Hamburger Menu Button
Thermo Fisher Scientific Logo
登录
没有账号?建立账号 注册
  • 产品
    • 抗体
    • 引物合成
    • GeneArt Gene Synthesis Instant Designer
    • TaqMan Assay and Array Search
    • PCR 设备和耗材
    • 色谱柱和纯化柱
    • 实验室离心机
    • 分子生物学试剂和试剂盒
    • 实验室塑料耗材及用品
    • 查看所有产品分类
  • 应用和技术
    • 色谱
    • 细胞转染和培养
    • 实时荧光定量PCR
    • 质谱
    • 实验室塑料耗材及用品
    • 电子显微镜
    • 蛋白质生物学
    • PCR
    • RNAi
    • 环境
    • 查看所有应用和技术
  • 服务
    • 定制服务
    • 企业级实验室信息化服务
    • 金融&租赁服务
    • 仪器服务
    • OEM和商业供应
    • 培训服务
    • 360° CDMO 和 CRO 服务
    • CDMO 服务
    • 临床试验 CRO 服务
    • Unity Lab Services
    • 查看所有帮助和支持
  • 帮助和支持
    • 学习中心
    • 联系我们
    • 更改国家或地区
    • 查看所有帮助和支持
  • 热门产品
    • TaqMan Real-Time PCR Assays
      TaqMan 实时荧光定量 PCR 试剂盒
    • Antibodies
      抗体
    • Oligos, Primers & Probes
      寡核苷酸、引物、探针
    • GeneArt Gene Synthesis
      GeneArt 基因合成
    • Cell Culture Plastics
      细胞培养耗材
  • Who We Serve
    • 抗体治疗解决方案
    • 细胞与基因治疗解决方案
    • 学术科研
    • 工业与应用
  • 联系我们
  • 货号直购
  • 订单查询
  • 查找文件&证书
Thermo Fisher Scientific Logo

Search

搜索全部或下列指定分类
Search button
          • 联系我们
          • 货号直购
          • 登录
            登录
            没有账号?建立账号 注册
            • 我的账号
            • 订单
            • 会员中心
            • 账单及发票查询
            • 定制产品及项目
          • Primary Antibodies ›
          • TCF7L2 Antibodies

          Invitrogen

          TCF7L2 Recombinant Rabbit Monoclonal Antibody (SC06-90)

          高级验证
          查看其他22个TCF7L2抗体

          {{$productOrderCtrl.translations['antibody.pdp.commerceCard.promotion.promotions']}}

          {{$productOrderCtrl.translations['antibody.pdp.commerceCard.promotion.viewpromo']}}

          {{$productOrderCtrl.translations['antibody.pdp.commerceCard.promotion.promocode']}}: {{promo.promoCode}} {{promo.promoTitle}} {{promo.promoDescription}}. {{$productOrderCtrl.translations['antibody.pdp.commerceCard.promotion.learnmore']}}

          说明书
          证书
          实验方案
          问题与答案
          技术支持
          说明书
          证书
          实验方案
          问题与答案
          技术支持
          说明书
          证书
          实验方案
          问题与答案
          技术支持

          Cite TCF7L2 Recombinant Rabbit Monoclonal Antibody (SC06-90)

          Additional Information:
          {{banner.description}}
          {{$ctrl.isSkuNotesCollapsed ? 'View more' : 'View less'}}
          • 抗体检测数据 (11)
          • 高级验证 (1)
          TCF7L2 Antibody in Immunocytochemistry (ICC/IF)
          Group 53 Created with Sketch.
          TCF7L2 Antibody in Immunocytochemistry (ICC/IF)
          Group 53 Created with Sketch.

          图: 1 / 12

          {{ $ctrl.currentElement.advancedVerification.fullName }}
          {{ $ctrl.currentElement.advancedVerification.text }}

          TCF7L2 Antibody (MA5-32240) in ICC/IF

          Immunofluorescence analysis of Transcription factor 7-like 2 was performed using 70% confluent log phase A-431 cells. The cells were fixed with 4% paraformaldehyde for 10 minutes, permeabilized with 0.1% Triton™ X-100 for 15 minutes, and blocked with 2% BSA for 45 minutes at room temperature. The cells were labeled with TCF7L2 Recombinant Rabbit Monoclonal Antibody (SC06-90) (Product # MA5-32240) at 1:100 dilution in 0.1% BSA, incubated at 4 degree celsius overnight and then labeled with Donkey anti-Rabbit IgG (H+L) Highly Cross-Adsorbed S... View More {{ $ctrl.currentElement.advancedVerification.fullName }} 验证信息 View more
          已发表图片由___提供 benchsci-logo
          PMID: {{$ctrl.currentElement.benchSciPubmedId}}
          查看产品

          {{$ctrl.videoDesc}}

          {{$ctrl.videoLongDesc}}

          TCF7L2 Antibody in Immunocytochemistry (ICC/IF)
          TCF7L2 Antibody in Immunocytochemistry (ICC/IF)
          TCF7L2 Antibody in Immunocytochemistry (ICC/IF)
          TCF7L2 Antibody in Immunocytochemistry (ICC/IF)
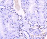
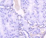
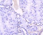
          TCF7L2 Antibody in Immunohistochemistry (Paraffin) (IHC (P))
          TCF7L2 Antibody in Immunohistochemistry (Paraffin) (IHC (P))
          TCF7L2 Antibody in Western Blot (WB)
          TCF7L2 Antibody in Western Blot (WB)
          TCF7L2 Antibody in Western Blot (WB)
          TCF7L2 Antibody in Flow Cytometry (Flow)
          TCF7L2 Antibody in ChIP Assay (ChIP)
          TCF7L2 Antibody
          TCF7L2 Recombinant Rabbit Monoclonal Antibody (SC06-90)

          产品信息

          MA5-32240

          应用
          建议稀释比
          已发表文章

          免疫印迹 (WB)

          1:1,000-1:5,000
          -

          免疫组化(石蜡) (IHC (P))

          1:50-1:1,000
          -

          免疫细胞化学 (ICC/IF)

          1:100
          -

          流式细胞分析 (Flow)

          1:50-1:100
          -

          染色质免疫沉淀 实验 (ChIP)

          2.5 µg/10^6 cells
          -
          产品规格

          种属反应

          Human, Mouse, Rat

          宿主/亚型

          Rabbit / IgG

          Expression System

          HEK293 cells

          分类

          Recombinant Monoclonal

          类型

          Antibody

          克隆号

          SC06-90

          抗原

          Synthetic peptide within Human TCF7L2 aa 1-49.
          3D表位/免疫原

          偶联物

          Unconjugated Unconjugated Unconjugated

          形式

          Liquid

          浓度

          1 mg/mL

          规格

          100 µg

          纯化类型

          Protein A

          保存液

          TBS, pH 7.4, with 40% Glycerol, 0.05% BSA

          内含物

          0.05% sodium azide

          保存条件

          Store at 4°C short term. For long term storage, store at -20°C, avoiding freeze/thaw cycles.

          运输条件

          Ambient (domestic); Wet ice (international)

          RRID

          AB_2809526

          产品详细信息

          Recombinant rabbit monoclonal antibodies are produced using in vitro expression systems. The expression systems are developed by cloning in the specific antibody DNA sequences from immunoreactive rabbits. Then, individual clones are screened to select the best candidates for production. The advantages of using recombinant rabbit monoclonal antibodies include: better specificity and sensitivity, lot-to-lot consistency, animal origin-free formulations, and broader immunoreactivity to diverse targets due to larger rabbit immune repertoire.

          靶标信息

          TCF7L2, or TCF4, is a high mobility group (HMG) box-containing transcription factor that plays a key role in the Wnt signaling pathway. TCF7L2 has been implicated in glucose homeostasis through the regulation of pro-glucagon gene expression, which encodes glucagon-like peptide 1 (GLP-1). Genetic variants of TCF7L2 have been linked to type 2 diabetes, and it has specifically been shown to have an important role in the regulation of both beta-cell survival and function. Several splicing isoforms for TCF7L2 have been shown to be differentially expressed in tissues during cancer progression, and gene targeting studies indicate that TCF7L2 is required to maintain the crypt stem cells of the small intestine.

          仅用于科研。不用于诊断过程。未经明确授权不得转售。

          篇参考文献 (0)

          您是否在文献中引用过该产品?请点击下方按钮邮件告知我们。
          引用该产品

          生物信息学

          蛋白别名: contains exons 1, 2, 3, 4, 5, 6, 7L, 8, 9L, 10, 11, 12, 13, 17; contains exons 1, 2, 3, 4, 5, 6, 7L, 8, 9L, 10, 11, 12, 15, 17; contains exons 1, 2, 3, 4, 5, 6, 7L, 8, 9L, 10, 11, 12, 17; contains exons 1, 2, 3, 4, 5, 6, 7L, 8, 9S, 10, 11, 12, 13, 14, 17; contains exons 1, 2, 3, 4, 5, 6, 7L, 8, 9S, 10, 11, 12, 13, 17; contains exons 1, 2, 3, 4, 5, 6, 7L, 8, 9S, 10, 11, 12, 17; contains exons 1, 2, 3, 4, 5, 6, 7S, 8, 9S, 10, 11, 12, 17; contains exons 1, 2, 3, 5, 6, 7L, 8, 9L, 10, 11, 12, 15, 17; contains exons 1, 2, 3, 5, 6, 7L, 8, 9L, 10, 11, 12, 17; contains exons 1, 2, 3, 5, 6, 7L, 8, 9S, 10, 11, 12, 13, 14, 17; contains exons 1, 2, 3, 5, 6, 7L, 8, 9S, 10, 11, 12, 15, 17; contains exons 1, 2, 3, 5, 6, 7L, 8, 9S, 10, 11, 12, 17; contains exons 1, 2, 3, 5, 6, 7S, 8, 9S, 10, 11, 12, 17; contains exons 8, 9L, 10, 11, 12, 13, 14, 17; HMG box transcription factor 4; hTCF; hTCF 4; hTCF-4; mTCF-4; RP11-357H24.1; T-cell factor 4; T-cell-specific transcription factor 4; TCF 4; TCF7L2; TCF7L2 protein; transcription factor; Transcription factor 7-like 2; transcription factor 7-like 2 (T-cell specific, HMG-box); transcription factor 7-like 2, T-cell specific, HMG-box; unnamed protein product

          查看更多 收起

          基因别名: mTcf-4B; mTcf-4E; TCF-4; TCF4; TCF4B; TCF4E; TCF7L2

          查看更多 收起

          UniProt ID: (Human) Q9NQB0, (Mouse) Q924A0

          查看更多 收起

          Entrez Gene ID: (Human) 6934, (Rat) 679869, (Mouse) 21416

          查看更多 收起

          功能
          transcription regulatory region sequence-specific DNA binding RNA polymerase II core promoter proximal region sequence-specific DNA binding RNA polymerase II transcription factor activity, sequence-specific DNA binding transcription corepressor binding transcriptional repressor activity, RNA polymerase II transcription regulatory region sequence-specific binding DNA binding transcription factor activity, sequence-specific DNA binding protein binding beta-catenin binding ligand-dependent nuclear receptor binding protein kinase binding sequence-specific DNA binding gamma-catenin binding RNA polymerase II sequence-specific DNA binding transcription factor binding armadillo repeat domain binding promoter-specific chromatin binding RNA polymerase II core promoter sequence-specific DNA binding transcriptional activator activity, RNA polymerase II core promoter proximal region sequence-specific binding RNA polymerase II repressing transcription factor binding molecular_function chromatin binding transcription factor binding nuclear hormone receptor binding transcription regulatory region DNA binding DNA-binding transcription factor
          参与通路
          negative regulation of transcription from RNA polymerase II promoter blood vessel development regulation of transcription from RNA polymerase II promoter response to glucose positive regulation of epithelial to mesenchymal transition positive regulation of heparan sulfate proteoglycan biosynthetic process Wnt signaling pathway pancreas development positive regulation of insulin secretion regulation of hormone metabolic process glucose homeostasis maintenance of DNA repeat elements fat cell differentiation negative regulation of gluconeogenesis negative regulation of transcription, DNA-templated positive regulation of transcription from RNA polymerase II promoter myoblast fate commitment regulation of smooth muscle cell proliferation positive regulation of epithelial cell proliferation positive regulation of protein kinase B signaling canonical Wnt signaling pathway negative regulation of androgen receptor signaling pathway negative regulation of canonical Wnt signaling pathway positive regulation of protein localization to nucleus negative regulation of type B pancreatic cell apoptotic process negative regulation of extrinsic apoptotic signaling pathway cellular glucose homeostasis glycogen metabolic process glucose metabolic process regulation of transcription, DNA-templated transcription from RNA polymerase II promoter cell cycle arrest biological_process cell proliferation cellular response to starvation post-embryonic development positive regulation of triglyceride biosynthetic process oligodendrocyte development neural tube development pituitary gland development bone mineralization negative regulation of BMP signaling pathway embryonic genitalia morphogenesis regulation of myelination positive regulation of protein binding secretory granule localization somatic stem cell population maintenance multicellular organism growth catenin import into nucleus regulation of gluconeogenesis by regulation of transcription from RNA polymerase II promoter negative regulation of fibroblast growth factor receptor signaling pathway odontogenesis of dentin-containing tooth positive regulation of apoptotic process negative regulation of sequence-specific DNA binding transcription factor activity skin development canonical Wnt signaling pathway involved in positive regulation of epithelial to mesenchymal transition negative regulation of fat cell differentiation positive regulation of gluconeogenesis positive regulation of transcription, DNA-templated negative regulation of organ growth positive regulation of protein export from nucleus positive regulation of lipid biosynthetic process embryonic digestive tract morphogenesis embryonic hindgut morphogenesis regulation of skeletal muscle tissue development regulation of oligodendrocyte differentiation face morphogenesis regulation of insulin secretion involved in cellular response to glucose stimulus insulin metabolic process transcription, DNA-templated generation of neurons
          It has to be done as per old AB suggested Products section.

          Disclaimer

          Close

          Clicking the images or links will redirect you to a website hosted by BenchSci that provides third-party scientific content. Neither the content nor the BenchSci technology and processes for selection have been evaluated by us; we are providing them as-is and without warranty of any kind, including for use or application of the Thermo Fisher Scientific products presented.

          guarantee_icon

          性能保障

          只要您发现Invitrogen抗体在实验中的表现与网站或说明书的所述内容不符,您即可享受免费退换货服务。*

          了解更多
          help_icon

          随时为您服务

          获取常见问题的专家解答,或者直接联系我们的技术专家,咨询应用、设备、常规产品使用问题。

          联系技术支持
          订购 Plus Icon Minus Icon
          • 订单状态查询
          • 订单支持
          • 货号直购
          • 现货供应中心
          • 电子采购
          支持 Plus Icon Minus Icon
          • 帮助&支持
          • 联系我们 - 400 820 8982
          • 技术支持中心
          • 查找文件&证书
          • 报告网站问题
          资源 Plus Icon Minus Icon
          • 学习中心
          • 促销
          • 活动&研讨会
          • 社交媒体
          关于赛默飞 Plus Icon Minus Icon
          • 关于我们
          • 招聘 招聘
          • 投资者关系 投资者关系
          • 新闻 新闻
          • 社会责任 社会责任
          • 商标
          • 政策和通知
          品牌 Plus Icon Minus Icon
          • Thermo Scientific
          • Applied Biosystems
          • Invitrogen
          • Gibco
          • Ion Torrent
          • Unity Lab Services
          • Patheon
          • PPD
          • 服务条款
          • 隐私政策
          • 定价和运输保险政策
          © 2006-2026 Thermo Fisher Scientific Inc. All rights reserved. All trademarks are the property of Thermo Fisher Scientific and its subsidiaries unless otherwise specified.
          China flag icon
          China
          本网站销售的所有产品均不得用于人类或动物之临床诊断或治疗,仅可用于工业或者科研等非医疗目的。
             电子营业执照 | 经营证照公示 | ICP备案号:沪ICP备11003924号 | 沪公网安备 31011502006935号

          Your items have has been added!


          Host server : magellan-search-green-6479c7f679-sz4vp:80/100.66.76.236:80.
          git-commit: b70c0dceb888abc3b0dcebb5bc3a5b8753e7e816
          git-url: https://github.com/thermofisher/magellan-search
          git-branch: release/2.50.0-Offline