Hamburger Menu Button
Thermo Fisher Scientific Logo
登录
没有账号?建立账号 注册
  • 产品
    • 抗体
    • 引物合成
    • GeneArt Gene Synthesis Instant Designer
    • TaqMan Assay and Array Search
    • PCR 设备和耗材
    • 色谱柱和纯化柱
    • 实验室离心机
    • 分子生物学试剂和试剂盒
    • 实验室塑料耗材及用品
    • 查看所有产品分类
  • 应用和技术
    • 色谱
    • 细胞转染和培养
    • 实时荧光定量PCR
    • 质谱
    • 实验室塑料耗材及用品
    • 电子显微镜
    • 蛋白质生物学
    • PCR
    • RNAi
    • 环境
    • 查看所有应用和技术
  • 服务
    • 定制服务
    • 企业级实验室信息化服务
    • 金融&租赁服务
    • 仪器服务
    • OEM和商业供应
    • 培训服务
    • 360° CDMO 和 CRO 服务
    • CDMO 服务
    • 临床试验 CRO 服务
    • Unity Lab Services
    • 查看所有帮助和支持
  • 帮助和支持
    • 学习中心
    • 联系我们
    • 更改国家或地区
    • 查看所有帮助和支持
  • 热门产品
    • TaqMan Real-Time PCR Assays
      TaqMan 实时荧光定量 PCR 试剂盒
    • Antibodies
      抗体
    • Oligos, Primers & Probes
      寡核苷酸、引物、探针
    • GeneArt Gene Synthesis
      GeneArt 基因合成
    • Cell Culture Plastics
      细胞培养耗材
  • Who We Serve
    • 抗体治疗解决方案
    • 细胞与基因治疗解决方案
    • 学术科研
    • 工业与应用
  • 联系我们
  • 货号直购
  • 订单查询
  • 查找文件&证书
Thermo Fisher Scientific Logo

Search

搜索全部或下列指定分类
Search button
          • 联系我们
          • 货号直购
          • 登录
            登录
            没有账号?建立账号 注册
            • 我的账号
            • 订单
            • 会员中心
            • 账单及发票查询
            • 定制产品及项目
          • Primary Antibodies ›
          • SOX8/SOX9/SOX17/SOX18 Antibodies

          Invitrogen

          SOX8/SOX9/SOX17/SOX18 Polyclonal Antibody

          查看其他2个SOX8/SOX9/SOX17/SOX18抗体

          {{$productOrderCtrl.translations['antibody.pdp.commerceCard.promotion.promotions']}}

          {{$productOrderCtrl.translations['antibody.pdp.commerceCard.promotion.viewpromo']}}

          {{$productOrderCtrl.translations['antibody.pdp.commerceCard.promotion.promocode']}}: {{promo.promoCode}} {{promo.promoTitle}} {{promo.promoDescription}}. {{$productOrderCtrl.translations['antibody.pdp.commerceCard.promotion.learnmore']}}

          说明书
          证书
          实验方案
          问题与答案
          技术支持
          说明书
          证书
          实验方案
          问题与答案
          技术支持
          说明书
          证书
          实验方案
          问题与答案
          技术支持

          Cite SOX8/SOX9/SOX17/SOX18 Polyclonal Antibody

          Additional Information:
          {{banner.description}}
          {{$ctrl.isSkuNotesCollapsed ? 'View more' : 'View less'}}
          • 抗体检测数据 (4)
          SOX8/SOX9/SOX17/SOX18 Antibody in Immunohistochemistry (Paraffin) (IHC (P))
          Group 53 Created with Sketch.
          SOX8/SOX9/SOX17/SOX18 Antibody in Immunohistochemistry (Paraffin) (IHC (P))
          Group 53 Created with Sketch.

          图: 1 / 4

          {{ $ctrl.currentElement.advancedVerification.fullName }}
          {{ $ctrl.currentElement.advancedVerification.text }}

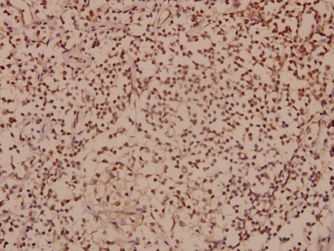
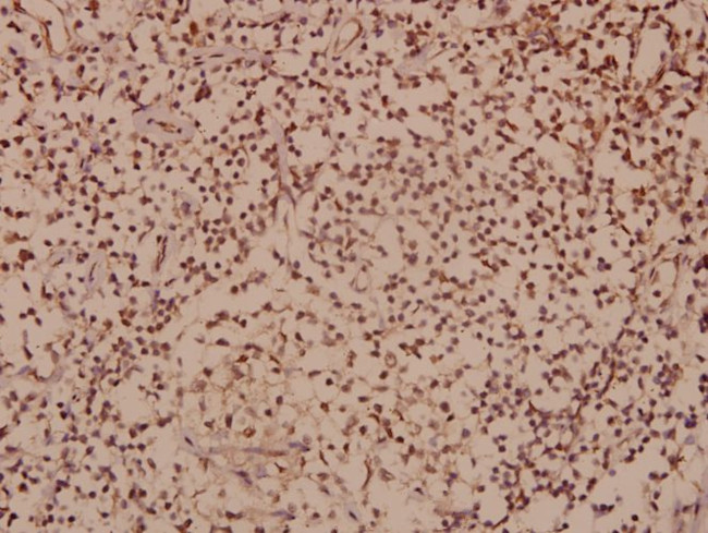
          SOX8/SOX9/SOX17/SOX18 Antibody (PA5-36315) in IHC (P)

          Immunohistochemistry analysis of SOX8/SOX9/SOX17/SOX18 in paraffin-embedded human colorectal carcinoma tissue. Samples were incubated with SOX8/SOX9/SOX17/SOX18 polyclonal antibody (Product # PA5-36315) at a dilution of 1:50. {{ $ctrl.currentElement.advancedVerification.fullName }} 验证信息 View more
          已发表图片由___提供 benchsci-logo
          PMID: {{$ctrl.currentElement.benchSciPubmedId}}
          查看产品

          {{$ctrl.videoDesc}}

          {{$ctrl.videoLongDesc}}

          SOX8/SOX9/SOX17/SOX18 Antibody in Immunohistochemistry (Paraffin) (IHC (P))
          SOX8/SOX9/SOX17/SOX18 Antibody in Immunohistochemistry (Paraffin) (IHC (P))
          SOX8/SOX9/SOX17/SOX18 Antibody in Western Blot (WB)
          SOX8/SOX9/SOX17/SOX18 Antibody in Western Blot (WB)
          SOX8/SOX9/SOX17/SOX18 Polyclonal Antibody

          产品信息

          PA5-36315

          应用
          建议稀释比
          已发表文章

          免疫印迹 (WB)

          1:500-1:1,000
          -

          免疫组化(石蜡) (IHC (P))

          1:50-1:200
          -
          产品规格

          种属反应

          Human, Mouse, Rat

          宿主/亚型

          Rabbit / IgG

          分类

          Polyclonal

          类型

          Antibody

          抗原

          Synthetic peptide corresponding to amino acids 120-170 of human Sox8
          3D表位/免疫原

          偶联物

          Unconjugated Unconjugated Unconjugated

          形式

          Liquid

          浓度

          1 mg/mL

          规格

          100 µg

          纯化类型

          Antigen affinity chromatography

          保存液

          PBS, pH 7.2

          内含物

          0.05% sodium azide

          保存条件

          Store at 4°C short term. For long term storage, store at -20°C, avoiding freeze/thaw cycles.

          运输条件

          Ambient (domestic); Wet ice (international)

          RRID

          AB_2553470

          产品详细信息

          This antibody detects endogenous protein at a molecular weight of 47 kDa.

          Purity is >95% by SDS-PAGE.

          靶标信息

          Sox genes comprise a family of genes that are related to the mammalian sex determining gene SRY. These genes similarly contain sequences that encode for the HMG-box domain, which is responsible for the sequence-specific DNA-binding activity. Sox genes encode putative transcriptional regulators implicated in the decision of cell fates during development and the control of diverse developmental processes. The highly complex group of Sox genes cluster at least 40 different loci that rapidly diverged in various animal lineages. At present, 30 Sox genes have been identified. Members of this family have been shown to be conserved during evolution and to play key roles during animal development. Some are involved in human diseases, including sex reversal.

          仅用于科研。不用于诊断过程。未经明确授权不得转售。

          篇参考文献 (0)

          您是否在文献中引用过该产品?请点击下方按钮邮件告知我们。
          引用该产品

          生物信息学

          蛋白别名: mSox9; ragged; SOX18; SOX9; SRY (sex determining region Y)-box 17; SRY (sex determining region Y)-box 18; SRY (sex determining region Y)-box 8; SRY (sex determining region Y)-box 9; SRY (sex determining region Y)-box 9 (campomelic dysplasia, autosomal sex-reversal); SRY (sex determining region Y)-box9; SRY (sex-determining region Y)-box 9 protein; SRY-box 17; SRY-box 18; SRY-box 8; SRY-box 9; SRY-box containing gene 17; SRY-box containing gene 18; SRY-box containing gene 8; SRY-box containing gene 9; Sry-related HMG-box gene 18; SRY-related HMG-box transcription factor SOX17; SRY-related HMG-box, gene 9; Transcription factor SOX-17; Transcription factor SOX-18; Transcription factor SOX-8; Transcription factor SOX-9; unnamed protein product

          查看更多 收起

          基因别名: 2010306G03Rik; AI385749; AV220920; CMD1; CMPD1; ENH13; HLTRS; HLTS; mKIAA4243; PPH7; Ra; Ragl; Sox-17; Sox-18; Sox-8; Sox-9; SOX17; SOX18; SOX8; SOX9; SRA1; SRXX2; SRXY10; TES; TESCO; VUR3

          查看更多 收起

          UniProt ID: (Human) Q9H6I2, (Human) P35713, (Human) P57073, (Human) P48436, (Mouse) Q61473, (Mouse) P43680, (Mouse) Q04886, (Rat) F1LYL9, (Mouse) Q04887

          查看更多 收起

          Entrez Gene ID: (Human) 64321, (Human) 54345, (Human) 30812, (Human) 6662, (Mouse) 20671, (Rat) 312936, (Rat) 311723, (Mouse) 20672, (Mouse) 20681, (Rat) 302993, (Rat) 140586, (Mouse) 20682

          查看更多 收起

          功能
          transcription regulatory region sequence-specific DNA binding RNA polymerase II core promoter proximal region sequence-specific DNA binding RNA polymerase II transcription factor activity, sequence-specific DNA binding transcriptional activator activity, RNA polymerase II transcription regulatory region sequence-specific binding DNA binding transcription factor activity, sequence-specific DNA binding protein binding beta-catenin binding sequence-specific DNA binding RNA polymerase II sequence-specific DNA binding transcription factor binding sequence-specific double-stranded DNA binding core promoter proximal region sequence-specific DNA binding DNA-binding transcription factor binding chromatin binding protein kinase A catalytic subunit binding bHLH transcription factor binding pre-mRNA intronic binding transcription factor activity, RNA polymerase II distal enhancer sequence-specific binding transcription coactivator activity transcription factor binding transcription regulatory region DNA binding protein heterodimerization activity molecular_function transcriptional activator activity, RNA polymerase II core promoter proximal region sequence-specific binding RNA polymerase II core promoter sequence-specific DNA binding core promoter sequence-specific DNA binding enhancer sequence-specific DNA binding protein kinase activity enhancer binding HMG box transcription factor
          参与通路
          angiogenesis vasculogenesis metanephros development endoderm formation endodermal cell fate specification inner cell mass cellular morphogenesis heart looping cardiogenic plate morphogenesis embryonic heart tube morphogenesis outflow tract morphogenesis regulation of transcription, DNA-templated regulation of transcription from RNA polymerase II promoter spermatogenesis gastrulation endoderm development endodermal cell fate determination heart development tissue development gene expression positive regulation of gene expression Wnt signaling pathway rostrocaudal neural tube patterning signal transduction involved in regulation of gene expression negative regulation of Wnt signaling pathway negative regulation of cell growth protein destabilization embryonic heart tube development endodermal cell differentiation cell migration involved in gastrulation response to alkaloid regulation of cell differentiation positive regulation of protein catabolic process positive regulation of transcription, DNA-templated positive regulation of transcription from RNA polymerase II promoter regulation of embryonic development embryonic organ development embryonic foregut morphogenesis anatomical structure formation involved in morphogenesis stem cell differentiation stem cell fate specification protein stabilization endocardium formation cardiac cell fate determination heart formation endocardial cell differentiation common bile duct development gall bladder development endodermal digestive tract morphogenesis regulation of stem cell proliferation ureter development negative regulation of canonical Wnt signaling pathway positive regulation of endodermal cell differentiation cellular response to leukemia inhibitory factor regulation of stem cell division regulation of cardiac cell fate specification positive regulation of stem cell differentiation negative regulation of transcription from RNA polymerase II promoter blood vessel development in utero embryonic development hair follicle development vasculature development lymph vessel development lymphangiogenesis hair cycle process blood vessel endothelial cell migration negative regulation of transcription, DNA-templated cell maturation lymphatic endothelial cell differentiation establishment of endothelial barrier osteoblast differentiation neural crest cell migration morphogenesis of an epithelium signal transduction peripheral nervous system development male gonad development regulation of hormone levels positive regulation of gliogenesis neural crest cell development positive regulation of osteoblast proliferation skeletal muscle cell differentiation negative regulation of apoptotic process cell fate commitment fat cell differentiation negative regulation of myoblast differentiation negative regulation of photoreceptor cell differentiation enteric nervous system development oligodendrocyte differentiation Sertoli cell development astrocyte fate commitment retina development in camera-type eye retinal rod cell differentiation adipose tissue development morphogenesis of a branching epithelium renal vesicle induction ureter morphogenesis metanephric nephron tubule formation positive regulation of kidney development positive regulation of branching involved in ureteric bud morphogenesis skeletal system development cartilage condensation ossification branching involved in ureteric bud morphogenesis cell fate specification epithelial to mesenchymal transition tissue homeostasis positive regulation of mesenchymal cell proliferation chondrocyte differentiation chondrocyte development glandular epithelial cell differentiation negative regulation of immune system process heart valve development heart valve morphogenesis aortic valve morphogenesis heart valve formation endocardial cushion morphogenesis chondrocyte differentiation involved in endochondral bone morphogenesis chondrocyte hypertrophy growth plate cartilage chondrocyte growth nucleosome assembly chromatin remodeling transcription from RNA polymerase II promoter apoptotic process cytoskeleton organization epidermal growth factor receptor signaling pathway Notch signaling pathway central nervous system development cell proliferation positive regulation of cell proliferation mesenchymal cell proliferation regulation of gene expression regulation of cell cycle process negative regulation of gene expression positive regulation of epithelial cell migration neural crest cell fate specification male germ-line sex determination glial cell fate specification cell differentiation regulation of cell adhesion extracellular matrix organization male sex determination negative regulation of ossification bone mineralization negative regulation of bone mineralization prostate gland development negative regulation of epithelial cell differentiation positive regulation of epithelial cell differentiation mammary gland development notochord development otic vesicle formation endocrine pancreas development negative regulation of chondrocyte differentiation positive regulation of chondrocyte differentiation lacrimal gland development protein localization to nucleus somatic stem cell population maintenance intrahepatic bile duct development regulation of cell proliferation regulation of apoptotic process negative regulation of osteoblast differentiation negative regulation of fatty acid oxidation neuron fate specification homeostasis of number of cells within a tissue epithelial cell proliferation positive regulation of epithelial cell proliferation negative regulation of epithelial cell proliferation cartilage development Sertoli cell differentiation canonical Wnt signaling pathway limb bud formation endochondral bone morphogenesis epithelial tube branching involved in lung morphogenesis lung epithelial cell differentiation Type I pneumocyte differentiation prostate gland morphogenesis epithelial cell proliferation involved in prostatic bud elongation bronchus cartilage development trachea cartilage development intestinal epithelial cell differentiation intestinal epithelial structure maintenance regulation of cell proliferation involved in tissue homeostasis positive regulation of cartilage development regulation of branching involved in lung morphogenesis lung smooth muscle development cell proliferation involved in heart morphogenesis protein-containing complex assembly negative regulation of biomineral tissue development ERK1 and ERK2 cascade Harderian gland development response to fatty acid cellular response to mechanical stimulus cellular response to retinoic acid cellular response to interleukin-1 cellular response to epidermal growth factor stimulus cellular response to heparin cellular response to transforming growth factor beta stimulus otic vesicle development cellular response to BMP stimulus stem cell proliferation metanephric tubule development ureter urothelium development ureter smooth muscle cell differentiation extracellular matrix assembly cochlea morphogenesis anterior head development mesenchymal cell apoptotic process cell-cell adhesion positive regulation of extracellular matrix assembly positive regulation of chondrocyte proliferation negative regulation of pri-miRNA transcription from RNA polymerase II promoter negative regulation of beta-catenin-TCF complex assembly positive regulation of male gonad development positive regulation of cell proliferation involved in heart morphogenesis positive regulation of stem cell proliferation positive regulation of mesenchymal stem cell differentiation regulation of epithelial cell proliferation involved in lung morphogenesis negative regulation of mesenchymal cell apoptotic process negative regulation of Wnt signaling pathway involved in heart development transcription, DNA-templated regulation of mesodermal cell fate specification negative regulation of mesodermal cell fate specification mRNA transcription from RNA polymerase II promoter positive regulation of cell differentiation positive regulation of skeletal muscle tissue development regulation of transcription from RNA polymerase II promoter involved in definitive endodermal cell fate specification renal system development biological_process positive regulation of protein phosphorylation protein complex assembly protein phosphorylation negative regulation of cell proliferation positive regulation of phosphatidylinositol 3-kinase signaling single organismal cell-cell adhesion cAMP-mediated signaling protein kinase B signaling
          It has to be done as per old AB suggested Products section.

          Disclaimer

          Close

          Clicking the images or links will redirect you to a website hosted by BenchSci that provides third-party scientific content. Neither the content nor the BenchSci technology and processes for selection have been evaluated by us; we are providing them as-is and without warranty of any kind, including for use or application of the Thermo Fisher Scientific products presented.

          guarantee_icon

          性能保障

          只要您发现Invitrogen抗体在实验中的表现与网站或说明书的所述内容不符,您即可享受免费退换货服务。*

          了解更多
          help_icon

          随时为您服务

          获取常见问题的专家解答,或者直接联系我们的技术专家,咨询应用、设备、常规产品使用问题。

          联系技术支持
          订购 Plus Icon Minus Icon
          • 订单状态查询
          • 订单支持
          • 货号直购
          • 现货供应中心
          • 电子采购
          支持 Plus Icon Minus Icon
          • 帮助&支持
          • 联系我们 - 400 820 8982
          • 技术支持中心
          • 查找文件&证书
          • 报告网站问题
          资源 Plus Icon Minus Icon
          • 学习中心
          • 促销
          • 活动&研讨会
          • 社交媒体
          关于赛默飞 Plus Icon Minus Icon
          • 关于我们
          • 招聘 招聘
          • 投资者关系 投资者关系
          • 新闻 新闻
          • 社会责任 社会责任
          • 商标
          • 政策和通知
          品牌 Plus Icon Minus Icon
          • Thermo Scientific
          • Applied Biosystems
          • Invitrogen
          • Gibco
          • Ion Torrent
          • Unity Lab Services
          • Patheon
          • PPD
          • 服务条款
          • 隐私政策
          • 定价和运输保险政策
          © 2006-2026 Thermo Fisher Scientific Inc. All rights reserved. All trademarks are the property of Thermo Fisher Scientific and its subsidiaries unless otherwise specified.
          China flag icon
          China
          本网站销售的所有产品均不得用于人类或动物之临床诊断或治疗,仅可用于工业或者科研等非医疗目的。
             电子营业执照 | 经营证照公示 | ICP备案号:沪ICP备11003924号 | 沪公网安备 31011502006935号

          Your items have has been added!


          Host server : magellan-search-green-6479c7f679-zb4k5:80/100.66.74.142:80.
          git-commit: b70c0dceb888abc3b0dcebb5bc3a5b8753e7e816
          git-url: https://github.com/thermofisher/magellan-search
          git-branch: release/2.50.0-Offline