Hamburger Menu Button
Thermo Fisher Scientific Logo
登录
没有账号?建立账号 注册
  • 产品
    • 抗体
    • 引物合成
    • GeneArt Gene Synthesis Instant Designer
    • TaqMan Assay and Array Search
    • PCR 设备和耗材
    • 色谱柱和纯化柱
    • 实验室离心机
    • 分子生物学试剂和试剂盒
    • 实验室塑料耗材及用品
    • 查看所有产品分类
  • 应用和技术
    • 色谱
    • 细胞转染和培养
    • 实时荧光定量PCR
    • 质谱
    • 实验室塑料耗材及用品
    • 电子显微镜
    • 蛋白质生物学
    • PCR
    • RNAi
    • 环境
    • 查看所有应用和技术
  • 服务
    • 定制服务
    • 企业级实验室信息化服务
    • 金融&租赁服务
    • 仪器服务
    • OEM和商业供应
    • 培训服务
    • 360° CDMO 和 CRO 服务
    • CDMO 服务
    • 临床试验 CRO 服务
    • Unity Lab Services
    • 查看所有帮助和支持
  • 帮助和支持
    • 学习中心
    • 联系我们
    • 更改国家或地区
    • 查看所有帮助和支持
  • 热门产品
    • TaqMan Real-Time PCR Assays
      TaqMan 实时荧光定量 PCR 试剂盒
    • Antibodies
      抗体
    • Oligos, Primers & Probes
      寡核苷酸、引物、探针
    • GeneArt Gene Synthesis
      GeneArt 基因合成
    • Cell Culture Plastics
      细胞培养耗材
  • Who We Serve
    • 抗体治疗解决方案
    • 细胞与基因治疗解决方案
    • 学术科研
    • 工业与应用
  • 联系我们
  • 货号直购
  • 订单查询
  • 查找文件&证书
Thermo Fisher Scientific Logo

Search

搜索全部或下列指定分类
Search button
          • 联系我们
          • 货号直购
          • 登录
            登录
            没有账号?建立账号 注册
            • 我的账号
            • 订单
            • 账单及发票查询
            • 定制产品及项目
          • Primary Antibodies ›
          • SRF Antibodies

          Proteintech

          SRF Polyclonal Antibody

          14 篇参考文献
          查看其他25个SRF抗体

          {{$productOrderCtrl.translations['antibody.pdp.commerceCard.promotion.promotions']}}

          {{$productOrderCtrl.translations['antibody.pdp.commerceCard.promotion.viewpromo']}}

          {{$productOrderCtrl.translations['antibody.pdp.commerceCard.promotion.promocode']}}: {{promo.promoCode}} {{promo.promoTitle}} {{promo.promoDescription}}. {{$productOrderCtrl.translations['antibody.pdp.commerceCard.promotion.learnmore']}}

          说明书
          证书
          实验方案
          问题与答案
          技术支持
          说明书
          证书
          实验方案
          问题与答案
          技术支持
          说明书
          证书
          实验方案
          问题与答案
          技术支持

          Cite SRF Polyclonal Antibody

          Additional Information:
          {{banner.description}}
          {{$ctrl.isSkuNotesCollapsed ? 'View more' : 'View less'}}
          • 抗体检测数据 (13)
          SRF Antibody in Immunocytochemistry (ICC/IF)
          Group 53 Created with Sketch.
          SRF Antibody in Immunocytochemistry (ICC/IF)
          Group 53 Created with Sketch.

          图: 1 / 13

          {{ $ctrl.currentElement.advancedVerification.fullName }}
          {{ $ctrl.currentElement.advancedVerification.text }}

          SRF Antibody (16821-1-AP) in ICC/IF

          Immunofluorescent analysis of ( 10% Formaldehyde ) fixed HeLa cells using 16821-1-AP (SRF antibody) at dilution of 1:50 and Alexa Fluor 488-conjugated AffiniPure Goat Anti-Rabbit IGG (H+L). {{ $ctrl.currentElement.advancedVerification.fullName }} 验证信息 View more
          已发表图片由___提供 benchsci-logo
          PMID: {{$ctrl.currentElement.benchSciPubmedId}}
          查看产品

          {{$ctrl.videoDesc}}

          {{$ctrl.videoLongDesc}}

          SRF Antibody in Immunocytochemistry (ICC/IF)
          SRF Antibody in Immunohistochemistry (Paraffin) (IHC (P))
          SRF Antibody in Immunohistochemistry (Paraffin) (IHC (P))
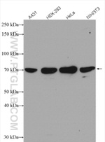
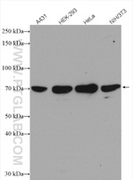
          SRF Antibody in Western Blot (WB)
          SRF Antibody in Western Blot (WB)
          SRF Antibody in Western Blot (WB)
          SRF Antibody in Western Blot (WB)
          SRF Antibody in Western Blot (WB)
          SRF Antibody in Western Blot (WB)
          SRF Antibody in Western Blot (WB)
          SRF Antibody in Western Blot (WB)
          SRF Antibody in Western Blot (WB)
          SRF Antibody in Immunoprecipitation (IP)
          SRF Polyclonal Antibody

          产品信息

          16821-1-AP

          应用
          建议稀释比
          已发表文章

          免疫印迹 (WB)

          1:500-1:1,000
          查看10篇已发表文章 10篇已发表文章

          免疫组化 (IHC)

          -
          查看1篇已发表文章 1篇已发表文章

          免疫组化(石蜡) (IHC (P))

          1:20-1:200
          -

          免疫细胞化学 (ICC/IF)

          1:50-1:500
          查看2篇已发表文章 2篇已发表文章

          免疫沉淀 (IP)

          0.5-4.0 µg
          -

          染色质免疫沉淀 实验 (ChIP)

          -
          查看1篇已发表文章 1篇已发表文章
          产品规格

          种属反应

          Human

          已发表种属

          Human, Mouse

          宿主/亚型

          Rabbit / IgG

          分类

          Polyclonal

          类型

          Antibody

          抗原

          SRF Fusion Protein Ag10386 (1-348 aa encoded by BC048211)
          3D表位/免疫原

          偶联物

          Unconjugated Unconjugated Unconjugated

          形式

          Liquid

          浓度

          0.23 mg/mL

          规格

          34.5 µg

          纯化类型

          Antigen affinity chromatography

          保存液

          PBS, pH 7.3, with 50% glycerol

          内含物

          0.02% sodium azide

          保存条件

          -20°C

          运输条件

          Wet ice (domestic); Dry ice (international)

          产品详细信息

          Immunogen sequence: MLPTQAGAA AALGRGSALG GSLNRTPTGR PGGGGGTRGA NGGRVPGNGA GLGPGRLERE AAAAAATTPA PTAGALYSGS EGDSESGEEE ELGAERRGLK RSLSEMEIGM VVGGPEASAA ATGGYGPVSG AVSGAKPGKK TRGRVKIKME FIDNKLRRYT TFSKRKTGIM KKAYELSTLT GTQVLLLVAS ETGHVYTFAT RKLQPMITSE TGKALIQTCL NSPDSPPRSD PTTDQRMSAT GFEETDLTYQ VSESDSSGET KDTLKPAFTV TNLPGTTSTI QTAPSTSTTM QVSSGPSFPI TNYLAPVSAS VSPSAVSSAN GTVLKSTGSG PVSSGGLMQL PTSFTLMPG (1-348 aa encoded by BC048211 )

          靶标信息

          Serum response factor (SRF) is a transcription factor that binds the serum response element (SRE), a sequence that mediates the transient response of many cellular genes to growth stimulation. SRF-binding sites are also constitutive promotor elements in many muscle-specific promotors. SFR is required for cardiac differentiation and maturation.

          仅用于科研。不用于诊断过程。未经明确授权不得转售。

          生物信息学

          蛋白别名: c-fos serum response element-binding transcription factor; minichromosome maintenance 1 homolog; OTTHUMP00000039820; Serum response factor; SRF; unnamed protein product

          查看更多 收起

          基因别名: MCM1; SRF

          查看更多 收起

          UniProt ID: (Human) P11831

          查看更多 收起

          Entrez Gene ID: (Human) 6722

          查看更多 收起

          功能
          RNA polymerase II core promoter proximal region sequence-specific DNA binding RNA polymerase II transcription factor activity, sequence-specific DNA binding core promoter proximal region sequence-specific DNA binding transcriptional activator activity, RNA polymerase II transcription regulatory region sequence-specific binding DNA binding chromatin binding transcription factor activity, sequence-specific DNA binding protein binding serum response element binding chromatin DNA binding protein homodimerization activity histone deacetylase binding sequence-specific DNA binding protein dimerization activity RNA polymerase II sequence-specific DNA binding transcription factor binding primary miRNA binding DNA-binding transcription factor binding sequence-specific double-stranded DNA binding
          参与通路
          patterning of blood vessels response to hypoxia in utero embryonic development mesoderm formation neuron migration trophectodermal cell differentiation heart looping morphogenesis of an epithelial sheet cell migration involved in sprouting angiogenesis leukocyte differentiation regulation of transcription, DNA-templated transcription from RNA polymerase II promoter actin filament organization cell-matrix adhesion gastrulation heart development long-term memory negative regulation of cell proliferation associative learning response to toxic substance response to hormone epithelial structure maintenance hippocampus development tangential migration from the subventricular zone to the olfactory bulb actin cytoskeleton organization contractile actin filament bundle assembly regulation of cell adhesion platelet activation platelet formation negative regulation of cell migration thyroid gland development forebrain development neuron projection development response to cytokine megakaryocyte development dorsal aorta morphogenesis wound healing stress fiber assembly skin morphogenesis positive thymic T cell selection sarcomere organization positive regulation of cell differentiation positive regulation of axon extension positive regulation of transcription, DNA-templated positive regulation of transcription from RNA polymerase II promoter positive regulation of smooth muscle contraction positive regulation of transcription by glucose muscle cell cellular homeostasis filopodium assembly thymus development developmental growth neuron development axon extension erythrocyte development positive regulation of sequence-specific DNA binding transcription factor activity regulation of smooth muscle cell differentiation positive regulation of filopodium assembly cardiac myofibril assembly angiogenesis involved in wound healing hematopoietic stem cell differentiation positive regulation of transcription initiation from RNA polymerase II promoter long term synaptic depression face development heart trabecula formation cardiac muscle cell myoblast differentiation lung morphogenesis bronchus cartilage development trachea cartilage development cardiac vascular smooth muscle cell differentiation eyelid development in camera-type eye lung smooth muscle development establishment of skin barrier bicellular tight junction assembly cellular response to glucose stimulus primitive streak formation epithelial cell-cell adhesion cellular senescence cell-cell adhesion negative regulation of beta-amyloid clearance negative regulation of pri-miRNA transcription from RNA polymerase II promoter positive regulation of pri-miRNA transcription from RNA polymerase II promoter
          It has to be done as per old AB suggested Products section.

          Disclaimer

          Close

          Clicking the images or links will redirect you to a website hosted by BenchSci that provides third-party scientific content. Neither the content nor the BenchSci technology and processes for selection have been evaluated by us; we are providing them as-is and without warranty of any kind, including for use or application of the Thermo Fisher Scientific products presented.

          guarantee_icon

          性能保障

          只要您发现Invitrogen抗体在实验中的表现与网站或说明书的所述内容不符,您即可享受免费退换货服务。*

          了解更多
          help_icon

          随时为您服务

          获取常见问题的专家解答,或者直接联系我们的技术专家,咨询应用、设备、常规产品使用问题。

          联系技术支持
          订购 Plus Icon Minus Icon
          • 订单状态查询
          • 订单支持
          • 货号直购
          • 现货供应中心
          • 电子采购
          支持 Plus Icon Minus Icon
          • 帮助&支持
          • 联系我们 - 400 820 8982
          • 技术支持中心
          • 查找文件&证书
          • 报告网站问题
          资源 Plus Icon Minus Icon
          • 学习中心
          • 促销
          • 活动&研讨会
          • 社交媒体
          关于赛默飞 Plus Icon Minus Icon
          • 关于我们
          • 招聘 招聘
          • 投资者关系 投资者关系
          • 新闻 新闻
          • 社会责任 社会责任
          • 商标
          • 政策和通知
          品牌 Plus Icon Minus Icon
          • Thermo Scientific
          • Applied Biosystems
          • Invitrogen
          • Gibco
          • Ion Torrent
          • Unity Lab Services
          • Patheon
          • PPD
          • 服务条款
          • 隐私政策
          • 定价和运输保险政策
          © 2006-2026 Thermo Fisher Scientific Inc. All rights reserved. All trademarks are the property of Thermo Fisher Scientific and its subsidiaries unless otherwise specified.
          China flag icon
          China
          本网站销售的所有产品均不得用于人类或动物之临床诊断或治疗,仅可用于工业或者科研等非医疗目的。
             电子营业执照 | 经营证照公示 | ICP备案号:沪ICP备11003924号 | 沪公网安备 31011502006935号

          Your items have has been added!


          Host server : magellan-search-green-b49b87d85-n9r8p:80/100.66.76.150:80.
          git-commit: 5b8c860b7cdb41e9cfe07630520f6b51e109d38e
          git-url: https://github.com/thermofisher/magellan-search
          git-branch: release/2.47.0-Offline