Hamburger Menu Button
Thermo Fisher Scientific Logo
登录
没有账号?建立账号 注册
  • 产品
    • 抗体
    • 引物合成
    • GeneArt Gene Synthesis Instant Designer
    • TaqMan Assay and Array Search
    • PCR 设备和耗材
    • 色谱柱和纯化柱
    • 实验室离心机
    • 分子生物学试剂和试剂盒
    • 实验室塑料耗材及用品
    • 查看所有产品分类
  • 应用和技术
    • 色谱
    • 细胞转染和培养
    • 实时荧光定量PCR
    • 质谱
    • 实验室塑料耗材及用品
    • 电子显微镜
    • 蛋白质生物学
    • PCR
    • RNAi
    • 环境
    • 查看所有应用和技术
  • 服务
    • 定制服务
    • 企业级实验室信息化服务
    • 金融&租赁服务
    • 仪器服务
    • OEM和商业供应
    • 培训服务
    • 360° CDMO 和 CRO 服务
    • CDMO 服务
    • 临床试验 CRO 服务
    • Unity Lab Services
    • 查看所有帮助和支持
  • 帮助和支持
    • 学习中心
    • 联系我们
    • 更改国家或地区
    • 查看所有帮助和支持
  • 热门产品
    • TaqMan Real-Time PCR Assays
      TaqMan 实时荧光定量 PCR 试剂盒
    • Antibodies
      抗体
    • Oligos, Primers & Probes
      寡核苷酸、引物、探针
    • GeneArt Gene Synthesis
      GeneArt 基因合成
    • Cell Culture Plastics
      细胞培养耗材
  • Who We Serve
    • 抗体治疗解决方案
    • 细胞与基因治疗解决方案
    • 学术科研
    • 工业与应用
  • 联系我们
  • 货号直购
  • 订单查询
  • 查找文件&证书
Thermo Fisher Scientific Logo

Search

搜索全部或下列指定分类
Search button
          • 联系我们
          • 货号直购
          • 登录
            登录
            没有账号?建立账号 注册
            • 我的账号
            • 订单
            • 会员中心
            • 账单及发票查询
            • 定制产品及项目
          • Primary Antibodies ›
          • THRA Antibodies

          Invitrogen

          THRA Polyclonal Antibody

          2个已发表图片
          43 篇参考文献
          查看其他12个THRA抗体

          {{$productOrderCtrl.translations['antibody.pdp.commerceCard.promotion.promotions']}}

          {{$productOrderCtrl.translations['antibody.pdp.commerceCard.promotion.viewpromo']}}

          {{$productOrderCtrl.translations['antibody.pdp.commerceCard.promotion.promocode']}}: {{promo.promoCode}} {{promo.promoTitle}} {{promo.promoDescription}}. {{$productOrderCtrl.translations['antibody.pdp.commerceCard.promotion.learnmore']}}

          说明书
          证书
          实验方案
          问题与答案
          技术支持
          说明书
          证书
          实验方案
          问题与答案
          技术支持
          说明书
          证书
          实验方案
          问题与答案
          技术支持

          Cite THRA Polyclonal Antibody

          Additional Information:
          {{banner.description}}
          {{$ctrl.isSkuNotesCollapsed ? 'View more' : 'View less'}}
          • 抗体检测数据 (10)
          • 已发表图片 (2)
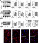
          THRA Antibody in Immunocytochemistry (ICC/IF)
          Group 53 Created with Sketch.
          THRA Antibody in Immunocytochemistry (ICC/IF)
          Group 53 Created with Sketch.

          图: 1 / 12

          {{ $ctrl.currentElement.advancedVerification.fullName }}
          {{ $ctrl.currentElement.advancedVerification.text }}

          THRA Antibody (PA1-211A) in ICC/IF

          Immunofluorescent analysis of Thyroid Hormone Receptor alpha-1 (green) showing staining in the nucleus and cytoplasm of U251 cells (right) compared to a negative control without primary antibody (left). Formalin-fixed cells were permeabilized with 0.1% Triton X-100 in TBS for 5-10 minutes and blocked with 3% BSA-PBS for 30 minutes at room temperature. Cells were probed with a Thyroid Hormone Receptor alpha-1 polyclonal antibody (Product # PA1-211A) in 3% BSA-PBS at a dilution of 1:100 and incubated overnight at 4 °C in a humidified chamber... View More {{ $ctrl.currentElement.advancedVerification.fullName }} 验证信息 View more
          已发表图片由___提供 benchsci-logo
          PMID: {{$ctrl.currentElement.benchSciPubmedId}}
          查看产品

          {{$ctrl.videoDesc}}

          {{$ctrl.videoLongDesc}}

          THRA Antibody in Immunocytochemistry (ICC/IF)
          THRA Antibody in Immunocytochemistry (ICC/IF)
          THRA Antibody in Immunocytochemistry (ICC/IF)
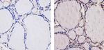
          THRA Antibody in Immunohistochemistry (Paraffin) (IHC (P))
          THRA Antibody in Immunohistochemistry (Paraffin) (IHC (P))
          THRA Antibody in Immunohistochemistry (Paraffin) (IHC (P))
          THRA Antibody in Immunohistochemistry (Paraffin) (IHC (P))
          THRA Antibody in Immunohistochemistry (Paraffin) (IHC (P))
          THRA Antibody in Immunohistochemistry (Paraffin) (IHC (P))
          THRA Antibody in Western Blot (WB)
          THRA Antibody in Western Blot (WB)
          THRA Antibody in Immunomicroscopy (IM)
          THRA Polyclonal Antibody

          产品信息

          PA1-211A

          应用
          建议稀释比
          已发表文章

          免疫印迹 (WB)

          1:200
          查看27篇已发表文章 27篇已发表文章

          免疫组化 (IHC)

          -
          查看5篇已发表文章 5篇已发表文章

          免疫组化(石蜡) (IHC (P))

          1:20-1:100
          查看2篇已发表文章 2篇已发表文章

          免疫细胞化学 (ICC/IF)

          1:10-1:200
          查看5篇已发表文章 5篇已发表文章

          免疫电镜技术 (IM)

          -
          查看1篇已发表文章 1篇已发表文章

          凝胶阻滞分析 (EMSA)

          1:10
          查看2篇已发表文章 2篇已发表文章

          其他PubMed (Misc)

          -
          查看1篇已发表文章 1篇已发表文章
          产品规格

          种属反应

          Chicken, Human, Mouse, Rat

          已发表种属

          Human, Mouse, Non-human primate, Rat, Sheep, Xenopus

          宿主/亚型

          Rabbit / IgG

          分类

          Polyclonal

          类型

          Antibody

          抗原

          Synthetic Peptide: E(403) V F E D Q E V(410)
          3D表位/免疫原

          偶联物

          Unconjugated Unconjugated Unconjugated

          形式

          Liquid

          浓度

          Conc. Not Determined

          保存液

          whole serum, PBS

          内含物

          0.05% sodium azide

          保存条件

          -20°C, Avoid Freeze/Thaw Cycles

          运输条件

          Ambient (domestic); Wet ice (international)

          RRID

          AB_325811

          产品详细信息

          PA1-211A detects thyroid receptor (TR) from human, mouse, rat and chicken samples. This antibody does not detect TRv alpha -2 or TR beta-1.

          PA1-211A has been successfully used in Western blot, IHC-P, ICC/IF and gel shift procedures. By Western blot, this antibody detects a ~48 kDa protein representing recombinant human TR alpha-1 expressed in E. coli. Gel shift experiments show that this product reacts with TR alpha-1 homodimers and TR alpha-1/retinoic X receptor (RXR) heterodimers.

          PA1-211A immunizing peptide corresponds to amino acid residues 403-410 from human TR alpha-1. This sequence is completely conserved between human and rat TR alpha-1.

          靶标信息

          The protein encoded by this gene is a nuclear hormone receptor for triiodothyronine. It is one of the several receptors for thyroid hormone, and has been shown to mediate the biological activities of thyroid hormone. Knockout studies in mice suggest that the different receptors, while having certain extent of redundancy, may mediate different functions of thyroid hormone. Alternatively spliced transcript variants encoding distinct isoforms have been reported.

          仅用于科研。不用于诊断过程。未经明确授权不得转售。

          生物信息学

          蛋白别名: avian erythroblastic leukemia viral (v-erb-a) oncogene homolog 1; c-erb-A protein; c-erb-A thyroid hormone receptor; c-erbA protooncogene; c-erbA-1; C-erbA-alpha; c-erbA-alpha2; c-erbAalpha; c-erbAalpha2; cerbA protein; cerbAalpha; E ERB-T-1; EAR-7; ERBA ALPHA; ERBA related 7; ERBA-related 7; MGC000261; MGC43240; Nuclear receptor subfamily 1 group A member 1; Oncogene ERBA; THRA; Thyroid hormone receptor alpha; thyroid hormone receptor alpha 1; thyroid hormone receptor alpha 1 (avian erythroblastic leukemia viral (v-erb-a) oncogene homolog 1 formerly ERBA1); thyroid hormone receptor beta; thyroid hormone receptor, alpha (erythroblastic leukemia viral (v-erb-a) oncogene homolog, avian); TR; TR alpha 1; TR alpha 1+2; TR alpha 2; triiodothyronine receptor; unnamed protein product; V-erbA-related protein 7

          查看更多 收起

          基因别名: 6430529J03Rik; AR7; AW259572; c-erbA; c-ERBA-1; C-erba-alpha; CHNG6; EAR7; ERB-T-1; ERBA; ERBA1; NR1A1; Rvr; T3R[a]; T3Ralpha; THRA; THRA1; THRA2; THRalpha; THRalpha1; THRalpha2; TRalpha; TRalpha1; TRalpha2

          查看更多 收起

          UniProt ID: (Chicken) P04625, (Human) P10827, (Mouse) P63058, (Rat) P63059

          查看更多 收起

          Entrez Gene ID: (Chicken) 396251, (Human) 7067, (Mouse) 21833, (Rat) 81812

          查看更多 收起

          功能
          RNA polymerase II core promoter proximal region sequence-specific DNA binding RNA polymerase II transcription factor activity, ligand-activated sequence-specific DNA binding protein binding zinc ion binding thyroid hormone binding sequence-specific double-stranded DNA binding transcription regulatory region sequence-specific DNA binding RNA polymerase II transcription factor activity, sequence-specific DNA binding DNA binding transcription factor activity, sequence-specific DNA binding TBP-class protein binding protein domain specific binding chromatin DNA binding sequence-specific DNA binding macromolecular complex binding metal ion binding general transcription initiation factor binding steroid receptor RNA activator RNA binding transcription factor activity, RNA polymerase II distal enhancer sequence-specific binding steroid hormone receptor activity single-stranded RNA binding thyroid hormone receptor activity transcription factor binding protein complex binding protein homodimerization activity transcription regulatory region DNA binding intronic transcription regulatory region DNA binding protein heterodimerization activity protein dimerization activity C4 zinc finger nuclear receptor DNA-binding transcription factor zinc finger transcription factor gene-specific transcriptional regulator
          参与通路
          negative regulation of transcription from RNA polymerase II promoter thyroid hormone mediated signaling pathway hormone-mediated signaling pathway cell differentiation positive regulation of transcription from RNA polymerase II promoter cartilage condensation ossification regulation of thyroid hormone mediated signaling pathway positive regulation of thyroid hormone receptor signaling pathway regulation of transcription, DNA-templated regulation of transcription from RNA polymerase II promoter transcription from RNA polymerase II promoter learning or memory regulation of heart contraction female courtship behavior response to cold organ morphogenesis negative regulation of RNA polymerase II transcriptional preinitiation complex assembly erythrocyte differentiation thyroid gland development regulation of myeloid cell apoptotic process mRNA transcription from RNA polymerase II promoter negative regulation of transcription, DNA-templated positive regulation of female receptivity retinoic acid receptor signaling pathway regulation of lipid catabolic process Type I pneumocyte differentiation positive regulation of cold-induced thermogenesis negative regulation of DNA-templated transcription, initiation transcription, DNA-templated positive regulation of myotube differentiation intracellular receptor signaling pathway cytoplasmic sequestering of transcription factor steroid hormone mediated signaling pathway negative regulation of sequence-specific DNA binding transcription factor activity kidney development liver development brain development lung development adrenal gland development response to nutrient levels response to drug digestive tract development embryonic organ development
          It has to be done as per old AB suggested Products section.

          Disclaimer

          Close

          Clicking the images or links will redirect you to a website hosted by BenchSci that provides third-party scientific content. Neither the content nor the BenchSci technology and processes for selection have been evaluated by us; we are providing them as-is and without warranty of any kind, including for use or application of the Thermo Fisher Scientific products presented.

          guarantee_icon

          性能保障

          只要您发现Invitrogen抗体在实验中的表现与网站或说明书的所述内容不符,您即可享受免费退换货服务。*

          了解更多
          help_icon

          随时为您服务

          获取常见问题的专家解答,或者直接联系我们的技术专家,咨询应用、设备、常规产品使用问题。

          联系技术支持
          订购 Plus Icon Minus Icon
          • 订单状态查询
          • 订单支持
          • 货号直购
          • 现货供应中心
          • 电子采购
          支持 Plus Icon Minus Icon
          • 帮助&支持
          • 联系我们 - 400 820 8982
          • 技术支持中心
          • 查找文件&证书
          • 报告网站问题
          资源 Plus Icon Minus Icon
          • 学习中心
          • 促销
          • 活动&研讨会
          • 社交媒体
          关于赛默飞 Plus Icon Minus Icon
          • 关于我们
          • 招聘 招聘
          • 投资者关系 投资者关系
          • 新闻 新闻
          • 社会责任 社会责任
          • 商标
          • 政策和通知
          品牌 Plus Icon Minus Icon
          • Thermo Scientific
          • Applied Biosystems
          • Invitrogen
          • Gibco
          • Ion Torrent
          • Unity Lab Services
          • Patheon
          • PPD
          • 服务条款
          • 隐私政策
          • 定价和运输保险政策
          © 2006-2026 Thermo Fisher Scientific Inc. All rights reserved. All trademarks are the property of Thermo Fisher Scientific and its subsidiaries unless otherwise specified.
          China flag icon
          China
          本网站销售的所有产品均不得用于人类或动物之临床诊断或治疗,仅可用于工业或者科研等非医疗目的。
             电子营业执照 | 经营证照公示 | ICP备案号:沪ICP备11003924号 | 沪公网安备 31011502006935号

          Your items have has been added!


          Host server : magellan-search-green-6479c7f679-74pjh:80/100.66.78.195:80.
          git-commit: b70c0dceb888abc3b0dcebb5bc3a5b8753e7e816
          git-url: https://github.com/thermofisher/magellan-search
          git-branch: release/2.50.0-Offline