Hamburger Menu Button
Thermo Fisher Scientific Logo
登录
没有账号?建立账号 注册
  • 产品
    • 抗体
    • 引物合成
    • GeneArt Gene Synthesis Instant Designer
    • TaqMan Assay and Array Search
    • PCR 设备和耗材
    • 色谱柱和纯化柱
    • 实验室离心机
    • 分子生物学试剂和试剂盒
    • 实验室塑料耗材及用品
    • 查看所有产品分类
  • 应用和技术
    • 色谱
    • 细胞转染和培养
    • 实时荧光定量PCR
    • 质谱
    • 实验室塑料耗材及用品
    • 电子显微镜
    • 蛋白质生物学
    • PCR
    • RNAi
    • 环境
    • 查看所有应用和技术
  • 服务
    • 定制服务
    • 企业级实验室信息化服务
    • 金融&租赁服务
    • 仪器服务
    • OEM和商业供应
    • 培训服务
    • 360° CDMO 和 CRO 服务
    • CDMO 服务
    • 临床试验 CRO 服务
    • Unity Lab Services
    • 查看所有帮助和支持
  • 帮助和支持
    • 学习中心
    • 联系我们
    • 更改国家或地区
    • 查看所有帮助和支持
  • 热门产品
    • TaqMan Real-Time PCR Assays
      TaqMan 实时荧光定量 PCR 试剂盒
    • Antibodies
      抗体
    • Oligos, Primers & Probes
      寡核苷酸、引物、探针
    • GeneArt Gene Synthesis
      GeneArt 基因合成
    • Cell Culture Plastics
      细胞培养耗材
  • Who We Serve
    • 抗体治疗解决方案
    • 细胞与基因治疗解决方案
    • 学术科研
    • 工业与应用
  • 联系我们
  • 货号直购
  • 订单查询
  • 查找文件&证书
Thermo Fisher Scientific Logo

Search

搜索全部或下列指定分类
Search button
          • 联系我们
          • 货号直购
          • 登录
            登录
            没有账号?建立账号 注册
            • 我的账号
            • 订单
            • 会员中心
            • 账单及发票查询
            • 定制产品及项目
          • Primary Antibodies ›
          • SOD2 (MnSOD) Antibodies

          Invitrogen

          SOD2 (MnSOD) Polyclonal Antibody

          高级验证
          查看其他34个SOD2 (MnSOD)抗体

          {{$productOrderCtrl.translations['antibody.pdp.commerceCard.promotion.promotions']}}

          {{$productOrderCtrl.translations['antibody.pdp.commerceCard.promotion.viewpromo']}}

          {{$productOrderCtrl.translations['antibody.pdp.commerceCard.promotion.promocode']}}: {{promo.promoCode}} {{promo.promoTitle}} {{promo.promoDescription}}. {{$productOrderCtrl.translations['antibody.pdp.commerceCard.promotion.learnmore']}}

          说明书
          证书
          实验方案
          问题与答案
          技术支持
          说明书
          证书
          实验方案
          问题与答案
          技术支持
          说明书
          证书
          实验方案
          问题与答案
          技术支持

          Cite SOD2 (MnSOD) Polyclonal Antibody

          Additional Information:
          {{banner.description}}
          {{$ctrl.isSkuNotesCollapsed ? 'View more' : 'View less'}}
          • 抗体检测数据 (8)
          • 高级验证 (1)
          SOD2 (MnSOD) Antibody in Immunocytochemistry (ICC/IF)
          Group 53 Created with Sketch.
          SOD2 (MnSOD) Antibody in Immunocytochemistry (ICC/IF)
          Group 53 Created with Sketch.

          图: 1 / 9

          {{ $ctrl.currentElement.advancedVerification.fullName }}
          {{ $ctrl.currentElement.advancedVerification.text }}

          SOD2 (MnSOD) Antibody (PA5-116561) in ICC/IF

          Immunofluorescence analysis of SOD2 (MnSOD) in NIH/3T3 cells. Samples were incubated with SOD2 (MnSOD) Polyclonal antibody (Product # PA5-116561) using a dilution of 1:100 (40x lens). Blue: DAPI for nuclear staining. {{ $ctrl.currentElement.advancedVerification.fullName }} 验证信息 View more
          已发表图片由___提供 benchsci-logo
          PMID: {{$ctrl.currentElement.benchSciPubmedId}}
          查看产品

          {{$ctrl.videoDesc}}

          {{$ctrl.videoLongDesc}}

          SOD2 (MnSOD) Antibody in Immunocytochemistry (ICC/IF)
          SOD2 (MnSOD) Antibody in Immunocytochemistry (ICC/IF)
          SOD2 (MnSOD) Antibody in Immunocytochemistry (ICC/IF)
          SOD2 (MnSOD) Antibody in Immunocytochemistry (ICC/IF)
          SOD2 (MnSOD) Antibody in Immunocytochemistry (ICC/IF)
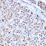
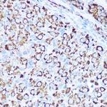
          SOD2 (MnSOD) Antibody in Immunohistochemistry (Paraffin) (IHC (P))
          SOD2 (MnSOD) Antibody in Western Blot (WB)
          SOD2 (MnSOD) Antibody in Western Blot (WB)
          SOD2 (MnSOD) Antibody
          SOD2 (MnSOD) Polyclonal Antibody

          产品信息

          PA5-116561

          应用
          建议稀释比
          已发表文章

          免疫印迹 (WB)

          1:500-1:2,000
          -

          免疫组化(石蜡) (IHC (P))

          1:50-1:200
          -

          免疫细胞化学 (ICC/IF)

          1:50-1:200
          -

          酶联免疫吸附实验 (ELISA)

          1 µg/mL
          -
          产品规格

          种属反应

          Human, Mouse, Rat

          宿主/亚型

          Rabbit / IgG

          分类

          Polyclonal

          类型

          Antibody

          抗原

          Recombinant fusion protein containing a sequence corresponding to amino acids 25-222 of human SOD2 (NP_0006272)
          3D表位/免疫原

          偶联物

          Unconjugated Unconjugated Unconjugated

          形式

          Liquid

          浓度

          1.57 mg/mL

          规格

          157 µg

          纯化类型

          Affinity chromatography

          保存液

          PBS, pH 7.3, with 50% glycerol

          内含物

          0.05% ProClin 300

          保存条件

          -20°C, Avoid Freeze/Thaw Cycles

          运输条件

          Ambient (domestic); Wet ice (international)

          RRID

          AB_2901192

          产品详细信息

          Positive Samples: 293T, HepG2, A-549, Mouse liver, Mouse brain, Mouse heart, Rat liver, Rat brain, Rat heart

          Immunogen sequence: KHSLPDLPYD YGALEPHINA QIMQLHHSKH HAAYVNNLNV TEEKYQEALA KGDVTAQIAL QPALKFNGGG HINHSIFWTN LSPNGGGEPK GELLEAIKRD FGSFDKFKEK LTAASVGVQG SGWGWLGFNK ERGHLQIAAC PNQDPLQGTT GLIPLLGIDV WEHAYYLQYK NVRPDYLKAI WNVINWENVT ERYMACKK

          靶标信息

          Superoxide dismutase (SOD) is an antioxidant enzyme involved in the defense system against reactive oxygen species (ROS). SOD catalyzes the dismutation reaction of superoxide radical anion (O2) to hydrogen peroxide, which is then catalyzed to innocuous O2 and H2O by glutathione peroxidase and catalase. Several classes of SOD have been identified. These include intracellular copper, zinc SOD (Cu, Zn-SOD/SOD-1), mitochondrial manganese SOD (Mn-SOD/SOD-2) and extracellular Cu, Zn-SOD (EC-SOD/SOD-3). SOD1 is found in all eukaryotic species as a homodimeric 32 kDa enzyme containing one each of Cu and Zn ion per subunit. The manganese containing 80 kDa tetrameric enzyme SOD2, is located in the mitochondrial matrix in close proximity to a primary endogenous source of superoxide, the mitochondrial respiratory chain. SOD3 is a heparin-binding multimer of disulfide-linked dimers, primarily expressed in human lungs, vessel walls and airways. SOD4 is a copper chaperone for superoxide dismutase (CCS), which specifically delivers Cu to copper/zinc superoxide dismutase. CCS may activate copper/zinc superoxide dismutase through direct insertion of the Cu cofactor.

          仅用于科研。不用于诊断过程。未经明确授权不得转售。

          篇参考文献 (0)

          您是否在文献中引用过该产品?请点击下方按钮邮件告知我们。
          引用该产品

          生物信息学

          蛋白别名: epididymis secretory sperm binding protein; gastric cancer-associated lncRNA 1; GC1; GClnc1; indophenoloxidase B; IPO B; IPO-B; IPOB; lncRNA-GC1; manganese SOD; manganese superoxide dismutase; manganese-containing superoxide dismutase; mangano-superoxide dismutase; mitochondrial superoxide dismutase 2; Mn superoxide dismutase; Mn-SOD; Mn-superoxide dismutase; MNSOD; MVCD6; Superoxide dimutase 2, mitochondrial; superoxide dismutase; superoxide dismutase 2, mitochondrial; Superoxide dismutase [Mn], mitochondrial; unnamed protein product

          查看更多 收起

          基因别名: GC1; GClnc1; IPO-B; IPOB; lncRNA-GC1; Mn-SOD; MNSOD; MVCD6; Sod-2; SOD2

          查看更多 收起

          UniProt ID: (Human) P04179, (Rat) P07895, (Mouse) P09671

          查看更多 收起

          Entrez Gene ID: (Human) 6648, (Rat) 24787, (Mouse) 20656

          查看更多 收起

          功能
          DNA binding superoxide dismutase activity protein binding oxidoreductase activity oxygen binding enzyme binding manganese ion binding identical protein binding metal ion binding oxidoreductase metabolite interconversion enzyme
          参与通路
          response to reactive oxygen species response to superoxide response to hypoxia release of cytochrome c from mitochondria liver development detection of oxygen vasodilation by acetylcholine involved in regulation of systemic arterial blood pressure regulation of transcription from RNA polymerase II promoter glutathione metabolic process superoxide metabolic process response to oxidative stress mitochondrion organization heart development locomotory behavior regulation of blood pressure negative regulation of cell proliferation intrinsic apoptotic signaling pathway in response to DNA damage intrinsic apoptotic signaling pathway in response to oxidative stress apoptotic mitochondrial changes response to xenobiotic stimulus post-embryonic development response to manganese ion response to zinc ion response to selenium ion response to gamma radiation positive regulation of hydrogen peroxide biosynthetic process response to activity removal of superoxide radicals respiratory electron transport chain hemopoiesis positive regulation of cell migration response to nutrient levels oxygen homeostasis response to lipopolysaccharide response to L-ascorbic acid response to silicon dioxide cellular response to oxidative stress response to isolation stress response to immobilization stress vasodilation response to hydrogen peroxide superoxide anion generation hydrogen peroxide metabolic process negative regulation of apoptotic process negative regulation of neuron apoptotic process positive regulation of nitric oxide biosynthetic process negative regulation of fat cell differentiation response to cadmium ion negative regulation of fibroblast proliferation neuron development response to axon injury erythrophore differentiation hydrogen peroxide biosynthetic process protein homotetramerization response to electrical stimulus regulation of mitochondrial membrane potential response to hyperoxia multicellular organismal iron ion homeostasis response to magnetism cellular response to ethanol negative regulation of oxidative stress-induced intrinsic apoptotic signaling pathway negative regulation of membrane hyperpolarization negative regulation of vascular smooth muscle cell proliferation positive regulation of vascular associated smooth muscle cell apoptotic process positive regulation of vascular associated smooth muscle cell differentiation involved in phenotypic switching age-dependent response to oxidative stress age-dependent response to reactive oxygen species aging sensory perception of sound response to radiation response to cold response to drug regulation of catalytic activity protein homooligomerization iron ion homeostasis oxidation-reduction process
          It has to be done as per old AB suggested Products section.

          Disclaimer

          Close

          Clicking the images or links will redirect you to a website hosted by BenchSci that provides third-party scientific content. Neither the content nor the BenchSci technology and processes for selection have been evaluated by us; we are providing them as-is and without warranty of any kind, including for use or application of the Thermo Fisher Scientific products presented.

          guarantee_icon

          性能保障

          只要您发现Invitrogen抗体在实验中的表现与网站或说明书的所述内容不符,您即可享受免费退换货服务。*

          了解更多
          help_icon

          随时为您服务

          获取常见问题的专家解答,或者直接联系我们的技术专家,咨询应用、设备、常规产品使用问题。

          联系技术支持
          订购 Plus Icon Minus Icon
          • 订单状态查询
          • 订单支持
          • 货号直购
          • 现货供应中心
          • 电子采购
          支持 Plus Icon Minus Icon
          • 帮助&支持
          • 联系我们 - 400 820 8982
          • 技术支持中心
          • 查找文件&证书
          • 报告网站问题
          资源 Plus Icon Minus Icon
          • 学习中心
          • 促销
          • 活动&研讨会
          • 社交媒体
          关于赛默飞 Plus Icon Minus Icon
          • 关于我们
          • 招聘 招聘
          • 投资者关系 投资者关系
          • 新闻 新闻
          • 社会责任 社会责任
          • 商标
          • 政策和通知
          品牌 Plus Icon Minus Icon
          • Thermo Scientific
          • Applied Biosystems
          • Invitrogen
          • Gibco
          • Ion Torrent
          • Unity Lab Services
          • Patheon
          • PPD
          • 服务条款
          • 隐私政策
          • 定价和运输保险政策
          © 2006-2026 Thermo Fisher Scientific Inc. All rights reserved. All trademarks are the property of Thermo Fisher Scientific and its subsidiaries unless otherwise specified.
          China flag icon
          China
          本网站销售的所有产品均不得用于人类或动物之临床诊断或治疗,仅可用于工业或者科研等非医疗目的。
             电子营业执照 | 经营证照公示 | ICP备案号:沪ICP备11003924号 | 沪公网安备 31011502006935号

          Your items have has been added!


          Host server : magellan-search-green-6479c7f679-sz4vp:80/100.66.76.236:80.
          git-commit: b70c0dceb888abc3b0dcebb5bc3a5b8753e7e816
          git-url: https://github.com/thermofisher/magellan-search
          git-branch: release/2.50.0-Offline