Hamburger Menu Button
Thermo Fisher Scientific Logo
登录
没有账号?建立账号 注册
  • 产品
    • 抗体
    • 引物合成
    • GeneArt Gene Synthesis Instant Designer
    • TaqMan Assay and Array Search
    • PCR 设备和耗材
    • 色谱柱和纯化柱
    • 实验室离心机
    • 分子生物学试剂和试剂盒
    • 实验室塑料耗材及用品
    • 查看所有产品分类
  • 应用和技术
    • 色谱
    • 细胞转染和培养
    • 实时荧光定量PCR
    • 质谱
    • 实验室塑料耗材及用品
    • 电子显微镜
    • 蛋白质生物学
    • PCR
    • RNAi
    • 环境
    • 查看所有应用和技术
  • 服务
    • 定制服务
    • 企业级实验室信息化服务
    • 金融&租赁服务
    • 仪器服务
    • OEM和商业供应
    • 培训服务
    • 360° CDMO 和 CRO 服务
    • CDMO 服务
    • 临床试验 CRO 服务
    • Unity Lab Services
    • 查看所有帮助和支持
  • 帮助和支持
    • 学习中心
    • 联系我们
    • 更改国家或地区
    • 查看所有帮助和支持
  • 热门产品
    • TaqMan Real-Time PCR Assays
      TaqMan 实时荧光定量 PCR 试剂盒
    • Antibodies
      抗体
    • Oligos, Primers & Probes
      寡核苷酸、引物、探针
    • GeneArt Gene Synthesis
      GeneArt 基因合成
    • Cell Culture Plastics
      细胞培养耗材
  • Who We Serve
    • 抗体治疗解决方案
    • 细胞与基因治疗解决方案
    • 学术科研
    • 工业与应用
  • 联系我们
  • 货号直购
  • 订单查询
  • 查找文件&证书
Thermo Fisher Scientific Logo

Search

搜索全部或下列指定分类
Search button
          • 联系我们
          • 货号直购
          • 登录
            登录
            没有账号?建立账号 注册
            • 我的账号
            • 订单
            • 会员中心
            • 账单及发票查询
            • 定制产品及项目
          • Primary Antibodies ›
          • STUB1 Antibodies

          Invitrogen

          STUB1 Recombinant Rabbit Monoclonal Antibody (006)

          查看其他20个STUB1抗体

          {{$productOrderCtrl.translations['antibody.pdp.commerceCard.promotion.promotions']}}

          {{$productOrderCtrl.translations['antibody.pdp.commerceCard.promotion.viewpromo']}}

          {{$productOrderCtrl.translations['antibody.pdp.commerceCard.promotion.promocode']}}: {{promo.promoCode}} {{promo.promoTitle}} {{promo.promoDescription}}. {{$productOrderCtrl.translations['antibody.pdp.commerceCard.promotion.learnmore']}}

          说明书
          证书
          实验方案
          问题与答案
          技术支持
          说明书
          证书
          实验方案
          问题与答案
          技术支持
          说明书
          证书
          实验方案
          问题与答案
          技术支持

          Cite STUB1 Recombinant Rabbit Monoclonal Antibody (006)

          Additional Information:
          {{banner.description}}
          {{$ctrl.isSkuNotesCollapsed ? 'View more' : 'View less'}}
          • 抗体检测数据 (3)
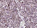
          STUB1 Antibody in Immunohistochemistry (Paraffin) (IHC (P))
          Group 53 Created with Sketch.
          STUB1 Antibody in Immunohistochemistry (Paraffin) (IHC (P))
          Group 53 Created with Sketch.

          图: 1 / 3

          {{ $ctrl.currentElement.advancedVerification.fullName }}
          {{ $ctrl.currentElement.advancedVerification.text }}

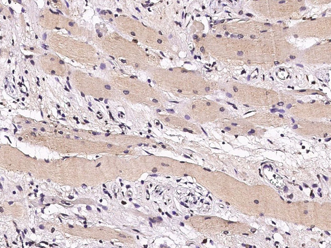
          STUB1 Antibody (MA5-29586) in IHC (P)

          Immunohistochemical staining of human STUB1 in human skeletal muscle with STUB1 Recombinant Rabbit Monoclonal Antibody (6) (Product # MA5-29586, 1:200, formalin-fixed paraffin embedded sections). {{ $ctrl.currentElement.advancedVerification.fullName }} 验证信息 View more
          已发表图片由___提供 benchsci-logo
          PMID: {{$ctrl.currentElement.benchSciPubmedId}}
          查看产品

          {{$ctrl.videoDesc}}

          {{$ctrl.videoLongDesc}}

          STUB1 Antibody in Immunohistochemistry (Paraffin) (IHC (P))
          STUB1 Antibody in Immunohistochemistry (Paraffin) (IHC (P))
          STUB1 Antibody in Immunohistochemistry (Paraffin) (IHC (P))
          STUB1 Recombinant Rabbit Monoclonal Antibody (006)

          产品信息

          MA5-29586

          应用
          建议稀释比
          已发表文章

          免疫组化(石蜡) (IHC (P))

          1:100-1:500
          -
          产品规格

          种属反应

          Human

          宿主/亚型

          Rabbit / IgG

          Expression System

          HEK293 cells

          分类

          Recombinant Monoclonal

          类型

          Antibody

          克隆号

          006

          抗原

          Recombinant Human STUB1 protein (1-303).
          3D表位/免疫原

          偶联物

          Unconjugated Unconjugated Unconjugated

          形式

          Liquid

          浓度

          1 mg/mL

          规格

          100 µg

          纯化类型

          Protein A

          保存液

          PBS

          内含物

          no preservative

          保存条件

          Store at 4°C short term. For long term storage, store at -20°C, avoiding freeze/thaw cycles.

          运输条件

          Ambient (domestic); Wet ice (international)

          RRID

          AB_2785427

          产品详细信息

          This product is preservative free. It is recommended to add sodium azide to avoid contamination (final concentration 0.05%-0.1%).

          Recombinant rabbit monoclonal antibodies are produced using in vitro expression systems. The expression systems are developed by cloning in the specific antibody DNA sequences from immunoreactive rabbits. Then, individual clones are screened to select the best candidates for production. The advantages of using recombinant rabbit monoclonal antibodies include: better specificity and sensitivity, lot-to-lot consistency, animal origin-free formulations, and broader immunoreactivity to diverse targets due to larger rabbit immune repertoire.

          This antibody has specificity for Human STUB1.

          靶标信息

          A recently identified protein, termed carboxyl terminus of hsc70-interacting protein (CHIP), has been shown to interact both with the constitutive form of hsc70 and the stress inducible form, hsp70. This novel 35 kDa cytoplasmic protein has been shown to be highly expressed in striated muscle in vivo. Additional studies have shown that this protein is expressed over a broad range of cultured tissues. Through immunoprecipitation experiments, CHIP has been shown to directly bind to the carboxyl terminus of hsc70 and hsp70 where it decreases ATPase activity and reduces overall chaperone efficiency. CHIP has also been identified as an important protein in the ubiquitin-proteasome system. CHIP contains a U-box domain and acts as an E3 ubiquitin-ligase in conjunction with hsc70 and hsp90.

          仅用于科研。不用于诊断过程。未经明确授权不得转售。

          篇参考文献 (0)

          您是否在文献中引用过该产品?请点击下方按钮邮件告知我们。
          引用该产品

          生物信息学

          蛋白别名: Antigen NY-CO-7; Carboxy terminus of Hsp70-interacting protein; CLL-associated antigen KW-8; E3 ubiquitin-protein ligase CHIP; heat shock protein A binding protein 2 (c-terminal); LA16c-313D11.6; RING-type E3 ubiquitin transferase CHIP; serologically defined colon cancer antigen 7; STIP1 homology and U box-containing protein 1; STIP1 homology and U-box containing protein 1, E3 ubiquitin protein ligase; tetratricopeptide repeat protein; TPR domain protein

          查看更多 收起

          基因别名: CHIP; HSPABP2; NY-CO-7; PP1131; SCA48; SCAR16; SDCCAG7; STUB1; UBOX1

          查看更多 收起

          UniProt ID: (Human) Q9UNE7

          查看更多 收起

          Entrez Gene ID: (Human) 10273

          查看更多 收起

          功能
          G-protein coupled receptor binding ubiquitin-protein transferase activity protein binding transferase activity enzyme binding kinase binding Hsp70 protein binding protein binding, bridging TPR domain binding heat shock protein binding ubiquitin protein ligase binding ubiquitin-ubiquitin ligase activity protein homodimerization activity SMAD binding tau protein binding chaperone binding misfolded protein binding Hsp90 protein binding ubiquitin protein ligase activity R-SMAD binding
          参与通路
          MAPK cascade protein polyubiquitination response to ischemia DNA repair ubiquitin-dependent protein catabolic process protein monoubiquitination misfolded or incompletely synthesized protein catabolic process cellular response to DNA damage stimulus signal transduction positive regulation of metabolic process negative regulation of cardiac muscle hypertrophy protein ubiquitination negative regulation of transforming growth factor beta receptor signaling pathway endoplasmic reticulum unfolded protein response positive regulation of protein ubiquitination regulation of protein stability regulation of glucocorticoid metabolic process positive regulation of proteasomal ubiquitin-dependent protein catabolic process negative regulation of smooth muscle cell apoptotic process positive regulation of smooth muscle cell apoptotic process cellular response to heat negative regulation of peroxisome proliferator activated receptor signaling pathway ERAD pathway ERBB2 signaling pathway negative regulation of apoptotic process proteasome-mediated ubiquitin-dependent protein catabolic process positive regulation of proteolysis protein stabilization protein autoubiquitination chaperone-mediated autophagy protein K63-linked ubiquitination cellular response to misfolded protein cellular response to hypoxia positive regulation of chaperone-mediated protein complex assembly positive regulation of mitophagy positive regulation of ERAD pathway negative regulation of vascular smooth muscle contraction
          It has to be done as per old AB suggested Products section.

          Disclaimer

          Close

          Clicking the images or links will redirect you to a website hosted by BenchSci that provides third-party scientific content. Neither the content nor the BenchSci technology and processes for selection have been evaluated by us; we are providing them as-is and without warranty of any kind, including for use or application of the Thermo Fisher Scientific products presented.

          guarantee_icon

          性能保障

          只要您发现Invitrogen抗体在实验中的表现与网站或说明书的所述内容不符,您即可享受免费退换货服务。*

          了解更多
          help_icon

          随时为您服务

          获取常见问题的专家解答,或者直接联系我们的技术专家,咨询应用、设备、常规产品使用问题。

          联系技术支持
          订购 Plus Icon Minus Icon
          • 订单状态查询
          • 订单支持
          • 货号直购
          • 现货供应中心
          • 电子采购
          支持 Plus Icon Minus Icon
          • 帮助&支持
          • 联系我们 - 400 820 8982
          • 技术支持中心
          • 查找文件&证书
          • 报告网站问题
          资源 Plus Icon Minus Icon
          • 学习中心
          • 促销
          • 活动&研讨会
          • 社交媒体
          关于赛默飞 Plus Icon Minus Icon
          • 关于我们
          • 招聘 招聘
          • 投资者关系 投资者关系
          • 新闻 新闻
          • 社会责任 社会责任
          • 商标
          • 政策和通知
          品牌 Plus Icon Minus Icon
          • Thermo Scientific
          • Applied Biosystems
          • Invitrogen
          • Gibco
          • Ion Torrent
          • Unity Lab Services
          • Patheon
          • PPD
          • 服务条款
          • 隐私政策
          • 定价和运输保险政策
          © 2006-2026 Thermo Fisher Scientific Inc. All rights reserved. All trademarks are the property of Thermo Fisher Scientific and its subsidiaries unless otherwise specified.
          China flag icon
          China
          本网站销售的所有产品均不得用于人类或动物之临床诊断或治疗,仅可用于工业或者科研等非医疗目的。
             电子营业执照 | 经营证照公示 | ICP备案号:沪ICP备11003924号 | 沪公网安备 31011502006935号

          Your items have has been added!


          Host server : magellan-search-green-6479c7f679-v472f:80/100.66.78.195:80.
          git-commit: b70c0dceb888abc3b0dcebb5bc3a5b8753e7e816
          git-url: https://github.com/thermofisher/magellan-search
          git-branch: release/2.50.0-Offline