Hamburger Menu Button
Thermo Fisher Scientific Logo
登录
没有账号?建立账号 注册
  • 产品
    • 抗体
    • 引物合成
    • GeneArt Gene Synthesis Instant Designer
    • TaqMan Assay and Array Search
    • PCR 设备和耗材
    • 色谱柱和纯化柱
    • 实验室离心机
    • 分子生物学试剂和试剂盒
    • 实验室塑料耗材及用品
    • 查看所有产品分类
  • 应用和技术
    • 色谱
    • 细胞转染和培养
    • 实时荧光定量PCR
    • 质谱
    • 实验室塑料耗材及用品
    • 电子显微镜
    • 蛋白质生物学
    • PCR
    • RNAi
    • 环境
    • 查看所有应用和技术
  • 服务
    • 定制服务
    • 企业级实验室信息化服务
    • 金融&租赁服务
    • 仪器服务
    • OEM和商业供应
    • 培训服务
    • 360° CDMO 和 CRO 服务
    • CDMO 服务
    • 临床试验 CRO 服务
    • Unity Lab Services
    • 查看所有帮助和支持
  • 帮助和支持
    • 学习中心
    • 联系我们
    • 更改国家或地区
    • 查看所有帮助和支持
  • 热门产品
    • TaqMan Real-Time PCR Assays
      TaqMan 实时荧光定量 PCR 试剂盒
    • Antibodies
      抗体
    • Oligos, Primers & Probes
      寡核苷酸、引物、探针
    • GeneArt Gene Synthesis
      GeneArt 基因合成
    • Cell Culture Plastics
      细胞培养耗材
  • Who We Serve
    • 抗体治疗解决方案
    • 细胞与基因治疗解决方案
    • 学术科研
    • 工业与应用
  • 联系我们
  • 货号直购
  • 订单查询
  • 查找文件&证书
Thermo Fisher Scientific Logo

Search

搜索全部或下列指定分类
Search button
          • 联系我们
          • 货号直购
          • 登录
            登录
            没有账号?建立账号 注册
            • 我的账号
            • 订单
            • 会员中心
            • 账单及发票查询
            • 定制产品及项目
          • Primary Antibodies ›
          • TGFBR1 Antibodies

          AbboMax

          TGFBR1 Polyclonal Antibody

          查看其他16个TGFBR1抗体

          {{$productOrderCtrl.translations['antibody.pdp.commerceCard.promotion.promotions']}}

          {{$productOrderCtrl.translations['antibody.pdp.commerceCard.promotion.viewpromo']}}

          {{$productOrderCtrl.translations['antibody.pdp.commerceCard.promotion.promocode']}}: {{promo.promoCode}} {{promo.promoTitle}} {{promo.promoDescription}}. {{$productOrderCtrl.translations['antibody.pdp.commerceCard.promotion.learnmore']}}

          说明书
          证书
          实验方案
          问题与答案
          技术支持
          说明书
          证书
          实验方案
          问题与答案
          技术支持
          说明书
          证书
          实验方案
          问题与答案
          技术支持

          Cite TGFBR1 Polyclonal Antibody

          Additional Information:
          {{banner.description}}
          {{$ctrl.isSkuNotesCollapsed ? 'View more' : 'View less'}}
          • 抗体检测数据 (1)
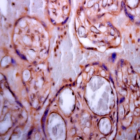
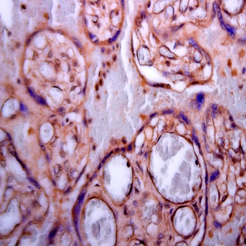
          TGFBR1 Antibody in Immunohistochemistry (Paraffin) (IHC (P))
          Group 53 Created with Sketch.
          TGFBR1 Antibody in Immunohistochemistry (Paraffin) (IHC (P))
          Group 53 Created with Sketch.

          图: 1 / 1

          {{ $ctrl.currentElement.advancedVerification.fullName }}
          {{ $ctrl.currentElement.advancedVerification.text }}

          TGFBR1 Antibody (630-290) in IHC (P)

          Immunohistochemistry: Human placenta (FFPE) stained with Rabbit anti-TGFbR1 (Cat# 630-290) at 1:100 for 10 min @ RT. Staining of formalin-fixed tissue requires boiling tissue sections in 10 mM Citrate Buffer, pH 6.0 for 10 min followed by cooling at RT for 20 min. {{ $ctrl.currentElement.advancedVerification.fullName }} 验证信息 View more
          已发表图片由___提供 benchsci-logo
          PMID: {{$ctrl.currentElement.benchSciPubmedId}}
          查看产品

          {{$ctrl.videoDesc}}

          {{$ctrl.videoLongDesc}}

          TGFBR1 Antibody in Immunohistochemistry (Paraffin) (IHC (P))

          产品信息

          630-290

          应用
          建议稀释比
          已发表文章

          免疫印迹 (WB)

          0.1-1 µg/mL
          -

          免疫组化(石蜡) (IHC (P))

          2-10 µg/mL
          -
          产品规格

          种属反应

          Human, Mouse, Rat

          宿主/亚型

          Rabbit / IgG

          分类

          Polyclonal

          类型

          Antibody

          抗原

          This antibody was obtained from the depletion column of the following three Non-Phosphospecific peptides (IYDM-T-T-SGS-;-DMTT-S-G-S-G-S-GLPL-;-EEDP-S-LDRPFI)

          偶联物

          Unconjugated Unconjugated Unconjugated

          形式

          Liquid

          浓度

          0.5 mg/mL

          规格

          100 µg

          纯化类型

          Antigen affinity chromatography

          保存液

          PBS with proprietary stabilizer

          内含物

          0.01% sodium azide

          保存条件

          Store at 4°C short term. For long term storage, store at -20°C, avoiding freeze/thaw cycles.

          运输条件

          Ambient (domestic); Wet ice (international)

          产品详细信息

          Positive control: MCF7

          Cellular location: Membrane, cytoplasm.

          靶标信息

          TGFBR1 is a transmembrane serine/threonine kinase in the TGFBR1 superfamily, which also includes ACVRs and BMPRs. Upon binding TGF-b, TGFBR2 dimerizes with and activates TGFBR1 via phosphorylation leading to downstream phosphorylation of SMADs by TGFBR1. TGFBR1 forms a heteromeric complex with type II TGF-beta receptors when bound to TGF-beta, transducing the TGF-beta signal from the cell surface to the cytoplasm. The encoded protein is a serine/threonine protein kinase. Mutations in this gene have been associated with Loeys-Dietz aortic aneurysm syndrome (LDAS).

          仅用于科研。不用于诊断过程。未经明确授权不得转售。

          篇参考文献 (0)

          您是否在文献中引用过该产品?请点击下方按钮邮件告知我们。
          引用该产品

          生物信息学

          蛋白别名: activin A receptor type II-like kinase, 53kDa; Activin A receptor type II-like protein kinase of 53kD; Activin receptor-like kinase 5; ALK-5; ESK2; mutant transforming growth factor beta receptor I; ser; Serine/threonine-protein kinase receptor R4; SKR4; tgf beta receptor 1; TGF-beta receptor type I; TGF-beta receptor type-1; TGF-beta type I receptor; TGFR-1; TGFR1; Transfor; transforming growth factor beta receptor I; transforming growth factor, beta receptor I; Transforming growth factor-beta receptor type I; unnamed protein product

          查看更多 收起

          基因别名: AAT5; ACVRLK4; ALK-5; ALK5; AU017191; ESS1; LDS1; LDS1A; LDS2A; MSSE; SKR4; TbetaR-I; TbetaRI; TBR-i; TBRI; TGFBR1; TGFR-1

          查看更多 收起

          UniProt ID: (Human) P36897, (Rat) P80204, (Mouse) Q64729

          查看更多 收起

          Entrez Gene ID: (Human) 7046, (Rat) 29591, (Mouse) 21812

          查看更多 收起

          功能
          nucleotide binding protein kinase activity protein serine/threonine kinase activity transmembrane receptor protein serine/threonine kinase activity transforming growth factor beta-activated receptor activity transforming growth factor beta receptor activity, type I receptor binding type II transforming growth factor beta receptor binding protein binding ATP binding kinase activity activin receptor activity, type I transferase activity growth factor binding ubiquitin protein ligase binding SMAD binding metal ion binding activin binding transforming growth factor beta binding I-SMAD binding receptor signaling protein serine/threonine kinase activity receptor signaling protein activity protein complex binding protein heterodimerization activity transferase activity, transferring phosphorus-containing groups serine/threonine protein kinase receptor
          参与通路
          skeletal system development angiogenesis in utero embryonic development kidney development blastocyst development epithelial to mesenchymal transition endothelial cell proliferation negative regulation of endothelial cell proliferation positive regulation of endothelial cell proliferation lens development in camera-type eye ventricular trabecula myocardium morphogenesis ventricular compact myocardium morphogenesis proepicardium development regulation of transcription, DNA-templated apoptotic process signal transduction transmembrane receptor protein serine/threonine kinase signaling pathway transforming growth factor beta receptor signaling pathway nervous system development heart development positive regulation of cell proliferation germ cell migration male gonad development post-embryonic development anterior/posterior pattern specification regulation of gene expression positive regulation of gene expression regulation of epithelial to mesenchymal transition positive regulation of epithelial to mesenchymal transition peptidyl-serine phosphorylation cell differentiation collagen fibril organization positive regulation of cell growth regulation of cell migration positive regulation of cell migration negative regulation of cell migration regulation of protein ubiquitination negative regulation of chondrocyte differentiation activin receptor signaling pathway intracellular signal transduction myofibroblast differentiation wound healing endothelial cell activation extracellular structure organization positive regulation of apoptotic process negative regulation of apoptotic process endothelial cell migration positive regulation of transcription, DNA-templated filopodium assembly thymus development neuron fate commitment embryonic cranial skeleton morphogenesis skeletal system morphogenesis mesenchymal cell differentiation artery morphogenesis cell motility positive regulation of filopodium assembly positive regulation of stress fiber assembly regulation of cell cycle positive regulation of protein kinase B signaling parathyroid gland development palate development pharyngeal system development regulation of cardiac muscle cell proliferation cardiac epithelial to mesenchymal transition positive regulation of SMAD protein import into nucleus ventricular septum morphogenesis angiogenesis involved in coronary vascular morphogenesis coronary artery morphogenesis trophoblast cell migration response to cholesterol cellular response to growth factor stimulus cellular response to transforming growth factor beta stimulus response to alcohol vascular endothelial cell proliferation positive regulation of extracellular matrix assembly positive regulation of mesenchymal stem cell proliferation positive regulation of vasculature development positive regulation of epithelial to mesenchymal transition involved in endocardial cushion formation positive regulation of occluding junction disassembly epicardium morphogenesis regulation of multicellular organismal development positive regulation of apoptotic signaling pathway negative regulation of extrinsic apoptotic signaling pathway activation of MAPKK activity response to hypoxia protein phosphorylation embryo implantation aging response to toxic substance positive regulation of pathway-restricted SMAD protein phosphorylation response to organic cyclic compound peptidyl-threonine phosphorylation signal transduction by protein phosphorylation lung development organ regeneration response to prostaglandin E regulation of growth regulation of protein binding response to estrogen negative regulation of endothelial cell differentiation protein autophosphorylation digestive tract development positive regulation of cellular component movement response to electrical stimulus pathway-restricted SMAD protein phosphorylation embryo development phosphorylation
          It has to be done as per old AB suggested Products section.

          Disclaimer

          Close

          Clicking the images or links will redirect you to a website hosted by BenchSci that provides third-party scientific content. Neither the content nor the BenchSci technology and processes for selection have been evaluated by us; we are providing them as-is and without warranty of any kind, including for use or application of the Thermo Fisher Scientific products presented.

          guarantee_icon

          性能保障

          只要您发现Invitrogen抗体在实验中的表现与网站或说明书的所述内容不符,您即可享受免费退换货服务。*

          了解更多
          help_icon

          随时为您服务

          获取常见问题的专家解答,或者直接联系我们的技术专家,咨询应用、设备、常规产品使用问题。

          联系技术支持
          订购 Plus Icon Minus Icon
          • 订单状态查询
          • 订单支持
          • 货号直购
          • 现货供应中心
          • 电子采购
          支持 Plus Icon Minus Icon
          • 帮助&支持
          • 联系我们 - 400 820 8982
          • 技术支持中心
          • 查找文件&证书
          • 报告网站问题
          资源 Plus Icon Minus Icon
          • 学习中心
          • 促销
          • 活动&研讨会
          • 社交媒体
          关于赛默飞 Plus Icon Minus Icon
          • 关于我们
          • 招聘 招聘
          • 投资者关系 投资者关系
          • 新闻 新闻
          • 社会责任 社会责任
          • 商标
          • 政策和通知
          品牌 Plus Icon Minus Icon
          • Thermo Scientific
          • Applied Biosystems
          • Invitrogen
          • Gibco
          • Ion Torrent
          • Unity Lab Services
          • Patheon
          • PPD
          • 服务条款
          • 隐私政策
          • 定价和运输保险政策
          © 2006-2026 Thermo Fisher Scientific Inc. All rights reserved. All trademarks are the property of Thermo Fisher Scientific and its subsidiaries unless otherwise specified.
          China flag icon
          China
          本网站销售的所有产品均不得用于人类或动物之临床诊断或治疗,仅可用于工业或者科研等非医疗目的。
             电子营业执照 | 经营证照公示 | ICP备案号:沪ICP备11003924号 | 沪公网安备 31011502006935号

          Your items have has been added!


          Host server : magellan-search-green-6479c7f679-2dqqb:80/100.66.78.195:80.
          git-commit: b70c0dceb888abc3b0dcebb5bc3a5b8753e7e816
          git-url: https://github.com/thermofisher/magellan-search
          git-branch: release/2.50.0-Offline