Hamburger Menu Button
Thermo Fisher Scientific Logo
登录
没有账号?建立账号 注册
  • 产品
    • 抗体
    • 引物合成
    • GeneArt Gene Synthesis Instant Designer
    • TaqMan Assay and Array Search
    • PCR 设备和耗材
    • 色谱柱和纯化柱
    • 实验室离心机
    • 分子生物学试剂和试剂盒
    • 实验室塑料耗材及用品
    • 查看所有产品分类
  • 应用和技术
    • 色谱
    • 细胞转染和培养
    • 实时荧光定量PCR
    • 质谱
    • 实验室塑料耗材及用品
    • 电子显微镜
    • 蛋白质生物学
    • PCR
    • RNAi
    • 环境
    • 查看所有应用和技术
  • 服务
    • 定制服务
    • 企业级实验室信息化服务
    • 金融&租赁服务
    • 仪器服务
    • OEM和商业供应
    • 培训服务
    • 360° CDMO 和 CRO 服务
    • CDMO 服务
    • 临床试验 CRO 服务
    • Unity Lab Services
    • 查看所有帮助和支持
  • 帮助和支持
    • 学习中心
    • 联系我们
    • 更改国家或地区
    • 查看所有帮助和支持
  • 热门产品
    • TaqMan Real-Time PCR Assays
      TaqMan 实时荧光定量 PCR 试剂盒
    • Antibodies
      抗体
    • Oligos, Primers & Probes
      寡核苷酸、引物、探针
    • GeneArt Gene Synthesis
      GeneArt 基因合成
    • Cell Culture Plastics
      细胞培养耗材
  • Who We Serve
    • 抗体治疗解决方案
    • 细胞与基因治疗解决方案
    • 学术科研
    • 工业与应用
  • 联系我们
  • 货号直购
  • 订单查询
  • 查找文件&证书
Thermo Fisher Scientific Logo

Search

搜索全部或下列指定分类
Search button
          • 联系我们
          • 货号直购
          • 登录
            登录
            没有账号?建立账号 注册
            • 我的账号
            • 订单
            • 会员中心
            • 账单及发票查询
            • 定制产品及项目
          • Primary Antibodies ›
          • SRC Antibodies

          Invitrogen

          SRC Recombinant Rabbit Monoclonal Antibody (JF0947)

          查看其他69个SRC抗体

          {{$productOrderCtrl.translations['antibody.pdp.commerceCard.promotion.promotions']}}

          {{$productOrderCtrl.translations['antibody.pdp.commerceCard.promotion.viewpromo']}}

          {{$productOrderCtrl.translations['antibody.pdp.commerceCard.promotion.promocode']}}: {{promo.promoCode}} {{promo.promoTitle}} {{promo.promoDescription}}. {{$productOrderCtrl.translations['antibody.pdp.commerceCard.promotion.learnmore']}}

          说明书
          证书
          实验方案
          问题与答案
          技术支持
          说明书
          证书
          实验方案
          问题与答案
          技术支持
          说明书
          证书
          实验方案
          问题与答案
          技术支持

          Cite SRC Recombinant Rabbit Monoclonal Antibody (JF0947)

          Additional Information:
          {{banner.description}}
          {{$ctrl.isSkuNotesCollapsed ? 'View more' : 'View less'}}
          • 抗体检测数据 (11)
          SRC Antibody in Immunocytochemistry (ICC/IF)
          Group 53 Created with Sketch.
          SRC Antibody in Immunocytochemistry (ICC/IF)
          Group 53 Created with Sketch.

          图: 1 / 11

          {{ $ctrl.currentElement.advancedVerification.fullName }}
          {{ $ctrl.currentElement.advancedVerification.text }}

          SRC Antibody (MA5-41202) in ICC/IF

          Immunocytochemistry/Immunofluorescence analysis of SRC in MCF-7 cells (green). Formalin fixed cells were permeabilized with 0.1% Triton X-100 in TBS for 10 minutes at room temperature and blocked with 1% Blocker BSA for 15 minutes at room temperature. Cells were probed with SRC Recombinant Monoclonal Antibody (Product # MA5-41202) at a dilution of 1:50 for 1 hour at room temperature, washed with PBS. Alexa Fluor®488 Goat anti-Rabbit IgG was used as the secondary antibody at 1:1,000 dilution. The nuclear counter stain is DAPI (blue). {{ $ctrl.currentElement.advancedVerification.fullName }} 验证信息 View more
          已发表图片由___提供 benchsci-logo
          PMID: {{$ctrl.currentElement.benchSciPubmedId}}
          查看产品

          {{$ctrl.videoDesc}}

          {{$ctrl.videoLongDesc}}

          SRC Antibody in Immunocytochemistry (ICC/IF)
          SRC Antibody in Immunocytochemistry (ICC/IF)
          SRC Antibody in Immunocytochemistry (ICC/IF)
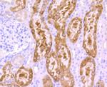
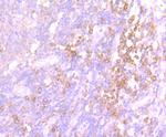
          SRC Antibody in Immunohistochemistry (Paraffin) (IHC (P))
          SRC Antibody in Immunohistochemistry (Paraffin) (IHC (P))
          SRC Antibody in Immunohistochemistry (Paraffin) (IHC (P))
          SRC Antibody in Immunohistochemistry (Paraffin) (IHC (P))
          SRC Antibody in Immunohistochemistry (Paraffin) (IHC (P))
          SRC Antibody in Western Blot (WB)
          SRC Antibody in Western Blot (WB)
          SRC Antibody in Flow Cytometry (Flow)
          SRC Recombinant Rabbit Monoclonal Antibody (JF0947)

          产品信息

          MA5-41202

          应用
          建议稀释比
          已发表文章

          免疫印迹 (WB)

          1:1,000-1:5,000
          -

          免疫组化(石蜡) (IHC (P))

          1:20-1:1,000
          -

          免疫细胞化学 (ICC/IF)

          1:100-1:500
          -

          流式细胞分析 (Flow)

          1:50-1:100
          -
          产品规格

          种属反应

          Human, Mouse, Rat

          宿主/亚型

          Rabbit / IgG

          Expression System

          HEK293 cells

          分类

          Recombinant Monoclonal

          类型

          Antibody

          克隆号

          JF0947

          抗原

          Synthetic peptide within human Src aa 20-60.
          3D表位/免疫原

          偶联物

          Unconjugated Unconjugated Unconjugated

          形式

          Liquid

          浓度

          1 mg/mL

          规格

          100 µg

          纯化类型

          Protein A

          保存液

          TBS, pH 7.4, with 40% glycerol, 0.05% BSA

          内含物

          0.05% sodium azide

          保存条件

          Store at 4°C short term. For long term storage, store at -20°C, avoiding freeze/thaw cycles.

          运输条件

          Ambient (domestic); Wet ice (international)

          RRID

          AB_2898956

          靶标信息

          SRC is a cytoplasmic tyrosine kinase and proto-oncogene involved in the regulation of embryonic development and cell growth. SRC is involved in the regulation of growth and differentiation of eukaryotic cells. SRC associates with the cytoplasmic region of various cell surface receptors to facilitate signal transduction, and is also involved in cytoskeletal organization, cell cycle regulation, and apoptosis. In humans, the gene encoding SRC is present on chromosome 20. Activity of SRC is regulated by two tyrosine residues (Tyr 416 and Tyr527), and phosphorylation of these two sites have opposing effects. Phosphorylation of Tyr416 in the activation loop of the kinase domain upregulates enzyme activity while the phosphorylation of Tyr527 decreases enzyme activity. Mutations in the SRC gene could be involved in the malignant progression of colon cancer. Two transcript variants encoding the same SRC protein have been found thus far.

          仅用于科研。不用于诊断过程。未经明确授权不得转售。

          篇参考文献 (0)

          您是否在文献中引用过该产品?请点击下方按钮邮件告知我们。
          引用该产品

          生物信息学

          蛋白别名: c-Src; EC 2.7.10.2; neuronal proto-oncogene tyrosine-protein kinase Src; OTTHUMP00000174476; OTTHUMP00000174477; OTTHUMP00000174478; p60-Src; pp60c-src; pp60src; Proto-oncogene c-Src; Proto-oncogene tyrosine-protein kinase Src; protooncogene SRC, Rous sarcoma; Rous sarcoma oncogene; RP5-823N20.1; tyrosine kinase pp60c-src; tyrosine protein kinase c-src; tyrosine protein kinase pp60-c-src; tyrosine-protein kinase SRC-1; unnamed protein product; v-src avian sarcoma (Schmidt-Ruppin A-2) viral oncogene homolog; v-src sarcoma (Schmidt-Ruppin A-2) viral oncogene homolog

          查看更多 收起

          基因别名: ASV; AW259666; c-SRC; p60-Src; pp60c-src; SRC; SRC1; THC6

          查看更多 收起

          UniProt ID: (Human) P12931, (Mouse) P05480, (Rat) Q9WUD9

          查看更多 收起

          Entrez Gene ID: (Human) 6714, (Mouse) 20779, (Rat) 83805

          查看更多 收起

          功能
          nucleotide binding protein kinase activity protein tyrosine kinase activity non-membrane spanning protein tyrosine kinase activity receptor binding integrin binding protein binding ATP binding phospholipase activator activity kinase activity transferase activity enzyme binding protein domain specific binding heme binding protein tyrosine kinase activator activity receptor activator activity ionotropic glutamate receptor binding SH2 domain binding phospholipase binding ion channel binding cadherin binding ephrin receptor binding ATPase binding phosphoprotein binding BMP receptor binding connexin binding scaffold protein binding protein kinase C binding insulin receptor binding protein C-terminus binding transferase activity, transferring phosphorus-containing groups protein kinase binding estrogen receptor binding protein complex binding cell adhesion molecule binding hormone receptor binding growth factor receptor binding
          参与通路
          immune system process protein phosphorylation cell cycle cell adhesion epidermal growth factor receptor signaling pathway transforming growth factor beta receptor signaling pathway integrin-mediated signaling pathway cell proliferation positive regulation of gene expression regulation of epithelial cell migration positive regulation of epithelial cell migration positive regulation of glucose metabolic process positive regulation of smooth muscle cell migration phosphorylation cell migration peptidyl-serine phosphorylation peptidyl-tyrosine phosphorylation regulation of cell-cell adhesion cell differentiation forebrain development positive regulation of protein autophosphorylation activation of protein kinase B activity negative regulation of protein homooligomerization regulation of intracellular estrogen receptor signaling pathway adherens junction organization substrate adhesion-dependent cell spreading cellular response to reactive oxygen species intracellular signal transduction osteoclast development cellular response to platelet-derived growth factor stimulus peptidyl-tyrosine autophosphorylation regulation of cell proliferation positive regulation of apoptotic process negative regulation of apoptotic process stress fiber assembly negative regulation of cysteine-type endopeptidase activity involved in apoptotic process regulation of protein binding positive regulation of MAP kinase activity positive regulation of phosphatidylinositol 3-kinase activity transcytosis innate immune response bone resorption positive regulation of cyclin-dependent protein serine/threonine kinase activity positive regulation of cell adhesion negative regulation of transcription, DNA-templated positive regulation of transcription, DNA-templated positive regulation of insulin receptor signaling pathway protein autophosphorylation neurotrophin TRK receptor signaling pathway oogenesis positive regulation of cytokine secretion progesterone receptor signaling pathway positive regulation of protein transport regulation of cell cycle negative regulation of focal adhesion assembly positive regulation of protein kinase B signaling negative regulation of mitochondrial depolarization uterus development branching involved in mammary gland duct morphogenesis regulation of cell projection assembly positive regulation of ERK1 and ERK2 cascade response to interleukin-1 cellular response to peptide hormone stimulus cellular response to progesterone stimulus cellular response to fluid shear stress cellular response to transforming growth factor beta stimulus positive regulation of podosome assembly angiotensin-activated signaling pathway involved in heart process positive regulation of canonical Wnt signaling pathway positive regulation of intracellular signal transduction positive regulation of lamellipodium morphogenesis positive regulation of DNA biosynthetic process regulation of early endosome to late endosome transport negative regulation of anoikis negative regulation of extrinsic apoptotic signaling pathway negative regulation of intrinsic apoptotic signaling pathway regulation of caveolin-mediated endocytosis negative regulation of transcription from RNA polymerase II promoter stimulatory C-type lectin receptor signaling pathway neutrophil activation involved in immune response negative regulation of inflammatory response to antigenic stimulus signal transduction signal complex assembly positive regulation of protein processing macroautophagy protein deubiquitination platelet activation T cell costimulation negative regulation of protein complex assembly protein destabilization cellular response to nutrient levels negative regulation of telomere maintenance positive regulation of integrin activation toll-like receptor 3 signaling pathway regulation of toll-like receptor 3 signaling pathway positive regulation of dephosphorylation negative regulation of hippo signaling Fc-gamma receptor signaling pathway involved in phagocytosis ERBB2 signaling pathway angiotensin-activated signaling pathway TORC1 signaling vasodilation odontogenesis regulation of vascular permeability proteasome-mediated ubiquitin-dependent protein catabolic process regulation of bone resorption positive regulation of Notch signaling pathway positive regulation of glycolytic process viral entry into host cell vascular endothelial growth factor receptor signaling pathway ephrin receptor signaling pathway focal adhesion assembly leukocyte migration positive regulation of small GTPase mediated signal transduction intestinal epithelial cell development interleukin-6-mediated signaling pathway cellular response to hydrogen peroxide positive regulation of protein serine/threonine kinase activity regulation of heart rate by cardiac conduction positive regulation of protein localization to nucleus negative regulation of neutrophil activation negative regulation of TORC1 signaling positive regulation of TORC1 signaling positive regulation of platelet-derived growth factor receptor-beta signaling pathway central nervous system development response to mechanical stimulus response to virus response to acidic pH positive regulation of platelet-derived growth factor receptor signaling pathway single organismal cell-cell adhesion intracellular estrogen receptor signaling pathway response to nutrient levels cellular response to insulin stimulus response to drug response to hydrogen peroxide response to mineralocorticoid response to electrical stimulus response to fatty acid cellular response to lipopolysaccharide cellular response to fatty acid cellular response to hypoxia regulation of podosome assembly
          It has to be done as per old AB suggested Products section.

          Disclaimer

          Close

          Clicking the images or links will redirect you to a website hosted by BenchSci that provides third-party scientific content. Neither the content nor the BenchSci technology and processes for selection have been evaluated by us; we are providing them as-is and without warranty of any kind, including for use or application of the Thermo Fisher Scientific products presented.

          guarantee_icon

          性能保障

          只要您发现Invitrogen抗体在实验中的表现与网站或说明书的所述内容不符,您即可享受免费退换货服务。*

          了解更多
          help_icon

          随时为您服务

          获取常见问题的专家解答,或者直接联系我们的技术专家,咨询应用、设备、常规产品使用问题。

          联系技术支持
          订购 Plus Icon Minus Icon
          • 订单状态查询
          • 订单支持
          • 货号直购
          • 现货供应中心
          • 电子采购
          支持 Plus Icon Minus Icon
          • 帮助&支持
          • 联系我们 - 400 820 8982
          • 技术支持中心
          • 查找文件&证书
          • 报告网站问题
          资源 Plus Icon Minus Icon
          • 学习中心
          • 促销
          • 活动&研讨会
          • 社交媒体
          关于赛默飞 Plus Icon Minus Icon
          • 关于我们
          • 招聘 招聘
          • 投资者关系 投资者关系
          • 新闻 新闻
          • 社会责任 社会责任
          • 商标
          • 政策和通知
          品牌 Plus Icon Minus Icon
          • Thermo Scientific
          • Applied Biosystems
          • Invitrogen
          • Gibco
          • Ion Torrent
          • Unity Lab Services
          • Patheon
          • PPD
          • 服务条款
          • 隐私政策
          • 定价和运输保险政策
          © 2006-2026 Thermo Fisher Scientific Inc. All rights reserved. All trademarks are the property of Thermo Fisher Scientific and its subsidiaries unless otherwise specified.
          China flag icon
          China
          本网站销售的所有产品均不得用于人类或动物之临床诊断或治疗,仅可用于工业或者科研等非医疗目的。
             电子营业执照 | 经营证照公示 | ICP备案号:沪ICP备11003924号 | 沪公网安备 31011502006935号

          Your items have has been added!


          Host server : magellan-search-green-6479c7f679-v472f:80/100.66.78.195:80.
          git-commit: b70c0dceb888abc3b0dcebb5bc3a5b8753e7e816
          git-url: https://github.com/thermofisher/magellan-search
          git-branch: release/2.50.0-Offline