Hamburger Menu Button
Thermo Fisher Scientific Logo
登录
没有账号?建立账号 注册
  • 产品
    • 抗体
    • 引物合成
    • GeneArt Gene Synthesis Instant Designer
    • TaqMan Assay and Array Search
    • PCR 设备和耗材
    • 色谱柱和纯化柱
    • 实验室离心机
    • 分子生物学试剂和试剂盒
    • 实验室塑料耗材及用品
    • 查看所有产品分类
  • 应用和技术
    • 色谱
    • 细胞转染和培养
    • 实时荧光定量PCR
    • 质谱
    • 实验室塑料耗材及用品
    • 电子显微镜
    • 蛋白质生物学
    • PCR
    • RNAi
    • 环境
    • 查看所有应用和技术
  • 服务
    • 定制服务
    • 企业级实验室信息化服务
    • 金融&租赁服务
    • 仪器服务
    • OEM和商业供应
    • 培训服务
    • 360° CDMO 和 CRO 服务
    • CDMO 服务
    • 临床试验 CRO 服务
    • Unity Lab Services
    • 查看所有帮助和支持
  • 帮助和支持
    • 学习中心
    • 联系我们
    • 更改国家或地区
    • 查看所有帮助和支持
  • 热门产品
    • TaqMan Real-Time PCR Assays
      TaqMan 实时荧光定量 PCR 试剂盒
    • Antibodies
      抗体
    • Oligos, Primers & Probes
      寡核苷酸、引物、探针
    • GeneArt Gene Synthesis
      GeneArt 基因合成
    • Cell Culture Plastics
      细胞培养耗材
  • Who We Serve
    • 抗体治疗解决方案
    • 细胞与基因治疗解决方案
    • 学术科研
    • 工业与应用
  • 联系我们
  • 货号直购
  • 订单查询
  • 查找文件&证书
Thermo Fisher Scientific Logo

Search

搜索全部或下列指定分类
Search button
          • 联系我们
          • 货号直购
          • 登录
            登录
            没有账号?建立账号 注册
            • 我的账号
            • 订单
            • 账单及发票查询
            • 定制产品及项目
          • Primary Antibodies ›
          • SMAD4 Antibodies

          Proteintech

          SMAD4 Polyclonal Antibody

          3 篇参考文献
          查看其他57个SMAD4抗体

          {{$productOrderCtrl.translations['antibody.pdp.commerceCard.promotion.promotions']}}

          {{$productOrderCtrl.translations['antibody.pdp.commerceCard.promotion.viewpromo']}}

          {{$productOrderCtrl.translations['antibody.pdp.commerceCard.promotion.promocode']}}: {{promo.promoCode}} {{promo.promoTitle}} {{promo.promoDescription}}. {{$productOrderCtrl.translations['antibody.pdp.commerceCard.promotion.learnmore']}}

          说明书
          证书
          实验方案
          问题与答案
          技术支持
          说明书
          证书
          实验方案
          问题与答案
          技术支持
          说明书
          证书
          实验方案
          问题与答案
          技术支持

          Cite SMAD4 Polyclonal Antibody

          Additional Information:
          {{banner.description}}
          {{$ctrl.isSkuNotesCollapsed ? 'View more' : 'View less'}}
          • 抗体检测数据 (11)
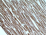
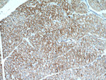
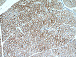
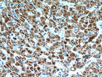
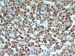
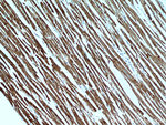
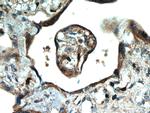
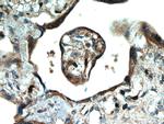
          SMAD4 Antibody in Immunohistochemistry (Paraffin) (IHC (P))
          Group 53 Created with Sketch.
          SMAD4 Antibody in Immunohistochemistry (Paraffin) (IHC (P))
          Group 53 Created with Sketch.

          图: 1 / 11

          {{ $ctrl.currentElement.advancedVerification.fullName }}
          {{ $ctrl.currentElement.advancedVerification.text }}

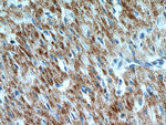
          SMAD4 Antibody (51144-1-AP) in IHC (P)

          Immunohistochemistry of paraffin-embedded human placenta using 51144-1-AP (SMAD4 antibody) at dilution of 1:50 (under 40x lens). {{ $ctrl.currentElement.advancedVerification.fullName }} 验证信息 View more
          已发表图片由___提供 benchsci-logo
          PMID: {{$ctrl.currentElement.benchSciPubmedId}}
          查看产品

          {{$ctrl.videoDesc}}

          {{$ctrl.videoLongDesc}}

          SMAD4 Antibody in Immunohistochemistry (Paraffin) (IHC (P))
          SMAD4 Antibody in Immunohistochemistry (Paraffin) (IHC (P))
          SMAD4 Antibody in Immunohistochemistry (Paraffin) (IHC (P))
          SMAD4 Antibody in Immunohistochemistry (Paraffin) (IHC (P))
          SMAD4 Antibody in Immunohistochemistry (Paraffin) (IHC (P))
          SMAD4 Antibody in Immunohistochemistry (Paraffin) (IHC (P))
          SMAD4 Antibody in Immunohistochemistry (Paraffin) (IHC (P))
          SMAD4 Antibody in Immunohistochemistry (Paraffin) (IHC (P))
          SMAD4 Antibody in Western Blot (WB)
          SMAD4 Antibody in Western Blot (WB)
          SMAD4 Antibody in Western Blot (WB)

          产品信息

          51144-1-AP

          应用
          建议稀释比
          已发表文章

          免疫印迹 (WB)

          1:500-1:1,000
          查看3篇已发表文章 3篇已发表文章

          免疫组化(石蜡) (IHC (P))

          1:20-1:200
          -
          产品规格

          种属反应

          Human, Mouse, Rat

          已发表种属

          Rat

          宿主/亚型

          Rabbit / IgG

          分类

          Polyclonal

          类型

          Antibody

          抗原

          Peptide

          偶联物

          Unconjugated Unconjugated Unconjugated

          形式

          Liquid

          浓度

          0.13 mg/mL

          规格

          19.5 µg

          纯化类型

          Antigen affinity chromatography

          保存液

          PBS, pH 7.3, with 50% glycerol

          内含物

          0.02% sodium azide

          保存条件

          -20°C

          运输条件

          Wet ice (domestic); Dry ice (international)

          产品详细信息

          This antibody is a rabbit polyclonal antibody raised against a peptide (25-43aa) mapping within human SMAD4. It is specific to SMAD4.

          靶标信息

          Smad4 is encoded by the Smad4 gene that is located on chromosome 18 in humans. Smad4 is also known as Smad family member 4, Sma- and Mad-related protein 4 or Mothers against decapentaplegic (MAD) homolog 4. Smad4 contains N-terminal MH1 (MAD homology 1) and C-terminal MH2 (MAD homology 2) globular domains that are involved in DNA binding and protein interactions respectively. Binding of the TGF-beta superfamily of ligands that includes Transforming Growth Factor -beta (TGF-beta) and bone morphogenetic protein (BMP) to its cognate receptor allows phosphorylation of Smad 1, 2, 3, 5 and 8 (R-Smad, Receptor Smad). This signals for heterotrimerization with Smad4 (co-Smad, co-mediator Smad) and translocation of the complex to the nucleus. Inhibitory or antagonistic Smad (I-Smad) that includes Smad 6 and 7, interact with activated R-Smads and attenuate the signaling pathway. Smad4 acts as a tumor suppressor protein by transcriptionally regulating its target genes such as Cyclin D1 (downregulation) and collagen (upregulation) that inhibit cell proliferation. Dephosphorylation regulates nuclear export and nucleocytoplasmic dynamics of Smads.

          仅用于科研。不用于诊断过程。未经明确授权不得转售。

          生物信息学

          蛋白别名: Deleted in Pancreatic Carcinoma 4 (DPC4); deleted in pancreatic carcinoma locus 4; Deletion target in pancreatic carcinoma 4; Deletion target in pancreatic carcinoma 4 homolog; hSMAD4; MAD (mothers against decapentaplegic Drosophila) homolog 4; MAD homolog 4; MAD homolog 4 (MADH4); Mothers against decapentaplegic homolog 4; Mothers against decapentaplegic homolog 4 (MADH4); mothers against decapentaplegic, Drosophila, homolog of, 4; mothers against DPP homolog 4; SMAD; SMAD 4; SMAD family member 4; SMAD, mothers against DPP homolog 4; unnamed protein product

          查看更多 收起

          基因别名: AW743858; D18Wsu70e; DPC4; JIP; MADH4; MYHRS; SMAD4

          查看更多 收起

          UniProt ID: (Human) Q13485, (Mouse) P97471, (Rat) O70437

          查看更多 收起

          Entrez Gene ID: (Human) 4089, (Mouse) 17128, (Rat) 50554

          查看更多 收起

          功能
          transcription regulatory region sequence-specific DNA binding RNA polymerase II regulatory region sequence-specific DNA binding RNA polymerase II core promoter proximal region sequence-specific DNA binding RNA polymerase II transcription factor activity, sequence-specific DNA binding transcription corepressor binding transcription coactivator binding transcriptional activator activity, RNA polymerase II transcription regulatory region sequence-specific binding DNA binding chromatin binding transcription factor activity, sequence-specific DNA binding protein binding collagen binding filamin binding identical protein binding protein homodimerization activity sulfate binding sequence-specific DNA binding macromolecular complex binding SMAD binding metal ion binding RNA polymerase II sequence-specific DNA binding transcription factor binding I-SMAD binding R-SMAD binding core promoter proximal region sequence-specific DNA binding transcription factor activity, protein binding transcription factor activity, RNA polymerase II transcription factor binding transcriptional activator activity, RNA polymerase II core promoter proximal region sequence-specific binding RNA polymerase II transcription factor binding transforming growth factor beta receptor, common-partner cytoplasmic mediator activity transcription regulatory region DNA binding protein heterodimerization activity DNA-binding transcription factor gene-specific transcriptional regulator
          参与通路
          negative regulation of transcription from RNA polymerase II promoter ovarian follicle development osteoblast differentiation branching involved in ureteric bud morphogenesis response to hypoxia in utero embryonic development gastrulation with mouth forming second kidney development epithelial to mesenchymal transition outflow tract septum morphogenesis cardiac conduction system development atrioventricular valve formation epithelial to mesenchymal transition involved in endocardial cushion formation left ventricular cardiac muscle tissue morphogenesis positive regulation of cell proliferation involved in heart valve morphogenesis cardiac septum development brainstem development transcription, DNA-templated regulation of transcription, DNA-templated regulation of transcription from RNA polymerase II promoter transcription from RNA polymerase II promoter cellular iron ion homeostasis transforming growth factor beta receptor signaling pathway spermatogenesis single fertilization gastrulation axon guidance endoderm development mesoderm development cell proliferation negative regulation of cell proliferation male gonad development female gonad development anatomical structure morphogenesis anterior/posterior pattern specification regulation of gene expression negative regulation of cardiac muscle hypertrophy positive regulation of gene expression epithelial cell migration positive regulation of cardiac muscle cell apoptotic process positive regulation of epithelial to mesenchymal transition neural crest cell differentiation cardiac muscle hypertrophy in response to stress cell differentiation negative regulation of cell growth adrenal gland development BMP signaling pathway positive regulation of transforming growth factor beta receptor signaling pathway somite rostral/caudal axis specification regulation of transforming growth factor beta2 production activin receptor signaling pathway positive regulation of luteinizing hormone secretion intracellular signal transduction atrioventricular canal development endothelial cell activation regulation of cell proliferation negative regulation of protein catabolic process embryonic digit morphogenesis negative regulation of transcription, DNA-templated positive regulation of transcription, DNA-templated positive regulation of transcription from RNA polymerase II promoter positive regulation of follicle-stimulating hormone secretion mesendoderm development developmental growth neuron fate commitment neuron fate specification tissue morphogenesis sebaceous gland development formation of anatomical boundary regulation of hair follicle development uterus development positive regulation of SMAD protein import into nucleus SMAD protein signal transduction ventricular septum morphogenesis endocardial cell differentiation female gonad morphogenesis secondary palate development interleukin-6-mediated signaling pathway ERK1 and ERK2 cascade negative regulation of ERK1 and ERK2 cascade cellular response to glucose stimulus cellular response to growth factor stimulus response to transforming growth factor beta cellular response to transforming growth factor beta stimulus cellular response to BMP stimulus metanephric mesenchyme morphogenesis nephrogenic mesenchyme morphogenesis seminiferous tubule development regulation of primary metabolic process negative regulation of canonical Wnt signaling pathway extrinsic apoptotic signaling pathway transforming growth factor beta receptor superfamily signaling pathway positive regulation of extracellular matrix assembly positive regulation of pri-miRNA transcription from RNA polymerase II promoter negative regulation of cardiac myofibril assembly SMAD protein complex assembly positive regulation of pathway-restricted SMAD protein phosphorylation regulation of transforming growth factor beta receptor signaling pathway positive regulation of BMP signaling pathway regulation of binding palate development negative regulation of cell death
          It has to be done as per old AB suggested Products section.

          Disclaimer

          Close

          Clicking the images or links will redirect you to a website hosted by BenchSci that provides third-party scientific content. Neither the content nor the BenchSci technology and processes for selection have been evaluated by us; we are providing them as-is and without warranty of any kind, including for use or application of the Thermo Fisher Scientific products presented.

          guarantee_icon

          性能保障

          只要您发现Invitrogen抗体在实验中的表现与网站或说明书的所述内容不符,您即可享受免费退换货服务。*

          了解更多
          help_icon

          随时为您服务

          获取常见问题的专家解答,或者直接联系我们的技术专家,咨询应用、设备、常规产品使用问题。

          联系技术支持
          订购 Plus Icon Minus Icon
          • 订单状态查询
          • 订单支持
          • 货号直购
          • 现货供应中心
          • 电子采购
          支持 Plus Icon Minus Icon
          • 帮助&支持
          • 联系我们 - 400 820 8982
          • 技术支持中心
          • 查找文件&证书
          • 报告网站问题
          资源 Plus Icon Minus Icon
          • 学习中心
          • 促销
          • 活动&研讨会
          • 社交媒体
          关于赛默飞 Plus Icon Minus Icon
          • 关于我们
          • 招聘 招聘
          • 投资者关系 投资者关系
          • 新闻 新闻
          • 社会责任 社会责任
          • 商标
          • 政策和通知
          品牌 Plus Icon Minus Icon
          • Thermo Scientific
          • Applied Biosystems
          • Invitrogen
          • Gibco
          • Ion Torrent
          • Unity Lab Services
          • Patheon
          • PPD
          • 服务条款
          • 隐私政策
          • 定价和运输保险政策
          © 2006-2026 Thermo Fisher Scientific Inc. All rights reserved. All trademarks are the property of Thermo Fisher Scientific and its subsidiaries unless otherwise specified.
          China flag icon
          China
          本网站销售的所有产品均不得用于人类或动物之临床诊断或治疗,仅可用于工业或者科研等非医疗目的。
             电子营业执照 | 经营证照公示 | ICP备案号:沪ICP备11003924号 | 沪公网安备 31011502006935号

          Your items have has been added!


          Host server : magellan-search-blue-744bc48644-454p7:80/100.66.72.101:80.
          git-commit: 747bde55a712f6f97bf7760408d445eefba4e16f
          git-url: https://github.com/thermofisher/magellan-search
          git-branch: release/2.48.0-Offline