Hamburger Menu Button
Thermo Fisher Scientific Logo
登录
没有账号?建立账号 注册
  • 产品
    • 抗体
    • 引物合成
    • GeneArt Gene Synthesis Instant Designer
    • TaqMan Assay and Array Search
    • PCR 设备和耗材
    • 色谱柱和纯化柱
    • 实验室离心机
    • 分子生物学试剂和试剂盒
    • 实验室塑料耗材及用品
    • 查看所有产品分类
  • 应用和技术
    • 色谱
    • 细胞转染和培养
    • 实时荧光定量PCR
    • 质谱
    • 实验室塑料耗材及用品
    • 电子显微镜
    • 蛋白质生物学
    • PCR
    • RNAi
    • 环境
    • 查看所有应用和技术
  • 服务
    • 定制服务
    • 企业级实验室信息化服务
    • 企业服务
    • 金融&租赁服务
    • 仪器服务
    • OEM和商业供应
    • 培训服务
    • 360° CDMO 和 CRO 服务
    • CDMO 服务
    • 临床试验 CRO 服务
    • 查看所有帮助和支持
  • 帮助和支持
    • 学习中心
    • 联系我们
    • 更改国家或地区
    • 查看所有帮助和支持
  • 热门产品
    • TaqMan Real-Time PCR Assays
      TaqMan 实时荧光定量 PCR 试剂盒
    • Antibodies
      抗体
    • Oligos, Primers & Probes
      寡核苷酸、引物、探针
    • GeneArt Gene Synthesis
      GeneArt 基因合成
    • Cell Culture Plastics
      细胞培养耗材
  • 联系我们
  • 货号直购
  • 订单查询
  • 查找文件&证书
Thermo Fisher Scientific Logo

Search

搜索全部或下列指定分类
Search button
          • 联系我们
          • 货号直购
          • 登录
            登录
            没有账号?建立账号 注册
            • 我的账号
            • 订单
            • 账单及发票查询
            • 定制产品及项目

          Disclaimer

          Clicking the images or links will redirect you to a website hosted by BenchSci that provides third-party scientific content. Neither the content nor the BenchSci technology and processes for selection have been evaluated by us; we are providing them as-is and without warranty of any kind, including for use or application of the Thermo Fisher Scientific products presented.

          • Primary Antibodies ›
          • SOX4 Antibodies

          NeoBiotechnologies

          SOX4 (Master Regulator of Epithelial-Mesenchymal Transition) Monoclonal Antibody (SOX4/2540)

          查看其他16个SOX4抗体

          {{$productOrderCtrl.translations['antibody.pdp.commerceCard.promotion.promotions']}}

          {{$productOrderCtrl.translations['antibody.pdp.commerceCard.promotion.viewpromo']}}

          {{$productOrderCtrl.translations['antibody.pdp.commerceCard.promotion.promocode']}}: {{promo.promoCode}} {{promo.promoTitle}} {{promo.promoDescription}}. {{$productOrderCtrl.translations['antibody.pdp.commerceCard.promotion.learnmore']}}

          说明书
          证书
          实验方案
          问题与答案
          技术支持
          说明书
          证书
          实验方案
          问题与答案
          技术支持
          说明书
          证书
          实验方案
          问题与答案
          技术支持

          Cite SOX4 (Master Regulator of Epithelial-Mesenchymal Transition) Monoclonal Antibody (SOX4/2540)

          • 抗体检测数据 (4)
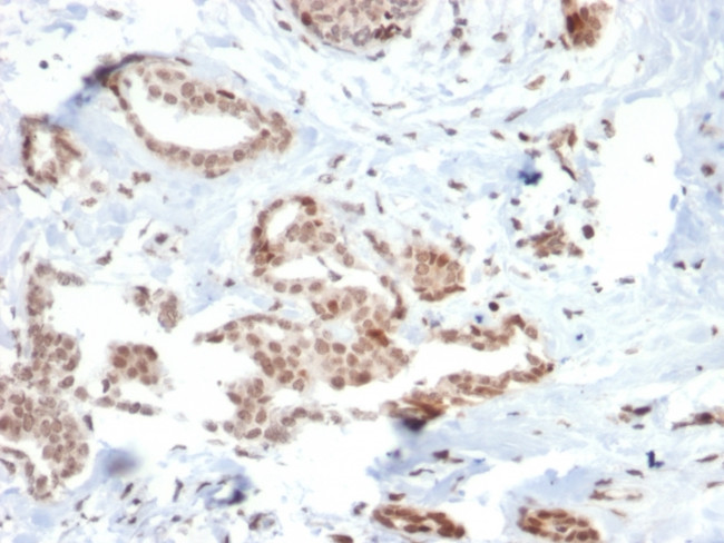
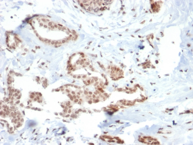
          SOX4 (Master Regulator of Epithelial-Mesenchymal Transition) Antibody in Immunohistochemistry (Paraffin) (IHC (P))
          Group 53 Created with Sketch.
          SOX4 (Master Regulator of Epithelial-Mesenchymal Transition) Antibody in Immunohistochemistry (Paraffin) (IHC (P))
          Group 53 Created with Sketch.

          图: 1 / 4

          {{ $ctrl.currentElement.advancedVerification.fullName }}
          {{ $ctrl.currentElement.advancedVerification.text }}

          SOX4 (Master Regulator of Epithelial-Mesenchymal Transition) Antibody (6659-MSM1-P0) in IHC (P)

          Formalin-fixed, paraffin-embedded human Breast Carcinoma stained with SOX4 Mouse Monoclonal Antibody (SOX4/2540). {{ $ctrl.currentElement.advancedVerification.fullName }} 验证信息 View more
          已发表图片由___提供 benchsci-logo
          PMID: {{$ctrl.currentElement.benchSciPubmedId}}
          查看产品

          {{$ctrl.videoDesc}}

          {{$ctrl.videoLongDesc}}

          SOX4 (Master Regulator of Epithelial-Mesenchymal Transition) Antibody in Immunohistochemistry (Paraffin) (IHC (P))
          SOX4 (Master Regulator of Epithelial-Mesenchymal Transition) Antibody in Immunohistochemistry (Paraffin) (IHC (P))
          SOX4 (Master Regulator of Epithelial-Mesenchymal Transition) Antibody in Peptide array (ARRAY)
          SOX4 (Master Regulator of Epithelial-Mesenchymal Transition) Antibody in SDS-PAGE (SDS-PAGE)
          SOX4 (Master Regulator of Epithelial-Mesenchymal Transition) Monoclonal Antibody (SOX4/2540)

          产品信息

          6659-MSM1-P0

          应用
          建议稀释比
          已发表文章

          免疫组化(石蜡) (IHC (P))

          Assay-dependent
          -

          免疫组织化学(多聚甲醛固定) (IHC (PFA))

          1-2 µg/mL
          -

          肽阵列 (Array)

          Assay-dependent
          -
          产品规格

          种属反应

          Human

          宿主/亚型

          Mouse / IgG2b, kappa

          分类

          Monoclonal

          类型

          Antibody

          克隆号

          SOX4/2540

          抗原

          Recombinant full-length human SOX4 protein
          查看免疫原

          偶联物

          Unconjugated Unconjugated Unconjugated

          形式

          Liquid

          浓度

          200 µg/mL

          纯化类型

          Protein A/G

          保存液

          PBS, pH 7.4, with 0.05% BSA

          内含物

          0.05% sodium azide

          保存条件

          4°C, do not freeze

          运输条件

          Ambient (domestic); Wet ice (international)

          靶标信息

          SOX genes comprise a family of genes that are related to the mammalian sex determining gene SRY. These genes similarly contain sequences that encode for the HMG-box domain, which is responsible for the sequence-specific DNA-binding activity. SOX genes encode putative transcriptional regulators implicated in the decision of cell fates during development and the control of diverse developmental processes. The highly complex group of SOX genes cluster at a minimum of 40 different loci that rapidly diverged in various animal lineages. At present 30 SOX genes have been identified, and members of this family have been shown to be conserved during evolution and to play key roles during animal development. Some are involved in human diseases, including sex reversal.

          仅用于科研。不用于诊断过程。未经明确授权不得转售。

          篇参考文献 (0)

          您是否在文献中引用过该产品?请点击下方按钮邮件告知我们。
          引用该产品

          生物信息学

          蛋白别名: ecotropic viral integration site 16; SRY (sex determining region Y)-box 4; SRY box 4; SRY-related HMG-box gene 4; Transcription factor SOX-4

          查看更多 收起

          基因别名: EVI16; SOX4

          查看更多 收起

          UniProt ID: (Human) Q06945

          查看更多 收起

          Entrez Gene ID: (Human) 6659

          查看更多 收起

          功能
          transcription regulatory region sequence-specific DNA binding core promoter sequence-specific DNA binding nucleic acid binding transcription factor activity transcriptional activator activity, RNA polymerase II core promoter proximal region sequence-specific binding RNA polymerase II transcription coactivator activity transcription factor activity, sequence-specific DNA binding protein binding protein heterodimerization activity HMG box transcription factor
          参与通路
          skeletal system development neural tube formation pro-B cell differentiation mitral valve morphogenesis cardiac ventricle formation cardiac right ventricle morphogenesis atrial septum primum morphogenesis noradrenergic neuron differentiation regulation of transcription, DNA-templated transcription from RNA polymerase II promoter DNA damage response, signal transduction by p53 class mediator resulting in cell cycle arrest heart development positive regulation of cell proliferation negative regulation of cell proliferation glial cell proliferation spinal cord development spinal cord motor neuron differentiation glial cell development positive regulation of Wnt signaling pathway T cell differentiation endocrine pancreas development negative regulation of protein ubiquitination regulation of protein stability positive regulation of insulin secretion somatic stem cell population maintenance ascending aorta morphogenesis glucose homeostasis DNA damage response, detection of DNA damage positive regulation of apoptotic process positive regulation of translation positive regulation of transcription, DNA-templated positive regulation of transcription from RNA polymerase II promoter negative regulation of protein export from nucleus sympathetic nervous system development protein stabilization canonical Wnt signaling pathway limb bud formation ventricular septum morphogenesis negative regulation of cell death neuroepithelial cell differentiation kidney morphogenesis cellular response to glucose stimulus positive regulation of canonical Wnt signaling pathway positive regulation of N-terminal peptidyl-lysine acetylation
          It has to be done as per old AB suggested Products section.
          guarantee_icon

          性能保障

          只要您发现Invitrogen抗体在实验中的表现与网站或说明书的所述内容不符,您即可享受免费退换货服务。*

          了解更多
          help_icon

          随时为您服务

          获取常见问题的专家解答,或者直接联系我们的技术专家,咨询应用、设备、常规产品使用问题。

          联系技术支持
          订购 Plus Icon Minus Icon
          • 订单状态查询
          • 订单支持
          • 货号直购
          • 现货供应中心
          • 电子采购
          支持 Plus Icon Minus Icon
          • 帮助&支持
          • 联系我们 - 400 820 8982
          • 技术支持中心
          • 查找文件&证书
          • 报告网站问题
          资源 Plus Icon Minus Icon
          • 学习中心
          • 促销
          • 活动&研讨会
          • 社交媒体
          关于赛默飞 Plus Icon Minus Icon
          • 关于我们
          • 招聘 招聘
          • 投资者关系 投资者关系
          • 新闻 新闻
          • 社会责任 社会责任
          • 商标
          • 政策和通知
          品牌 Plus Icon Minus Icon
          • Thermo Scientific
          • Applied Biosystems
          • Invitrogen
          • Gibco
          • Ion Torrent
          • Patheon
          • PPD
          • 服务条款
          • 隐私政策
          • 定价和运输保险政策
          © 2006-2026 Thermo Fisher Scientific Inc. All rights reserved. All trademarks are the property of Thermo Fisher Scientific and its subsidiaries unless otherwise specified.
          China flag icon
          China
          本网站销售的所有产品均不得用于人类或动物之临床诊断或治疗,仅可用于工业或者科研等非医疗目的。
             电子营业执照 | 经营证照公示 | ICP备案号:沪ICP备11003924号 | 沪公网安备 31011502006935号

          Your items have has been added!


          Host server : magellan-search-blue-55ff9ddd88-wdxjj:80/100.66.73.213:80.
          git-commit: d366ff9721d93504b2ac26a183b2b3e3d0e7d9ec
          git-url: https://github.com/thermofisher/magellan-search
          git-branch: release/2.42.0-2026.01.03-1.0