © 2006-2026 Thermo Fisher Scientific Inc. All rights reserved. All trademarks are the property of Thermo Fisher Scientific and its subsidiaries unless otherwise specified.
          China flag icon
          China
          本网站销售的所有产品均不得用于人类或动物之临床诊断或治疗,仅可用于工业或者科研等非医疗目的。
             电子营业执照 | 经营证照公示 | ICP备案号:沪ICP备11003924号 | 沪公网安备 31011502006935号

          Your items have has been added!


          Host server : magellan-search-green-6479c7f679-rv8h9:80/100.66.78.195:80.
          git-commit: b70c0dceb888abc3b0dcebb5bc3a5b8753e7e816
          git-url: https://github.com/thermofisher/magellan-search
          git-branch: release/2.50.0-Offline