Hamburger Menu Button
Thermo Fisher Scientific Logo
登录
没有账号?建立账号 注册
  • 产品
    • 抗体
    • 引物合成
    • GeneArt Gene Synthesis Instant Designer
    • TaqMan Assay and Array Search
    • PCR 设备和耗材
    • 色谱柱和纯化柱
    • 实验室离心机
    • 分子生物学试剂和试剂盒
    • 实验室塑料耗材及用品
    • 查看所有产品分类
  • 应用和技术
    • 色谱
    • 细胞转染和培养
    • 实时荧光定量PCR
    • 质谱
    • 实验室塑料耗材及用品
    • 电子显微镜
    • 蛋白质生物学
    • PCR
    • RNAi
    • 环境
    • 查看所有应用和技术
  • 服务
    • 定制服务
    • 企业级实验室信息化服务
    • 企业服务
    • 金融&租赁服务
    • 仪器服务
    • OEM和商业供应
    • 培训服务
    • 360° CDMO 和 CRO 服务
    • CDMO 服务
    • 临床试验 CRO 服务
    • 查看所有帮助和支持
  • 帮助和支持
    • 学习中心
    • 联系我们
    • 更改国家或地区
    • 查看所有帮助和支持
  • 热门产品
    • TaqMan Real-Time PCR Assays
      TaqMan 实时荧光定量 PCR 试剂盒
    • Antibodies
      抗体
    • Oligos, Primers & Probes
      寡核苷酸、引物、探针
    • GeneArt Gene Synthesis
      GeneArt 基因合成
    • Cell Culture Plastics
      细胞培养耗材
  • 联系我们
  • 货号直购
  • 订单查询
  • 查找文件&证书
Thermo Fisher Scientific Logo

Search

搜索全部或下列指定分类
Search button
          • 联系我们
          • 货号直购
          • 登录
            登录
            没有账号?建立账号 注册
            • 我的账号
            • 订单
            • 账单及发票查询
            • 定制产品及项目

          Disclaimer

          Clicking the images or links will redirect you to a website hosted by BenchSci that provides third-party scientific content. Neither the content nor the BenchSci technology and processes for selection have been evaluated by us; we are providing them as-is and without warranty of any kind, including for use or application of the Thermo Fisher Scientific products presented.

          • Primary Antibodies ›
          • TAL1 Antibodies

          Invitrogen

          TAL-1 Monoclonal Antibody (2TL242), eBioscience™

          查看其他16个TAL1抗体

          {{$productOrderCtrl.translations['antibody.pdp.commerceCard.promotion.promotions']}}

          {{$productOrderCtrl.translations['antibody.pdp.commerceCard.promotion.viewpromo']}}

          {{$productOrderCtrl.translations['antibody.pdp.commerceCard.promotion.promocode']}}: {{promo.promoCode}} {{promo.promoTitle}} {{promo.promoDescription}}. {{$productOrderCtrl.translations['antibody.pdp.commerceCard.promotion.learnmore']}}

          说明书
          证书
          实验方案
          问题与答案
          技术支持
          说明书
          证书
          实验方案
          问题与答案
          技术支持
          说明书
          证书
          实验方案
          问题与答案
          技术支持

          Cite TAL-1 Monoclonal Antibody (2TL242), eBioscience™

          • 抗体检测数据 (1)
          TAL-1 Antibody in Immunohistochemistry (Paraffin) (IHC (P))
          Group 53 Created with Sketch.
          TAL-1 Antibody in Immunohistochemistry (Paraffin) (IHC (P))
          Group 53 Created with Sketch.

          图: 1 / 1

          {{ $ctrl.currentElement.advancedVerification.fullName }}
          {{ $ctrl.currentElement.advancedVerification.text }}

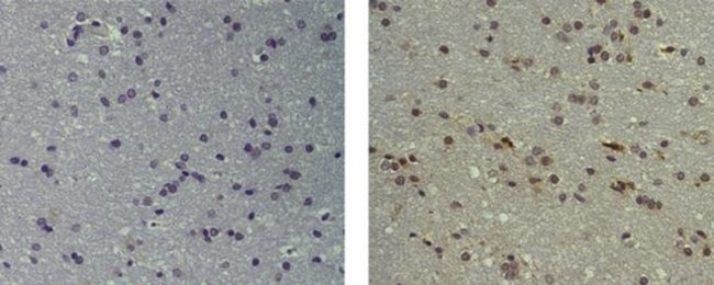
          TAL-1 Antibody (14-9101-82) in IHC (P)

          Immunohistochemistry of formalin-fixed paraffin embedded human cerebellum stained with 20 µg/mL Mouse IgG1 kappa Isotype Control Purified (Product # 14-4714-82) (left) or 20 µg/mL Anti-Human TAL-1 Purified (right) followed by Anti-Mouse IgG Biotin, Streptavidin HRP and DAB visualization. Nuclei are counterstained with hematoxylin. {{ $ctrl.currentElement.advancedVerification.fullName }} 验证信息 View more
          已发表图片由___提供 benchsci-logo
          PMID: {{$ctrl.currentElement.benchSciPubmedId}}
          查看产品

          {{$ctrl.videoDesc}}

          {{$ctrl.videoLongDesc}}

          TAL-1 Antibody in Immunohistochemistry (Paraffin) (IHC (P))

          产品信息

          14-9101-82

          应用
          建议稀释比
          已发表文章

          免疫印迹 (WB)

          5 µg/mL
          -

          免疫组化(石蜡) (IHC (P))

          20 µg/mL
          -

          免疫细胞化学 (ICC/IF)

          Assay-Dependent
          -
          产品规格

          种属反应

          Human

          宿主/亚型

          Mouse / IgG1, kappa

          分类

          Monoclonal

          类型

          Antibody

          克隆号

          2TL242

          偶联物

          Unconjugated Unconjugated Unconjugated

          形式

          Liquid

          浓度

          0.5 mg/mL

          纯化类型

          Affinity chromatography

          保存液

          PBS, pH 7.2

          内含物

          0.09% sodium azide

          保存条件

          4°C

          运输条件

          Ambient (domestic); Wet ice (international)

          RRID

          AB_2572922

          产品详细信息

          Description: The monoclonal antibody 2TL242 recognizes human TAL-1. The TAL-1 protein is encoded by the tal-1 (T-acute leukemia or stem cell leukemia (SCL)) gene and functions as a 42 kDa basic helix loop helix transcription factor involved in mediating cell growth and differentation. Rearrangements of the tal-1 gene are common in human T-cell acute leukemias (T-ALLs) and result in aberrant transcription in leukemic cells. TAL-1 expression in leukemic cells is localized to the nucleus although both nuclear and cytoplasmic expression has been shown in normal cells such as erythroid precursors, megakaryocytes, endothelial cells, and macrophages scattered throughout tissues such as the tonsil, cerebellum, kidney, lung and spleen. TAL-1 is known to regulate both embryonic and adult hematopoiesis and more recently was found to regulate proliferation and differentiation of common myeloid precursors to monocytes and ultimately macrophages within tissue.

          Applications Reported: This 2TL242 antibody has been reported for use in western blotting, microscopy, immunohistochemical staining, and immunocytochemistry.

          Applications Tested: This 2TL242 antibody has been tested by immunohistochemistry of formalin-fixed paraffin embedded human tissue using either low or high pH antigen retrieval at less than or equal to 20 µg/mL. This 2TL242 antibody has also been tested by western blot of reduced Jurkat cell lysate at less than or equal to 5 µg/mL. It is recommended that the antibody be carefully titrated for optimal performance in the assay of interest.

          Purity: Greater than 90%, as determined by SDS-PAGE.

          Aggregation: Less than 10%, as determined by HPLC.

          Filtration: 0.2 µm post-manufacturing filtered.

          靶标信息

          TAL-1 is a basic helix-loop-helix transcription. It regulates differentiation and survival during hemopoiesis. TAL-1 is also implicated in the genesis of hemopoietic malignancies and it may play an important role in hemopoietic differentiation. It serves as a positive regulator of eryhtroid differentiation. Mutations are associated with T-cell leukemia and melanoma. TAL-1 is know to bind to the LIM domain containing protein Rhombotin-2.

          仅用于科研。不用于诊断过程。未经明确授权不得转售。

          篇参考文献 (0)

          您是否在文献中引用过该产品?请点击下方按钮邮件告知我们。
          引用该产品

          生物信息学

          蛋白别名: bHLHa17; Class A basic helix-loop-helix protein 17; HGNC:11556; Stem cell protein; T-cell acute lymphocytic leukemia 1; T-cell acute lymphocytic leukemia protein 1; T-cell leukemia/lymphoma protein 5; TAL-1; tal-1 product

          查看更多 收起

          基因别名: BHLHA17; SCL; tal-1; TAL1; TCL5

          查看更多 收起

          UniProt ID: (Human) P17542

          查看更多 收起

          Entrez Gene ID: (Human) 6886

          查看更多 收起

          功能
          RNA polymerase II regulatory region sequence-specific DNA binding RNA polymerase II core promoter sequence-specific DNA binding RNA polymerase II distal enhancer sequence-specific DNA binding RNA polymerase II transcription factor activity, sequence-specific DNA binding RNA polymerase II transcription factor binding chromatin binding transcription factor activity, sequence-specific DNA binding protein binding enzyme binding histone deacetylase binding transcription regulatory region DNA binding protein heterodimerization activity E-box binding basic helix-loop-helix transcription factor
          参与通路
          negative regulation of transcription from RNA polymerase II promoter angiogenesis transcription, DNA-templated regulation of transcription from RNA polymerase II promoter locomotory behavior spinal cord association neuron differentiation hemopoiesis erythrocyte differentiation megakaryocyte differentiation platelet formation basophil differentiation positive regulation of protein complex assembly embryonic hemopoiesis megakaryocyte development regulation of cell proliferation erythrocyte maturation cell fate commitment positive regulation of erythrocyte differentiation positive regulation of chromatin assembly or disassembly positive regulation of transcription, DNA-templated positive regulation of mitotic cell cycle positive regulation of transcription from RNA polymerase II promoter positive regulation of cell division astrocyte fate commitment definitive hemopoiesis hemangioblast cell differentiation hematopoietic stem cell differentiation regulation of mast cell differentiation regulation of stem cell population maintenance
          It has to be done as per old AB suggested Products section.
          guarantee_icon

          性能保障

          只要您发现Invitrogen抗体在实验中的表现与网站或说明书的所述内容不符,您即可享受免费退换货服务。*

          了解更多
          help_icon

          随时为您服务

          获取常见问题的专家解答,或者直接联系我们的技术专家,咨询应用、设备、常规产品使用问题。

          联系技术支持
          订购 Plus Icon Minus Icon
          • 订单状态查询
          • 订单支持
          • 货号直购
          • 现货供应中心
          • 电子采购
          支持 Plus Icon Minus Icon
          • 帮助&支持
          • 联系我们 - 400 820 8982
          • 技术支持中心
          • 查找文件&证书
          • 报告网站问题
          资源 Plus Icon Minus Icon
          • 学习中心
          • 促销
          • 活动&研讨会
          • 社交媒体
          关于赛默飞 Plus Icon Minus Icon
          • 关于我们
          • 招聘 招聘
          • 投资者关系 投资者关系
          • 新闻 新闻
          • 社会责任 社会责任
          • 商标
          • 政策和通知
          品牌 Plus Icon Minus Icon
          • Thermo Scientific
          • Applied Biosystems
          • Invitrogen
          • Gibco
          • Ion Torrent
          • Patheon
          • PPD
          • 服务条款
          • 隐私政策
          • 定价和运输保险政策
          © 2006-2026 Thermo Fisher Scientific Inc. All rights reserved. All trademarks are the property of Thermo Fisher Scientific and its subsidiaries unless otherwise specified.
          China flag icon
          China
          本网站销售的所有产品均不得用于人类或动物之临床诊断或治疗,仅可用于工业或者科研等非医疗目的。
             电子营业执照 | 经营证照公示 | ICP备案号:沪ICP备11003924号 | 沪公网安备 31011502006935号

          Your items have has been added!


          Host server : magellan-search-blue-55ff9ddd88-8jdkq:80/100.66.75.107:80.
          git-commit: d366ff9721d93504b2ac26a183b2b3e3d0e7d9ec
          git-url: https://github.com/thermofisher/magellan-search
          git-branch: release/2.42.0-2026.01.03-1.0