Hamburger Menu Button
Thermo Fisher Scientific Logo
登录
没有账号?建立账号 注册
  • 产品
    • 抗体
    • 引物合成
    • GeneArt Gene Synthesis Instant Designer
    • TaqMan Assay and Array Search
    • PCR 设备和耗材
    • 色谱柱和纯化柱
    • 实验室离心机
    • 分子生物学试剂和试剂盒
    • 实验室塑料耗材及用品
    • 查看所有产品分类
  • 应用和技术
    • 色谱
    • 细胞转染和培养
    • 实时荧光定量PCR
    • 质谱
    • 实验室塑料耗材及用品
    • 电子显微镜
    • 蛋白质生物学
    • PCR
    • RNAi
    • 环境
    • 查看所有应用和技术
  • 服务
    • 定制服务
    • 企业级实验室信息化服务
    • 金融&租赁服务
    • 仪器服务
    • OEM和商业供应
    • 培训服务
    • 360° CDMO 和 CRO 服务
    • CDMO 服务
    • 临床试验 CRO 服务
    • Unity Lab Services
    • 查看所有帮助和支持
  • 帮助和支持
    • 学习中心
    • 联系我们
    • 更改国家或地区
    • 查看所有帮助和支持
  • 热门产品
    • TaqMan Real-Time PCR Assays
      TaqMan 实时荧光定量 PCR 试剂盒
    • Antibodies
      抗体
    • Oligos, Primers & Probes
      寡核苷酸、引物、探针
    • GeneArt Gene Synthesis
      GeneArt 基因合成
    • Cell Culture Plastics
      细胞培养耗材
  • Who We Serve
    • 抗体治疗解决方案
    • 细胞与基因治疗解决方案
    • 学术科研
    • 工业与应用
  • 联系我们
  • 货号直购
  • 订单查询
  • 查找文件&证书
Thermo Fisher Scientific Logo

Search

搜索全部或下列指定分类
Search button
          • 联系我们
          • 货号直购
          • 登录
            登录
            没有账号?建立账号 注册
            • 我的账号
            • 订单
            • 会员中心
            • 账单及发票查询
            • 定制产品及项目
          • Primary Antibodies ›
          • TIM-3 Antibodies

          NeoBiotechnologies

          TIM3/HAVCR2/CD366 (Effector T-Cell Marker) Monoclonal Antibody (TIM3/4028)

          查看其他89个TIM-3抗体

          {{$productOrderCtrl.translations['antibody.pdp.commerceCard.promotion.promotions']}}

          {{$productOrderCtrl.translations['antibody.pdp.commerceCard.promotion.viewpromo']}}

          {{$productOrderCtrl.translations['antibody.pdp.commerceCard.promotion.promocode']}}: {{promo.promoCode}} {{promo.promoTitle}} {{promo.promoDescription}}. {{$productOrderCtrl.translations['antibody.pdp.commerceCard.promotion.learnmore']}}

          说明书
          证书
          实验方案
          问题与答案
          技术支持
          说明书
          证书
          实验方案
          问题与答案
          技术支持
          说明书
          证书
          实验方案
          问题与答案
          技术支持

          Cite TIM3/HAVCR2/CD366 (Effector T-Cell Marker) Monoclonal Antibody (TIM3/4028)

          Additional Information:
          {{banner.description}}
          {{$ctrl.isSkuNotesCollapsed ? 'View more' : 'View less'}}
          • 抗体检测数据 (5)
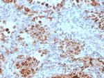
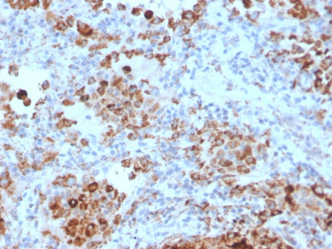
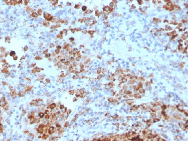
          TIM3/HAVCR2/CD366 (Effector T-Cell Marker) Antibody in Immunohistochemistry (Paraffin) (IHC (P))
          Group 53 Created with Sketch.
          TIM3/HAVCR2/CD366 (Effector T-Cell Marker) Antibody in Immunohistochemistry (Paraffin) (IHC (P))
          Group 53 Created with Sketch.

          图: 1 / 5

          {{ $ctrl.currentElement.advancedVerification.fullName }}
          {{ $ctrl.currentElement.advancedVerification.text }}

          TIM3/HAVCR2/CD366 (Effector T-Cell Marker) Antibody (84868-MSM8-P0) in IHC (P)

          Formalin-fixed, paraffin-embedded human lymph node stained with TIM3 Mouse Monoclonal Antibody (TIM3/4028). {{ $ctrl.currentElement.advancedVerification.fullName }} 验证信息 View more
          已发表图片由___提供 benchsci-logo
          PMID: {{$ctrl.currentElement.benchSciPubmedId}}
          查看产品

          {{$ctrl.videoDesc}}

          {{$ctrl.videoLongDesc}}

          TIM3/HAVCR2/CD366 (Effector T-Cell Marker) Antibody in Immunohistochemistry (Paraffin) (IHC (P))
          TIM3/HAVCR2/CD366 (Effector T-Cell Marker) Antibody in Immunohistochemistry (Paraffin) (IHC (P))
          TIM3/HAVCR2/CD366 (Effector T-Cell Marker) Antibody in Western Blot (WB)
          TIM3/HAVCR2/CD366 (Effector T-Cell Marker) Antibody in Peptide array (ARRAY)
          TIM3/HAVCR2/CD366 (Effector T-Cell Marker) Antibody in SDS-PAGE (SDS-PAGE)
          TIM3/HAVCR2/CD366 (Effector T-Cell Marker) Monoclonal Antibody (TIM3/4028)

          产品信息

          84868-MSM8-P0

          应用
          建议稀释比
          已发表文章

          免疫印迹 (WB)

          1-2 µg/mL
          -

          免疫组化(石蜡) (IHC (P))

          Assay-dependent
          -

          免疫组织化学(多聚甲醛固定) (IHC (PFA))

          1-2 µg/mL
          -

          肽阵列 (Array)

          Assay-dependent
          -
          产品规格

          种属反应

          Human

          宿主/亚型

          Mouse / IgG2c, kappa

          分类

          Monoclonal

          类型

          Antibody

          克隆号

          TIM3/4028

          抗原

          Recombinant fragment of human TIM3 protein (around aa 22-202).
          3D表位/免疫原

          偶联物

          Unconjugated Unconjugated Unconjugated

          形式

          Liquid

          浓度

          200 µg/mL

          规格

          20 µg

          纯化类型

          Protein A/G

          保存液

          PBS, pH 7.4, with 0.05% BSA

          内含物

          0.05% sodium azide

          保存条件

          4°C, do not freeze

          运输条件

          Ambient (domestic); Wet ice (international)

          靶标信息

          TIM3 (Hepatitis A virus cellular receptor 2, HAVCR2, T-cell immunoglobulin, mucin-dmain containing-3) is a 281 amino acid long, Type-1 Th1- specific cell surface glycoprotein expressed on terminally differentiated CD4+Th1 and CD8+Tc1 cells. TIM3 consists of an IgV-like domain, a mucin-like domain in the extracellular region, and a conserved Tyrosine phosphorylation motif in the cytoplasmic region. TIM3 is involved in macrophage activation and induction of autoimmune diseases. Further, TIM3 down-regulates aggressive Th1-mediated immune responses and facilitates in the development of immune tolerance. Pathological significance of TIM3 has been attributed to Experimental autoimmune encephalomyelitis (EAE), a Th-1 dependent autoimmune disease, and also enhances the severity of experimental autoimmune encephalomyelitis in mice.

          仅用于科研。不用于诊断过程。未经明确授权不得转售。

          篇参考文献 (0)

          您是否在文献中引用过该产品?请点击下方按钮邮件告知我们。
          引用该产品

          生物信息学

          蛋白别名: CD366; FLJ14428; HAVcr-2; Hepatitis A virus cellular receptor 2; kidney injury molecule-3; sCD366; soluble CD366; soluble TIM 3; T cell immunoglobulin mucin 3; T-cell immunoglobulin and mucin domain 3; T-cell immunoglobulin and mucin domain-containing protein 3; T-cell immunoglobulin mucin family member 3; T-cell immunoglobulin mucin receptor 3; T-cell membrane protein 3; TIM-3; TIMD-3; unnamed protein product

          查看更多 收起

          基因别名: CD366; HAVcr-2; HAVCR2; KIM-3; SPTCL; Tim-3; TIM3; TIMD-3; TIMD3

          查看更多 收起

          UniProt ID: (Human) Q8TDQ0

          查看更多 收起

          Entrez Gene ID: (Human) 84868

          查看更多 收起

          功能
          transmembrane signaling receptor activity protein binding metal ion binding
          参与通路
          positive regulation of cytokine production adaptive immune response macrophage activation involved in immune response immune system process natural killer cell tolerance induction regulation of tolerance induction dependent upon immune response negative regulation of T-helper 1 type immune response negative regulation of immune response to tumor cell negative regulation of natural killer cell mediated cytotoxicity directed against tumor cell target regulation of transcription from RNA polymerase II promoter inflammatory response negative regulation of gene expression negative regulation of myeloid dendritic cell activation negative regulation of NF-kappaB transcription factor activity negative regulation of type I interferon production negative regulation of interferon-alpha production negative regulation of interferon-gamma production negative regulation of interleukin-2 production negative regulation of interleukin-3 production negative regulation of interleukin-6 production negative regulation of tumor necrosis factor production positive regulation of chemokine production positive regulation of interferon-gamma production positive regulation of interleukin-1 production positive regulation of interleukin-4 production positive regulation of tumor necrosis factor production negative regulation of natural killer cell activation toll-like receptor 3 signaling pathway toll-like receptor 7 signaling pathway toll-like receptor 9 signaling pathway positive regulation of T cell proliferation negative regulation of T cell proliferation positive regulation of macrophage activation innate immune response positive regulation of innate immune response negative regulation of innate immune response defense response to Gram-positive bacterium maternal process involved in female pregnancy positive regulation of ERK1 and ERK2 cascade cellular response to lipopolysaccharide negative regulation of granulocyte colony-stimulating factor production negative regulation of defense response to bacterium positive regulation of defense response to bacterium positive regulation of NIK/NF-kappaB signaling negative regulation of immunological synapse formation negative regulation of T cell activation via T cell receptor contact with antigen bound to MHC molecule on antigen presenting cell
          It has to be done as per old AB suggested Products section.

          Disclaimer

          Close

          Clicking the images or links will redirect you to a website hosted by BenchSci that provides third-party scientific content. Neither the content nor the BenchSci technology and processes for selection have been evaluated by us; we are providing them as-is and without warranty of any kind, including for use or application of the Thermo Fisher Scientific products presented.

          guarantee_icon

          性能保障

          只要您发现Invitrogen抗体在实验中的表现与网站或说明书的所述内容不符,您即可享受免费退换货服务。*

          了解更多
          help_icon

          随时为您服务

          获取常见问题的专家解答,或者直接联系我们的技术专家,咨询应用、设备、常规产品使用问题。

          联系技术支持
          订购 Plus Icon Minus Icon
          • 订单状态查询
          • 订单支持
          • 货号直购
          • 现货供应中心
          • 电子采购
          支持 Plus Icon Minus Icon
          • 帮助&支持
          • 联系我们 - 400 820 8982
          • 技术支持中心
          • 查找文件&证书
          • 报告网站问题
          资源 Plus Icon Minus Icon
          • 学习中心
          • 促销
          • 活动&研讨会
          • 社交媒体
          关于赛默飞 Plus Icon Minus Icon
          • 关于我们
          • 招聘 招聘
          • 投资者关系 投资者关系
          • 新闻 新闻
          • 社会责任 社会责任
          • 商标
          • 政策和通知
          品牌 Plus Icon Minus Icon
          • Thermo Scientific
          • Applied Biosystems
          • Invitrogen
          • Gibco
          • Ion Torrent
          • Unity Lab Services
          • Patheon
          • PPD
          • 服务条款
          • 隐私政策
          • 定价和运输保险政策
          © 2006-2026 Thermo Fisher Scientific Inc. All rights reserved. All trademarks are the property of Thermo Fisher Scientific and its subsidiaries unless otherwise specified.
          China flag icon
          China
          本网站销售的所有产品均不得用于人类或动物之临床诊断或治疗,仅可用于工业或者科研等非医疗目的。
             电子营业执照 | 经营证照公示 | ICP备案号:沪ICP备11003924号 | 沪公网安备 31011502006935号

          Your items have has been added!


          Host server : magellan-search-green-6479c7f679-v472f:80/100.66.78.195:80.
          git-commit: b70c0dceb888abc3b0dcebb5bc3a5b8753e7e816
          git-url: https://github.com/thermofisher/magellan-search
          git-branch: release/2.50.0-Offline