Hamburger Menu Button
Thermo Fisher Scientific Logo
登录
没有账号?建立账号 注册
  • 产品
    • 抗体
    • 引物合成
    • GeneArt Gene Synthesis Instant Designer
    • TaqMan Assay and Array Search
    • PCR 设备和耗材
    • 色谱柱和纯化柱
    • 实验室离心机
    • 分子生物学试剂和试剂盒
    • 实验室塑料耗材及用品
    • 查看所有产品分类
  • 应用和技术
    • 色谱
    • 细胞转染和培养
    • 实时荧光定量PCR
    • 质谱
    • 实验室塑料耗材及用品
    • 电子显微镜
    • 蛋白质生物学
    • PCR
    • RNAi
    • 环境
    • 查看所有应用和技术
  • 服务
    • 定制服务
    • 企业级实验室信息化服务
    • 金融&租赁服务
    • 仪器服务
    • OEM和商业供应
    • 培训服务
    • 360° CDMO 和 CRO 服务
    • CDMO 服务
    • 临床试验 CRO 服务
    • Unity Lab Services
    • 查看所有帮助和支持
  • 帮助和支持
    • 学习中心
    • 联系我们
    • 更改国家或地区
    • 查看所有帮助和支持
  • 热门产品
    • TaqMan Real-Time PCR Assays
      TaqMan 实时荧光定量 PCR 试剂盒
    • Antibodies
      抗体
    • Oligos, Primers & Probes
      寡核苷酸、引物、探针
    • GeneArt Gene Synthesis
      GeneArt 基因合成
    • Cell Culture Plastics
      细胞培养耗材
  • Who We Serve
    • 抗体治疗解决方案
    • 细胞与基因治疗解决方案
    • 学术科研
    • 工业与应用
  • 联系我们
  • 货号直购
  • 订单查询
  • 查找文件&证书
Thermo Fisher Scientific Logo

Search

搜索全部或下列指定分类
Search button
          • 联系我们
          • 货号直购
          • 登录
            登录
            没有账号?建立账号 注册
            • 我的账号
            • 订单
            • 会员中心
            • 账单及发票查询
            • 定制产品及项目
          • Primary Antibodies ›
          • TLR2 Antibodies

          Rockland

          TLR2 Polyclonal Antibody

          查看其他73个TLR2抗体

          {{$productOrderCtrl.translations['antibody.pdp.commerceCard.promotion.promotions']}}

          {{$productOrderCtrl.translations['antibody.pdp.commerceCard.promotion.viewpromo']}}

          {{$productOrderCtrl.translations['antibody.pdp.commerceCard.promotion.promocode']}}: {{promo.promoCode}} {{promo.promoTitle}} {{promo.promoDescription}}. {{$productOrderCtrl.translations['antibody.pdp.commerceCard.promotion.learnmore']}}

          说明书
          证书
          实验方案
          问题与答案
          技术支持
          说明书
          证书
          实验方案
          问题与答案
          技术支持
          说明书
          证书
          实验方案
          问题与答案
          技术支持

          Cite TLR2 Polyclonal Antibody

          Additional Information:
          {{banner.description}}
          {{$ctrl.isSkuNotesCollapsed ? 'View more' : 'View less'}}
          • 抗体检测数据 (4)
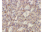
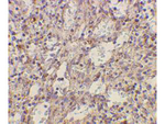
          TLR2 Antibody in Immunohistochemistry (Paraffin) (IHC (P))
          Group 53 Created with Sketch.
          TLR2 Antibody in Immunohistochemistry (Paraffin) (IHC (P))
          Group 53 Created with Sketch.

          图: 1 / 4

          {{ $ctrl.currentElement.advancedVerification.fullName }}
          {{ $ctrl.currentElement.advancedVerification.text }}

          TLR2 Antibody (600-401-956) in IHC (P)

          Immunohistochemistry of rabbit anti TLR2 antibody at 40X with negative control (lower right) Tissue: mouse spleen Fixation: FFPE buffered formalin 10% concentration Antigen retrieval: Heat, EDTA pH 9.5 Pressure Cooker (left) and Heat, Citrate pH 6.2. Pressure Cooker (right) Primary antibody: 2 µg/mL 1 hour at room T Secondary antibody: Goat anti Rabbit Polymer HRP Prediluted by the manufacturer Staining: an... View More {{ $ctrl.currentElement.advancedVerification.fullName }} 验证信息 View more
          已发表图片由___提供 benchsci-logo
          PMID: {{$ctrl.currentElement.benchSciPubmedId}}
          查看产品

          {{$ctrl.videoDesc}}

          {{$ctrl.videoLongDesc}}

          TLR2 Antibody in Immunohistochemistry (Paraffin) (IHC (P))
          TLR2 Antibody in Immunohistochemistry (Paraffin) (IHC (P))
          TLR2 Antibody in Immunohistochemistry (Paraffin) (IHC (P))
          TLR2 Antibody in Western Blot (WB)
          TLR2 Polyclonal Antibody

          产品信息

          600-401-956

          应用
          建议稀释比
          已发表文章

          免疫印迹 (WB)

          1:500-1:3,000
          -

          免疫组化(石蜡) (IHC (P))

          2 µg/mL
          -

          免疫细胞化学 (ICC/IF)

          10 µg/mL
          -

          酶联免疫吸附实验 (ELISA)

          1:5,000-1:25,000
          -
          产品规格

          种属反应

          Human, Mouse

          宿主/亚型

          Rabbit / IgG

          分类

          Polyclonal

          类型

          Antibody

          抗原

          TLR2 Antibody was produced from whole rabbit serum prepared by repeated immunizations with a peptide corresponding to amino acids near the n-terminus of human TLR2.
          3D表位/免疫原

          偶联物

          Unconjugated Unconjugated Unconjugated

          形式

          Liquid

          浓度

          1 mg/mL

          规格

          100 µg

          纯化类型

          Affinity chromatography

          保存液

          PBS, pH 7.2

          内含物

          0.02% sodium azide

          保存条件

          -20°C, Avoid Freeze/Thaw Cycles

          运输条件

          Ambient (domestic); Wet ice (international)

          靶标信息

          TLR2 is a member of the Toll-like receptor (TLR) family which play a fundamental role in pathogen recognition and activation of innate immunity. TLR proteins act through adaptor molecules such as MyD88 and TIRAP to activate various kinases and transcription factors such as Protein Kinase C (PKC) alpha/beta and NF-kappa-B. TLR2 can form heterodimers with either TLR1 or TLR6, and as a heterodimer, can recognize a variety of bacterial and mycoplasma lipoproteins respectively. TLRs are highly conserved from Drosophila to humans and share structural and functional similarities. The various TLRs exhibit different patterns of expression. TLR2 is expressed most abundantly in peripheral blood leukocytes, and mediates host response to Gram-positive bacteria and yeast via stimulation of NF-kappaB. TLR2 aids in the recognition of pathogen-associated molecular patterns (PAMPs) that are expressed on infectious agents, and mediate the production of cytokines necessary for the development of effective immunity. Ten human homologs of TLRs (TLR1-10) have been described. TLR2 is expressed in human cells such as tonsils, microglia, lymph nodes, and appendices, activated B-cells in germinal centers. CD14+ monocytes express the highest level of TLR2 followed by CD15+ granulocytes, CD19+ B-cells, and CD3+ T-cells. The expression of TLR2 on different cell types are regulated by different immune response modifiers. For example, LPS, GM-CSF, IL-1, and IL-10 up regulates TLR2 whereas IL-4, IFN-gamma, and TNF down regulate TLR2 expression in monocytes.

          仅用于科研。不用于诊断过程。未经明确授权不得转售。

          篇参考文献 (0)

          您是否在文献中引用过该产品?请点击下方按钮邮件告知我们。
          引用该产品

          生物信息学

          蛋白别名: CD282; extracellular domain; TIL4; TLR-2; Toll-like receptor 2; Toll/interleukin-1 receptor-like protein 4; unnamed protein product

          查看更多 收起

          基因别名: CD282; Ly105; TIL4; TLR2

          查看更多 收起

          UniProt ID: (Human) O60603, (Mouse) Q9QUN7

          查看更多 收起

          Entrez Gene ID: (Human) 7097, (Mouse) 24088

          查看更多 收起

          功能
          lipopolysaccharide binding beta-amyloid binding lipopolysaccharide receptor activity transmembrane signaling receptor activity protein binding Toll-like receptor binding signaling receptor activity pattern recognition receptor activity triacyl lipopeptide binding identical protein binding peptidoglycan binding macromolecular complex binding NAD+ nucleotidase, cyclic ADP-ribose generating receptor activity signaling pattern recognition receptor activity diacyl lipopeptide binding protein heterodimerization activity lipoteichoic acid binding lipopeptide binding
          参与通路
          toll-like receptor signaling pathway immune system process apoptotic process inflammatory response immune response signal transduction learning positive regulation of gene expression microglia development positive regulation of Wnt signaling pathway lipopolysaccharide-mediated signaling pathway positive regulation of chemokine production positive regulation of interferon-beta production positive regulation of interleukin-12 production positive regulation of interleukin-18 production positive regulation of interleukin-6 production positive regulation of interleukin-8 production positive regulation of tumor necrosis factor production toll-like receptor 2 signaling pathway toll-like receptor TLR6:TLR2 signaling pathway detection of triacyl bacterial lipopeptide detection of diacyl bacterial lipopeptide positive regulation of I-kappaB kinase/NF-kappaB signaling innate immune response positive regulation of transcription from RNA polymerase II promoter positive regulation of inflammatory response negative regulation of phagocytosis defense response to Gram-positive bacterium positive regulation of NF-kappaB transcription factor activity defense response to virus negative regulation of synapse assembly cellular response to bacterial lipopeptide cellular response to lipoteichoic acid cellular response to interferon-gamma cellular response to diacyl bacterial lipopeptide cellular response to triacyl bacterial lipopeptide positive regulation of cellular response to macrophage colony-stimulating factor stimulus positive regulation of matrix metallopeptidase secretion microglial cell activation response to molecule of bacterial origin response to molecule of fungal origin cytokine secretion involved in immune response positive regulation of leukocyte migration regulation of dendritic cell cytokine production cell surface pattern recognition receptor signaling pathway MyD88-dependent toll-like receptor signaling pathway leukotriene metabolic process I-kappaB phosphorylation negative regulation of cell proliferation response to bacterium central nervous system myelin formation response to bacterial lipoprotein response to peptidoglycan interleukin-10 production negative regulation of interleukin-12 production negative regulation of interleukin-17 production positive regulation of interleukin-10 production positive regulation of toll-like receptor signaling pathway positive regulation of NF-kappaB import into nucleus positive regulation of tumor necrosis factor biosynthetic process chloramphenicol transport negative regulation of growth of symbiont in host positive regulation of nitric oxide biosynthetic process nitric oxide metabolic process positive regulation of oligodendrocyte differentiation regulation of cytokine secretion positive regulation of cytokine secretion positive regulation of nitric-oxide synthase biosynthetic process induction by symbiont of defense-related host nitric oxide production positive regulation of macrophage cytokine production response to fatty acid cellular response to peptidoglycan
          It has to be done as per old AB suggested Products section.

          Disclaimer

          Close

          Clicking the images or links will redirect you to a website hosted by BenchSci that provides third-party scientific content. Neither the content nor the BenchSci technology and processes for selection have been evaluated by us; we are providing them as-is and without warranty of any kind, including for use or application of the Thermo Fisher Scientific products presented.

          guarantee_icon

          性能保障

          只要您发现Invitrogen抗体在实验中的表现与网站或说明书的所述内容不符,您即可享受免费退换货服务。*

          了解更多
          help_icon

          随时为您服务

          获取常见问题的专家解答,或者直接联系我们的技术专家,咨询应用、设备、常规产品使用问题。

          联系技术支持
          订购 Plus Icon Minus Icon
          • 订单状态查询
          • 订单支持
          • 货号直购
          • 现货供应中心
          • 电子采购
          支持 Plus Icon Minus Icon
          • 帮助&支持
          • 联系我们 - 400 820 8982
          • 技术支持中心
          • 查找文件&证书
          • 报告网站问题
          资源 Plus Icon Minus Icon
          • 学习中心
          • 促销
          • 活动&研讨会
          • 社交媒体
          关于赛默飞 Plus Icon Minus Icon
          • 关于我们
          • 招聘 招聘
          • 投资者关系 投资者关系
          • 新闻 新闻
          • 社会责任 社会责任
          • 商标
          • 政策和通知
          品牌 Plus Icon Minus Icon
          • Thermo Scientific
          • Applied Biosystems
          • Invitrogen
          • Gibco
          • Ion Torrent
          • Unity Lab Services
          • Patheon
          • PPD
          • 服务条款
          • 隐私政策
          • 定价和运输保险政策
          © 2006-2026 Thermo Fisher Scientific Inc. All rights reserved. All trademarks are the property of Thermo Fisher Scientific and its subsidiaries unless otherwise specified.
          China flag icon
          China
          本网站销售的所有产品均不得用于人类或动物之临床诊断或治疗,仅可用于工业或者科研等非医疗目的。
             电子营业执照 | 经营证照公示 | ICP备案号:沪ICP备11003924号 | 沪公网安备 31011502006935号

          Your items have has been added!


          Host server : magellan-search-green-6479c7f679-7tw72:80/100.66.78.195:80.
          git-commit: b70c0dceb888abc3b0dcebb5bc3a5b8753e7e816
          git-url: https://github.com/thermofisher/magellan-search
          git-branch: release/2.50.0-Offline