Hamburger Menu Button
Thermo Fisher Scientific Logo
登录
没有账号?建立账号 注册
  • 产品
    • 抗体
    • 引物合成
    • GeneArt Gene Synthesis Instant Designer
    • TaqMan Assay and Array Search
    • PCR 设备和耗材
    • 色谱柱和纯化柱
    • 实验室离心机
    • 分子生物学试剂和试剂盒
    • 实验室塑料耗材及用品
    • 查看所有产品分类
  • 应用和技术
    • 色谱
    • 细胞转染和培养
    • 实时荧光定量PCR
    • 质谱
    • 实验室塑料耗材及用品
    • 电子显微镜
    • 蛋白质生物学
    • PCR
    • RNAi
    • 环境
    • 查看所有应用和技术
  • 服务
    • 定制服务
    • 企业级实验室信息化服务
    • 金融&租赁服务
    • 仪器服务
    • OEM和商业供应
    • 培训服务
    • 360° CDMO 和 CRO 服务
    • CDMO 服务
    • 临床试验 CRO 服务
    • Unity Lab Services
    • 查看所有帮助和支持
  • 帮助和支持
    • 学习中心
    • 联系我们
    • 更改国家或地区
    • 查看所有帮助和支持
  • 热门产品
    • TaqMan Real-Time PCR Assays
      TaqMan 实时荧光定量 PCR 试剂盒
    • Antibodies
      抗体
    • Oligos, Primers & Probes
      寡核苷酸、引物、探针
    • GeneArt Gene Synthesis
      GeneArt 基因合成
    • Cell Culture Plastics
      细胞培养耗材
  • Who We Serve
    • 抗体治疗解决方案
    • 细胞与基因治疗解决方案
    • 学术科研
    • 工业与应用
  • 联系我们
  • 货号直购
  • 订单查询
  • 查找文件&证书
Thermo Fisher Scientific Logo

Search

搜索全部或下列指定分类
Search button
          • 联系我们
          • 货号直购
          • 登录
            登录
            没有账号?建立账号 注册
            • 我的账号
            • 订单
            • 会员中心
            • 账单及发票查询
            • 定制产品及项目
          • Primary Antibodies ›
          • TAF1 Antibodies

          Proteintech

          TAF1 Polyclonal Antibody

          2 篇参考文献
          查看其他12个TAF1抗体

          {{$productOrderCtrl.translations['antibody.pdp.commerceCard.promotion.promotions']}}

          {{$productOrderCtrl.translations['antibody.pdp.commerceCard.promotion.viewpromo']}}

          {{$productOrderCtrl.translations['antibody.pdp.commerceCard.promotion.promocode']}}: {{promo.promoCode}} {{promo.promoTitle}} {{promo.promoDescription}}. {{$productOrderCtrl.translations['antibody.pdp.commerceCard.promotion.learnmore']}}

          说明书
          证书
          实验方案
          问题与答案
          技术支持
          说明书
          证书
          实验方案
          问题与答案
          技术支持
          说明书
          证书
          实验方案
          问题与答案
          技术支持

          Cite TAF1 Polyclonal Antibody

          Additional Information:
          {{banner.description}}
          {{$ctrl.isSkuNotesCollapsed ? 'View more' : 'View less'}}
          • 抗体检测数据 (11)
          TAF1 Antibody in Immunohistochemistry (Paraffin) (IHC (P))
          Group 53 Created with Sketch.
          TAF1 Antibody in Immunohistochemistry (Paraffin) (IHC (P))
          Group 53 Created with Sketch.

          图: 1 / 11

          {{ $ctrl.currentElement.advancedVerification.fullName }}
          {{ $ctrl.currentElement.advancedVerification.text }}

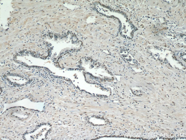
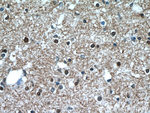
          TAF1 Antibody (20260-1-AP) in IHC (P)

          Immunohistochemistry of paraffin-embedded human prostate cancer using 20260-1-AP (TAF1-Specific antibody) at dilution of 1:600 (under 10x lens). {{ $ctrl.currentElement.advancedVerification.fullName }} 验证信息 View more
          已发表图片由___提供 benchsci-logo
          PMID: {{$ctrl.currentElement.benchSciPubmedId}}
          查看产品

          {{$ctrl.videoDesc}}

          {{$ctrl.videoLongDesc}}

          TAF1 Antibody in Immunohistochemistry (Paraffin) (IHC (P))
          TAF1 Antibody in Immunohistochemistry (Paraffin) (IHC (P))
          TAF1 Antibody in Immunohistochemistry (Paraffin) (IHC (P))
          TAF1 Antibody in Immunohistochemistry (Paraffin) (IHC (P))
          TAF1 Antibody in Immunohistochemistry (Paraffin) (IHC (P))
          TAF1 Antibody in Immunohistochemistry (Paraffin) (IHC (P))
          TAF1 Antibody in Immunohistochemistry (Paraffin) (IHC (P))
          TAF1 Antibody in Immunohistochemistry (Paraffin) (IHC (P))
          TAF1 Antibody in Western Blot (WB)
          TAF1 Antibody in Western Blot (WB)
          TAF1 Antibody in Western Blot (WB)

          产品信息

          20260-1-AP

          应用
          建议稀释比
          已发表文章

          免疫印迹 (WB)

          1:500-1:3,000
          查看2篇已发表文章 2篇已发表文章

          免疫组化(石蜡) (IHC (P))

          1:300-1:1200
          -
          产品规格

          种属反应

          Human, Mouse

          宿主/亚型

          Rabbit / IgG

          分类

          Polyclonal

          类型

          Antibody

          抗原

          Peptide

          偶联物

          Unconjugated Unconjugated Unconjugated

          形式

          Liquid

          浓度

          0.16 mg/mL

          规格

          24 µg

          纯化类型

          Antigen affinity chromatography

          保存液

          PBS, pH 7.3, with 50% glycerol

          内含物

          0.02% sodium azide

          保存条件

          -20°C

          运输条件

          Wet ice (domestic); Dry ice (international)

          产品详细信息

          The antibody is specific to TAF1.

          靶标信息

          3-Phosphoglycerate dehydrogenase (PHGDH; EC 1.1.1.95) catalyzes the transition of 3-phosphoglycerate into 3-phosphohydroxypyruvate, which is the first and rate-limiting step in the phosphorylated pathway of serine biosynthesis, using NAD+/NADH as a cofactor.

          仅用于科研。不用于诊断过程。未经明确授权不得转售。

          生物信息学

          蛋白别名: Cell cycle gene 1 protein; cell cycle, G1 phase defect; complementation of cell cycle block, G1-to-S; p250; TAF(II)250; TAF1 RNA polymerase II, TATA box binding protein (TBP)-associated factor, 250kDa; TAF1 RNA polymerase II, TATA box binding protein (TBP)-associated factor, neuron specific isoform; TBP-associated factor 250 kDa; transcription factor TFIID p250 polypeptide; Transcription initiation factor TFIID 250 kDa subunit; Transcription initiation factor TFIID subunit 1

          查看更多 收起

          基因别名: AU015687; B430306D02Rik; BA2R; Ccg-1; CCG1; CCGS; DYT3; DYT3/TAF1; KAT4; MRXS33; N-TAF1; NSCL2; OF; P250; TAF(II)250; TAF1; TAF2A; TAFII-250; TAFII250; XDP

          查看更多 收起

          UniProt ID: (Human) P21675, (Mouse) Q80UV9

          查看更多 收起

          Entrez Gene ID: (Human) 6872, (Mouse) 270627

          查看更多 收起

          功能
          nucleotide binding RNA polymerase II core promoter sequence-specific DNA binding RNA polymerase II general transcription initiation factor binding transcription factor activity, core RNA polymerase I binding p53 binding DNA binding histone acetyltransferase activity protein kinase activity protein serine/threonine kinase activity protein binding ATP binding obsolete general RNA polymerase II transcription factor activity kinase activity transferase activity transferase activity, transferring acyl groups ligand-dependent nuclear receptor binding TBP-class protein binding sequence-specific DNA binding protein heterodimerization activity H3K27me3 modified histone binding RNA polymerase II sequence-specific DNA binding transcription factor binding ubiquitin conjugating enzyme activity peptide-lysine-N-acetyltransferase activity protein serine kinase activity histone H4K16ac reader activity transcription regulator inhibitor activity histone reader activity acetyl-CoA binding transcription coactivator activity transcription factor binding lysine-acetylated histone binding general transcription factor
          参与通路
          negative regulation of transcription from RNA polymerase II promoter protein polyubiquitination chromatin organization chromatin remodeling DNA-templated transcription, initiation transcription initiation from RNA polymerase I promoter transcription from RNA polymerase II promoter transcription initiation from RNA polymerase II promoter ubiquitin-dependent protein catabolic process cellular response to DNA damage stimulus negative regulation of gene expression midbrain development positive regulation of proteasomal ubiquitin-dependent protein catabolic process cellular response to UV mRNA transcription from RNA polymerase II promoter positive regulation of transcription from RNA polymerase II promoter protein autophosphorylation protein stabilization RNA polymerase II transcriptional preinitiation complex assembly positive regulation of transcription initiation from RNA polymerase II promoter cellular response to ATP positive regulation of androgen receptor signaling pathway regulation of signal transduction by p53 class mediator negative regulation of signal transduction by p53 class mediator regulation of cell cycle G1/S phase transition negative regulation of protein autoubiquitination negative regulation of protein ubiquitination involved in ubiquitin-dependent protein catabolic process transcription, DNA-templated regulation of transcription, DNA-templated cell cycle phosphorylation histone acetylation peptidyl-serine phosphorylation peptidyl-threonine phosphorylation
          It has to be done as per old AB suggested Products section.

          Disclaimer

          Close

          Clicking the images or links will redirect you to a website hosted by BenchSci that provides third-party scientific content. Neither the content nor the BenchSci technology and processes for selection have been evaluated by us; we are providing them as-is and without warranty of any kind, including for use or application of the Thermo Fisher Scientific products presented.

          guarantee_icon

          性能保障

          只要您发现Invitrogen抗体在实验中的表现与网站或说明书的所述内容不符,您即可享受免费退换货服务。*

          了解更多
          help_icon

          随时为您服务

          获取常见问题的专家解答,或者直接联系我们的技术专家,咨询应用、设备、常规产品使用问题。

          联系技术支持
          订购 Plus Icon Minus Icon
          • 订单状态查询
          • 订单支持
          • 货号直购
          • 现货供应中心
          • 电子采购
          支持 Plus Icon Minus Icon
          • 帮助&支持
          • 联系我们 - 400 820 8982
          • 技术支持中心
          • 查找文件&证书
          • 报告网站问题
          资源 Plus Icon Minus Icon
          • 学习中心
          • 促销
          • 活动&研讨会
          • 社交媒体
          关于赛默飞 Plus Icon Minus Icon
          • 关于我们
          • 招聘 招聘
          • 投资者关系 投资者关系
          • 新闻 新闻
          • 社会责任 社会责任
          • 商标
          • 政策和通知
          品牌 Plus Icon Minus Icon
          • Thermo Scientific
          • Applied Biosystems
          • Invitrogen
          • Gibco
          • Ion Torrent
          • Unity Lab Services
          • Patheon
          • PPD
          • 服务条款
          • 隐私政策
          • 定价和运输保险政策
          © 2006-2026 Thermo Fisher Scientific Inc. All rights reserved. All trademarks are the property of Thermo Fisher Scientific and its subsidiaries unless otherwise specified.
          China flag icon
          China
          本网站销售的所有产品均不得用于人类或动物之临床诊断或治疗,仅可用于工业或者科研等非医疗目的。
             电子营业执照 | 经营证照公示 | ICP备案号:沪ICP备11003924号 | 沪公网安备 31011502006935号

          Your items have has been added!


          Host server : magellan-search-blue-fcf5f9d6d-vrzpg:80/100.66.79.169:80.
          git-commit: 856de8fa7eff2d55603d92afdf035972e45c3e8a
          git-url: https://github.com/thermofisher/magellan-search
          git-branch: release/2.51.0-2026.05.21-1.0