Hamburger Menu Button
Thermo Fisher Scientific Logo
登录
没有账号?建立账号 注册
  • 产品
    • 抗体
    • 引物合成
    • GeneArt Gene Synthesis Instant Designer
    • TaqMan Assay and Array Search
    • PCR 设备和耗材
    • 色谱柱和纯化柱
    • 实验室离心机
    • 分子生物学试剂和试剂盒
    • 实验室塑料耗材及用品
    • 查看所有产品分类
  • 应用和技术
    • 色谱
    • 细胞转染和培养
    • 实时荧光定量PCR
    • 质谱
    • 实验室塑料耗材及用品
    • 电子显微镜
    • 蛋白质生物学
    • PCR
    • RNAi
    • 环境
    • 查看所有应用和技术
  • 服务
    • 定制服务
    • 企业级实验室信息化服务
    • 金融&租赁服务
    • 仪器服务
    • OEM和商业供应
    • 培训服务
    • 360° CDMO 和 CRO 服务
    • CDMO 服务
    • 临床试验 CRO 服务
    • Unity Lab Services
    • 查看所有帮助和支持
  • 帮助和支持
    • 学习中心
    • 联系我们
    • 更改国家或地区
    • 查看所有帮助和支持
  • 热门产品
    • TaqMan Real-Time PCR Assays
      TaqMan 实时荧光定量 PCR 试剂盒
    • Antibodies
      抗体
    • Oligos, Primers & Probes
      寡核苷酸、引物、探针
    • GeneArt Gene Synthesis
      GeneArt 基因合成
    • Cell Culture Plastics
      细胞培养耗材
  • Who We Serve
    • 抗体治疗解决方案
    • 细胞与基因治疗解决方案
    • 学术科研
    • 工业与应用
  • 联系我们
  • 货号直购
  • 订单查询
  • 查找文件&证书
Thermo Fisher Scientific Logo

Search

搜索全部或下列指定分类
Search button
          • 联系我们
          • 货号直购
          • 登录
            登录
            没有账号?建立账号 注册
            • 我的账号
            • 订单
            • 会员中心
            • 账单及发票查询
            • 定制产品及项目
          • Primary Antibodies ›
          • SRD5A1 Antibodies

          Proteintech

          SRD5A1 Polyclonal Antibody

          4 篇参考文献
          查看其他6个SRD5A1抗体

          {{$productOrderCtrl.translations['antibody.pdp.commerceCard.promotion.promotions']}}

          {{$productOrderCtrl.translations['antibody.pdp.commerceCard.promotion.viewpromo']}}

          {{$productOrderCtrl.translations['antibody.pdp.commerceCard.promotion.promocode']}}: {{promo.promoCode}} {{promo.promoTitle}} {{promo.promoDescription}}. {{$productOrderCtrl.translations['antibody.pdp.commerceCard.promotion.learnmore']}}

          说明书
          证书
          实验方案
          问题与答案
          技术支持
          说明书
          证书
          实验方案
          问题与答案
          技术支持
          说明书
          证书
          实验方案
          问题与答案
          技术支持

          Cite SRD5A1 Polyclonal Antibody

          Additional Information:
          {{banner.description}}
          {{$ctrl.isSkuNotesCollapsed ? 'View more' : 'View less'}}
          • 抗体检测数据 (6)
          SRD5A1 Antibody in Immunohistochemistry (Paraffin) (IHC (P))
          Group 53 Created with Sketch.
          SRD5A1 Antibody in Immunohistochemistry (Paraffin) (IHC (P))
          Group 53 Created with Sketch.

          图: 1 / 6

          {{ $ctrl.currentElement.advancedVerification.fullName }}
          {{ $ctrl.currentElement.advancedVerification.text }}

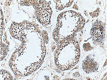
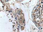
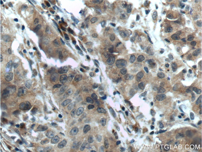
          SRD5A1 Antibody (26001-1-AP) in IHC (P)

          Immunohistochemistry of paraffin-embedded human prostate cancer tissue slide using 26001-1-AP ( SRD5A1 Antibody) at dilution of 1:100 (under 40x lens). heat mediated antigen retrieved with Tris-EDTA buffer (pH 9). {{ $ctrl.currentElement.advancedVerification.fullName }} 验证信息 View more
          已发表图片由___提供 benchsci-logo
          PMID: {{$ctrl.currentElement.benchSciPubmedId}}
          查看产品

          {{$ctrl.videoDesc}}

          {{$ctrl.videoLongDesc}}

          SRD5A1 Antibody in Immunohistochemistry (Paraffin) (IHC (P))
          SRD5A1 Antibody in Immunohistochemistry (Paraffin) (IHC (P))
          SRD5A1 Antibody in Immunohistochemistry (Paraffin) (IHC (P))
          SRD5A1 Antibody in Immunohistochemistry (Paraffin) (IHC (P))
          SRD5A1 Antibody in Western Blot (WB)
          SRD5A1 Antibody in Western Blot (WB)
          SRD5A1 Polyclonal Antibody

          产品信息

          26001-1-AP

          应用
          建议稀释比
          已发表文章

          免疫印迹 (WB)

          1:500-1:2,000
          查看3篇已发表文章 3篇已发表文章

          免疫组化(石蜡) (IHC (P))

          1:50-1:200
          -

          免疫细胞化学 (ICC/IF)

          -
          查看1篇已发表文章 1篇已发表文章
          产品规格

          种属反应

          Human, Mouse

          宿主/亚型

          Rabbit / IgG

          分类

          Polyclonal

          类型

          Antibody

          抗原

          SRD5A1 Fusion Protein Ag23351 (1-163 aa encoded by BC007033)
          3D表位/免疫原

          偶联物

          Unconjugated Unconjugated Unconjugated

          形式

          Liquid

          浓度

          0.23 mg/mL

          规格

          34.5 µg

          纯化类型

          Antigen affinity chromatography

          保存液

          PBS, pH 7.3, with 50% glycerol

          内含物

          0.02% sodium azide

          保存条件

          -20°C

          运输条件

          Wet ice (domestic); Dry ice (international)

          产品详细信息

          Immunogen sequence: MATATGVAE ERLLAALAYL QCAVGCAVFA RNRQTNSVYG RHALPSHRLR VPARAAWVVQ ELPSLALPLY QYASESAPRL RSAPNCILLA MFLVHYGHRC LIYPFLMRGG KPMPLLACTM AIMFCTCNGY LQSRYLSHCA VYADDWVTDP RFLIGFGLWL TGML (1-163 aa encoded by BC007033)

          靶标信息

          Steroid 5alpha-Reductase is an important enzyme in androgen physiology because it catalyzes the conversion of testosterone into the more potent 5alpha-dihydro-testosterone, which mediates androgen effects on target tissues. The enzyme exists as two isoforms: type 1, which is expressed mainly in the skin; and type 2, which is expressed mainly in the prostate. In cultured human skin cells, 5alpha-Reductase 1 shows heterogeneity of protein, and has different levels of transcriptional and translational expression. 5alpha-Reductase 1 is expressed in all portions of the hair follicle, whereas 5alpha-Reductase 2 is expressed only in mesenchymal portions. In addition, 5alpha-Reductase 1 is mainly expressed in human breast carcinoma and may play a role in the in situ production and actions of the potent androgen 5alpha-dihydrotestosterone, including inhibition of cancer cell proliferation in hormone-dependent human breast carcinoma. The 5alpha-Reductase-3alpha-hydroxysteroid dehydrogenase complex is present in the human brain, suggesting that the complex may be involved in the synthesis of neuroactive steroids or the catabolism of neurotoxic steroids.

          仅用于科研。不用于诊断过程。未经明确授权不得转售。

          生物信息学

          蛋白别名: 3-oxo-5-alpha-steroid 4-dehydrogenase 1; S5AR 1; SR type 1; steroid 5-alpha-reductase (EC 1.3.99.5); Steroid 5-alpha-reductase 1; steroid 5-alpha-reductase type I; steroid-5-alpha-reductase, alpha polypeptide 1 (3-oxo-5 alpha-steroid delta 4-dehydrogenase alpha 1); type 1 5alpha-reductase; unnamed protein product

          查看更多 收起

          基因别名: 0610031P22Rik; 4930435F02Rik; S5AR 1; Srd5a-1; SRD5A1

          查看更多 收起

          UniProt ID: (Human) P18405, (Mouse) Q68FF9

          查看更多 收起

          Entrez Gene ID: (Human) 6715, (Mouse) 78925

          查看更多 收起

          功能
          3-oxo-5-alpha-steroid 4-dehydrogenase activity protein binding electron carrier activity oxidoreductase activity oxidoreductase activity, acting on the CH-CH group of donors amide binding cholestenone 5-alpha-reductase activity NADPH binding dehydrogenase
          参与通路
          urogenital system development liver development lipid metabolic process steroid biosynthetic process androgen biosynthetic process androgen catabolic process sex determination sex differentiation steroid metabolic process androgen metabolic process male gonad development cellular response to starvation response to xenobiotic stimulus response to muscle activity diterpenoid metabolic process spinal cord development hippocampus development thalamus development hypothalamus development pituitary gland development cerebral cortex development cell differentiation male genitalia development female genitalia development response to follicle-stimulating hormone response to estradiol cellular response to insulin stimulus response to testosterone serotonin metabolic process progesterone metabolic process response to estrogen bone development response to growth hormone response to fungicide cellular response to cAMP cellular response to growth factor stimulus cellular response to estradiol stimulus cellular response to testosterone stimulus cellular response to dexamethasone stimulus cellular response to epinephrine stimulus cellular response to serotonin response to drug oxidation-reduction process
          It has to be done as per old AB suggested Products section.

          Disclaimer

          Close

          Clicking the images or links will redirect you to a website hosted by BenchSci that provides third-party scientific content. Neither the content nor the BenchSci technology and processes for selection have been evaluated by us; we are providing them as-is and without warranty of any kind, including for use or application of the Thermo Fisher Scientific products presented.

          guarantee_icon

          性能保障

          只要您发现Invitrogen抗体在实验中的表现与网站或说明书的所述内容不符,您即可享受免费退换货服务。*

          了解更多
          help_icon

          随时为您服务

          获取常见问题的专家解答,或者直接联系我们的技术专家,咨询应用、设备、常规产品使用问题。

          联系技术支持
          订购 Plus Icon Minus Icon
          • 订单状态查询
          • 订单支持
          • 货号直购
          • 现货供应中心
          • 电子采购
          支持 Plus Icon Minus Icon
          • 帮助&支持
          • 联系我们 - 400 820 8982
          • 技术支持中心
          • 查找文件&证书
          • 报告网站问题
          资源 Plus Icon Minus Icon
          • 学习中心
          • 促销
          • 活动&研讨会
          • 社交媒体
          关于赛默飞 Plus Icon Minus Icon
          • 关于我们
          • 招聘 招聘
          • 投资者关系 投资者关系
          • 新闻 新闻
          • 社会责任 社会责任
          • 商标
          • 政策和通知
          品牌 Plus Icon Minus Icon
          • Thermo Scientific
          • Applied Biosystems
          • Invitrogen
          • Gibco
          • Ion Torrent
          • Unity Lab Services
          • Patheon
          • PPD
          • 服务条款
          • 隐私政策
          • 定价和运输保险政策
          © 2006-2026 Thermo Fisher Scientific Inc. All rights reserved. All trademarks are the property of Thermo Fisher Scientific and its subsidiaries unless otherwise specified.
          China flag icon
          China
          本网站销售的所有产品均不得用于人类或动物之临床诊断或治疗,仅可用于工业或者科研等非医疗目的。
             电子营业执照 | 经营证照公示 | ICP备案号:沪ICP备11003924号 | 沪公网安备 31011502006935号

          Your items have has been added!


          Host server : magellan-search-green-6479c7f679-l2s7p:80/100.66.76.236:80.
          git-commit: b70c0dceb888abc3b0dcebb5bc3a5b8753e7e816
          git-url: https://github.com/thermofisher/magellan-search
          git-branch: release/2.50.0-Offline