Hamburger Menu Button
Thermo Fisher Scientific Logo
登录
没有账号?建立账号 注册
  • 产品
    • 抗体
    • 引物合成
    • GeneArt Gene Synthesis Instant Designer
    • TaqMan Assay and Array Search
    • PCR 设备和耗材
    • 色谱柱和纯化柱
    • 实验室离心机
    • 分子生物学试剂和试剂盒
    • 实验室塑料耗材及用品
    • 查看所有产品分类
  • 应用和技术
    • 色谱
    • 细胞转染和培养
    • 实时荧光定量PCR
    • 质谱
    • 实验室塑料耗材及用品
    • 电子显微镜
    • 蛋白质生物学
    • PCR
    • RNAi
    • 环境
    • 查看所有应用和技术
  • 服务
    • 定制服务
    • 企业级实验室信息化服务
    • 金融&租赁服务
    • 仪器服务
    • OEM和商业供应
    • 培训服务
    • 360° CDMO 和 CRO 服务
    • CDMO 服务
    • 临床试验 CRO 服务
    • Unity Lab Services
    • 查看所有帮助和支持
  • 帮助和支持
    • 学习中心
    • 联系我们
    • 更改国家或地区
    • 查看所有帮助和支持
  • 热门产品
    • TaqMan Real-Time PCR Assays
      TaqMan 实时荧光定量 PCR 试剂盒
    • Antibodies
      抗体
    • Oligos, Primers & Probes
      寡核苷酸、引物、探针
    • GeneArt Gene Synthesis
      GeneArt 基因合成
    • Cell Culture Plastics
      细胞培养耗材
  • Who We Serve
    • 抗体治疗解决方案
    • 细胞与基因治疗解决方案
    • 学术科研
    • 工业与应用
  • 联系我们
  • 货号直购
  • 订单查询
  • 查找文件&证书
Thermo Fisher Scientific Logo

Search

搜索全部或下列指定分类
Search button
          • 联系我们
          • 货号直购
          • 登录
            登录
            没有账号?建立账号 注册
            • 我的账号
            • 订单
            • 会员中心
            • 账单及发票查询
            • 定制产品及项目
          • Primary Antibodies ›
          • THRA/THRB Antibodies

          Invitrogen

          THRA/THRB Monoclonal Antibody (C3)

          高级验证
          16个已发表图片
          26 篇参考文献
          查看其他3个THRA/THRB抗体

          {{$productOrderCtrl.translations['antibody.pdp.commerceCard.promotion.promotions']}}

          {{$productOrderCtrl.translations['antibody.pdp.commerceCard.promotion.viewpromo']}}

          {{$productOrderCtrl.translations['antibody.pdp.commerceCard.promotion.promocode']}}: {{promo.promoCode}} {{promo.promoTitle}} {{promo.promoDescription}}. {{$productOrderCtrl.translations['antibody.pdp.commerceCard.promotion.learnmore']}}

          说明书
          证书
          实验方案
          问题与答案
          技术支持
          说明书
          证书
          实验方案
          问题与答案
          技术支持
          说明书
          证书
          实验方案
          问题与答案
          技术支持

          Cite THRA/THRB Monoclonal Antibody (C3)

          Additional Information:
          {{banner.description}}
          {{$ctrl.isSkuNotesCollapsed ? 'View more' : 'View less'}}
          • 抗体检测数据 (7)
          • 已发表图片 (16)
          • 高级验证 (1)
          THRA/THRB Antibody in Immunocytochemistry (ICC/IF)
          Group 53 Created with Sketch.
          THRA/THRB Antibody in Immunocytochemistry (ICC/IF)
          Group 53 Created with Sketch.

          图: 1 / 24

          {{ $ctrl.currentElement.advancedVerification.fullName }}
          {{ $ctrl.currentElement.advancedVerification.text }}

          THRA/THRB Antibody (MA1-215) in ICC/IF

          Immunofluorescent analysis of Thyroid Hormone Receptor in HepG2 Cells. Cells were grown on chamber slides and fixed with formaldehyde prior to staining. Cells were probed without (control) or with a Thyroid Hormone Receptor monoclonal antibody (Product # MA1-215) at a dilution of 1:20 overnight at 4 C, washed with PBS and incubated with a DyLight-488 conjugated secondary antibody (Product # 35503). Thyroid ... View More {{ $ctrl.currentElement.advancedVerification.fullName }} 验证信息 View more
          已发表图片由___提供 benchsci-logo
          PMID: {{$ctrl.currentElement.benchSciPubmedId}}
          查看产品

          {{$ctrl.videoDesc}}

          {{$ctrl.videoLongDesc}}

          THRA/THRB Antibody in Immunocytochemistry (ICC/IF)
          THRA/THRB Antibody in Immunocytochemistry (ICC/IF)
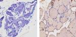
          THRA/THRB Antibody in Immunohistochemistry (Paraffin) (IHC (P))
          THRA/THRB Antibody in Immunohistochemistry (Paraffin) (IHC (P))
          THRA/THRB Antibody in Immunohistochemistry (Paraffin) (IHC (P))
          THRA/THRB Antibody in Immunohistochemistry (Paraffin) (IHC (P))
          THRA/THRB Antibody in Western Blot (WB)
          THRA/THRB Antibody in Western Blot, Immunoprecipitation (WB, IP)
          THRA/THRB Antibody in Western Blot (WB)
          THRA/THRB Antibody in Western Blot (WB)
          THRA/THRB Antibody in Western Blot (WB)
          THRA/THRB Antibody in Western Blot, Immunoprecipitation (WB, IP)
          THRA/THRB Antibody in Western Blot (WB)
          THRA/THRB Antibody in Western Blot (WB)
          THRA/THRB Antibody in Western Blot (WB)
          THRA/THRB Antibody in Western Blot (WB)
          THRA/THRB Antibody in Western Blot (WB)
          THRA/THRB Antibody in Western Blot (WB)
          THRA/THRB Antibody in Western Blot, ChIP Assay (WB, ChIP)
          THRA/THRB Antibody in Western Blot (WB)
          THRA/THRB Antibody in Western Blot (WB)
          THRA/THRB Antibody in ChIP Assay (ChIP)
          THRA/THRB Antibody in Gel Shift (EMSA)
          THRA/THRB Antibody
          THRA/THRB Monoclonal Antibody (C3)

          产品信息

          MA1-215

          应用
          建议稀释比
          已发表文章

          免疫印迹 (WB)

          1:1,000
          查看11篇已发表文章 11篇已发表文章

          免疫组化(石蜡) (IHC (P))

          1:20
          -

          免疫细胞化学 (ICC/IF)

          1:20
          查看2篇已发表文章 2篇已发表文章

          免疫沉淀 (IP)

          Assay-dependent
          查看3篇已发表文章 3篇已发表文章

          染色质免疫沉淀 实验 (ChIP)

          -
          查看5篇已发表文章 5篇已发表文章

          肽阵列 (Array)

          -
          查看1篇已发表文章 1篇已发表文章

          凝胶阻滞分析 (EMSA)

          Assay-dependent
          查看2篇已发表文章 2篇已发表文章

          其他PubMed (Misc)

          -
          查看2篇已发表文章 2篇已发表文章
          产品规格

          种属反应

          Human

          已发表种属

          Hamster, Human, Mouse, Non-human primate, Rat, Xenopus

          宿主/亚型

          Mouse / IgG1

          分类

          Monoclonal

          类型

          Antibody

          克隆号

          C3

          抗原

          Purified fragment of human TR beta-1 corresponding to residues 201-456.
          3D表位/免疫原

          偶联物

          Unconjugated Unconjugated Unconjugated

          形式

          Liquid

          浓度

          Conc. Not Determined

          保存液

          ascites

          内含物

          0.05% sodium azide

          保存条件

          -20°C, Avoid Freeze/Thaw Cycles

          运输条件

          Ambient (domestic); Wet ice (international)

          RRID

          AB_325420

          产品详细信息

          MA1-215 detects thyroid hormone receptor (TR) from human tissues. This antibody recognizes TR beta-1 and also cross-reacts with TR alpha-1.

          MA1-215 has been successfully used in Western blot, IF, immunoprecipitation, and gel shift procedures. By Western blot, this antibody detects a 55 and a 52 kDa protein representing recombinant human TR beta-1 expressed in E. coli. MA1-215 immunoprecipitates 52 kDa and 55 kDa proteins, representing TR beta-1 and a 48 kDa protein representing TR alpha-1 expressed in E. coli.

          The MA1-215 immunogen is a purified fragment of human TR beta-1 corresponding to amino acid residues 201-456. This antibody recognizes an epitope in the hormone binding domain of hTR beta-1, amino acid residues 235-414. This sequence is conserved in hTR alpha-1.

          靶标信息

          The protein encoded by this gene is a nuclear hormone receptor for triiodothyronine. It is one of the several receptors for thyroid hormone, and has been shown to mediate the biological activities of thyroid hormone. Knockout studies in mice suggest that the different receptors, while having certain extent of redundancy, may mediate different functions of thyroid hormone. Mutations in this gene are known to be a cause of generalized thyroid hormone resistance (GTHR), a syndrome characterized by goiter and high levels of circulating thyroid hormone (T3-T4), with normal or slightly elevated thyroid stimulating hormone (TSH). Several alternatively spliced transcript variants encoding the same protein have been observed for this gene.

          仅用于科研。不用于诊断过程。未经明确授权不得转售。

          生物信息学

          蛋白别名: c-erbA protooncogene; c-erbA-1; c-erbA-2; c-erbA-alpha; c-erbA-beta; EAR-7; ERBA-related 7; nuclear receptor; Nuclear receptor subfamily 1 group A member 1; Nuclear receptor subfamily 1 group A member 2; oncogene ERBA2; THR; THRA; Thyroid hormone receptor alpha; thyroid hormone receptor alpha 1; Thyroid hormone receptor beta; thyroid hormone receptor, alpha (erythroblastic leukemia viral (v-erb-a) oncogene homolog, avian); thyroid hormone receptor, beta (erythroblastic leukemia viral (v-erb-a) oncogene homolog 2, avian); TR; triiodothyronine receptor; unnamed protein product; V-erbA-related protein 7

          查看更多 收起

          基因别名: AR7; c-erbA; c-ERBA-1; C-ERBA-2; C-ERBA-BETA; CHNG6; EAR7; ERB-T-1; ERBA; ERBA1; ERBA2; GRTH; NR1A1; NR1A2; PRTH; THR1; THRA; THRA1; THRA2; THRalpha; THRalpha1; THRalpha2; THRB; THRB1; THRB2; THRbeta; THRbeta1; Thrbeta2; TRalpha; TRalpha1; TRalpha2; TRb; TRbeta; TRbeta1

          查看更多 收起

          UniProt ID: (Human) P10827, (Human) P10828

          查看更多 收起

          Entrez Gene ID: (Human) 7067, (Human) 7068

          查看更多 收起

          功能
          transcription regulatory region sequence-specific DNA binding RNA polymerase II core promoter proximal region sequence-specific DNA binding RNA polymerase II transcription factor activity, sequence-specific DNA binding DNA binding transcription factor activity, sequence-specific DNA binding RNA polymerase II transcription factor activity, ligand-activated sequence-specific DNA binding protein binding zinc ion binding TBP-class protein binding protein domain specific binding chromatin DNA binding sequence-specific DNA binding macromolecular complex binding metal ion binding thyroid hormone binding general transcription initiation factor binding transcription coactivator binding chromatin binding enzyme binding sequence-specific double-stranded DNA binding
          参与通路
          negative regulation of transcription from RNA polymerase II promoter thyroid hormone mediated signaling pathway positive regulation of thyroid hormone receptor signaling pathway transcription, DNA-templated regulation of transcription, DNA-templated regulation of transcription from RNA polymerase II promoter sensory perception of sound negative regulation of female receptivity regulation of heart contraction female courtship behavior organ morphogenesis cell differentiation mRNA transcription from RNA polymerase II promoter negative regulation of transcription, DNA-templated positive regulation of transcription from RNA polymerase II promoter retinal cone cell development retinoic acid receptor signaling pathway Type I pneumocyte differentiation cellular response to thyroid hormone stimulus retinal cone cell apoptotic process cartilage condensation ossification regulation of thyroid hormone mediated signaling pathway transcription from RNA polymerase II promoter learning or memory response to cold hormone-mediated signaling pathway negative regulation of RNA polymerase II transcriptional preinitiation complex assembly erythrocyte differentiation thyroid gland development regulation of myeloid cell apoptotic process positive regulation of female receptivity regulation of lipid catabolic process positive regulation of cold-induced thermogenesis negative regulation of DNA-templated transcription, initiation
          It has to be done as per old AB suggested Products section.

          Disclaimer

          Close

          Clicking the images or links will redirect you to a website hosted by BenchSci that provides third-party scientific content. Neither the content nor the BenchSci technology and processes for selection have been evaluated by us; we are providing them as-is and without warranty of any kind, including for use or application of the Thermo Fisher Scientific products presented.

          guarantee_icon

          性能保障

          只要您发现Invitrogen抗体在实验中的表现与网站或说明书的所述内容不符,您即可享受免费退换货服务。*

          了解更多
          help_icon

          随时为您服务

          获取常见问题的专家解答,或者直接联系我们的技术专家,咨询应用、设备、常规产品使用问题。

          联系技术支持
          订购 Plus Icon Minus Icon
          • 订单状态查询
          • 订单支持
          • 货号直购
          • 现货供应中心
          • 电子采购
          支持 Plus Icon Minus Icon
          • 帮助&支持
          • 联系我们 - 400 820 8982
          • 技术支持中心
          • 查找文件&证书
          • 报告网站问题
          资源 Plus Icon Minus Icon
          • 学习中心
          • 促销
          • 活动&研讨会
          • 社交媒体
          关于赛默飞 Plus Icon Minus Icon
          • 关于我们
          • 招聘 招聘
          • 投资者关系 投资者关系
          • 新闻 新闻
          • 社会责任 社会责任
          • 商标
          • 政策和通知
          品牌 Plus Icon Minus Icon
          • Thermo Scientific
          • Applied Biosystems
          • Invitrogen
          • Gibco
          • Ion Torrent
          • Unity Lab Services
          • Patheon
          • PPD
          • 服务条款
          • 隐私政策
          • 定价和运输保险政策
          © 2006-2026 Thermo Fisher Scientific Inc. All rights reserved. All trademarks are the property of Thermo Fisher Scientific and its subsidiaries unless otherwise specified.
          China flag icon
          China
          本网站销售的所有产品均不得用于人类或动物之临床诊断或治疗,仅可用于工业或者科研等非医疗目的。
             电子营业执照 | 经营证照公示 | ICP备案号:沪ICP备11003924号 | 沪公网安备 31011502006935号

          Your items have has been added!


          Host server : magellan-search-green-6479c7f679-zb4k5:80/100.66.74.142:80.
          git-commit: b70c0dceb888abc3b0dcebb5bc3a5b8753e7e816
          git-url: https://github.com/thermofisher/magellan-search
          git-branch: release/2.50.0-Offline