Hamburger Menu Button
Thermo Fisher Scientific Logo
登录
没有账号?建立账号 注册
  • 产品
    • 抗体
    • 引物合成
    • GeneArt Gene Synthesis Instant Designer
    • TaqMan Assay and Array Search
    • PCR 设备和耗材
    • 色谱柱和纯化柱
    • 实验室离心机
    • 分子生物学试剂和试剂盒
    • 实验室塑料耗材及用品
    • 查看所有产品分类
  • 应用和技术
    • 色谱
    • 细胞转染和培养
    • 实时荧光定量PCR
    • 质谱
    • 实验室塑料耗材及用品
    • 电子显微镜
    • 蛋白质生物学
    • PCR
    • RNAi
    • 环境
    • 查看所有应用和技术
  • 服务
    • 定制服务
    • 企业级实验室信息化服务
    • 金融&租赁服务
    • 仪器服务
    • OEM和商业供应
    • 培训服务
    • 360° CDMO 和 CRO 服务
    • CDMO 服务
    • 临床试验 CRO 服务
    • Unity Lab Services
    • 查看所有帮助和支持
  • 帮助和支持
    • 学习中心
    • 联系我们
    • 更改国家或地区
    • 查看所有帮助和支持
  • 热门产品
    • TaqMan Real-Time PCR Assays
      TaqMan 实时荧光定量 PCR 试剂盒
    • Antibodies
      抗体
    • Oligos, Primers & Probes
      寡核苷酸、引物、探针
    • GeneArt Gene Synthesis
      GeneArt 基因合成
    • Cell Culture Plastics
      细胞培养耗材
  • Who We Serve
    • 抗体治疗解决方案
    • 细胞与基因治疗解决方案
    • 学术科研
    • 工业与应用
  • 联系我们
  • 货号直购
  • 订单查询
  • 查找文件&证书
Thermo Fisher Scientific Logo

Search

搜索全部或下列指定分类
Search button
          • 联系我们
          • 货号直购
          • 登录
            登录
            没有账号?建立账号 注册
            • 我的账号
            • 订单
            • 会员中心
            • 账单及发票查询
            • 定制产品及项目
          • Primary Antibodies ›
          • SMO Antibodies

          Invitrogen

          SMO Recombinant Rabbit Monoclonal Antibody (HL3055)

          查看其他25个SMO抗体

          {{$productOrderCtrl.translations['antibody.pdp.commerceCard.promotion.promotions']}}

          {{$productOrderCtrl.translations['antibody.pdp.commerceCard.promotion.viewpromo']}}

          {{$productOrderCtrl.translations['antibody.pdp.commerceCard.promotion.promocode']}}: {{promo.promoCode}} {{promo.promoTitle}} {{promo.promoDescription}}. {{$productOrderCtrl.translations['antibody.pdp.commerceCard.promotion.learnmore']}}

          说明书
          证书
          实验方案
          问题与答案
          技术支持
          说明书
          证书
          实验方案
          问题与答案
          技术支持
          说明书
          证书
          实验方案
          问题与答案
          技术支持

          Cite SMO Recombinant Rabbit Monoclonal Antibody (HL3055)

          Additional Information:
          {{banner.description}}
          {{$ctrl.isSkuNotesCollapsed ? 'View more' : 'View less'}}
          • 抗体检测数据 (1)
          SMO Antibody in Immunohistochemistry (Paraffin) (IHC (P))
          Group 53 Created with Sketch.
          SMO Antibody in Immunohistochemistry (Paraffin) (IHC (P))
          Group 53 Created with Sketch.

          图: 1 / 1

          {{ $ctrl.currentElement.advancedVerification.fullName }}
          {{ $ctrl.currentElement.advancedVerification.text }}

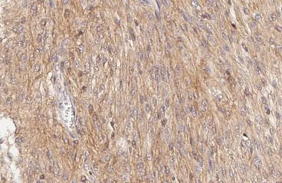
          SMO Antibody (MA566218) in IHC (P)

          Immunohistochemistry analysis of SMO in Paraffin-embedded human glioblastoma. Samples were incubated with SMO Recombinant Monoclonal Antibody (Product # MA566218) using a dilution of 1:100. Antigen Retrieval was performed with citrate buffer (pH 6.0) for 15 minutes. {{ $ctrl.currentElement.advancedVerification.fullName }} 验证信息 View more
          已发表图片由___提供 benchsci-logo
          PMID: {{$ctrl.currentElement.benchSciPubmedId}}
          查看产品

          {{$ctrl.videoDesc}}

          {{$ctrl.videoLongDesc}}

          SMO Antibody in Immunohistochemistry (Paraffin) (IHC (P))

          产品信息

          MA566218

          应用
          建议稀释比
          已发表文章

          免疫组化(石蜡) (IHC (P))

          1:100-1:1,000
          -
          产品规格

          种属反应

          Human

          宿主/亚型

          Rabbit / IgG

          Expression System

          HEK293 cells

          分类

          Recombinant Monoclonal

          类型

          Antibody

          克隆号

          HL3055

          抗原

          Synthetic peptide encompassing a sequence within the Intracellular domain of human Smoothened homolog. The exact sequence is proprietary.

          偶联物

          Unconjugated Unconjugated Unconjugated

          形式

          Liquid

          浓度

          1 mg/mL

          规格

          100 µg

          纯化类型

          Protein A

          保存液

          PBS

          内含物

          no preservative

          保存条件

          Store at 4°C short term. For long term storage, store at -20°C, avoiding freeze/thaw cycles.

          运输条件

          Ambient (domestic); Wet ice (international)

          RRID

          AB_3715366

          靶标信息

          Smoothened drosophila homolog (SMOH) is a serpentine protein belonging to the G-protein coupled receptor Fz/Smo family with 787 aa, seven transmembrane G protein-coupled receptors with 4 glycosylation sites and a putative extracellular amino terminus. Smoothened activated by b-Arrestin 2 and GRK2 acts as a receptor for Shh, the Sonic hedgehog gene product, and is a positive regulator of hedgehog signaling pathway along with the smoothened inhibitor patched protein (PTCH) and regulates vertebrate developmental processes, cellular proliferation and differentiation by activating transcription factor Gli. Smoothened mutants are known to cause sporadic basal cell carcinoma of the skin. It is known to express widely in heart and brain.

          仅用于科研。不用于诊断过程。未经明确授权不得转售。

          篇参考文献 (0)

          您是否在文献中引用过该产品?请点击下方按钮邮件告知我们。
          引用该产品

          生物信息学

          蛋白别名: candidate receptor for sonic hedgehog; frizzled family member 11; HGNC:11119; Protein Gx; Protein SMOH; Protein smoothened; seven transmembrane helix receptor; smoothened homolog; smoothened, frizzled family receptor; smoothened, seven transmembrane spanning receptor

          查看更多 收起

          基因别名: CRJS; FZD11; Gx; PHLS; SMO; SMOH

          查看更多 收起

          UniProt ID: (Human) Q99835

          查看更多 收起

          Entrez Gene ID: (Human) 6608

          查看更多 收起

          功能
          cAMP-dependent protein kinase inhibitor activity transmembrane signaling receptor activity G-protein coupled receptor activity patched binding protein binding oxysterol binding protein kinase A catalytic subunit binding protein sequestering activity
          参与通路
          negative regulation of transcription from RNA polymerase II promoter ossification vasculogenesis osteoblast differentiation in utero embryonic development cell fate specification neural crest cell migration negative regulation of protein phosphorylation hair follicle development heart looping positive regulation of neuroblast proliferation positive regulation of mesenchymal cell proliferation heart morphogenesis determination of left/right asymmetry in lateral mesoderm type B pancreatic cell development protein import into nucleus apoptotic process signal transduction cell surface receptor signaling pathway G-protein coupled receptor signaling pathway smoothened signaling pathway determination of left/right symmetry ventral midline determination pattern specification process neuroblast proliferation central nervous system development midgut development cell proliferation positive regulation of cell proliferation tissue development anterior/posterior pattern specification dorsal/ventral pattern formation gene expression regulation of gene expression positive regulation of gene expression negative regulation of gene expression spinal cord dorsal/ventral patterning dentate gyrus development cerebellar cortex morphogenesis thalamus development dorsal/ventral neural tube patterning central nervous system neuron differentiation cerebral cortex development positive regulation of cell migration epithelial cell differentiation negative regulation of epithelial cell differentiation hair follicle morphogenesis protein localization to nucleus multicellular organism growth positive regulation of multicellular organism growth positive regulation of protein import into nucleus odontogenesis of dentin-containing tooth negative regulation of apoptotic process negative regulation of DNA binding positive regulation of smoothened signaling pathway negative regulation of transcription, DNA-templated positive regulation of transcription, DNA-templated positive regulation of transcription from RNA polymerase II promoter positive regulation of organ growth astrocyte activation cell development digestive tract development embryonic organ development developmental growth skeletal muscle fiber development smooth muscle tissue development forebrain morphogenesis homeostasis of number of cells within a tissue epithelial cell proliferation positive regulation of epithelial cell proliferation protein stabilization myoblast migration negative regulation of hair follicle development contact inhibition atrial septum morphogenesis mammary gland epithelial cell differentiation epithelial-mesenchymal cell signaling somite development pancreas morphogenesis left/right axis specification cellular response to cholesterol dopaminergic neuron differentiation commissural neuron axon guidance mesenchymal to epithelial transition involved in metanephric renal vesicle formation positive regulation of branching involved in ureteric bud morphogenesis response to inositol regulation of somatic stem cell population maintenance regulation of heart morphogenesis
          It has to be done as per old AB suggested Products section.

          Disclaimer

          Close

          Clicking the images or links will redirect you to a website hosted by BenchSci that provides third-party scientific content. Neither the content nor the BenchSci technology and processes for selection have been evaluated by us; we are providing them as-is and without warranty of any kind, including for use or application of the Thermo Fisher Scientific products presented.

          guarantee_icon

          性能保障

          只要您发现Invitrogen抗体在实验中的表现与网站或说明书的所述内容不符,您即可享受免费退换货服务。*

          了解更多
          help_icon

          随时为您服务

          获取常见问题的专家解答,或者直接联系我们的技术专家,咨询应用、设备、常规产品使用问题。

          联系技术支持
          订购 Plus Icon Minus Icon
          • 订单状态查询
          • 订单支持
          • 货号直购
          • 现货供应中心
          • 电子采购
          支持 Plus Icon Minus Icon
          • 帮助&支持
          • 联系我们 - 400 820 8982
          • 技术支持中心
          • 查找文件&证书
          • 报告网站问题
          资源 Plus Icon Minus Icon
          • 学习中心
          • 促销
          • 活动&研讨会
          • 社交媒体
          关于赛默飞 Plus Icon Minus Icon
          • 关于我们
          • 招聘 招聘
          • 投资者关系 投资者关系
          • 新闻 新闻
          • 社会责任 社会责任
          • 商标
          • 政策和通知
          品牌 Plus Icon Minus Icon
          • Thermo Scientific
          • Applied Biosystems
          • Invitrogen
          • Gibco
          • Ion Torrent
          • Unity Lab Services
          • Patheon
          • PPD
          • 服务条款
          • 隐私政策
          • 定价和运输保险政策
          © 2006-2026 Thermo Fisher Scientific Inc. All rights reserved. All trademarks are the property of Thermo Fisher Scientific and its subsidiaries unless otherwise specified.
          China flag icon
          China
          本网站销售的所有产品均不得用于人类或动物之临床诊断或治疗,仅可用于工业或者科研等非医疗目的。
             电子营业执照 | 经营证照公示 | ICP备案号:沪ICP备11003924号 | 沪公网安备 31011502006935号

          Your items have has been added!


          Host server : magellan-search-green-6479c7f679-sz4vp:80/100.66.76.236:80.
          git-commit: b70c0dceb888abc3b0dcebb5bc3a5b8753e7e816
          git-url: https://github.com/thermofisher/magellan-search
          git-branch: release/2.50.0-Offline