Hamburger Menu Button
Thermo Fisher Scientific Logo
登录
没有账号?建立账号 注册
  • 产品
    • 抗体
    • 引物合成
    • GeneArt Gene Synthesis Instant Designer
    • TaqMan Assay and Array Search
    • PCR 设备和耗材
    • 色谱柱和纯化柱
    • 实验室离心机
    • 分子生物学试剂和试剂盒
    • 实验室塑料耗材及用品
    • 查看所有产品分类
  • 应用和技术
    • 色谱
    • 细胞转染和培养
    • 实时荧光定量PCR
    • 质谱
    • 实验室塑料耗材及用品
    • 电子显微镜
    • 蛋白质生物学
    • PCR
    • RNAi
    • 环境
    • 查看所有应用和技术
  • 服务
    • 定制服务
    • 企业级实验室信息化服务
    • 企业服务
    • 金融&租赁服务
    • 仪器服务
    • OEM和商业供应
    • 培训服务
    • 360° CDMO 和 CRO 服务
    • CDMO 服务
    • 临床试验 CRO 服务
    • 查看所有帮助和支持
  • 帮助和支持
    • 学习中心
    • 联系我们
    • 更改国家或地区
    • 查看所有帮助和支持
  • 热门产品
    • TaqMan Real-Time PCR Assays
      TaqMan 实时荧光定量 PCR 试剂盒
    • Antibodies
      抗体
    • Oligos, Primers & Probes
      寡核苷酸、引物、探针
    • GeneArt Gene Synthesis
      GeneArt 基因合成
    • Cell Culture Plastics
      细胞培养耗材
  • 联系我们
  • 货号直购
  • 订单查询
  • 查找文件&证书
Thermo Fisher Scientific Logo

Search

搜索全部或下列指定分类
Search button
          • 联系我们
          • 货号直购
          • 登录
            登录
            没有账号?建立账号 注册
            • 我的账号
            • 订单
            • 账单及发票查询
            • 定制产品及项目

          Disclaimer

          Clicking the images or links will redirect you to a website hosted by BenchSci that provides third-party scientific content. Neither the content nor the BenchSci technology and processes for selection have been evaluated by us; we are providing them as-is and without warranty of any kind, including for use or application of the Thermo Fisher Scientific products presented.

          • Primary Antibodies ›
          • SMAD4 Antibodies

          NeoBiotechnologies

          SMAD4 (Pancreatic Adenocarcinoma Marker) Monoclonal Antibody (SMAD4/7903)

          查看其他58个SMAD4抗体

          {{$productOrderCtrl.translations['antibody.pdp.commerceCard.promotion.promotions']}}

          {{$productOrderCtrl.translations['antibody.pdp.commerceCard.promotion.viewpromo']}}

          {{$productOrderCtrl.translations['antibody.pdp.commerceCard.promotion.promocode']}}: {{promo.promoCode}} {{promo.promoTitle}} {{promo.promoDescription}}. {{$productOrderCtrl.translations['antibody.pdp.commerceCard.promotion.learnmore']}}

          说明书
          证书
          实验方案
          问题与答案
          技术支持
          说明书
          证书
          实验方案
          问题与答案
          技术支持
          说明书
          证书
          实验方案
          问题与答案
          技术支持

          Cite SMAD4 (Pancreatic Adenocarcinoma Marker) Monoclonal Antibody (SMAD4/7903)

          • 抗体检测数据 (1)
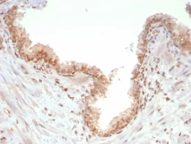
          SMAD4 (Pancreatic Adenocarcinoma Marker) Antibody in Immunohistochemistry (Paraffin) (IHC (P))
          Group 53 Created with Sketch.
          SMAD4 (Pancreatic Adenocarcinoma Marker) Antibody in Immunohistochemistry (Paraffin) (IHC (P))
          Group 53 Created with Sketch.

          图: 1 / 1

          {{ $ctrl.currentElement.advancedVerification.fullName }}
          {{ $ctrl.currentElement.advancedVerification.text }}

          SMAD4 (Pancreatic Adenocarcinoma Marker) Antibody (4089-MSM23-P1) in IHC (P)

          Formalin-fixed, paraffin-embedded human prostate stained with SMAD4 Mouse Monoclonal Antibody (SMAD4/7903). HIER: Tris/EDTA, pH9.0, 45 min. 2°C: HRP-polymer, 30 min. DAB, 5 min. {{ $ctrl.currentElement.advancedVerification.fullName }} 验证信息 View more
          已发表图片由___提供 benchsci-logo
          PMID: {{$ctrl.currentElement.benchSciPubmedId}}
          查看产品

          {{$ctrl.videoDesc}}

          {{$ctrl.videoLongDesc}}

          SMAD4 (Pancreatic Adenocarcinoma Marker) Antibody in Immunohistochemistry (Paraffin) (IHC (P))
          SMAD4 (Pancreatic Adenocarcinoma Marker) Monoclonal Antibody (SMAD4/7903)

          产品信息

          4089-MSM23-P1

          应用
          建议稀释比
          已发表文章

          免疫组化(石蜡) (IHC (P))

          1-2 µg/mL
          -
          产品规格

          种属反应

          Human

          宿主/亚型

          Mouse / IgG2, lambda

          分类

          Monoclonal

          类型

          Antibody

          克隆号

          SMAD4/7903

          抗原

          Recombinant fragment (around aa100-300) of human SMAD4.
          查看免疫原

          偶联物

          Unconjugated Unconjugated Unconjugated

          形式

          Liquid

          浓度

          200 µg/mL

          纯化类型

          Protein A/G

          保存液

          PBS with 0.05% BSA

          内含物

          0.05% sodium azide

          保存条件

          4°C

          运输条件

          Ambient (domestic); Wet ice (international)

          产品详细信息

          Positive Control:Human pancreatic adenocarcinoma.

          Cellular Location: Nucleus. Cytoplasm.

          靶标信息

          Smad4 is encoded by the Smad4 gene that is located on chromosome 18 in humans. Smad4 is also known as Smad family member 4, Sma- and Mad-related protein 4 or Mothers against decapentaplegic (MAD) homolog 4. Smad4 contains N-terminal MH1 (MAD homology 1) and C-terminal MH2 (MAD homology 2) globular domains that are involved in DNA binding and protein interactions respectively. Binding of the TGF-beta superfamily of ligands that includes Transforming Growth Factor -beta (TGF-beta) and bone morphogenetic protein (BMP) to its cognate receptor allows phosphorylation of Smad 1, 2, 3, 5 and 8 (R-Smad, Receptor Smad). This signals for heterotrimerization with Smad4 (co-Smad, co-mediator Smad) and translocation of the complex to the nucleus. Inhibitory or antagonistic Smad (I-Smad) that includes Smad 6 and 7, interact with activated R-Smads and attenuate the signaling pathway. Smad4 acts as a tumor suppressor protein by transcriptionally regulating its target genes such as Cyclin D1 (downregulation) and collagen (upregulation) that inhibit cell proliferation. Dephosphorylation regulates nuclear export and nucleocytoplasmic dynamics of Smads.

          仅用于科研。不用于诊断过程。未经明确授权不得转售。

          篇参考文献 (0)

          您是否在文献中引用过该产品?请点击下方按钮邮件告知我们。
          引用该产品

          生物信息学

          蛋白别名: Deleted in Pancreatic Carcinoma 4 (DPC4); deleted in pancreatic carcinoma locus 4; Deletion target in pancreatic carcinoma 4; hSMAD4; MAD homolog 4; MAD homolog 4 (MADH4); Mothers against decapentaplegic homolog 4; Mothers against decapentaplegic homolog 4 (MADH4); mothers against decapentaplegic, Drosophila, homolog of, 4; SMAD; SMAD 4; SMAD family member 4; SMAD, mothers against DPP homolog 4

          查看更多 收起

          基因别名: DPC4; JIP; MADH4; MYHRS; SMAD4

          查看更多 收起

          UniProt ID: (Human) Q13485

          查看更多 收起

          Entrez Gene ID: (Human) 4089

          查看更多 收起

          功能
          RNA polymerase II core promoter proximal region sequence-specific DNA binding core promoter proximal region sequence-specific DNA binding transcription factor activity, protein binding transcription factor activity, RNA polymerase II transcription factor binding transcriptional activator activity, RNA polymerase II core promoter proximal region sequence-specific binding RNA polymerase II transcription factor binding DNA binding chromatin binding transcription factor activity, sequence-specific DNA binding protein binding collagen binding transforming growth factor beta receptor, common-partner cytoplasmic mediator activity identical protein binding protein homodimerization activity sequence-specific DNA binding transcription regulatory region DNA binding metal ion binding protein heterodimerization activity I-SMAD binding R-SMAD binding DNA-binding transcription factor gene-specific transcriptional regulator
          参与通路
          negative regulation of transcription from RNA polymerase II promoter ovarian follicle development branching involved in ureteric bud morphogenesis response to hypoxia in utero embryonic development gastrulation with mouth forming second atrioventricular valve formation epithelial to mesenchymal transition involved in endocardial cushion formation left ventricular cardiac muscle tissue morphogenesis positive regulation of cell proliferation involved in heart valve morphogenesis brainstem development transcription from RNA polymerase II promoter cellular iron ion homeostasis transforming growth factor beta receptor signaling pathway SMAD protein complex assembly spermatogenesis single fertilization axon guidance endoderm development mesoderm development cell proliferation negative regulation of cell proliferation negative regulation of cardiac muscle hypertrophy positive regulation of epithelial to mesenchymal transition positive regulation of pathway-restricted SMAD protein phosphorylation neural crest cell differentiation regulation of transforming growth factor beta receptor signaling pathway negative regulation of cell growth BMP signaling pathway positive regulation of transforming growth factor beta receptor signaling pathway positive regulation of BMP signaling pathway somite rostral/caudal axis specification regulation of transforming growth factor beta2 production positive regulation of luteinizing hormone secretion somatic stem cell population maintenance intracellular signal transduction atrioventricular canal development endothelial cell activation embryonic digit morphogenesis negative regulation of transcription, DNA-templated positive regulation of transcription, DNA-templated positive regulation of transcription from RNA polymerase II promoter positive regulation of follicle-stimulating hormone secretion developmental growth neuron fate commitment sebaceous gland development formation of anatomical boundary regulation of binding positive regulation of histone H3-K4 methylation regulation of hair follicle development palate development uterus development positive regulation of SMAD protein import into nucleus SMAD protein signal transduction ventricular septum morphogenesis negative regulation of cell death endocardial cell differentiation female gonad morphogenesis interleukin-6-mediated signaling pathway negative regulation of ERK1 and ERK2 cascade response to transforming growth factor beta cellular response to BMP stimulus metanephric mesenchyme morphogenesis nephrogenic mesenchyme morphogenesis seminiferous tubule development positive regulation of transcription from RNA polymerase II promoter involved in cellular response to chemical stimulus positive regulation of histone H3-K9 acetylation
          It has to be done as per old AB suggested Products section.
          guarantee_icon

          性能保障

          只要您发现Invitrogen抗体在实验中的表现与网站或说明书的所述内容不符,您即可享受免费退换货服务。*

          了解更多
          help_icon

          随时为您服务

          获取常见问题的专家解答,或者直接联系我们的技术专家,咨询应用、设备、常规产品使用问题。

          联系技术支持
          订购 Plus Icon Minus Icon
          • 订单状态查询
          • 订单支持
          • 货号直购
          • 现货供应中心
          • 电子采购
          支持 Plus Icon Minus Icon
          • 帮助&支持
          • 联系我们 - 400 820 8982
          • 技术支持中心
          • 查找文件&证书
          • 报告网站问题
          资源 Plus Icon Minus Icon
          • 学习中心
          • 促销
          • 活动&研讨会
          • 社交媒体
          关于赛默飞 Plus Icon Minus Icon
          • 关于我们
          • 招聘 招聘
          • 投资者关系 投资者关系
          • 新闻 新闻
          • 社会责任 社会责任
          • 商标
          • 政策和通知
          品牌 Plus Icon Minus Icon
          • Thermo Scientific
          • Applied Biosystems
          • Invitrogen
          • Gibco
          • Ion Torrent
          • Patheon
          • PPD
          • 服务条款
          • 隐私政策
          • 定价和运输保险政策
          © 2006-2026 Thermo Fisher Scientific Inc. All rights reserved. All trademarks are the property of Thermo Fisher Scientific and its subsidiaries unless otherwise specified.
          China flag icon
          China
          本网站销售的所有产品均不得用于人类或动物之临床诊断或治疗,仅可用于工业或者科研等非医疗目的。
             电子营业执照 | 经营证照公示 | ICP备案号:沪ICP备11003924号 | 沪公网安备 31011502006935号

          Your items have has been added!


          Host server : magellan-search-blue-55ff9ddd88-p5628:80/100.66.75.107:80.
          git-commit: d366ff9721d93504b2ac26a183b2b3e3d0e7d9ec
          git-url: https://github.com/thermofisher/magellan-search
          git-branch: release/2.42.0-2026.01.03-1.0