Hamburger Menu Button
Thermo Fisher Scientific Logo
登录
没有账号?建立账号 注册
  • 产品
    • 抗体
    • 引物合成
    • GeneArt Gene Synthesis Instant Designer
    • TaqMan Assay and Array Search
    • PCR 设备和耗材
    • 色谱柱和纯化柱
    • 实验室离心机
    • 分子生物学试剂和试剂盒
    • 实验室塑料耗材及用品
    • 查看所有产品分类
  • 应用和技术
    • 色谱
    • 细胞转染和培养
    • 实时荧光定量PCR
    • 质谱
    • 实验室塑料耗材及用品
    • 电子显微镜
    • 蛋白质生物学
    • PCR
    • RNAi
    • 环境
    • 查看所有应用和技术
  • 服务
    • 定制服务
    • 企业级实验室信息化服务
    • 金融&租赁服务
    • 仪器服务
    • OEM和商业供应
    • 培训服务
    • 360° CDMO 和 CRO 服务
    • CDMO 服务
    • 临床试验 CRO 服务
    • Unity Lab Services
    • 查看所有帮助和支持
  • 帮助和支持
    • 学习中心
    • 联系我们
    • 更改国家或地区
    • 查看所有帮助和支持
  • 热门产品
    • TaqMan Real-Time PCR Assays
      TaqMan 实时荧光定量 PCR 试剂盒
    • Antibodies
      抗体
    • Oligos, Primers & Probes
      寡核苷酸、引物、探针
    • GeneArt Gene Synthesis
      GeneArt 基因合成
    • Cell Culture Plastics
      细胞培养耗材
  • Who We Serve
    • 抗体治疗解决方案
    • 细胞与基因治疗解决方案
    • 学术科研
    • 工业与应用
  • 联系我们
  • 货号直购
  • 订单查询
  • 查找文件&证书
Thermo Fisher Scientific Logo

Search

搜索全部或下列指定分类
Search button
          • 联系我们
          • 货号直购
          • 登录
            登录
            没有账号?建立账号 注册
            • 我的账号
            • 订单
            • 会员中心
            • 账单及发票查询
            • 定制产品及项目
          • Primary Antibodies ›
          • SOX4 Antibodies

          Invitrogen

          SOX4 Monoclonal Antibody (CL5665)

          2 篇参考文献
          查看其他15个SOX4抗体

          {{$productOrderCtrl.translations['antibody.pdp.commerceCard.promotion.promotions']}}

          {{$productOrderCtrl.translations['antibody.pdp.commerceCard.promotion.viewpromo']}}

          {{$productOrderCtrl.translations['antibody.pdp.commerceCard.promotion.promocode']}}: {{promo.promoCode}} {{promo.promoTitle}} {{promo.promoDescription}}. {{$productOrderCtrl.translations['antibody.pdp.commerceCard.promotion.learnmore']}}

          说明书
          证书
          实验方案
          问题与答案
          技术支持
          说明书
          证书
          实验方案
          问题与答案
          技术支持
          说明书
          证书
          实验方案
          问题与答案
          技术支持

          Cite SOX4 Monoclonal Antibody (CL5665)

          Additional Information:
          {{banner.description}}
          {{$ctrl.isSkuNotesCollapsed ? 'View more' : 'View less'}}
          • 抗体检测数据 (8)
          SOX4 Antibody in Immunocytochemistry (ICC/IF)
          Group 53 Created with Sketch.
          SOX4 Antibody in Immunocytochemistry (ICC/IF)
          Group 53 Created with Sketch.

          图: 1 / 8

          {{ $ctrl.currentElement.advancedVerification.fullName }}
          {{ $ctrl.currentElement.advancedVerification.text }}

          SOX4 Antibody (MA5-31424) in ICC/IF

          Immunofluorecent analysis of SOX4 in SH-SY5Y cells using SOX4 Monoclonal Antibody (CL5665) (Product # MA5-31424). Staining shows specific staining in the nucleoplasm in green. Microtubule- and nuclear probes are visualized in red and blue, respectively (where available). {{ $ctrl.currentElement.advancedVerification.fullName }} 验证信息 View more
          已发表图片由___提供 benchsci-logo
          PMID: {{$ctrl.currentElement.benchSciPubmedId}}
          查看产品

          {{$ctrl.videoDesc}}

          {{$ctrl.videoLongDesc}}

          SOX4 Antibody in Immunocytochemistry (ICC/IF)
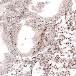
          SOX4 Antibody in Immunohistochemistry (Paraffin) (IHC (P))
          SOX4 Antibody in Immunohistochemistry (Paraffin) (IHC (P))
          SOX4 Antibody in Immunohistochemistry (Paraffin) (IHC (P))
          SOX4 Antibody in Immunohistochemistry (Paraffin) (IHC (P))
          SOX4 Antibody in Immunohistochemistry (Paraffin) (IHC (P))
          SOX4 Antibody in Immunohistochemistry (Paraffin) (IHC (P))
          SOX4 Antibody in Immunohistochemistry (Paraffin) (IHC (P))
          SOX4 Monoclonal Antibody (CL5665)

          产品信息

          MA5-31424

          应用
          建议稀释比
          已发表文章

          免疫印迹 (WB)

          -
          查看1篇已发表文章 1篇已发表文章

          免疫组化(石蜡) (IHC (P))

          1:1,000-1:2,500
          -

          免疫细胞化学 (ICC/IF)

          2-10 µg/mL
          查看1篇已发表文章 1篇已发表文章
          产品规格

          种属反应

          Human, Mouse, Rat

          已发表种属

          Human, Mouse

          宿主/亚型

          Mouse / IgG1

          分类

          Monoclonal

          类型

          Antibody

          克隆号

          CL5665

          抗原

          Synthetic peptide corresponding to Human SOX4
          3D表位/免疫原

          偶联物

          Unconjugated Unconjugated Unconjugated

          形式

          Liquid

          浓度

          1 mg/mL

          规格

          100 µg

          纯化类型

          Protein A

          保存液

          PBS, pH 7.2, with 40% glycerol

          内含物

          0.02% sodium azide

          保存条件

          Store at 4°C short term. For long term storage, store at -20°C, avoiding freeze/thaw cycles.

          运输条件

          Ambient (domestic); Wet ice (international)

          RRID

          AB_2787060

          产品详细信息

          Immunogen sequence: AGADPSDPLG LYEEEGAG

          Highest antigen sequence indentity to the following orthologs: Rat - 78%, Mouse - 78%.

          靶标信息

          SOX genes comprise a family of genes that are related to the mammalian sex determining gene SRY. These genes similarly contain sequences that encode for the HMG-box domain, which is responsible for the sequence-specific DNA-binding activity. SOX genes encode putative transcriptional regulators implicated in the decision of cell fates during development and the control of diverse developmental processes. The highly complex group of SOX genes cluster at a minimum of 40 different loci that rapidly diverged in various animal lineages. At present 30 SOX genes have been identified, and members of this family have been shown to be conserved during evolution and to play key roles during animal development. Some are involved in human diseases, including sex reversal.

          仅用于科研。不用于诊断过程。未经明确授权不得转售。

          生物信息学

          蛋白别名: ecotropic viral integration site 16; SRY (sex determining region Y)-box 4; SRY-box 4; SRY-box containing gene 4; SRY-related HMG-box gene 4; Transcription factor SOX-4

          查看更多 收起

          基因别名: AA682046; CSS10; EVI16; Sox-4; SOX4

          查看更多 收起

          UniProt ID: (Human) Q06945, (Mouse) Q06831

          查看更多 收起

          Entrez Gene ID: (Human) 6659, (Rat) 364712, (Mouse) 20677

          查看更多 收起

          功能
          transcription regulatory region sequence-specific DNA binding RNA polymerase II core promoter proximal region sequence-specific DNA binding RNA polymerase II transcription factor activity, sequence-specific DNA binding transcriptional activator activity, RNA polymerase II transcription regulatory region sequence-specific binding DNA binding transcription factor activity, sequence-specific DNA binding protein binding miRNA binding sequence-specific double-stranded DNA binding core promoter sequence-specific DNA binding transcriptional activator activity, RNA polymerase II core promoter proximal region sequence-specific binding RNA polymerase II transcription coactivator activity protein heterodimerization activity nucleic acid binding transcription factor activity HMG box transcription factor
          参与通路
          negative regulation of transcription from RNA polymerase II promoter pro-B cell differentiation mitral valve morphogenesis cardiac right ventricle morphogenesis atrial septum primum morphogenesis noradrenergic neuron differentiation regulation of transcription, DNA-templated nervous system development brain development heart development positive regulation of cell proliferation gene expression glial cell proliferation spinal cord development glial cell development neuron differentiation T cell differentiation endocrine pancreas development positive regulation of insulin secretion somatic stem cell population maintenance ascending aorta morphogenesis glucose homeostasis positive regulation of apoptotic process regulation of DNA damage response, signal transduction by p53 class mediator positive regulation of gamma-delta T cell differentiation negative regulation of myoblast differentiation positive regulation of myoblast differentiation positive regulation of transcription, DNA-templated positive regulation of transcription from RNA polymerase II promoter sympathetic nervous system development camera-type eye morphogenesis protein stabilization ventricular septum morphogenesis mesenchyme development neuroepithelial cell differentiation kidney morphogenesis hematopoietic stem cell homeostasis cellular response to glucose stimulus positive regulation of canonical Wnt signaling pathway skeletal system development response to hypoxia neural tube formation cardiac ventricle formation transcription from RNA polymerase II promoter DNA damage response, signal transduction by p53 class mediator resulting in cell cycle arrest negative regulation of cell proliferation spinal cord motor neuron differentiation positive regulation of Wnt signaling pathway negative regulation of protein ubiquitination regulation of protein stability DNA damage response, detection of DNA damage positive regulation of translation negative regulation of protein export from nucleus canonical Wnt signaling pathway limb bud formation negative regulation of cell death positive regulation of N-terminal peptidyl-lysine acetylation transcription, DNA-templated
          It has to be done as per old AB suggested Products section.

          Disclaimer

          Close

          Clicking the images or links will redirect you to a website hosted by BenchSci that provides third-party scientific content. Neither the content nor the BenchSci technology and processes for selection have been evaluated by us; we are providing them as-is and without warranty of any kind, including for use or application of the Thermo Fisher Scientific products presented.

          guarantee_icon

          性能保障

          只要您发现Invitrogen抗体在实验中的表现与网站或说明书的所述内容不符,您即可享受免费退换货服务。*

          了解更多
          help_icon

          随时为您服务

          获取常见问题的专家解答,或者直接联系我们的技术专家,咨询应用、设备、常规产品使用问题。

          联系技术支持
          订购 Plus Icon Minus Icon
          • 订单状态查询
          • 订单支持
          • 货号直购
          • 现货供应中心
          • 电子采购
          支持 Plus Icon Minus Icon
          • 帮助&支持
          • 联系我们 - 400 820 8982
          • 技术支持中心
          • 查找文件&证书
          • 报告网站问题
          资源 Plus Icon Minus Icon
          • 学习中心
          • 促销
          • 活动&研讨会
          • 社交媒体
          关于赛默飞 Plus Icon Minus Icon
          • 关于我们
          • 招聘 招聘
          • 投资者关系 投资者关系
          • 新闻 新闻
          • 社会责任 社会责任
          • 商标
          • 政策和通知
          品牌 Plus Icon Minus Icon
          • Thermo Scientific
          • Applied Biosystems
          • Invitrogen
          • Gibco
          • Ion Torrent
          • Unity Lab Services
          • Patheon
          • PPD
          • 服务条款
          • 隐私政策
          • 定价和运输保险政策
          © 2006-2026 Thermo Fisher Scientific Inc. All rights reserved. All trademarks are the property of Thermo Fisher Scientific and its subsidiaries unless otherwise specified.
          China flag icon
          China
          本网站销售的所有产品均不得用于人类或动物之临床诊断或治疗,仅可用于工业或者科研等非医疗目的。
             电子营业执照 | 经营证照公示 | ICP备案号:沪ICP备11003924号 | 沪公网安备 31011502006935号

          Your items have has been added!


          Host server : magellan-search-green-6479c7f679-l2s7p:80/100.66.76.236:80.
          git-commit: b70c0dceb888abc3b0dcebb5bc3a5b8753e7e816
          git-url: https://github.com/thermofisher/magellan-search
          git-branch: release/2.50.0-Offline