Hamburger Menu Button
Thermo Fisher Scientific Logo
登录
没有账号?建立账号 注册
  • 产品
    • 抗体
    • 引物合成
    • GeneArt Gene Synthesis Instant Designer
    • TaqMan Assay and Array Search
    • PCR 设备和耗材
    • 色谱柱和纯化柱
    • 实验室离心机
    • 分子生物学试剂和试剂盒
    • 实验室塑料耗材及用品
    • 查看所有产品分类
  • 应用和技术
    • 色谱
    • 细胞转染和培养
    • 实时荧光定量PCR
    • 质谱
    • 实验室塑料耗材及用品
    • 电子显微镜
    • 蛋白质生物学
    • PCR
    • RNAi
    • 环境
    • 查看所有应用和技术
  • 服务
    • 定制服务
    • 企业级实验室信息化服务
    • 企业服务
    • 金融&租赁服务
    • 仪器服务
    • OEM和商业供应
    • 培训服务
    • 360° CDMO 和 CRO 服务
    • CDMO 服务
    • 临床试验 CRO 服务
    • 查看所有帮助和支持
  • 帮助和支持
    • 学习中心
    • 联系我们
    • 更改国家或地区
    • 查看所有帮助和支持
  • 热门产品
    • TaqMan Real-Time PCR Assays
      TaqMan 实时荧光定量 PCR 试剂盒
    • Antibodies
      抗体
    • Oligos, Primers & Probes
      寡核苷酸、引物、探针
    • GeneArt Gene Synthesis
      GeneArt 基因合成
    • Cell Culture Plastics
      细胞培养耗材
  • 联系我们
  • 货号直购
  • 订单查询
  • 查找文件&证书
Thermo Fisher Scientific Logo

Search

搜索全部或下列指定分类
Search button
          • 联系我们
          • 货号直购
          • 登录
            登录
            没有账号?建立账号 注册
            • 我的账号
            • 订单
            • 账单及发票查询
            • 定制产品及项目

          Disclaimer

          Clicking the images or links will redirect you to a website hosted by BenchSci that provides third-party scientific content. Neither the content nor the BenchSci technology and processes for selection have been evaluated by us; we are providing them as-is and without warranty of any kind, including for use or application of the Thermo Fisher Scientific products presented.

          • Primary Antibodies ›
          • BRG1 Antibodies

          Proteintech

          SMARCA4 Recombinant Rabbit Monoclonal Antibody (240172F4)

          查看其他35个BRG1抗体

          {{$productOrderCtrl.translations['antibody.pdp.commerceCard.promotion.promotions']}}

          {{$productOrderCtrl.translations['antibody.pdp.commerceCard.promotion.viewpromo']}}

          {{$productOrderCtrl.translations['antibody.pdp.commerceCard.promotion.promocode']}}: {{promo.promoCode}} {{promo.promoTitle}} {{promo.promoDescription}}. {{$productOrderCtrl.translations['antibody.pdp.commerceCard.promotion.learnmore']}}

          说明书
          证书
          实验方案
          问题与答案
          技术支持
          说明书
          证书
          实验方案
          问题与答案
          技术支持
          说明书
          证书
          实验方案
          问题与答案
          技术支持

          Cite SMARCA4 Recombinant Rabbit Monoclonal Antibody (240172F4)

          • 抗体检测数据 (18)
          SMARCA4 Antibody in Immunocytochemistry (ICC/IF)
          Group 53 Created with Sketch.
          SMARCA4 Antibody in Immunocytochemistry (ICC/IF)
          Group 53 Created with Sketch.

          图: 1 / 18

          {{ $ctrl.currentElement.advancedVerification.fullName }}
          {{ $ctrl.currentElement.advancedVerification.text }}

          SMARCA4 Antibody (83310-2-RR) in ICC/IF

          Immunofluorescent analysis of (4% PFA) fixed HepG2 cells using SMARCA4 antibody (83310-2-RR, Clone: 240172F4) at dilution of 1:250 and CoraLite®488-Conjugated AffiniPure Goat Anti-Rabbit IgG (H+L) (SA00013-2), CL594-Phalloidin (red). {{ $ctrl.currentElement.advancedVerification.fullName }} 验证信息 View more
          已发表图片由___提供 benchsci-logo
          PMID: {{$ctrl.currentElement.benchSciPubmedId}}
          查看产品

          {{$ctrl.videoDesc}}

          {{$ctrl.videoLongDesc}}

          SMARCA4 Antibody in Immunocytochemistry (ICC/IF)
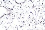
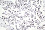
          SMARCA4 Antibody in Immunohistochemistry (Paraffin) (IHC (P))
          SMARCA4 Antibody in Immunohistochemistry (Paraffin) (IHC (P))
          SMARCA4 Antibody in Immunohistochemistry (Paraffin) (IHC (P))
          SMARCA4 Antibody in Immunohistochemistry (Paraffin) (IHC (P))
          SMARCA4 Antibody in Immunohistochemistry (Paraffin) (IHC (P))
          SMARCA4 Antibody in Immunohistochemistry (Paraffin) (IHC (P))
          SMARCA4 Antibody in Immunohistochemistry (Paraffin) (IHC (P))
          SMARCA4 Antibody in Immunohistochemistry (Paraffin) (IHC (P))
          SMARCA4 Antibody in Immunohistochemistry (Paraffin) (IHC (P))
          SMARCA4 Antibody in Immunohistochemistry (Paraffin) (IHC (P))
          SMARCA4 Antibody in Immunohistochemistry (Paraffin) (IHC (P))
          SMARCA4 Antibody in Immunohistochemistry (Paraffin) (IHC (P))
          SMARCA4 Antibody in Immunohistochemistry (Paraffin) (IHC (P))
          SMARCA4 Antibody in Immunohistochemistry (Paraffin) (IHC (P))
          SMARCA4 Antibody in Western Blot (WB)
          SMARCA4 Antibody in Flow Cytometry (Flow)
          SMARCA4 Antibody in Surface plasmon resonance (SPR)
          SMARCA4 Recombinant Rabbit Monoclonal Antibody (240172F4)

          产品信息

          83310-2-RR

          应用
          建议稀释比
          已发表文章

          免疫印迹 (WB)

          1:5,000-1:50,000
          -

          免疫组化(石蜡) (IHC (P))

          1:2,000-1:8,000
          -

          免疫细胞化学 (ICC/IF)

          1:125-1:500
          -

          流式细胞分析 (Flow)

          0.25 µg/10^6 cells in a 100 µL suspension
          -

          酶联免疫吸附实验 (ELISA)

          Assay-dependent
          -

          Surface plasmon resonance (SPR)

          Assay-dependent
          -
          产品规格

          种属反应

          Human, Mouse, Rat

          宿主/亚型

          Rabbit / IgG

          Expression System

          HEK293F

          分类

          Recombinant Monoclonal

          类型

          Antibody

          克隆号

          240172F4

          抗原

          SMARCA4 fusion protein Ag16256
          查看免疫原

          偶联物

          Unconjugated Unconjugated Unconjugated
          • CoraLite Plus 488
          • Request custom conjugation

          形式

          Liquid

          浓度

          1 mg/mL

          纯化类型

          Protein A

          保存液

          PBS, pH 7.3, with 50% glycerol

          内含物

          0.02% sodium azide

          保存条件

          -20°C

          运输条件

          Wet ice

          产品详细信息

          Immunogen sequence: KRPMPGMQQQ MPTLPPPSVS ATGPGPGPGP GPGPGPGPAP PNYSRPHGMG GPNMPPPGPS GVPPGMPGQP PGGPPKPWPE GPMANAAAPT ST

          靶标信息

          Brg1 (Brahma-related gene 1) is an ATPase subunit of SWI2/SNF2-like chromatin-remodeling complexes that enable access of regulatory and effector proteins in transcription, DNA repair and DNA replication. Although Brg1-containing complexes are not essential for general cell survival, they participate in transcriptional regulation of several hundred genes including those involved in interferon and stress response, immune cells differentiation, neurogenesis, cell cycle etc. and is absolutely necessary for mouse embryogenesis. Brg1 is also involved in cell growth arrest, senescence and tumour supression.

          仅用于科研。不用于诊断过程。未经明确授权不得转售。

          篇参考文献 (0)

          您是否在文献中引用过该产品?请点击下方按钮邮件告知我们。
          引用该产品

          生物信息学

          蛋白别名: ATP-dependent helicase SMARCA4; BAF190A; brahma protein-like 1; BRG1-associated factor 190A; BRM/SWI2-related gene 1; FLJ39786; global transcription activator homologous sequence; homeotic gene regulator; Mitotic growth and transcription activator; nuclear protein GRB1; Protein brahma homolog 1; Protein BRG-1; SNF2-beta; SNF2-like 4; sucrose nonfermenting-like 4; SWI/SNF-related matrix-associated actin-dependent regulator of chromatin subfamily A member 4; Transcription activator BRG1

          查看更多 收起

          基因别名: b2b508.1Clo; b2b692Clo; BAF190; BAF190A; brg-1; BRG1; CSS4; HP1-BP72; hSNF2b; MRD16; RTPS2; SMARCA4; SNF2; SNF2B; SNF2beta; SNF2L4; SNF2LB; SW1/SNF; SWI2

          查看更多 收起

          UniProt ID: (Human) P51532, (Mouse) Q3TKT4

          查看更多 收起

          Entrez Gene ID: (Human) 6597, (Mouse) 20586, (Rat) 171379

          查看更多 收起

          功能
          RNA polymerase II core promoter proximal region sequence-specific DNA binding RNA polymerase II distal enhancer sequence-specific DNA binding RNA polymerase II transcription coactivator activity RNA polymerase I CORE element sequence-specific DNA binding p53 binding transcription coactivator activity transcription corepressor activity helicase activity protein binding ATP binding DNA-dependent ATPase activity transcription factor binding Tat protein binding nucleosomal DNA binding protein N-terminus binding androgen receptor binding DNA polymerase binding lysine-acetylated histone binding nucleotide binding RNA polymerase II regulatory region sequence-specific DNA binding DNA binding chromatin binding hydrolase activity hydrolase activity, acting on acid anhydrides hydrolase activity, acting on acid anhydrides, in phosphorus-containing anhydrides ATPase activity protein complex binding histone binding DNA helicase
          参与通路
          negative regulation of transcription from RNA polymerase II promoter neural retina development nucleosome disassembly chromatin remodeling transcription, DNA-templated regulation of transcription from RNA polymerase II promoter negative regulation of transcription from RNA polymerase II promoter during mitosis spermatid development nervous system development covalent chromatin modification positive regulation of Wnt signaling pathway negative regulation of cell growth ATP-dependent chromatin remodeling positive regulation by host of viral transcription negative regulation of transcription, DNA-templated positive regulation of transcription, DNA-templated positive regulation of transcription from RNA polymerase II promoter positive regulation of sequence-specific DNA binding transcription factor activity negative regulation of androgen receptor signaling pathway positive regulation of transcription of nuclear large rRNA transcript from RNA polymerase I promoter positive regulation of glucose mediated signaling pathway positive regulation of pri-miRNA transcription from RNA polymerase II promoter beta-catenin-TCF complex assembly negative regulation of G1/S transition of mitotic cell cycle cell morphogenesis blood vessel development vasculogenesis in utero embryonic development blastocyst growth blastocyst hatching liver development outflow tract morphogenesis nucleosome assembly methylation-dependent chromatin silencing regulation of transcription, DNA-templated transcription from RNA polymerase II promoter glial cell fate determination heart development positive regulation of cell proliferation DNA methylation on cytosine within a CG sequence chromatin modification stem cell population maintenance neurogenesis extracellular matrix organization keratinocyte differentiation regulation of cell migration forebrain development hindbrain development embryonic hindlimb morphogenesis aortic smooth muscle cell differentiation negative regulation of apoptotic process positive regulation of DNA binding histone H3 acetylation positive regulation of cell differentiation embryonic organ morphogenesis epidermis morphogenesis definitive erythrocyte differentiation heart trabecula formation pharyngeal arch artery morphogenesis lens fiber cell development
          It has to be done as per old AB suggested Products section.
          guarantee_icon

          性能保障

          只要您发现Invitrogen抗体在实验中的表现与网站或说明书的所述内容不符,您即可享受免费退换货服务。*

          了解更多
          help_icon

          随时为您服务

          获取常见问题的专家解答,或者直接联系我们的技术专家,咨询应用、设备、常规产品使用问题。

          联系技术支持
          订购 Plus Icon Minus Icon
          • 订单状态查询
          • 订单支持
          • 货号直购
          • 现货供应中心
          • 电子采购
          支持 Plus Icon Minus Icon
          • 帮助&支持
          • 联系我们 - 400 820 8982
          • 技术支持中心
          • 查找文件&证书
          • 报告网站问题
          资源 Plus Icon Minus Icon
          • 学习中心
          • 促销
          • 活动&研讨会
          • 社交媒体
          关于赛默飞 Plus Icon Minus Icon
          • 关于我们
          • 招聘 招聘
          • 投资者关系 投资者关系
          • 新闻 新闻
          • 社会责任 社会责任
          • 商标
          • 政策和通知
          品牌 Plus Icon Minus Icon
          • Thermo Scientific
          • Applied Biosystems
          • Invitrogen
          • Gibco
          • Ion Torrent
          • Patheon
          • PPD
          • 服务条款
          • 隐私政策
          • 定价和运输保险政策
          © 2006-2026 Thermo Fisher Scientific Inc. All rights reserved. All trademarks are the property of Thermo Fisher Scientific and its subsidiaries unless otherwise specified.
          China flag icon
          China
          本网站销售的所有产品均不得用于人类或动物之临床诊断或治疗,仅可用于工业或者科研等非医疗目的。
             电子营业执照 | 经营证照公示 | ICP备案号:沪ICP备11003924号 | 沪公网安备 31011502006935号

          Your items have has been added!


          Host server : magellan-search-blue-55ff9ddd88-8jdkq:80/100.66.75.107:80.
          git-commit: d366ff9721d93504b2ac26a183b2b3e3d0e7d9ec
          git-url: https://github.com/thermofisher/magellan-search
          git-branch: release/2.42.0-2026.01.03-1.0