Hamburger Menu Button
Thermo Fisher Scientific Logo
登录
没有账号?建立账号 注册
  • 产品
    • 抗体
    • 引物合成
    • GeneArt Gene Synthesis Instant Designer
    • TaqMan Assay and Array Search
    • PCR 设备和耗材
    • 色谱柱和纯化柱
    • 实验室离心机
    • 分子生物学试剂和试剂盒
    • 实验室塑料耗材及用品
    • 查看所有产品分类
  • 应用和技术
    • 色谱
    • 细胞转染和培养
    • 实时荧光定量PCR
    • 质谱
    • 实验室塑料耗材及用品
    • 电子显微镜
    • 蛋白质生物学
    • PCR
    • RNAi
    • 环境
    • 查看所有应用和技术
  • 服务
    • 定制服务
    • 企业级实验室信息化服务
    • 金融&租赁服务
    • 仪器服务
    • OEM和商业供应
    • 培训服务
    • 360° CDMO 和 CRO 服务
    • CDMO 服务
    • 临床试验 CRO 服务
    • Unity Lab Services
    • 查看所有帮助和支持
  • 帮助和支持
    • 学习中心
    • 联系我们
    • 更改国家或地区
    • 查看所有帮助和支持
  • 热门产品
    • TaqMan Real-Time PCR Assays
      TaqMan 实时荧光定量 PCR 试剂盒
    • Antibodies
      抗体
    • Oligos, Primers & Probes
      寡核苷酸、引物、探针
    • GeneArt Gene Synthesis
      GeneArt 基因合成
    • Cell Culture Plastics
      细胞培养耗材
  • Who We Serve
    • 抗体治疗解决方案
    • 细胞与基因治疗解决方案
    • 学术科研
    • 工业与应用
  • 联系我们
  • 货号直购
  • 订单查询
  • 查找文件&证书
Thermo Fisher Scientific Logo

Search

搜索全部或下列指定分类
Search button
          • 联系我们
          • 货号直购
          • 登录
            登录
            没有账号?建立账号 注册
            • 我的账号
            • 订单
            • 会员中心
            • 账单及发票查询
            • 定制产品及项目
          • Primary Antibodies ›
          • SOX9 Antibodies

          NeoBiotechnologies

          SOX9/SRY-box 9 Monoclonal Antibody (SOX9/2387)

          查看其他49个SOX9抗体

          {{$productOrderCtrl.translations['antibody.pdp.commerceCard.promotion.promotions']}}

          {{$productOrderCtrl.translations['antibody.pdp.commerceCard.promotion.viewpromo']}}

          {{$productOrderCtrl.translations['antibody.pdp.commerceCard.promotion.promocode']}}: {{promo.promoCode}} {{promo.promoTitle}} {{promo.promoDescription}}. {{$productOrderCtrl.translations['antibody.pdp.commerceCard.promotion.learnmore']}}

          说明书
          证书
          实验方案
          问题与答案
          技术支持
          说明书
          证书
          实验方案
          问题与答案
          技术支持
          说明书
          证书
          实验方案
          问题与答案
          技术支持

          Cite SOX9/SRY-box 9 Monoclonal Antibody (SOX9/2387)

          Additional Information:
          {{banner.description}}
          {{$ctrl.isSkuNotesCollapsed ? 'View more' : 'View less'}}
          • 抗体检测数据 (7)
          SOX9/SRY-box 9 Antibody in Immunohistochemistry (Paraffin) (IHC (P))
          Group 53 Created with Sketch.
          SOX9/SRY-box 9 Antibody in Immunohistochemistry (Paraffin) (IHC (P))
          Group 53 Created with Sketch.

          图: 1 / 7

          {{ $ctrl.currentElement.advancedVerification.fullName }}
          {{ $ctrl.currentElement.advancedVerification.text }}

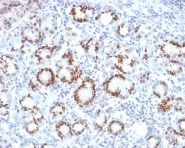
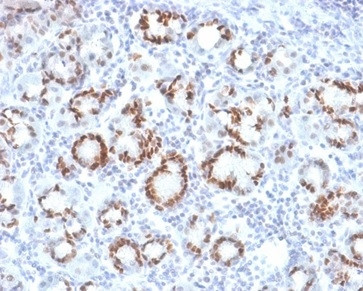
          SOX9/SRY-box 9 Antibody (6662-MSM7-P1ABX) in IHC (P)

          Formalin-fixed, paraffin-embedded human gastric carcinoma stained with SOX9 Mouse Monoclonal Antibody (SOX9/2387) at 2 µg/mL. HIER: Tris/EDTA, pH9.0, 45 min. 2 °: HRP-polymer, 30 min. DAB, 5 min. {{ $ctrl.currentElement.advancedVerification.fullName }} 验证信息 View more
          已发表图片由___提供 benchsci-logo
          PMID: {{$ctrl.currentElement.benchSciPubmedId}}
          查看产品

          {{$ctrl.videoDesc}}

          {{$ctrl.videoLongDesc}}

          SOX9/SRY-box 9 Antibody in Immunohistochemistry (Paraffin) (IHC (P))
          SOX9/SRY-box 9 Antibody in Immunohistochemistry (Paraffin) (IHC (P))
          SOX9/SRY-box 9 Antibody in Immunohistochemistry (Paraffin) (IHC (P))
          SOX9/SRY-box 9 Antibody in Immunohistochemistry (Paraffin) (IHC (P))
          SOX9/SRY-box 9 Antibody in Western Blot (WB)
          SOX9/SRY-box 9 Antibody in Peptide array (ARRAY)
          SOX9/SRY-box 9 Antibody in SDS-PAGE (SDS-PAGE)
          SOX9/SRY-box 9 Monoclonal Antibody (SOX9/2387)

          产品信息

          6662-MSM7-P1ABX

          应用
          建议稀释比
          已发表文章

          免疫印迹 (WB)

          1-2 µg/mL
          -

          免疫组化(石蜡) (IHC (P))

          2 µg/mL
          -

          免疫组织化学(多聚甲醛固定) (IHC (PFA))

          1-2 µg/mL
          -

          肽阵列 (Array)

          Assay-dependent
          -
          产品规格

          种属反应

          Human

          宿主/亚型

          Mouse / IgG1, kappa

          分类

          Monoclonal

          类型

          Antibody

          克隆号

          SOX9/2387

          抗原

          Recombinant human SOX9 protein fragment (around aa 393-508).
          3D表位/免疫原

          偶联物

          Unconjugated Unconjugated Unconjugated

          形式

          Liquid

          浓度

          1 mg/mL

          规格

          100 µg

          纯化类型

          Protein A/G

          保存液

          PBS, pH 7.4

          内含物

          no preservative

          保存条件

          -20°C, Avoid Freeze/Thaw Cycles

          运输条件

          Ambient (domestic); Wet ice (international)

          靶标信息

          SOX9 has a role in sex determination and differentiation of Sertoli cells. It is involved in chondrogenesis and regulates the expression of other genes involved in chondrogenesis by acting as a transcription factor for these genes. Translocation of this gene can cause campomelic dysplasia. SOX9 is involved in the formation of testes from the indifferent fetal gonads. It is a major molecular component of the neuron-glia switch in developing spinal cord. During normal development, SOX9 allows the prostate epithelium to outgrow into the mesenchyme and then provides basal cell support for development and maintenance of the luminal epithelium. These functions of SOX9 are subverted in prostate cancer to support tumor growth and invasion. SOX9 may direct the formation of neural crest precursors and the development of a range of neural crest derivative. It has a transcriptional regulation in melanin production in cells. Northern blot analysis shows its expression on adult testis, adult heart, and fetal brain.

          仅用于科研。不用于诊断过程。未经明确授权不得转售。

          篇参考文献 (0)

          您是否在文献中引用过该产品?请点击下方按钮邮件告知我们。
          引用该产品

          生物信息学

          蛋白别名: SOX 9; SOX9; SRY (sex determining region Y)-box9; SRY (sex-determining region Y)-box 9 protein; SRY-box 9; SRY-Box 9 ; SRY-related HMG-box, gene 9; Transcription factor SOX-9; unnamed protein product

          查看更多 收起

          基因别名: CMD1; CMPD1; ENH13; SOX9; SRA1; SRXX2; SRXY10; TES; TESCO

          查看更多 收起

          UniProt ID: (Human) P48436

          查看更多 收起

          Entrez Gene ID: (Human) 6662

          查看更多 收起

          功能
          transcription regulatory region sequence-specific DNA binding RNA polymerase II core promoter proximal region sequence-specific DNA binding RNA polymerase II transcription factor activity, sequence-specific DNA binding core promoter proximal region sequence-specific DNA binding transcriptional activator activity, RNA polymerase II transcription regulatory region sequence-specific binding DNA binding chromatin binding transcription factor activity, sequence-specific DNA binding protein binding beta-catenin binding protein kinase A catalytic subunit binding bHLH transcription factor binding sequence-specific DNA binding pre-mRNA intronic binding sequence-specific double-stranded DNA binding
          参与通路
          negative regulation of transcription from RNA polymerase II promoter skeletal system development cartilage condensation ossification branching involved in ureteric bud morphogenesis cell fate specification epithelial to mesenchymal transition tissue homeostasis hair follicle development morphogenesis of an epithelium positive regulation of mesenchymal cell proliferation chondrocyte differentiation chondrocyte development glandular epithelial cell differentiation negative regulation of immune system process heart valve development heart valve morphogenesis aortic valve morphogenesis heart valve formation endocardial cushion morphogenesis chondrocyte differentiation involved in endochondral bone morphogenesis chondrocyte hypertrophy growth plate cartilage chondrocyte growth nucleosome assembly chromatin remodeling regulation of transcription from RNA polymerase II promoter transcription from RNA polymerase II promoter apoptotic process cytoskeleton organization signal transduction epidermal growth factor receptor signaling pathway Notch signaling pathway spermatogenesis central nervous system development heart development cell proliferation positive regulation of cell proliferation male gonad development mesenchymal cell proliferation gene expression regulation of gene expression regulation of cell cycle process positive regulation of gene expression negative regulation of gene expression positive regulation of epithelial cell migration neural crest cell development neural crest cell fate specification male germ-line sex determination glial cell fate specification cell differentiation regulation of cell adhesion extracellular matrix organization male sex determination negative regulation of ossification bone mineralization negative regulation of bone mineralization prostate gland development negative regulation of epithelial cell differentiation positive regulation of epithelial cell differentiation mammary gland development notochord development otic vesicle formation endocrine pancreas development negative regulation of chondrocyte differentiation positive regulation of chondrocyte differentiation lacrimal gland development protein localization to nucleus somatic stem cell population maintenance intrahepatic bile duct development regulation of cell proliferation regulation of apoptotic process negative regulation of apoptotic process cell fate commitment regulation of cell differentiation negative regulation of myoblast differentiation negative regulation of osteoblast differentiation positive regulation of protein catabolic process negative regulation of transcription, DNA-templated positive regulation of transcription, DNA-templated positive regulation of transcription from RNA polymerase II promoter negative regulation of fatty acid oxidation negative regulation of photoreceptor cell differentiation neuron fate specification oligodendrocyte differentiation homeostasis of number of cells within a tissue epithelial cell proliferation positive regulation of epithelial cell proliferation negative regulation of epithelial cell proliferation cartilage development Sertoli cell differentiation Sertoli cell development astrocyte fate commitment retina development in camera-type eye canonical Wnt signaling pathway limb bud formation retinal rod cell differentiation endochondral bone morphogenesis epithelial tube branching involved in lung morphogenesis lung epithelial cell differentiation Type I pneumocyte differentiation prostate gland morphogenesis epithelial cell proliferation involved in prostatic bud elongation bronchus cartilage development trachea cartilage development intestinal epithelial cell differentiation intestinal epithelial structure maintenance regulation of cell proliferation involved in tissue homeostasis positive regulation of cartilage development regulation of branching involved in lung morphogenesis morphogenesis of a branching epithelium lung smooth muscle development cell proliferation involved in heart morphogenesis protein-containing complex assembly negative regulation of biomineral tissue development ERK1 and ERK2 cascade Harderian gland development response to fatty acid cellular response to mechanical stimulus cellular response to retinoic acid cellular response to interleukin-1 cellular response to epidermal growth factor stimulus cellular response to heparin cellular response to transforming growth factor beta stimulus otic vesicle development cellular response to BMP stimulus renal vesicle induction stem cell proliferation metanephric tubule development ureter development ureter urothelium development ureter smooth muscle cell differentiation ureter morphogenesis metanephric nephron tubule formation extracellular matrix assembly negative regulation of canonical Wnt signaling pathway cochlea morphogenesis positive regulation of kidney development positive regulation of branching involved in ureteric bud morphogenesis anterior head development mesenchymal cell apoptotic process cell-cell adhesion positive regulation of extracellular matrix assembly positive regulation of chondrocyte proliferation negative regulation of pri-miRNA transcription from RNA polymerase II promoter negative regulation of beta-catenin-TCF complex assembly positive regulation of male gonad development positive regulation of cell proliferation involved in heart morphogenesis positive regulation of stem cell proliferation positive regulation of mesenchymal stem cell differentiation regulation of epithelial cell proliferation involved in lung morphogenesis negative regulation of mesenchymal cell apoptotic process
          It has to be done as per old AB suggested Products section.

          Disclaimer

          Close

          Clicking the images or links will redirect you to a website hosted by BenchSci that provides third-party scientific content. Neither the content nor the BenchSci technology and processes for selection have been evaluated by us; we are providing them as-is and without warranty of any kind, including for use or application of the Thermo Fisher Scientific products presented.

          guarantee_icon

          性能保障

          只要您发现Invitrogen抗体在实验中的表现与网站或说明书的所述内容不符,您即可享受免费退换货服务。*

          了解更多
          help_icon

          随时为您服务

          获取常见问题的专家解答,或者直接联系我们的技术专家,咨询应用、设备、常规产品使用问题。

          联系技术支持
          订购 Plus Icon Minus Icon
          • 订单状态查询
          • 订单支持
          • 货号直购
          • 现货供应中心
          • 电子采购
          支持 Plus Icon Minus Icon
          • 帮助&支持
          • 联系我们 - 400 820 8982
          • 技术支持中心
          • 查找文件&证书
          • 报告网站问题
          资源 Plus Icon Minus Icon
          • 学习中心
          • 促销
          • 活动&研讨会
          • 社交媒体
          关于赛默飞 Plus Icon Minus Icon
          • 关于我们
          • 招聘 招聘
          • 投资者关系 投资者关系
          • 新闻 新闻
          • 社会责任 社会责任
          • 商标
          • 政策和通知
          品牌 Plus Icon Minus Icon
          • Thermo Scientific
          • Applied Biosystems
          • Invitrogen
          • Gibco
          • Ion Torrent
          • Unity Lab Services
          • Patheon
          • PPD
          • 服务条款
          • 隐私政策
          • 定价和运输保险政策
          © 2006-2026 Thermo Fisher Scientific Inc. All rights reserved. All trademarks are the property of Thermo Fisher Scientific and its subsidiaries unless otherwise specified.
          China flag icon
          China
          本网站销售的所有产品均不得用于人类或动物之临床诊断或治疗,仅可用于工业或者科研等非医疗目的。
             电子营业执照 | 经营证照公示 | ICP备案号:沪ICP备11003924号 | 沪公网安备 31011502006935号

          Your items have has been added!


          Host server : magellan-search-green-6479c7f679-zb4k5:80/100.66.74.142:80.
          git-commit: b70c0dceb888abc3b0dcebb5bc3a5b8753e7e816
          git-url: https://github.com/thermofisher/magellan-search
          git-branch: release/2.50.0-Offline