Hamburger Menu Button
Thermo Fisher Scientific Logo
登录
没有账号?建立账号 注册
  • 产品
    • 抗体
    • 引物合成
    • GeneArt Gene Synthesis Instant Designer
    • TaqMan Assay and Array Search
    • PCR 设备和耗材
    • 色谱柱和纯化柱
    • 实验室离心机
    • 分子生物学试剂和试剂盒
    • 实验室塑料耗材及用品
    • 查看所有产品分类
  • 应用和技术
    • 色谱
    • 细胞转染和培养
    • 实时荧光定量PCR
    • 质谱
    • 实验室塑料耗材及用品
    • 电子显微镜
    • 蛋白质生物学
    • PCR
    • RNAi
    • 环境
    • 查看所有应用和技术
  • 服务
    • 定制服务
    • 企业级实验室信息化服务
    • 金融&租赁服务
    • 仪器服务
    • OEM和商业供应
    • 培训服务
    • 360° CDMO 和 CRO 服务
    • CDMO 服务
    • 临床试验 CRO 服务
    • Unity Lab Services
    • 查看所有帮助和支持
  • 帮助和支持
    • 学习中心
    • 联系我们
    • 更改国家或地区
    • 查看所有帮助和支持
  • 热门产品
    • TaqMan Real-Time PCR Assays
      TaqMan 实时荧光定量 PCR 试剂盒
    • Antibodies
      抗体
    • Oligos, Primers & Probes
      寡核苷酸、引物、探针
    • GeneArt Gene Synthesis
      GeneArt 基因合成
    • Cell Culture Plastics
      细胞培养耗材
  • Who We Serve
    • 抗体治疗解决方案
    • 细胞与基因治疗解决方案
    • 学术科研
    • 工业与应用
  • 联系我们
  • 货号直购
  • 订单查询
  • 查找文件&证书
Thermo Fisher Scientific Logo

Search

搜索全部或下列指定分类
Search button
          • 联系我们
          • 货号直购
          • 登录
            登录
            没有账号?建立账号 注册
            • 我的账号
            • 订单
            • 会员中心
            • 账单及发票查询
            • 定制产品及项目
          • Primary Antibodies ›
          • SQSTM1 Antibodies

          OriGene

          SQSTM1 Monoclonal Antibody (UMAB12), UltraMAB™

          高级验证
          查看其他53个SQSTM1抗体

          {{$productOrderCtrl.translations['antibody.pdp.commerceCard.promotion.promotions']}}

          {{$productOrderCtrl.translations['antibody.pdp.commerceCard.promotion.viewpromo']}}

          {{$productOrderCtrl.translations['antibody.pdp.commerceCard.promotion.promocode']}}: {{promo.promoCode}} {{promo.promoTitle}} {{promo.promoDescription}}. {{$productOrderCtrl.translations['antibody.pdp.commerceCard.promotion.learnmore']}}

          说明书
          证书
          实验方案
          问题与答案
          技术支持
          说明书
          证书
          实验方案
          问题与答案
          技术支持
          说明书
          证书
          实验方案
          问题与答案
          技术支持

          Cite SQSTM1 Monoclonal Antibody (UMAB12), UltraMAB™

          Additional Information:
          {{banner.description}}
          {{$ctrl.isSkuNotesCollapsed ? 'View more' : 'View less'}}
          • 抗体检测数据 (23)
          • 高级验证 (1)
          SQSTM1 Antibody in Immunocytochemistry (ICC/IF)
          Group 53 Created with Sketch.
          SQSTM1 Antibody in Immunocytochemistry (ICC/IF)
          Group 53 Created with Sketch.

          图: 1 / 24

          {{ $ctrl.currentElement.advancedVerification.fullName }}
          {{ $ctrl.currentElement.advancedVerification.text }}

          SQSTM1 Antibody (UM500012CF) in ICC/IF

          Immunofluorescent staining of 293T cells transfected by pCMV6-ENTRY SQSTM1(RC203214) using anti-SQSTM1 antibody (UM500012/green, upper left; DAPI/blue, lower left; MERGED, upper right). 293T cells transfected with empty vector served as a negative control (MERGED, lower right). (1:100) {{ $ctrl.currentElement.advancedVerification.fullName }} 验证信息 View more
          已发表图片由___提供 benchsci-logo
          PMID: {{$ctrl.currentElement.benchSciPubmedId}}
          查看产品

          {{$ctrl.videoDesc}}

          {{$ctrl.videoLongDesc}}

          SQSTM1 Antibody in Immunocytochemistry (ICC/IF)
          SQSTM1 Antibody in Immunocytochemistry (ICC/IF)
          SQSTM1 Antibody in Immunocytochemistry (ICC/IF)
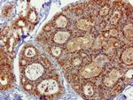
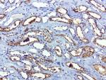
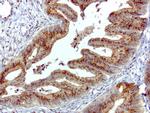
          SQSTM1 Antibody in Immunohistochemistry (Paraffin) (IHC (P))
          SQSTM1 Antibody in Immunohistochemistry (Paraffin) (IHC (P))
          SQSTM1 Antibody in Immunohistochemistry (Paraffin) (IHC (P))
          SQSTM1 Antibody in Immunohistochemistry (Paraffin) (IHC (P))
          SQSTM1 Antibody in Immunohistochemistry (Paraffin) (IHC (P))
          SQSTM1 Antibody in Immunohistochemistry (Paraffin) (IHC (P))
          SQSTM1 Antibody in Immunohistochemistry (Paraffin) (IHC (P))
          SQSTM1 Antibody in Immunohistochemistry (Paraffin) (IHC (P))
          SQSTM1 Antibody in Immunohistochemistry (Paraffin) (IHC (P))
          SQSTM1 Antibody in Immunohistochemistry (Paraffin) (IHC (P))
          SQSTM1 Antibody in Immunohistochemistry (Paraffin) (IHC (P))
          SQSTM1 Antibody in Immunohistochemistry (Paraffin) (IHC (P))
          SQSTM1 Antibody in Immunohistochemistry (Paraffin) (IHC (P))
          SQSTM1 Antibody in Western Blot (WB)
          SQSTM1 Antibody in Western Blot (WB)
          SQSTM1 Antibody in Western Blot (WB)
          SQSTM1 Antibody in Western Blot (WB)
          SQSTM1 Antibody in Flow Cytometry (Flow)
          SQSTM1 Antibody in Flow Cytometry (Flow)
          SQSTM1 Antibody in Flow Cytometry (Flow)
          SQSTM1 Antibody
          SQSTM1 Monoclonal Antibody (UMAB12), UltraMAB™

          产品信息

          UM500012CF

          应用
          建议稀释比
          已发表文章

          免疫印迹 (WB)

          1:500-1:2,000
          -

          免疫组化(石蜡) (IHC (P))

          1:150
          -

          免疫细胞化学 (ICC/IF)

          1:100
          -

          流式细胞分析 (Flow)

          Assay-dependent
          -
          产品规格

          种属反应

          Human

          宿主/亚型

          Mouse / IgG2b

          分类

          Monoclonal

          类型

          Antibody

          克隆号

          UMAB12

          抗原

          Full length human recombinant protein of human SQSTM1 produced in HEK293T cell.
          3D表位/免疫原

          偶联物

          Unconjugated Unconjugated Unconjugated

          形式

          Lyophilized

          浓度

          1 mg/mL

          规格

          100 µg

          纯化类型

          Affinity chromatography

          保存液

          PBS with 8% trehalose

          内含物

          no preservative

          保存条件

          -20°C, Avoid Freeze/Thaw Cycles

          运输条件

          Ambient (domestic); Wet ice (international)

          产品详细信息

          For reconstitution, we recommend adding 100 µL distilled water to a final antibody concentration of about 1 mg/mL. To use this carrier-free antibody for conjugation experiments, we strongly recommend performing another round of desalting. (Zeba Spin Desalting Columns, 7KMWCO, 0.5 mL, Product # 89882)

          靶标信息

          This gene encodes a multifunctional protein that binds ubiquitin and regulates activation of the nuclear factor kappa-B signaling pathway. The protein functions as a scaffolding/adaptor protein in concert with TNF receptor-associated factor 6 to mediate activation of NF-kB in response to upstream signals. Alternatively spliced transcript variants encoding either the same or different isoforms have been identified for this gene. Mutations in this gene result in sporadic and familial Paget disease of bone.

          仅用于科研。不用于诊断过程。未经明确授权不得转售。

          篇参考文献 (0)

          您是否在文献中引用过该产品?请点击下方按钮邮件告知我们。
          引用该产品

          生物信息学

          蛋白别名: autophagy receptor p62; EBI3-associated protein of 60 kDa; EBI3-associated protein p60; EBIAP; oxidative stress induced like; p62; p62 transcript variant 4; p62 transcript variant 5; phosphotyrosine independent ligand for the Lck SH2 domain p62; Phosphotyrosine-independent ligand for the Lck SH2 domain of 62 kDa; Sequestosome-1; Ubiquitin-binding protein p62; unnamed protein product

          查看更多 收起

          基因别名: A170; DMRV; EBIAP; FTDALS3; NADGP; ORCA; OSIL; p60; p62; p62B; PDB3; SQSTM1; ZIP3

          查看更多 收起

          UniProt ID: (Human) Q13501

          查看更多 收起

          Entrez Gene ID: (Human) 8878

          查看更多 收起

          功能
          protein kinase C binding protein binding zinc ion binding enzyme binding protein kinase binding protein binding, bridging receptor tyrosine kinase binding ubiquitin protein ligase binding ionotropic glutamate receptor binding signaling receptor activity SH2 domain binding identical protein binding ubiquitin binding macromolecular complex binding metal ion binding K63-linked polyubiquitin binding ubiquitin-dependent protein binding protein sequestering activity molecular sequestering activity molecular condensate scaffold activity
          参与通路
          negative regulation of transcription from RNA polymerase II promoter mitophagy mitophagy pexophagy temperature homeostasis immune system process response to ischemia transcription from RNA polymerase II promoter ubiquitin-dependent protein catabolic process protein import into nucleus autophagy apoptotic process endosome organization protein localization positive regulation of autophagy regulation of mitochondrion organization endosomal transport macroautophagy cell differentiation protein catabolic process negative regulation of protein ubiquitination cellular response to stress toll-like receptor 4 signaling pathway negative regulation of toll-like receptor 4 signaling pathway intracellular signal transduction aggrephagy positive regulation of apoptotic process regulation of I-kappaB kinase/NF-kappaB signaling positive regulation of transcription from RNA polymerase II promoter regulation of Ras protein signal transduction regulation of protein complex stability brown fat cell proliferation protein K63-linked ubiquitination protein targeting to vacuole involved in autophagy energy homeostasis response to mitochondrial depolarisation negative regulation of ferroptosis membraneless organelle assembly positive regulation of long-term synaptic potentiation positive regulation of protein localization to plasma membrane protein localization to perinuclear region of cytoplasm
          It has to be done as per old AB suggested Products section.

          Disclaimer

          Close

          Clicking the images or links will redirect you to a website hosted by BenchSci that provides third-party scientific content. Neither the content nor the BenchSci technology and processes for selection have been evaluated by us; we are providing them as-is and without warranty of any kind, including for use or application of the Thermo Fisher Scientific products presented.

          guarantee_icon

          性能保障

          只要您发现Invitrogen抗体在实验中的表现与网站或说明书的所述内容不符,您即可享受免费退换货服务。*

          了解更多
          help_icon

          随时为您服务

          获取常见问题的专家解答,或者直接联系我们的技术专家,咨询应用、设备、常规产品使用问题。

          联系技术支持
          订购 Plus Icon Minus Icon
          • 订单状态查询
          • 订单支持
          • 货号直购
          • 现货供应中心
          • 电子采购
          支持 Plus Icon Minus Icon
          • 帮助&支持
          • 联系我们 - 400 820 8982
          • 技术支持中心
          • 查找文件&证书
          • 报告网站问题
          资源 Plus Icon Minus Icon
          • 学习中心
          • 促销
          • 活动&研讨会
          • 社交媒体
          关于赛默飞 Plus Icon Minus Icon
          • 关于我们
          • 招聘 招聘
          • 投资者关系 投资者关系
          • 新闻 新闻
          • 社会责任 社会责任
          • 商标
          • 政策和通知
          品牌 Plus Icon Minus Icon
          • Thermo Scientific
          • Applied Biosystems
          • Invitrogen
          • Gibco
          • Ion Torrent
          • Unity Lab Services
          • Patheon
          • PPD
          • 服务条款
          • 隐私政策
          • 定价和运输保险政策
          © 2006-2026 Thermo Fisher Scientific Inc. All rights reserved. All trademarks are the property of Thermo Fisher Scientific and its subsidiaries unless otherwise specified.
          China flag icon
          China
          本网站销售的所有产品均不得用于人类或动物之临床诊断或治疗,仅可用于工业或者科研等非医疗目的。
             电子营业执照 | 经营证照公示 | ICP备案号:沪ICP备11003924号 | 沪公网安备 31011502006935号

          Your items have has been added!


          Host server : magellan-search-blue-fcf5f9d6d-9k2pj:80/100.66.79.197:80.
          git-commit: 856de8fa7eff2d55603d92afdf035972e45c3e8a
          git-url: https://github.com/thermofisher/magellan-search
          git-branch: release/2.51.0-2026.05.21-1.0