Hamburger Menu Button
Thermo Fisher Scientific Logo
登录
没有账号?建立账号 注册
  • 产品
    • 抗体
    • 引物合成
    • GeneArt Gene Synthesis Instant Designer
    • TaqMan Assay and Array Search
    • PCR 设备和耗材
    • 色谱柱和纯化柱
    • 实验室离心机
    • 分子生物学试剂和试剂盒
    • 实验室塑料耗材及用品
    • 查看所有产品分类
  • 应用和技术
    • 色谱
    • 细胞转染和培养
    • 实时荧光定量PCR
    • 质谱
    • 实验室塑料耗材及用品
    • 电子显微镜
    • 蛋白质生物学
    • PCR
    • RNAi
    • 环境
    • 查看所有应用和技术
  • 服务
    • 定制服务
    • 企业级实验室信息化服务
    • 金融&租赁服务
    • 仪器服务
    • OEM和商业供应
    • 培训服务
    • 360° CDMO 和 CRO 服务
    • CDMO 服务
    • 临床试验 CRO 服务
    • Unity Lab Services
    • 查看所有帮助和支持
  • 帮助和支持
    • 学习中心
    • 联系我们
    • 更改国家或地区
    • 查看所有帮助和支持
  • 热门产品
    • TaqMan Real-Time PCR Assays
      TaqMan 实时荧光定量 PCR 试剂盒
    • Antibodies
      抗体
    • Oligos, Primers & Probes
      寡核苷酸、引物、探针
    • GeneArt Gene Synthesis
      GeneArt 基因合成
    • Cell Culture Plastics
      细胞培养耗材
  • Who We Serve
    • 抗体治疗解决方案
    • 细胞与基因治疗解决方案
    • 学术科研
    • 工业与应用
  • 联系我们
  • 货号直购
  • 订单查询
  • 查找文件&证书
Thermo Fisher Scientific Logo

Search

搜索全部或下列指定分类
Search button
          • 联系我们
          • 货号直购
          • 登录
            登录
            没有账号?建立账号 注册
            • 我的账号
            • 订单
            • 会员中心
            • 账单及发票查询
            • 定制产品及项目
          • Primary Antibodies ›
          • TCIRG1 Antibodies

          Invitrogen

          TCIRG1 Polyclonal Antibody

          1个已发表图片
          1 篇参考文献
          查看其他7个TCIRG1抗体

          {{$productOrderCtrl.translations['antibody.pdp.commerceCard.promotion.promotions']}}

          {{$productOrderCtrl.translations['antibody.pdp.commerceCard.promotion.viewpromo']}}

          {{$productOrderCtrl.translations['antibody.pdp.commerceCard.promotion.promocode']}}: {{promo.promoCode}} {{promo.promoTitle}} {{promo.promoDescription}}. {{$productOrderCtrl.translations['antibody.pdp.commerceCard.promotion.learnmore']}}

          说明书
          证书
          实验方案
          问题与答案
          技术支持
          说明书
          证书
          实验方案
          问题与答案
          技术支持
          说明书
          证书
          实验方案
          问题与答案
          技术支持

          Cite TCIRG1 Polyclonal Antibody

          Additional Information:
          {{banner.description}}
          {{$ctrl.isSkuNotesCollapsed ? 'View more' : 'View less'}}
          • 抗体检测数据 (6)
          • 已发表图片 (1)
          TCIRG1 Antibody in Immunocytochemistry (ICC/IF)
          Group 53 Created with Sketch.
          TCIRG1 Antibody in Immunocytochemistry (ICC/IF)
          Group 53 Created with Sketch.

          图: 1 / 7

          {{ $ctrl.currentElement.advancedVerification.fullName }}
          {{ $ctrl.currentElement.advancedVerification.text }}

          TCIRG1 Antibody (PA5-90425) in ICC/IF

          Immunofluorescence analysis of TCIRG1 in U-2 OS cells. Samples were incubated with TCIRG1 Polyclonal antibody (Product # PA5-90425) using a dilution of 1:100 (40x lens). Blue: DAPI for nuclear staining. {{ $ctrl.currentElement.advancedVerification.fullName }} 验证信息 View more
          已发表图片由___提供 benchsci-logo
          PMID: {{$ctrl.currentElement.benchSciPubmedId}}
          查看产品

          {{$ctrl.videoDesc}}

          {{$ctrl.videoLongDesc}}

          TCIRG1 Antibody in Immunocytochemistry (ICC/IF)
          TCIRG1 Antibody in Immunocytochemistry (ICC/IF)
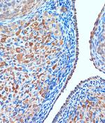
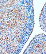
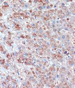
          TCIRG1 Antibody in Immunohistochemistry (Paraffin) (IHC (P))
          TCIRG1 Antibody in Immunohistochemistry (Paraffin) (IHC (P))
          TCIRG1 Antibody in Immunohistochemistry (Paraffin) (IHC (P))
          TCIRG1 Antibody in Western Blot (WB)
          TCIRG1 Antibody in Western Blot (WB)
          TCIRG1 Polyclonal Antibody

          产品信息

          PA5-90425

          应用
          建议稀释比
          已发表文章

          免疫印迹 (WB)

          1:500-1:5,000
          查看1篇已发表文章 1篇已发表文章

          免疫组化(石蜡) (IHC (P))

          1:50-1:200
          -

          免疫细胞化学 (ICC/IF)

          1:50-1:200
          -

          酶联免疫吸附实验 (ELISA)

          1 µg/mL
          -
          产品规格

          种属反应

          Human, Mouse, Rat

          已发表种属

          Human

          宿主/亚型

          Rabbit / IgG

          分类

          Polyclonal

          类型

          Antibody

          抗原

          Recombinant protein (or fragment)
          3D表位/免疫原

          偶联物

          Unconjugated Unconjugated Unconjugated

          形式

          Liquid

          浓度

          2.22 mg/mL

          规格

          222 µg

          纯化类型

          Affinity Chromatography

          保存液

          PBS, pH 7.3, with 50% glycerol

          内含物

          0.09% sodium azide

          保存条件

          -20°C, Avoid Freeze/Thaw Cycles

          运输条件

          Ambient (domestic); Wet ice (international)

          RRID

          AB_2806068

          产品详细信息

          Immunogen sequence: MGSMFRSEEV ALVQLFLPTA AAYTCVSRLG ELGLVEFRDL NASVSAFQRR FVVDVRRCEE LEKTFTFLQE EVRRAGLVLP PPKGRLPAPP PRDLLRIQEE TERLAQELRD VRGNQQALRA QLHQLQLHAA; Positive Samples: U2OS, A-549, BxPC-3, U-937, HL-60, Mouse thymus, Mouse skeletal muscle, Rat thymus, Rat skeletal muscle; Cellular Location: Membrane, Multi-pass membrane protein

          靶标信息

          The T-cell immune regulator 1 (TCIRG1) is the a3 subunit of the vacuolar-type proton transporting ATPase (V-ATPase), a proton pump in late endosomes and lysosomes that functions in the luminal acidification of these organelles. Genetic defects in the gene encoding this protein a responsible for a severe form of autosomal recessive osteopetrosis, a condition that leads to increased bone density, decreased bone strength, and inflammation in bone tissues. TCIRG1 is also required for the normal secretion of insulin and the bacteria-killing function of macrophages.

          仅用于科研。不用于诊断过程。未经明确授权不得转售。

          生物信息学

          蛋白别名: ATPase, H+ transporting, 116kD; ATPase, H+ transporting, lysosomal I; ATPase, H+ transporting, lysosomal V0 protein a; OC-116 kDa; osteoclastic proton pump; Osteoclastic proton pump 116 kDa subunit; osteosclerotic; specific 116-kDa vacuolar proton pump subunit; T cell immune response cDNA7 protein; T-cell immune regulator 1; T-cell immune response cDNA 7; T-cell immune response cDNA7 protein; T-cell, immune regulator 1, ATPase, H+ transporting, lysosomal V0 protein a; T-cell, immune regulator 1, ATPase, H+ transporting, lysosomal V0 protein A3; T-cell, immune regulator 1, ATPase, H+ transporting, lysosomal V0 subunit A3; TIRC7; transmembrane protein; V-ATPase 116 kDa subunit a 3; V-ATPase 116 kDa subunit a3; V-ATPase 116-kDa; V-ATPase a3; V-ATPase subunit a3; v-H+ATPase subunit a3; V-type proton ATPase 116 kDa subunit a; V-type proton ATPase 116 kDa subunit a 3; V-type proton ATPase 116 kDa subunit a isoform 3; V-type proton ATPase 116 kDa subunit a3; vacuolar proton translocating ATPase 116 kDa subunit A; Vacuolar proton translocating ATPase 116 kDa subunit a isoform 3

          查看更多 收起

          基因别名: a3; ATP6a3; Atp6i; ATP6N1C; ATP6V0A3; oc; OC-116; OC-116kDa; OC116; OPTB1; Stv1; TCIRG1; TIRC7; Vph1

          查看更多 收起

          UniProt ID: (Human) Q13488

          查看更多 收起

          Entrez Gene ID: (Human) 10312, (Rat) 293650, (Mouse) 27060

          查看更多 收起

          功能
          protein binding proton-transporting ATPase activity, rotational mechanism ATPase binding hydrogen ion transmembrane transporter activity ATP synthase
          参与通路
          autophagosome assembly ossification osteoclast proliferation ion transport cellular calcium ion homeostasis autophagy apoptotic process inflammatory response cellular defense response vacuolar acidification protein catabolic process in the vacuole lysosomal lumen acidification positive regulation of cell proliferation regulation of proton transport response to silver ion gene expression regulation of gene expression immunoglobulin mediated immune response macroautophagy optic nerve development establishment of cell polarity myeloid cell differentiation B cell differentiation T cell differentiation osteoclast differentiation ruffle organization protein localization to organelle memory T cell activation T-helper 1 cell activation odontogenesis T cell homeostasis tooth eruption bone resorption regulation of osteoblast differentiation pH reduction homeostasis of number of cells regulation of insulin secretion intracellular pH reduction establishment of vesicle localization retina development in camera-type eye hematopoietic stem cell homeostasis enamel mineralization cellular response to cytokine stimulus phagosome acidification dentin mineralization hydrogen ion transmembrane transport ATP synthesis coupled proton transport ATP hydrolysis coupled proton transport proton transport vacuolar proton-transporting V-type ATPase complex assembly
          It has to be done as per old AB suggested Products section.

          Disclaimer

          Close

          Clicking the images or links will redirect you to a website hosted by BenchSci that provides third-party scientific content. Neither the content nor the BenchSci technology and processes for selection have been evaluated by us; we are providing them as-is and without warranty of any kind, including for use or application of the Thermo Fisher Scientific products presented.

          guarantee_icon

          性能保障

          只要您发现Invitrogen抗体在实验中的表现与网站或说明书的所述内容不符,您即可享受免费退换货服务。*

          了解更多
          help_icon

          随时为您服务

          获取常见问题的专家解答,或者直接联系我们的技术专家,咨询应用、设备、常规产品使用问题。

          联系技术支持
          订购 Plus Icon Minus Icon
          • 订单状态查询
          • 订单支持
          • 货号直购
          • 现货供应中心
          • 电子采购
          支持 Plus Icon Minus Icon
          • 帮助&支持
          • 联系我们 - 400 820 8982
          • 技术支持中心
          • 查找文件&证书
          • 报告网站问题
          资源 Plus Icon Minus Icon
          • 学习中心
          • 促销
          • 活动&研讨会
          • 社交媒体
          关于赛默飞 Plus Icon Minus Icon
          • 关于我们
          • 招聘 招聘
          • 投资者关系 投资者关系
          • 新闻 新闻
          • 社会责任 社会责任
          • 商标
          • 政策和通知
          品牌 Plus Icon Minus Icon
          • Thermo Scientific
          • Applied Biosystems
          • Invitrogen
          • Gibco
          • Ion Torrent
          • Unity Lab Services
          • Patheon
          • PPD
          • 服务条款
          • 隐私政策
          • 定价和运输保险政策
          © 2006-2026 Thermo Fisher Scientific Inc. All rights reserved. All trademarks are the property of Thermo Fisher Scientific and its subsidiaries unless otherwise specified.
          China flag icon
          China
          本网站销售的所有产品均不得用于人类或动物之临床诊断或治疗,仅可用于工业或者科研等非医疗目的。
             电子营业执照 | 经营证照公示 | ICP备案号:沪ICP备11003924号 | 沪公网安备 31011502006935号

          Your items have has been added!


          Host server : magellan-search-blue-7c59b9b899-49tpj:80/100.66.77.222:80.
          git-commit: 8ef7cf686e3c81d28b13492708ce56d167b2f995
          git-url: https://github.com/thermofisher/magellan-search
          git-branch: release/2.49.0-Offline