Hamburger Menu Button
Thermo Fisher Scientific Logo
登录
没有账号?建立账号 注册
  • 产品
    • 抗体
    • 引物合成
    • GeneArt Gene Synthesis Instant Designer
    • TaqMan Assay and Array Search
    • PCR 设备和耗材
    • 色谱柱和纯化柱
    • 实验室离心机
    • 分子生物学试剂和试剂盒
    • 实验室塑料耗材及用品
    • 查看所有产品分类
  • 应用和技术
    • 色谱
    • 细胞转染和培养
    • 实时荧光定量PCR
    • 质谱
    • 实验室塑料耗材及用品
    • 电子显微镜
    • 蛋白质生物学
    • PCR
    • RNAi
    • 环境
    • 查看所有应用和技术
  • 服务
    • 定制服务
    • 企业级实验室信息化服务
    • 金融&租赁服务
    • 仪器服务
    • OEM和商业供应
    • 培训服务
    • 360° CDMO 和 CRO 服务
    • CDMO 服务
    • 临床试验 CRO 服务
    • Unity Lab Services
    • 查看所有帮助和支持
  • 帮助和支持
    • 学习中心
    • 联系我们
    • 更改国家或地区
    • 查看所有帮助和支持
  • 热门产品
    • TaqMan Real-Time PCR Assays
      TaqMan 实时荧光定量 PCR 试剂盒
    • Antibodies
      抗体
    • Oligos, Primers & Probes
      寡核苷酸、引物、探针
    • GeneArt Gene Synthesis
      GeneArt 基因合成
    • Cell Culture Plastics
      细胞培养耗材
  • Who We Serve
    • 抗体治疗解决方案
    • 细胞与基因治疗解决方案
    • 学术科研
    • 工业与应用
  • 联系我们
  • 货号直购
  • 订单查询
  • 查找文件&证书
Thermo Fisher Scientific Logo

Search

搜索全部或下列指定分类
Search button
          • 联系我们
          • 货号直购
          • 登录
            登录
            没有账号?建立账号 注册
            • 我的账号
            • 订单
            • 账单及发票查询
            • 定制产品及项目
          • Primary Antibodies ›
          • TIP60 Antibodies

          Invitrogen

          TIP60 Polyclonal Antibody

          查看其他16个TIP60抗体

          {{$productOrderCtrl.translations['antibody.pdp.commerceCard.promotion.promotions']}}

          {{$productOrderCtrl.translations['antibody.pdp.commerceCard.promotion.viewpromo']}}

          {{$productOrderCtrl.translations['antibody.pdp.commerceCard.promotion.promocode']}}: {{promo.promoCode}} {{promo.promoTitle}} {{promo.promoDescription}}. {{$productOrderCtrl.translations['antibody.pdp.commerceCard.promotion.learnmore']}}

          说明书
          证书
          实验方案
          问题与答案
          技术支持
          说明书
          证书
          实验方案
          问题与答案
          技术支持
          说明书
          证书
          实验方案
          问题与答案
          技术支持

          Cite TIP60 Polyclonal Antibody

          Additional Information:
          {{banner.description}}
          {{$ctrl.isSkuNotesCollapsed ? 'View more' : 'View less'}}
          • 抗体检测数据 (4)
          TIP60 Antibody in Immunohistochemistry (Paraffin) (IHC (P))
          Group 53 Created with Sketch.
          TIP60 Antibody in Immunohistochemistry (Paraffin) (IHC (P))
          Group 53 Created with Sketch.

          图: 1 / 4

          {{ $ctrl.currentElement.advancedVerification.fullName }}
          {{ $ctrl.currentElement.advancedVerification.text }}

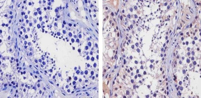
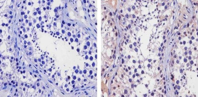
          TIP60 Antibody (720139) in IHC (P)

          Immunohistochemistry analysis of TIP60 showing staining in the cytoplasm and weak staining in the nucleus of paraffin-embedded human testis tissue (right) compared to a negative control without primary antibody (left). To expose target proteins, antigen retrieval was performed using 10mM sodium citrate (pH 6.0), microwaved for 8-15 min. Following antigen retrieval, tissues were blocked in 3% H2O2-methanol f... View More {{ $ctrl.currentElement.advancedVerification.fullName }} 验证信息 View more
          已发表图片由___提供 benchsci-logo
          PMID: {{$ctrl.currentElement.benchSciPubmedId}}
          查看产品

          {{$ctrl.videoDesc}}

          {{$ctrl.videoLongDesc}}

          TIP60 Antibody in Immunohistochemistry (Paraffin) (IHC (P))
          TIP60 Antibody in Immunohistochemistry (Paraffin) (IHC (P))
          TIP60 Antibody in Immunohistochemistry (Paraffin) (IHC (P))
          TIP60 Antibody in Western Blot (WB)
          TIP60 Polyclonal Antibody

          产品信息

          720139

          应用
          建议稀释比
          已发表文章

          免疫印迹 (WB)

          1-2 µg/mL
          -

          免疫组化(石蜡) (IHC (P))

          1:20
          -
          产品规格

          种属反应

          Human, Mouse

          宿主/亚型

          Rabbit / IgG

          分类

          Polyclonal

          类型

          Antibody

          抗原

          Protein corresponding to Human KAT5 (aa 307-513)
          查看免疫原

          偶联物

          Unconjugated Unconjugated Unconjugated

          形式

          Liquid

          浓度

          0.5 mg/mL

          规格

          100 µg

          纯化类型

          Affinity chromatography

          保存液

          PBS, pH 7.2, with 30% glycerol, 0.1% BSA

          内含物

          0.09% sodium azide

          保存条件

          Store at 4°C short term. For long term storage, store at -20°C, avoiding freeze/thaw cycles.

          运输条件

          Ambient (domestic); Wet ice (international)

          RRID

          AB_2606223

          产品详细信息

          These Polyclonal antibodies are of rabbit origin developed by immunizing animals with proteins or peptides. The polyclonal antibody is purified by affinity purification from the rabbit sera generated after immunizing the rabbits with a specific type of protein or peptide. The purified antibody is tested for its functionality in various relevant research applications. The antibody is developed for Research Use Only and is non-hazardous or non-infectious in nature.

          This antibody is predicted to react with Monkey, Mouse and Pig.

          靶标信息

          TIP60 is a transcription factor, originally isolated as an HIV-1 TAT-interactive protein, known to interact with the viral TAT protein that leads to HTATIP polyubiquitination and targets it for degradation. It belongs to the MYST family of histone acetyl transferases (HATs). TIP60 is a catalytic subunit of the NuA4 histone acetyltransferase complex which is involved in transcriptional activation of select genes principally by acetylation of nucleosomal histone H4 and H2A. A co-regulator of transcription factors, TIP60 either promotes or suppresses tumorigenesis. TIP60 is an enzyme that has a role in DNA repair and apoptosis and is thought to play an important role in signal transduction.

          仅用于科研。不用于诊断过程。未经明确授权不得转售。

          篇参考文献 (0)

          您是否在文献中引用过该产品?请点击下方按钮邮件告知我们。
          引用该产品

          生物信息学

          蛋白别名: 60 kDa Tat-interactive protein; cPLA(2)-interacting protein; cPLA2 interacting protein; Histone acetyltransferase HTATIP; Histone acetyltransferase KAT5; HIV-1 Tat interactive protein; HIV-1 tat interactive protein 1, 60 kDa homolog; HIV-1 tat interactive protein 1, homolog; HIV-1 Tat interactive protein, 60kDa; K(lysine) acetyltransferase 5; K-acetyltransferase 5; Lysine acetyltransferase 5; Protein 2-hydroxyisobutyryltransferase KAT5; Protein acetyltransferase KAT5; Protein crotonyltransferase KAT5; Protein lactyltransferase KAT5; Tat interacting protein, 60kDa; Tat-interactive protein-60; Tip60; TIP60(HTATIP); unnamed protein product

          查看更多 收起

          基因别名: AI839539; CPLA2; ESA1; HTATIP; HTATIP1; KAT5; NEDFASB; PLIP; TIP; Tip55; TIP60; ZC2HC5

          查看更多 收起

          UniProt ID: (Human) Q92993, (Mouse) Q8CHK4

          查看更多 收起

          Entrez Gene ID: (Human) 10524, (Mouse) 81601

          查看更多 收起

          功能
          chromatin binding transcription coactivator activity histone acetyltransferase activity protein binding zinc ion binding H4 histone acetyltransferase activity acetyltransferase activity transferase activity transferase activity, transferring acyl groups H2A histone acetyltransferase activity histone H2AK5 acetyltransferase activity metal ion binding histone acetyltransferase activity (H4-K16 specific) peptide-lysine-N-acetyltransferase activity peptide 2-hydroxyisobutyryltransferase activity peptide lactyltransferase (CoA-dependent) activity peptide crotonyltransferase activity peptide butyryltransferase activity DNA-binding transcription factor binding transcription factor binding transferase activity, transferring acyl groups other than amino-acyl groups protein complex binding phospholipase binding repressing transcription factor binding histone modifying enzyme
          参与通路
          negative regulation of transcription from RNA polymerase II promoter establishment of mitotic spindle orientation double-strand break repair via homologous recombination DNA double-strand break processing immune system process DNA repair nucleotide-excision repair double-strand break repair double-strand break repair via nonhomologous end joining chromatin organization regulation of transcription, DNA-templated regulation of transcription from RNA polymerase II promoter phosphatidylethanolamine biosynthetic process phosphatidylcholine biosynthetic process apoptotic process cellular response to DNA damage stimulus spermatid development response to ionizing radiation regulation of autophagy positive regulation of autophagy positive regulation of triglyceride biosynthetic process peptidyl-lysine acetylation triglyceride biosynthetic process neural tube development neurogenesis DNA damage response, signal transduction by p53 class mediator negative regulation of interleukin-2 production cellular response to stress sperm chromatin condensation aggrephagy cellular response to glucose starvation positive regulation of circadian rhythm regulation of apoptotic process proteasome-mediated ubiquitin-dependent protein catabolic process innate immune response positive regulation of innate immune response positive regulation of regulatory T cell differentiation negative regulation of myoblast differentiation positive regulation of myoblast differentiation negative regulation of transcription, DNA-templated positive regulation of transcription, DNA-templated positive regulation of transcription from RNA polymerase II promoter attachment of mitotic spindle microtubules to kinetochore regulation of cell cycle positive regulation of mitotic sister chromatid segregation protein targeting to vacuole involved in autophagy cellular response to glucose stimulus cellular response to estradiol stimulus cellular senescence membraneless organelle assembly DNA repair-dependent chromatin remodeling cGAS/STING signaling pathway cellular response to oxygen-containing compound positive regulation of protein acetylation regulation of hematopoietic stem cell differentiation positive regulation of attachment of mitotic spindle microtubules to kinetochore positive regulation of double-strand break repair via homologous recombination positive regulation of aggrephagy lipid droplet disassembly protein localization to site of double-strand break negative regulation of double-strand break repair via homologous recombination regulation of double-strand break repair transcription, DNA-templated DNA damage response, signal transduction by p53 class mediator resulting in transcription of p21 class mediator chromatin modification histone acetylation regulation of growth
          It has to be done as per old AB suggested Products section.

          Disclaimer

          Close

          Clicking the images or links will redirect you to a website hosted by BenchSci that provides third-party scientific content. Neither the content nor the BenchSci technology and processes for selection have been evaluated by us; we are providing them as-is and without warranty of any kind, including for use or application of the Thermo Fisher Scientific products presented.

          guarantee_icon

          性能保障

          只要您发现Invitrogen抗体在实验中的表现与网站或说明书的所述内容不符,您即可享受免费退换货服务。*

          了解更多
          help_icon

          随时为您服务

          获取常见问题的专家解答,或者直接联系我们的技术专家,咨询应用、设备、常规产品使用问题。

          联系技术支持
          订购 Plus Icon Minus Icon
          • 订单状态查询
          • 订单支持
          • 货号直购
          • 现货供应中心
          • 电子采购
          支持 Plus Icon Minus Icon
          • 帮助&支持
          • 联系我们 - 400 820 8982
          • 技术支持中心
          • 查找文件&证书
          • 报告网站问题
          资源 Plus Icon Minus Icon
          • 学习中心
          • 促销
          • 活动&研讨会
          • 社交媒体
          关于赛默飞 Plus Icon Minus Icon
          • 关于我们
          • 招聘 招聘
          • 投资者关系 投资者关系
          • 新闻 新闻
          • 社会责任 社会责任
          • 商标
          • 政策和通知
          品牌 Plus Icon Minus Icon
          • Thermo Scientific
          • Applied Biosystems
          • Invitrogen
          • Gibco
          • Ion Torrent
          • Unity Lab Services
          • Patheon
          • PPD
          • 服务条款
          • 隐私政策
          • 定价和运输保险政策
          © 2006-2026 Thermo Fisher Scientific Inc. All rights reserved. All trademarks are the property of Thermo Fisher Scientific and its subsidiaries unless otherwise specified.
          China flag icon
          China
          本网站销售的所有产品均不得用于人类或动物之临床诊断或治疗,仅可用于工业或者科研等非医疗目的。
             电子营业执照 | 经营证照公示 | ICP备案号:沪ICP备11003924号 | 沪公网安备 31011502006935号

          Your items have has been added!


          Host server : magellan-search-blue-64dd947b88-8ltcg:80/100.66.77.141:80.
          git-commit: 0f46c0ba67a87c24f5ac662a3edafcaba07cd08c
          git-url: https://github.com/thermofisher/magellan-search
          git-branch: release/2.45.0-Offline