Hamburger Menu Button
Thermo Fisher Scientific Logo
登录
没有账号?建立账号 注册
  • 产品
    • 抗体
    • 引物合成
    • GeneArt Gene Synthesis Instant Designer
    • TaqMan Assay and Array Search
    • PCR 设备和耗材
    • 色谱柱和纯化柱
    • 实验室离心机
    • 分子生物学试剂和试剂盒
    • 实验室塑料耗材及用品
    • 查看所有产品分类
  • 应用和技术
    • 色谱
    • 细胞转染和培养
    • 实时荧光定量PCR
    • 质谱
    • 实验室塑料耗材及用品
    • 电子显微镜
    • 蛋白质生物学
    • PCR
    • RNAi
    • 环境
    • 查看所有应用和技术
  • 服务
    • 定制服务
    • 企业级实验室信息化服务
    • 企业服务
    • 金融&租赁服务
    • 仪器服务
    • OEM和商业供应
    • 培训服务
    • 360° CDMO 和 CRO 服务
    • CDMO 服务
    • 临床试验 CRO 服务
    • 查看所有帮助和支持
  • 帮助和支持
    • 学习中心
    • 联系我们
    • 更改国家或地区
    • 查看所有帮助和支持
  • 热门产品
    • TaqMan Real-Time PCR Assays
      TaqMan 实时荧光定量 PCR 试剂盒
    • Antibodies
      抗体
    • Oligos, Primers & Probes
      寡核苷酸、引物、探针
    • GeneArt Gene Synthesis
      GeneArt 基因合成
    • Cell Culture Plastics
      细胞培养耗材
  • 联系我们
  • 货号直购
  • 订单查询
  • 查找文件&证书
Thermo Fisher Scientific Logo

Search

搜索全部或下列指定分类
Search button
          • 联系我们
          • 货号直购
          • 登录
            登录
            没有账号?建立账号 注册
            • 我的账号
            • 订单
            • 账单及发票查询
            • 定制产品及项目

          Disclaimer

          Clicking the images or links will redirect you to a website hosted by BenchSci that provides third-party scientific content. Neither the content nor the BenchSci technology and processes for selection have been evaluated by us; we are providing them as-is and without warranty of any kind, including for use or application of the Thermo Fisher Scientific products presented.

          • Primary Antibodies ›
          • SLUG Antibodies

          OriGene

          SNAI2 Monoclonal Antibody (OTI2B11), TrueMAB™

          查看其他26个SLUG抗体

          {{$productOrderCtrl.translations['antibody.pdp.commerceCard.promotion.promotions']}}

          {{$productOrderCtrl.translations['antibody.pdp.commerceCard.promotion.viewpromo']}}

          {{$productOrderCtrl.translations['antibody.pdp.commerceCard.promotion.promocode']}}: {{promo.promoCode}} {{promo.promoTitle}} {{promo.promoDescription}}. {{$productOrderCtrl.translations['antibody.pdp.commerceCard.promotion.learnmore']}}

          说明书
          证书
          实验方案
          问题与答案
          技术支持
          说明书
          证书
          实验方案
          问题与答案
          技术支持
          说明书
          证书
          实验方案
          问题与答案
          技术支持

          Cite SNAI2 Monoclonal Antibody (OTI2B11), TrueMAB™

          Additional Information:
          {{banner.description}}
          {{$ctrl.isSkuNotesCollapsed ? 'View more' : 'View less'}}
          • 抗体检测数据 (5)
          SNAI2 Antibody in Immunocytochemistry (ICC/IF)
          Group 53 Created with Sketch.
          SNAI2 Antibody in Immunocytochemistry (ICC/IF)
          Group 53 Created with Sketch.

          图: 1 / 5

          {{ $ctrl.currentElement.advancedVerification.fullName }}
          {{ $ctrl.currentElement.advancedVerification.text }}

          SNAI2 Antibody (TA800226) in ICC/IF

          Anti-SNAI2 mouse monoclonal antibody (TA800226) immunofluorescent staining of COS7 cells transiently transfected by pCMV6-ENTRY SNAI2(RC202365). {{ $ctrl.currentElement.advancedVerification.fullName }} 验证信息 View more
          已发表图片由___提供 benchsci-logo
          PMID: {{$ctrl.currentElement.benchSciPubmedId}}
          查看产品

          {{$ctrl.videoDesc}}

          {{$ctrl.videoLongDesc}}

          SNAI2 Antibody in Immunocytochemistry (ICC/IF)
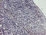
          SNAI2 Antibody in Immunohistochemistry (Paraffin) (IHC (P))
          SNAI2 Antibody in Immunohistochemistry (Paraffin) (IHC (P))
          SNAI2 Antibody in Western Blot (WB)
          SNAI2 Antibody in Flow Cytometry (Flow)
          SNAI2 Monoclonal Antibody (OTI2B11), TrueMAB™

          产品信息

          TA800226

          应用
          建议稀释比
          已发表文章

          免疫印迹 (WB)

          1:2,000
          -

          免疫组化(石蜡) (IHC (P))

          1:150
          -

          免疫细胞化学 (ICC/IF)

          1:100
          -

          流式细胞分析 (Flow)

          1:100
          -
          产品规格

          种属反应

          Human

          宿主/亚型

          Mouse / IgG1

          分类

          Monoclonal

          类型

          Antibody

          克隆号

          OTI2B11

          抗原

          Full length human recombinant protein of human SNAI2 produced in E.coli.
          查看免疫原

          偶联物

          Unconjugated Unconjugated Unconjugated

          形式

          Liquid

          浓度

          1 mg/mL

          纯化类型

          Affinity chromatography

          保存液

          PBS with 1% BSA, 50% glycerol

          内含物

          0.02% sodium azide

          保存条件

          -20°C, Avoid Freeze/Thaw Cycles

          运输条件

          Ambient (domestic); Wet ice (international)

          靶标信息

          Slug, a member of the Snail family of C2H2-type zinc finger transcription factors, was initially identified to be involved in epithelial-mesenchymal transitions as well as the formation of the neural tube during vertebrate embryogenesis. Like Snail, Slug transcription can be induced by growth factors such as FGF, BMP, and TGF-beta. Once expressed, Slug will bind E-box regions of promoters and repress transcription of genes such as E-cadherin and Claudin-1. More recently, its expression in breast, esophogeal, and colorectal carcinomas has been correlated with poor prognosis for survival. Furthermore, Slug can protect hemopoietic progenitor cells from radiation-induced apoptosis by repressing the p53-mediated transcription of Puma, a BH3-only antagonist of the anti-apoptotic members of the Bcl-2 family.

          仅用于科研。不用于诊断过程。未经明确授权不得转售。

          篇参考文献 (0)

          您是否在文献中引用过该产品?请点击下方按钮邮件告知我们。
          引用该产品

          生物信息学

          蛋白别名: MGC10182; Neural crest transcription factor Slug; Protein snail homolog 2; slug (chicken homolog), zinc finger protein; snail family zinc finger 2; snail homolog 2; Zinc finger protein SNAI2

          查看更多 收起

          基因别名: SLUG; SLUGH; SLUGH1; SNAI2; SNAIL2; WS2D

          查看更多 收起

          UniProt ID: (Human) O43623

          查看更多 收起

          Entrez Gene ID: (Human) 6591

          查看更多 收起

          功能
          transcriptional repressor activity, RNA polymerase II core promoter proximal region sequence-specific binding chromatin binding transcription factor activity, RNA polymerase II distal enhancer sequence-specific binding protein binding sequence-specific DNA binding metal ion binding C2H2 zinc finger transcription factor
          参与通路
          negative regulation of transcription from RNA polymerase II promoter osteoblast differentiation epithelial to mesenchymal transition epithelial to mesenchymal transition involved in endocardial cushion formation cell migration involved in endocardial cushion formation transcription, DNA-templated negative regulation of cell adhesion involved in substrate-bound cell migration Notch signaling pathway sensory perception of sound negative regulation of keratinocyte proliferation negative regulation of vitamin D biosynthetic process neural crest cell development positive regulation of cell migration negative regulation of chondrocyte differentiation regulation of chemokine production negative regulation of cell adhesion mediated by integrin positive regulation of histone acetylation negative regulation of catenin import into nucleus desmosome disassembly pigmentation negative regulation of DNA damage response, signal transduction by p53 class mediator cellular response to fibroblast growth factor stimulus positive regulation of fat cell differentiation regulation of osteoblast differentiation white fat cell differentiation palate development canonical Wnt signaling pathway epithelium development cartilage morphogenesis regulation of branching involved in salivary gland morphogenesis negative regulation of vitamin D receptor signaling pathway cellular response to epidermal growth factor stimulus cellular response to ionizing radiation negative regulation of canonical Wnt signaling pathway negative regulation of cell-cell adhesion by negative regulation of transcription from RNA polymerase II promoter negative regulation of intrinsic apoptotic signaling pathway in response to DNA damage negative regulation of stem cell proliferation regulation of bicellular tight junction assembly negative regulation of anoikis negative regulation of extrinsic apoptotic signaling pathway in absence of ligand
          It has to be done as per old AB suggested Products section.
          guarantee_icon

          性能保障

          只要您发现Invitrogen抗体在实验中的表现与网站或说明书的所述内容不符,您即可享受免费退换货服务。*

          了解更多
          help_icon

          随时为您服务

          获取常见问题的专家解答,或者直接联系我们的技术专家,咨询应用、设备、常规产品使用问题。

          联系技术支持
          订购 Plus Icon Minus Icon
          • 订单状态查询
          • 订单支持
          • 货号直购
          • 现货供应中心
          • 电子采购
          支持 Plus Icon Minus Icon
          • 帮助&支持
          • 联系我们 - 400 820 8982
          • 技术支持中心
          • 查找文件&证书
          • 报告网站问题
          资源 Plus Icon Minus Icon
          • 学习中心
          • 促销
          • 活动&研讨会
          • 社交媒体
          关于赛默飞 Plus Icon Minus Icon
          • 关于我们
          • 招聘 招聘
          • 投资者关系 投资者关系
          • 新闻 新闻
          • 社会责任 社会责任
          • 商标
          • 政策和通知
          品牌 Plus Icon Minus Icon
          • Thermo Scientific
          • Applied Biosystems
          • Invitrogen
          • Gibco
          • Ion Torrent
          • Patheon
          • PPD
          • 服务条款
          • 隐私政策
          • 定价和运输保险政策
          © 2006-2026 Thermo Fisher Scientific Inc. All rights reserved. All trademarks are the property of Thermo Fisher Scientific and its subsidiaries unless otherwise specified.
          China flag icon
          China
          本网站销售的所有产品均不得用于人类或动物之临床诊断或治疗,仅可用于工业或者科研等非医疗目的。
             电子营业执照 | 经营证照公示 | ICP备案号:沪ICP备11003924号 | 沪公网安备 31011502006935号

          Your items have has been added!


          Host server : magellan-search-blue-55ff9ddd88-ctdjb:80/100.66.76.55:80.
          git-commit: d366ff9721d93504b2ac26a183b2b3e3d0e7d9ec
          git-url: https://github.com/thermofisher/magellan-search
          git-branch: release/2.42.0-2026.01.03-1.0