Hamburger Menu Button
Thermo Fisher Scientific Logo
登录
没有账号?建立账号 注册
  • 产品
    • 抗体
    • 引物合成
    • GeneArt Gene Synthesis Instant Designer
    • TaqMan Assay and Array Search
    • PCR 设备和耗材
    • 色谱柱和纯化柱
    • 实验室离心机
    • 分子生物学试剂和试剂盒
    • 实验室塑料耗材及用品
    • 查看所有产品分类
  • 应用和技术
    • 色谱
    • 细胞转染和培养
    • 实时荧光定量PCR
    • 质谱
    • 实验室塑料耗材及用品
    • 电子显微镜
    • 蛋白质生物学
    • PCR
    • RNAi
    • 环境
    • 查看所有应用和技术
  • 服务
    • 定制服务
    • 企业级实验室信息化服务
    • 金融&租赁服务
    • 仪器服务
    • OEM和商业供应
    • 培训服务
    • 360° CDMO 和 CRO 服务
    • CDMO 服务
    • 临床试验 CRO 服务
    • Unity Lab Services
    • 查看所有帮助和支持
  • 帮助和支持
    • 学习中心
    • 联系我们
    • 更改国家或地区
    • 查看所有帮助和支持
  • 热门产品
    • TaqMan Real-Time PCR Assays
      TaqMan 实时荧光定量 PCR 试剂盒
    • Antibodies
      抗体
    • Oligos, Primers & Probes
      寡核苷酸、引物、探针
    • GeneArt Gene Synthesis
      GeneArt 基因合成
    • Cell Culture Plastics
      细胞培养耗材
  • Who We Serve
    • 抗体治疗解决方案
    • 细胞与基因治疗解决方案
    • 学术科研
    • 工业与应用
  • 联系我们
  • 货号直购
  • 订单查询
  • 查找文件&证书
Thermo Fisher Scientific Logo

Search

搜索全部或下列指定分类
Search button
          • 联系我们
          • 货号直购
          • 登录
            登录
            没有账号?建立账号 注册
            • 我的账号
            • 订单
            • 会员中心
            • 账单及发票查询
            • 定制产品及项目
          • Primary Antibodies ›
          • TGF beta-2 Antibodies

          Invitrogen

          TGF beta-2 Polyclonal Antibody

          1个已发表图片
          4 篇参考文献
          查看其他12个TGF beta-2抗体

          {{$productOrderCtrl.translations['antibody.pdp.commerceCard.promotion.promotions']}}

          {{$productOrderCtrl.translations['antibody.pdp.commerceCard.promotion.viewpromo']}}

          {{$productOrderCtrl.translations['antibody.pdp.commerceCard.promotion.promocode']}}: {{promo.promoCode}} {{promo.promoTitle}} {{promo.promoDescription}}. {{$productOrderCtrl.translations['antibody.pdp.commerceCard.promotion.learnmore']}}

          说明书
          证书
          实验方案
          问题与答案
          技术支持
          说明书
          证书
          实验方案
          问题与答案
          技术支持
          说明书
          证书
          实验方案
          问题与答案
          技术支持

          Cite TGF beta-2 Polyclonal Antibody

          Additional Information:
          {{banner.description}}
          {{$ctrl.isSkuNotesCollapsed ? 'View more' : 'View less'}}
          • 抗体检测数据 (3)
          • 已发表图片 (1)
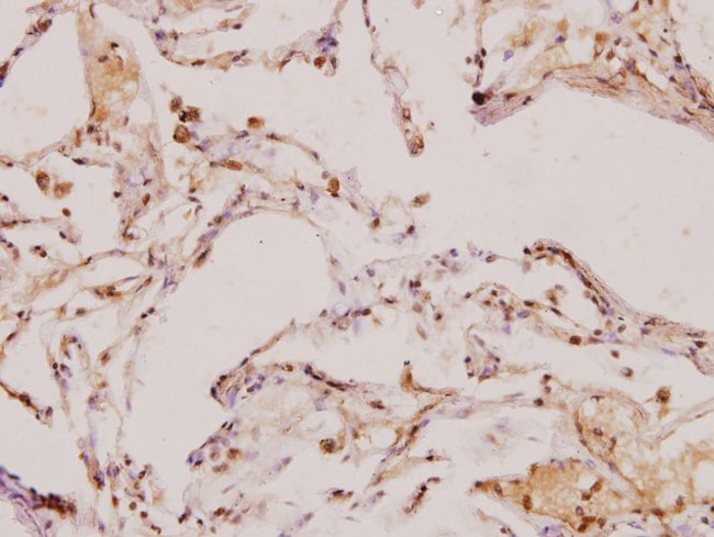
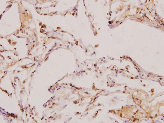
          TGF beta-2 Antibody in Immunohistochemistry (Paraffin) (IHC (P))
          Group 53 Created with Sketch.
          TGF beta-2 Antibody in Immunohistochemistry (Paraffin) (IHC (P))
          Group 53 Created with Sketch.

          图: 1 / 4

          {{ $ctrl.currentElement.advancedVerification.fullName }}
          {{ $ctrl.currentElement.advancedVerification.text }}

          TGF beta-2 Antibody (PA5-86215) in IHC (P)

          Immunohistochemical analysis of TGF beta-2 in paraffin-embedded human lung carcinoma tissue. Sample was incubated with polyclonal TGF beta-2 antibody (Product # PA5-86215) using a 1:100 dilution. {{ $ctrl.currentElement.advancedVerification.fullName }} 验证信息 View more
          已发表图片由___提供 benchsci-logo
          PMID: {{$ctrl.currentElement.benchSciPubmedId}}
          查看产品

          {{$ctrl.videoDesc}}

          {{$ctrl.videoLongDesc}}

          TGF beta-2 Antibody in Immunohistochemistry (Paraffin) (IHC (P))
          TGF beta-2 Antibody in Western Blot (WB)
          TGF beta-2 Antibody in Western Blot (WB)
          TGF beta-2 Antibody in Immunohistochemistry (IHC)
          TGF beta-2 Polyclonal Antibody

          产品信息

          PA5-86215

          应用
          建议稀释比
          已发表文章

          免疫印迹 (WB)

          1:500-1:1,000
          查看2篇已发表文章 2篇已发表文章

          免疫组化 (IHC)

          -
          查看1篇已发表文章 1篇已发表文章

          免疫组化(石蜡) (IHC (P))

          1:50-1:200
          查看1篇已发表文章 1篇已发表文章
          产品规格

          种属反应

          Mouse, Rat, Human

          已发表种属

          Mouse, Rat

          宿主/亚型

          Rabbit / IgG

          分类

          Polyclonal

          类型

          Antibody

          抗原

          Synthetic peptide, corresponding to amino acids 360-400 of Human TGFbeta2.
          3D表位/免疫原

          偶联物

          Unconjugated Unconjugated Unconjugated

          形式

          Liquid

          浓度

          1 mg/mL

          规格

          100 µg

          纯化类型

          Antigen affinity chromatography

          保存液

          PBS, pH 7.2, with 50% glycerol

          内含物

          0.02% sodium azide

          保存条件

          Store at 4°C short term. For long term storage, store at -20°C, avoiding freeze/thaw cycles.

          运输条件

          Ambient (domestic); Wet ice (international)

          RRID

          AB_2803006

          产品详细信息

          Purity is > 95% by SDS-PAGE.

          靶标信息

          Transforming Growth Factor (TGF) betas mediate many cell to cell interactions that occur during embryonic development. Three TGF betas have been identified in mammals. TGF beta 1, TGF beta 2 and TGF beta 3 are each synthesized as precursor proteins that are very similar in that each is cleaved to yield a 112 amino acid polypeptide that remains associated with the latent portion of the molecule. The TGF beta polypeptides are multifunctional; capable of influencing cell proliferation, differentiation, and other functions in a wide range of cell types. Transformed, as well as nonneoplastic tissues, release transforming growth factors; and essentially all mammalian cells possess a specific TGF receptor. The multi modal nature of TGF beta is seen in its ability to stimulate or inhibit cellular proliferation. In general, cells of mesenchymal origin appear to be stimulated by TGF beta whereas cells of epithelial or neuroectodermal origin are inhibited by the peptide. TGF beta 1, TGF beta 2, and TGF beta 1.2 appear to be equivalent in biological activity, although there does appear to be differences in binding to certain types of receptors. TGF beta 2 is produced by many cell types and has been found in the highest concentration in porcine platelets and mammalian bone. Latent TGF beta 2 is the prominent isoform found in body fluids such as amniotic fluid, breast milk, and the aqueous and vitreous humor of the eye.

          仅用于科研。不用于诊断过程。未经明确授权不得转售。

          生物信息学

          蛋白别名: BSC-1 cell growth inhibitor; Cetermin; G-TSF; Glioblastoma-derived T-cell suppressor factor; polyergin; prepro-transforming growth factor beta-2; TGF beta 2 protein; TGF-beta-2; TGFB; TGFβ2; Transforming growth factor; transforming growth factor beta-2; Transforming growth factor beta-2 proprotein; transforming growth factor-beta-2 precursor; unnamed protein product

          查看更多 收起

          基因别名: BB105277; G-TSF; LDS4; TGF-B2; TGF-beta2; Tgfb-2; TGFB2

          查看更多 收起

          UniProt ID: (Human) P61812, (Mouse) P27090, (Rat) Q07257

          查看更多 收起

          Entrez Gene ID: (Human) 7042, (Mouse) 21808, (Rat) 81809

          查看更多 收起

          功能
          beta-amyloid binding receptor binding type II transforming growth factor beta receptor binding cytokine activity transforming growth factor beta receptor binding protein binding growth factor activity type III transforming growth factor beta receptor binding protein homodimerization activity receptor signaling protein serine/threonine kinase activity protein heterodimerization activity protein N-terminus binding growth factor
          参与通路
          cell morphogenesis skeletal system development cartilage condensation blood vessel development eye development response to hypoxia kidney development epithelial to mesenchymal transition neural tube closure hair follicle development blood vessel remodeling heart morphogenesis outflow tract septum morphogenesis membranous septum morphogenesis outflow tract morphogenesis heart valve morphogenesis atrioventricular valve morphogenesis pulmonary valve morphogenesis endocardial cushion morphogenesis cardiac right ventricle morphogenesis ventricular trabecula myocardium morphogenesis endocardial cushion fusion atrial septum primum morphogenesis neural retina development activation-induced cell death of T cells transforming growth factor beta receptor signaling pathway axon guidance sensory organ development salivary gland morphogenesis heart development positive regulation of cell proliferation negative regulation of cell proliferation glial cell migration male gonad development response to wounding embryo development ending in birth or egg hatching cardioblast differentiation positive regulation of gene expression negative regulation of gene expression positive regulation of epithelial cell migration positive regulation of epithelial to mesenchymal transition negative regulation of macrophage cytokine production striated muscle tissue development cell migration negative regulation of angiogenesis signaling hemopoiesis extracellular matrix organization collagen fibril organization positive regulation of cell growth negative regulation of cell growth embryonic limb morphogenesis neutrophil chemotaxis epithelial cell differentiation hair follicle morphogenesis response to progesterone positive regulation of stress-activated MAPK cascade regulation of transforming growth factor beta2 production regulation of actin cytoskeleton organization positive regulation of cell adhesion mediated by integrin ascending aorta morphogenesis wound healing regulation of cell proliferation dopamine biosynthetic process odontogenesis uterine wall breakdown regulation of apoptotic process positive regulation of apoptotic process positive regulation of neuron apoptotic process cell-cell junction organization positive regulation of cell differentiation positive regulation of integrin biosynthetic process positive regulation of Notch signaling pathway positive regulation of cell cycle positive regulation of heart contraction negative regulation of Ras protein signal transduction somatic stem cell division embryonic digestive tract development neuron fate commitment neuron development generation of neurons inner ear development negative regulation of epithelial cell proliferation positive regulation of protein secretion positive regulation of immune response positive regulation of cellular component organization positive regulation of multicellular organismal process positive regulation of cell division regulation of timing of catagen positive regulation of catagen positive regulation of cardioblast differentiation positive regulation of protein kinase B signaling cardiac muscle cell proliferation uterus development cardiac epithelial to mesenchymal transition face morphogenesis positive regulation of SMAD protein import into nucleus ventricular septum morphogenesis atrial septum morphogenesis negative regulation of cartilage development pharyngeal arch artery morphogenesis secondary palate development positive regulation of cardiac epithelial to mesenchymal transition positive regulation of activation-induced cell death of T cells cellular response to growth factor stimulus positive regulation of extracellular matrix disassembly extrinsic apoptotic signaling pathway extrinsic apoptotic signaling pathway in absence of ligand transforming growth factor beta receptor superfamily signaling pathway positive regulation of protein localization to nucleus regulation of apoptotic process involved in outflow tract morphogenesis positive regulation of pri-miRNA transcription from RNA polymerase II promoter regulation of extracellular matrix organization regulation of complement-dependent cytotoxicity substantia propria of cornea development pericyte cell differentiation cranial skeletal system development negative regulation of epithelial to mesenchymal transition involved in endocardial cushion formation positive regulation of epithelial to mesenchymal transition involved in endocardial cushion formation positive regulation of extrinsic apoptotic signaling pathway in absence of ligand cardiac left ventricle morphogenesis protein phosphorylation cell cycle arrest SMAD protein import into nucleus cell death negative regulation of alkaline phosphatase activity positive regulation of pathway-restricted SMAD protein phosphorylation positive regulation of phosphatidylinositol 3-kinase signaling cell growth signal transduction by protein phosphorylation positive regulation of cell migration activation of protein kinase activity intracellular signal transduction growth response to drug catagen negative regulation of apoptotic process regulation of MAPK cascade response to estrogen negative regulation of keratinocyte differentiation embryonic neurocranium morphogenesis negative regulation of immune response negative regulation of release of sequestered calcium ion into cytosol pathway-restricted SMAD protein phosphorylation SMAD protein signal transduction regulation of cell growth skeletal muscle tissue development female pregnancy aging response to radiation response to cold response to organonitrogen compound lung development thyroid gland development hindbrain development pancreas development response to estradiol response to retinoic acid response to vitamin D response to cytokine response to laminar fluid shear stress positive regulation of ossification cell development digestive tract development frontal suture morphogenesis
          It has to be done as per old AB suggested Products section.

          Disclaimer

          Close

          Clicking the images or links will redirect you to a website hosted by BenchSci that provides third-party scientific content. Neither the content nor the BenchSci technology and processes for selection have been evaluated by us; we are providing them as-is and without warranty of any kind, including for use or application of the Thermo Fisher Scientific products presented.

          guarantee_icon

          性能保障

          只要您发现Invitrogen抗体在实验中的表现与网站或说明书的所述内容不符,您即可享受免费退换货服务。*

          了解更多
          help_icon

          随时为您服务

          获取常见问题的专家解答,或者直接联系我们的技术专家,咨询应用、设备、常规产品使用问题。

          联系技术支持
          订购 Plus Icon Minus Icon
          • 订单状态查询
          • 订单支持
          • 货号直购
          • 现货供应中心
          • 电子采购
          支持 Plus Icon Minus Icon
          • 帮助&支持
          • 联系我们 - 400 820 8982
          • 技术支持中心
          • 查找文件&证书
          • 报告网站问题
          资源 Plus Icon Minus Icon
          • 学习中心
          • 促销
          • 活动&研讨会
          • 社交媒体
          关于赛默飞 Plus Icon Minus Icon
          • 关于我们
          • 招聘 招聘
          • 投资者关系 投资者关系
          • 新闻 新闻
          • 社会责任 社会责任
          • 商标
          • 政策和通知
          品牌 Plus Icon Minus Icon
          • Thermo Scientific
          • Applied Biosystems
          • Invitrogen
          • Gibco
          • Ion Torrent
          • Unity Lab Services
          • Patheon
          • PPD
          • 服务条款
          • 隐私政策
          • 定价和运输保险政策
          © 2006-2026 Thermo Fisher Scientific Inc. All rights reserved. All trademarks are the property of Thermo Fisher Scientific and its subsidiaries unless otherwise specified.
          China flag icon
          China
          本网站销售的所有产品均不得用于人类或动物之临床诊断或治疗,仅可用于工业或者科研等非医疗目的。
             电子营业执照 | 经营证照公示 | ICP备案号:沪ICP备11003924号 | 沪公网安备 31011502006935号

          Your items have has been added!


          Host server : magellan-search-green-6479c7f679-mppzp:80/100.66.76.236:80.
          git-commit: b70c0dceb888abc3b0dcebb5bc3a5b8753e7e816
          git-url: https://github.com/thermofisher/magellan-search
          git-branch: release/2.50.0-Offline