Hamburger Menu Button
Thermo Fisher Scientific Logo
登录
没有账号?建立账号 注册
  • 产品
    • 抗体
    • 引物合成
    • GeneArt Gene Synthesis Instant Designer
    • TaqMan Assay and Array Search
    • PCR 设备和耗材
    • 色谱柱和纯化柱
    • 实验室离心机
    • 分子生物学试剂和试剂盒
    • 实验室塑料耗材及用品
    • 查看所有产品分类
  • 应用和技术
    • 色谱
    • 细胞转染和培养
    • 实时荧光定量PCR
    • 质谱
    • 实验室塑料耗材及用品
    • 电子显微镜
    • 蛋白质生物学
    • PCR
    • RNAi
    • 环境
    • 查看所有应用和技术
  • 服务
    • 定制服务
    • 企业级实验室信息化服务
    • 企业服务
    • 金融&租赁服务
    • 仪器服务
    • OEM和商业供应
    • 培训服务
    • 360° CDMO 和 CRO 服务
    • CDMO 服务
    • 临床试验 CRO 服务
    • 查看所有帮助和支持
  • 帮助和支持
    • 学习中心
    • 联系我们
    • 更改国家或地区
    • 查看所有帮助和支持
  • 热门产品
    • TaqMan Real-Time PCR Assays
      TaqMan 实时荧光定量 PCR 试剂盒
    • Antibodies
      抗体
    • Oligos, Primers & Probes
      寡核苷酸、引物、探针
    • GeneArt Gene Synthesis
      GeneArt 基因合成
    • Cell Culture Plastics
      细胞培养耗材
  • 联系我们
  • 货号直购
  • 订单查询
  • 查找文件&证书
Thermo Fisher Scientific Logo

Search

搜索全部或下列指定分类
Search button
          • 联系我们
          • 货号直购
          • 登录
            登录
            没有账号?建立账号 注册
            • 我的账号
            • 订单
            • 账单及发票查询
            • 定制产品及项目

          Disclaimer

          Clicking the images or links will redirect you to a website hosted by BenchSci that provides third-party scientific content. Neither the content nor the BenchSci technology and processes for selection have been evaluated by us; we are providing them as-is and without warranty of any kind, including for use or application of the Thermo Fisher Scientific products presented.

          • Primary Antibodies ›
          • TGF beta-1 Antibodies

          NeoBiotechnologies

          TGF-beta (Transforming Growth Factor beta) Monoclonal Antibody (TGFB/7240)

          查看其他39个TGF beta-1抗体

          {{$productOrderCtrl.translations['antibody.pdp.commerceCard.promotion.promotions']}}

          {{$productOrderCtrl.translations['antibody.pdp.commerceCard.promotion.viewpromo']}}

          {{$productOrderCtrl.translations['antibody.pdp.commerceCard.promotion.promocode']}}: {{promo.promoCode}} {{promo.promoTitle}} {{promo.promoDescription}}. {{$productOrderCtrl.translations['antibody.pdp.commerceCard.promotion.learnmore']}}

          说明书
          证书
          实验方案
          问题与答案
          技术支持
          说明书
          证书
          实验方案
          问题与答案
          技术支持
          说明书
          证书
          实验方案
          问题与答案
          技术支持

          Cite TGF-beta (Transforming Growth Factor beta) Monoclonal Antibody (TGFB/7240)

          • 抗体检测数据 (1)
          TGF-beta (Transforming Growth Factor beta) Antibody in Immunohistochemistry (Paraffin) (IHC (P))
          Group 53 Created with Sketch.
          TGF-beta (Transforming Growth Factor beta) Antibody in Immunohistochemistry (Paraffin) (IHC (P))
          Group 53 Created with Sketch.

          图: 1 / 1

          {{ $ctrl.currentElement.advancedVerification.fullName }}
          {{ $ctrl.currentElement.advancedVerification.text }}

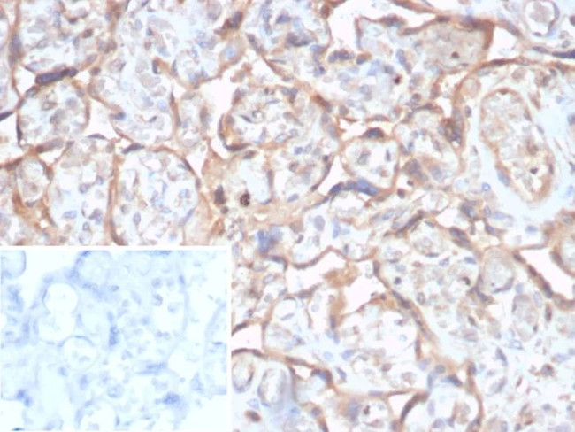
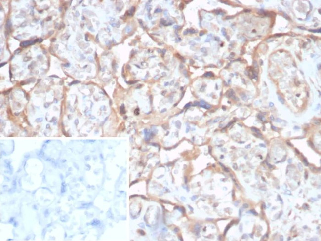
          TGF-beta (Transforming Growth Factor beta) Antibody (7040-MSM4-P1) in IHC (P)

          Formalin-fixed, paraffin-embedded human placenta stained with TGF beta Mouse Monoclonal Antibody (TGFB/7240). Inset: PBS instead of primary antibody; secondary only negative control. {{ $ctrl.currentElement.advancedVerification.fullName }} 验证信息 View more
          已发表图片由___提供 benchsci-logo
          PMID: {{$ctrl.currentElement.benchSciPubmedId}}
          查看产品

          {{$ctrl.videoDesc}}

          {{$ctrl.videoLongDesc}}

          TGF-beta (Transforming Growth Factor beta) Antibody in Immunohistochemistry (Paraffin) (IHC (P))
          TGF-beta (Transforming Growth Factor beta) Monoclonal Antibody (TGFB/7240)

          产品信息

          7040-MSM4-P1

          应用
          建议稀释比
          已发表文章

          免疫组化(石蜡) (IHC (P))

          1-2 µg/mL
          -
          产品规格

          种属反应

          Human

          宿主/亚型

          Mouse / IgG

          分类

          Monoclonal

          类型

          Antibody

          克隆号

          TGFB/7240

          抗原

          Recombinant fragment (around aa200-390) of human TGFB protein
          查看免疫原

          偶联物

          Unconjugated Unconjugated Unconjugated

          形式

          Liquid

          浓度

          200 µg/mL

          纯化类型

          Protein A/G

          保存液

          PBS with 0.05% BSA

          内含物

          0.05% sodium azide

          保存条件

          4°C

          运输条件

          Ambient (domestic); Wet ice (international)

          产品详细信息

          Positive Control:Salivary gland carcinoma

          Cellular Location: Cytoplasm. Extracellular (Secreted).

          靶标信息

          TGF beta-1 (TGFB1, Transforming Growth Factor Beta 1) is a polypeptide member of the transforming growth factor beta superfamily of cytokines, found almost ubiquitously in tissues. Transforming growth factor (TGF)-b is stored in the extracellular matrix as a latent complex with its pro-domain. Activation of TGF beta-1 requires the binding of aV integrin to an RGD sequence in the prodomain and exertion of force on this domain, which is held in the extracellular matrix by latent TGF-b binding proteins. Latent forms are complexes of TGF beta-1, an amino-terminal portion of the TGF-beta precursor, designated TGF-LAP (TGF-latency associated peptide), and a specific binding protein, known as LTBP. TGF beta-1 helps regulates proliferation, differentiation, adhesion, migration in many cell types. Many cells have TGF beta receptors, and the protein positively and negatively regulates many other growth factors. TGF beta-1 is cleaved into a latency-associated peptide and a mature TGF beta-1 peptide, and is found in either a latent form composed of a TGFB1 homodimer, a LAP homodimer, and a latent TGFB1-binding protein, or in an active form composed of a TGF beta-1 homodimer. The mature peptide may also form heterodimers with other TGF beta family members. The gene for TGF beta-1 is frequently upregulated in tumor cells, and mutations in this gene result in Camurati-Engelmann disease and cystic fibrosis.

          仅用于科研。不用于诊断过程。未经明确授权不得转售。

          篇参考文献 (0)

          您是否在文献中引用过该产品?请点击下方按钮邮件告知我们。
          引用该产品

          生物信息学

          蛋白别名: latency-associated peptide; prepro-transforming growth factor beta-1; TGF b; TGF b 1; TGF beta; tgf beta 1; TGF beta-1; TGF beta-1 protein; tgf beta1; TGF β; TGF β 1; TGF β1; TGF-B1; TGF-beta 1 protein; TGF-beta-1; TGFβ1; Transforming growth factor; transforming growth factor b1; transforming growth factor beta; Transforming growth factor beta-1 proprotein; transforming growth factor β1

          查看更多 收起

          基因别名: CED; DPD1; LAP; TGFB; TGFB1; TGFbeta

          查看更多 收起

          UniProt ID: (Human) P01137

          查看更多 收起

          Entrez Gene ID: (Human) 7040

          查看更多 收起

          功能
          glycoprotein binding antigen binding type II transforming growth factor beta receptor binding cytokine activity transforming growth factor beta receptor binding protein binding growth factor activity enzyme binding type I transforming growth factor beta receptor binding type III transforming growth factor beta receptor binding protein homodimerization activity protein serine/threonine kinase activator activity protein heterodimerization activity protein N-terminus binding growth factor
          参与通路
          protein import into nucleus, translocation negative regulation of transcription from RNA polymerase II promoter MAPK cascade ureteric bud development response to hypoxia epithelial to mesenchymal transition negative regulation of protein phosphorylation positive regulation of protein phosphorylation regulation of sodium ion transport chondrocyte differentiation hematopoietic progenitor cell differentiation connective tissue replacement involved in inflammatory response wound healing adaptive immune response based on somatic recombination of immune receptors built from immunoglobulin superfamily domains tolerance induction to self antigen platelet degranulation protein phosphorylation protein export from nucleus ATP biosynthetic process phosphate-containing compound metabolic process cellular calcium ion homeostasis inflammatory response cell cycle arrest mitotic cell cycle checkpoint epidermal growth factor receptor signaling pathway transforming growth factor beta receptor signaling pathway common-partner SMAD protein phosphorylation SMAD protein complex assembly SMAD protein import into nucleus Notch signaling pathway negative regulation of neuroblast proliferation salivary gland morphogenesis endoderm development female pregnancy aging negative regulation of DNA replication positive regulation of cell proliferation negative regulation of cell proliferation germ cell migration response to radiation response to wounding response to glucose defense response to fungus, incompatible interaction positive regulation of vascular endothelial growth factor production positive regulation of gene expression negative regulation of gene expression negative regulation of extracellular matrix disassembly positive regulation of epithelial to mesenchymal transition macrophage derived foam cell differentiation positive regulation of fibroblast migration positive regulation of peptidyl-threonine phosphorylation positive regulation of pathway-restricted SMAD protein phosphorylation negative regulation of macrophage cytokine production oligodendrocyte development cell growth regulation of striated muscle tissue development cell migration regulation of transforming growth factor beta receptor signaling pathway evasion or tolerance of host defenses by virus negative regulation of cell-cell adhesion hyaluronan catabolic process negative regulation of ossification negative regulation of cell growth regulation of cell migration positive regulation of cell migration positive regulation of bone mineralization negative regulation of transforming growth factor beta receptor signaling pathway positive regulation of histone deacetylation organ regeneration positive regulation of protein complex assembly positive regulation of exit from mitosis lipopolysaccharide-mediated signaling pathway positive regulation of cellular protein metabolic process response to estradiol response to progesterone regulation of interleukin-23 production negative regulation of interleukin-17 production positive regulation of interleukin-17 production receptor catabolic process positive regulation of superoxide anion generation mononuclear cell proliferation positive regulation of collagen biosynthetic process positive regulation of peptidyl-serine phosphorylation response to vitamin D response to laminar fluid shear stress positive regulation of histone acetylation positive regulation of protein dephosphorylation negative regulation of T cell proliferation regulation of protein import into nucleus positive regulation of protein import into nucleus positive regulation of odontogenesis response to drug myelination regulation of apoptotic process myeloid dendritic cell differentiation T cell homeostasis positive regulation of apoptotic process positive regulation of vascular permeability positive regulation of MAP kinase activity protein kinase B signaling positive regulation of blood vessel endothelial cell migration negative regulation of blood vessel endothelial cell migration positive regulation of phosphatidylinositol 3-kinase activity ossification involved in bone remodeling regulatory T cell differentiation cell-cell junction organization positive regulation of regulatory T cell differentiation negative regulation of cell differentiation negative regulation of fat cell differentiation negative regulation of myoblast differentiation negative regulation of cell cycle negative regulation of transcription, DNA-templated positive regulation of transcription, DNA-templated negative regulation of mitotic cell cycle positive regulation of transcription from RNA polymerase II promoter active induction of host immune response by virus positive regulation of fibroblast proliferation positive regulation of isotype switching to IgA isotypes lymph node development digestive tract development negative regulation of skeletal muscle tissue development inner ear development positive regulation of epithelial cell proliferation negative regulation of epithelial cell proliferation positive regulation of protein secretion positive regulation of peptidyl-tyrosine phosphorylation negative regulation of phagocytosis positive regulation of chemotaxis positive regulation of NF-kappaB transcription factor activity regulation of binding regulation of DNA binding positive regulation of smooth muscle cell differentiation negative regulation of release of sequestered calcium ion into cytosol positive regulation of cell division positive regulation of protein kinase B signaling regulation of blood vessel remodeling face morphogenesis frontal suture morphogenesis pathway-restricted SMAD protein phosphorylation regulation of SMAD protein import into nucleus positive regulation of SMAD protein import into nucleus SMAD protein signal transduction mammary gland branching involved in thelarche branch elongation involved in mammary gland duct branching regulation of branching involved in mammary gland duct morphogenesis negative regulation of gene silencing by miRNA regulation of cartilage development lens fiber cell differentiation response to cholesterol positive regulation of cell cycle arrest cellular response to organic cyclic compound cellular response to dexamethasone stimulus cellular response to transforming growth factor beta stimulus extracellular matrix assembly positive regulation of branching involved in ureteric bud morphogenesis extrinsic apoptotic signaling pathway negative regulation of hyaluronan biosynthetic process positive regulation of extracellular matrix assembly positive regulation of NAD+ ADP-ribosyltransferase activity positive regulation of pri-miRNA transcription from RNA polymerase II promoter negative regulation of protein localization to plasma membrane negative regulation of production of miRNAs involved in gene silencing by miRNA positive regulation of receptor clustering regulation of epithelial to mesenchymal transition involved in endocardial cushion formation regulation of actin cytoskeleton reorganization positive regulation of transcription regulatory region DNA binding positive regulation of cardiac muscle cell differentiation
          It has to be done as per old AB suggested Products section.
          guarantee_icon

          性能保障

          只要您发现Invitrogen抗体在实验中的表现与网站或说明书的所述内容不符,您即可享受免费退换货服务。*

          了解更多
          help_icon

          随时为您服务

          获取常见问题的专家解答,或者直接联系我们的技术专家,咨询应用、设备、常规产品使用问题。

          联系技术支持
          订购 Plus Icon Minus Icon
          • 订单状态查询
          • 订单支持
          • 货号直购
          • 现货供应中心
          • 电子采购
          支持 Plus Icon Minus Icon
          • 帮助&支持
          • 联系我们 - 400 820 8982
          • 技术支持中心
          • 查找文件&证书
          • 报告网站问题
          资源 Plus Icon Minus Icon
          • 学习中心
          • 促销
          • 活动&研讨会
          • 社交媒体
          关于赛默飞 Plus Icon Minus Icon
          • 关于我们
          • 招聘 招聘
          • 投资者关系 投资者关系
          • 新闻 新闻
          • 社会责任 社会责任
          • 商标
          • 政策和通知
          品牌 Plus Icon Minus Icon
          • Thermo Scientific
          • Applied Biosystems
          • Invitrogen
          • Gibco
          • Ion Torrent
          • Patheon
          • PPD
          • 服务条款
          • 隐私政策
          • 定价和运输保险政策
          © 2006-2026 Thermo Fisher Scientific Inc. All rights reserved. All trademarks are the property of Thermo Fisher Scientific and its subsidiaries unless otherwise specified.
          China flag icon
          China
          本网站销售的所有产品均不得用于人类或动物之临床诊断或治疗,仅可用于工业或者科研等非医疗目的。
             电子营业执照 | 经营证照公示 | ICP备案号:沪ICP备11003924号 | 沪公网安备 31011502006935号

          Your items have has been added!


          Host server : magellan-search-blue-55ff9ddd88-p5clx:80/100.66.75.9:80.
          git-commit: d366ff9721d93504b2ac26a183b2b3e3d0e7d9ec
          git-url: https://github.com/thermofisher/magellan-search
          git-branch: release/2.42.0-2026.01.03-1.0