Hamburger Menu Button
Thermo Fisher Scientific Logo
登录
没有账号?建立账号 注册
  • 产品
    • 抗体
    • 引物合成
    • GeneArt Gene Synthesis Instant Designer
    • TaqMan Assay and Array Search
    • PCR 设备和耗材
    • 色谱柱和纯化柱
    • 实验室离心机
    • 分子生物学试剂和试剂盒
    • 实验室塑料耗材及用品
    • 查看所有产品分类
  • 应用和技术
    • 色谱
    • 细胞转染和培养
    • 实时荧光定量PCR
    • 质谱
    • 实验室塑料耗材及用品
    • 电子显微镜
    • 蛋白质生物学
    • PCR
    • RNAi
    • 环境
    • 查看所有应用和技术
  • 服务
    • 定制服务
    • 企业级实验室信息化服务
    • 金融&租赁服务
    • 仪器服务
    • OEM和商业供应
    • 培训服务
    • 360° CDMO 和 CRO 服务
    • CDMO 服务
    • 临床试验 CRO 服务
    • Unity Lab Services
    • 查看所有帮助和支持
  • 帮助和支持
    • 学习中心
    • 联系我们
    • 更改国家或地区
    • 查看所有帮助和支持
  • 热门产品
    • TaqMan Real-Time PCR Assays
      TaqMan 实时荧光定量 PCR 试剂盒
    • Antibodies
      抗体
    • Oligos, Primers & Probes
      寡核苷酸、引物、探针
    • GeneArt Gene Synthesis
      GeneArt 基因合成
    • Cell Culture Plastics
      细胞培养耗材
  • Who We Serve
    • 抗体治疗解决方案
    • 细胞与基因治疗解决方案
    • 学术科研
    • 工业与应用
  • 联系我们
  • 货号直购
  • 订单查询
  • 查找文件&证书
Thermo Fisher Scientific Logo

Search

搜索全部或下列指定分类
Search button
          • 联系我们
          • 货号直购
          • 登录
            登录
            没有账号?建立账号 注册
            • 我的账号
            • 订单
            • 会员中心
            • 账单及发票查询
            • 定制产品及项目
          • Primary Antibodies ›
          • TGF beta-3 Antibodies

          Invitrogen

          TGF beta-3 Polyclonal Antibody

          查看其他18个TGF beta-3抗体

          {{$productOrderCtrl.translations['antibody.pdp.commerceCard.promotion.promotions']}}

          {{$productOrderCtrl.translations['antibody.pdp.commerceCard.promotion.viewpromo']}}

          {{$productOrderCtrl.translations['antibody.pdp.commerceCard.promotion.promocode']}}: {{promo.promoCode}} {{promo.promoTitle}} {{promo.promoDescription}}. {{$productOrderCtrl.translations['antibody.pdp.commerceCard.promotion.learnmore']}}

          说明书
          证书
          实验方案
          问题与答案
          技术支持
          说明书
          证书
          实验方案
          问题与答案
          技术支持
          说明书
          证书
          实验方案
          问题与答案
          技术支持

          Cite TGF beta-3 Polyclonal Antibody

          Additional Information:
          {{banner.description}}
          {{$ctrl.isSkuNotesCollapsed ? 'View more' : 'View less'}}
          • 抗体检测数据 (2)
          TGF beta-3 Antibody in Immunohistochemistry (Paraffin) (IHC (P))
          Group 53 Created with Sketch.
          TGF beta-3 Antibody in Immunohistochemistry (Paraffin) (IHC (P))
          Group 53 Created with Sketch.

          图: 1 / 2

          {{ $ctrl.currentElement.advancedVerification.fullName }}
          {{ $ctrl.currentElement.advancedVerification.text }}

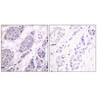
          TGF beta-3 Antibody (PA5-49752) in IHC (P)

          Immunohistochemical analysis of TGF beta-3 in paraffin-embedded Human breast carcinoma tissue using TGF beta-3 Polyclonal Antibody (Product # PA5-49752). {{ $ctrl.currentElement.advancedVerification.fullName }} 验证信息 View more
          已发表图片由___提供 benchsci-logo
          PMID: {{$ctrl.currentElement.benchSciPubmedId}}
          查看产品

          {{$ctrl.videoDesc}}

          {{$ctrl.videoLongDesc}}

          TGF beta-3 Antibody in Immunohistochemistry (Paraffin) (IHC (P))
          TGF beta-3 Antibody in Western Blot (WB)
          TGF beta-3 Polyclonal Antibody

          产品信息

          PA5-49752

          应用
          建议稀释比
          已发表文章

          免疫印迹 (WB)

          1:500-1:3,000
          -

          免疫组化(石蜡) (IHC (P))

          1:50-1:100
          -
          产品规格

          种属反应

          Human, Mouse, Rat

          宿主/亚型

          Rabbit / IgG

          分类

          Polyclonal

          类型

          Antibody

          抗原

          Synthesized peptide derived from human TGF beta3.
          3D表位/免疫原

          偶联物

          Unconjugated Unconjugated Unconjugated

          形式

          Liquid

          浓度

          1 mg/mL

          规格

          100 µg

          纯化类型

          Antigen affinity chromatography

          保存液

          PBS, pH 7.4, with 50% glycerol

          内含物

          0.02% sodium azide

          保存条件

          -20°C

          运输条件

          Ambient (domestic); Wet ice (international)

          RRID

          AB_2635205

          产品详细信息

          The antibody detects endogenous levels of total TGF beta-3 protein.

          靶标信息

          Transforming growth factor beta 3 (TGF beta 3) is the third member of the transforming growth factor family of cytokines, which also includes TGF beta 1 and beta 2. These cytokines are secreted in precursor form consisting of a bioactive C-terminal domain attached to an N-terminal domain known as latency associated protein (LAP). Cleavage of LAP results in the mature protein, which functions as a disulfide-linked homodimer. As with all members of the family, TGF beta 3 is highly conserved across species, with mouse and human TGF beta 3 demonstrating 100% sequence homology and cross-species activity.The members of this family can be expressed by most cell types and exert pleiotropic effects, which include the suppression of B- and T-cell effector activity, mediation of tissue healing, and suppression of tumor proliferation. The promotion of CD4+CD25+ T-cell expansion is a newly discovered function of the TGF beta cytokines, and indicates an important role in the protection against autoimmunity.

          仅用于科研。不用于诊断过程。未经明确授权不得转售。

          篇参考文献 (0)

          您是否在文献中引用过该产品?请点击下方按钮邮件告知我们。
          引用该产品

          生物信息学

          蛋白别名: FLJ16571; H-TGF-b-3; prepro-transforming growth factor beta-3; tgf beta 3; TGF-beta-3; Transforming growth factor; transforming growth factor beta-3; Transforming growth factor beta-3 proprotein; transforming growth factor-beta3; unnamed protein product

          查看更多 收起

          基因别名: ARVD; ARVD1; LDS5; RNHF; TGF-B3; TGF-beta3; Tgfb-3; TGFB3

          查看更多 收起

          UniProt ID: (Human) P10600, (Rat) Q07258

          查看更多 收起

          Entrez Gene ID: (Human) 7043, (Rat) 25717, (Mouse) 21809

          查看更多 收起

          功能
          type II transforming growth factor beta receptor binding cytokine activity transforming growth factor beta receptor binding protein binding growth factor activity type I transforming growth factor beta receptor binding type III transforming growth factor beta receptor binding identical protein binding transforming growth factor beta binding protein heterodimerization activity growth factor
          参与通路
          response to hypoxia in utero embryonic development transforming growth factor beta receptor signaling pathway salivary gland morphogenesis heart development positive regulation of cell proliferation negative regulation of cell proliferation positive regulation of epithelial to mesenchymal transition negative regulation of macrophage cytokine production mammary gland development response to progesterone positive regulation of collagen biosynthetic process regulation of cell proliferation odontogenesis uterine wall breakdown positive regulation of apoptotic process negative regulation of neuron apoptotic process cell-cell junction organization positive regulation of cell differentiation positive regulation of transcription, DNA-templated positive regulation of transcription from RNA polymerase II promoter lung alveolus development positive regulation of protein secretion positive regulation of cellular component organization positive regulation of multicellular organismal process positive regulation of filopodium assembly positive regulation of stress fiber assembly positive regulation of cell division face morphogenesis positive regulation of SMAD protein import into nucleus secondary palate development detection of hypoxia cellular response to growth factor stimulus transforming growth factor beta receptor superfamily signaling pathway negative regulation of vascular smooth muscle cell proliferation regulation of epithelial to mesenchymal transition involved in endocardial cushion formation positive regulation of occluding junction disassembly activation of MAPK activity SMAD protein import into nucleus female pregnancy aging negative regulation of DNA replication organ morphogenesis positive regulation of pathway-restricted SMAD protein phosphorylation cell growth lung development positive regulation of bone mineralization negative regulation of transforming growth factor beta receptor signaling pathway regulation of epithelial cell differentiation response to laminar fluid shear stress wound healing response to estrogen ossification involved in bone remodeling regulation of endothelial cell differentiation positive regulation of DNA replication cell development digestive tract development embryonic neurocranium morphogenesis inner ear development regulation of epithelial cell proliferation palate development frontal suture morphogenesis SMAD protein signal transduction embryo development growth regulation of MAPK cascade
          It has to be done as per old AB suggested Products section.

          Disclaimer

          Close

          Clicking the images or links will redirect you to a website hosted by BenchSci that provides third-party scientific content. Neither the content nor the BenchSci technology and processes for selection have been evaluated by us; we are providing them as-is and without warranty of any kind, including for use or application of the Thermo Fisher Scientific products presented.

          guarantee_icon

          性能保障

          只要您发现Invitrogen抗体在实验中的表现与网站或说明书的所述内容不符,您即可享受免费退换货服务。*

          了解更多
          help_icon

          随时为您服务

          获取常见问题的专家解答,或者直接联系我们的技术专家,咨询应用、设备、常规产品使用问题。

          联系技术支持
          订购 Plus Icon Minus Icon
          • 订单状态查询
          • 订单支持
          • 货号直购
          • 现货供应中心
          • 电子采购
          支持 Plus Icon Minus Icon
          • 帮助&支持
          • 联系我们 - 400 820 8982
          • 技术支持中心
          • 查找文件&证书
          • 报告网站问题
          资源 Plus Icon Minus Icon
          • 学习中心
          • 促销
          • 活动&研讨会
          • 社交媒体
          关于赛默飞 Plus Icon Minus Icon
          • 关于我们
          • 招聘 招聘
          • 投资者关系 投资者关系
          • 新闻 新闻
          • 社会责任 社会责任
          • 商标
          • 政策和通知
          品牌 Plus Icon Minus Icon
          • Thermo Scientific
          • Applied Biosystems
          • Invitrogen
          • Gibco
          • Ion Torrent
          • Unity Lab Services
          • Patheon
          • PPD
          • 服务条款
          • 隐私政策
          • 定价和运输保险政策
          © 2006-2026 Thermo Fisher Scientific Inc. All rights reserved. All trademarks are the property of Thermo Fisher Scientific and its subsidiaries unless otherwise specified.
          China flag icon
          China
          本网站销售的所有产品均不得用于人类或动物之临床诊断或治疗,仅可用于工业或者科研等非医疗目的。
             电子营业执照 | 经营证照公示 | ICP备案号:沪ICP备11003924号 | 沪公网安备 31011502006935号

          Your items have has been added!


          Host server : magellan-search-green-6479c7f679-26whj:80/100.66.74.142:80.
          git-commit: b70c0dceb888abc3b0dcebb5bc3a5b8753e7e816
          git-url: https://github.com/thermofisher/magellan-search
          git-branch: release/2.50.0-Offline