Hamburger Menu Button
Thermo Fisher Scientific Logo
登录
没有账号?建立账号 注册
  • 产品
    • 抗体
    • 引物合成
    • GeneArt Gene Synthesis Instant Designer
    • TaqMan Assay and Array Search
    • PCR 设备和耗材
    • 色谱柱和纯化柱
    • 实验室离心机
    • 分子生物学试剂和试剂盒
    • 实验室塑料耗材及用品
    • 查看所有产品分类
  • 应用和技术
    • 色谱
    • 细胞转染和培养
    • 实时荧光定量PCR
    • 质谱
    • 实验室塑料耗材及用品
    • 电子显微镜
    • 蛋白质生物学
    • PCR
    • RNAi
    • 环境
    • 查看所有应用和技术
  • 服务
    • 定制服务
    • 企业级实验室信息化服务
    • 金融&租赁服务
    • 仪器服务
    • OEM和商业供应
    • 培训服务
    • 360° CDMO 和 CRO 服务
    • CDMO 服务
    • 临床试验 CRO 服务
    • Unity Lab Services
    • 查看所有帮助和支持
  • 帮助和支持
    • 学习中心
    • 联系我们
    • 更改国家或地区
    • 查看所有帮助和支持
  • 热门产品
    • TaqMan Real-Time PCR Assays
      TaqMan 实时荧光定量 PCR 试剂盒
    • Antibodies
      抗体
    • Oligos, Primers & Probes
      寡核苷酸、引物、探针
    • GeneArt Gene Synthesis
      GeneArt 基因合成
    • Cell Culture Plastics
      细胞培养耗材
  • Who We Serve
    • 抗体治疗解决方案
    • 细胞与基因治疗解决方案
    • 学术科研
    • 工业与应用
  • 联系我们
  • 货号直购
  • 订单查询
  • 查找文件&证书
Thermo Fisher Scientific Logo

Search

搜索全部或下列指定分类
Search button
          • 联系我们
          • 货号直购
          • 登录
            登录
            没有账号?建立账号 注册
            • 我的账号
            • 订单
            • 会员中心
            • 账单及发票查询
            • 定制产品及项目
          • Primary Antibodies ›
          • TLR3 (CD283) Antibodies

          Invitrogen

          TLR3 Polyclonal Antibody

          查看其他28个TLR3 (CD283)抗体

          {{$productOrderCtrl.translations['antibody.pdp.commerceCard.promotion.promotions']}}

          {{$productOrderCtrl.translations['antibody.pdp.commerceCard.promotion.viewpromo']}}

          {{$productOrderCtrl.translations['antibody.pdp.commerceCard.promotion.promocode']}}: {{promo.promoCode}} {{promo.promoTitle}} {{promo.promoDescription}}. {{$productOrderCtrl.translations['antibody.pdp.commerceCard.promotion.learnmore']}}

          说明书
          证书
          实验方案
          问题与答案
          技术支持
          说明书
          证书
          实验方案
          问题与答案
          技术支持
          说明书
          证书
          实验方案
          问题与答案
          技术支持

          Cite TLR3 Polyclonal Antibody

          Additional Information:
          {{banner.description}}
          {{$ctrl.isSkuNotesCollapsed ? 'View more' : 'View less'}}
          • 抗体检测数据 (7)
          TLR3 Antibody in Immunocytochemistry (ICC/IF)
          Group 53 Created with Sketch.
          TLR3 Antibody in Immunocytochemistry (ICC/IF)
          Group 53 Created with Sketch.

          图: 1 / 7

          {{ $ctrl.currentElement.advancedVerification.fullName }}
          {{ $ctrl.currentElement.advancedVerification.text }}

          TLR3 Antibody (PA5-88251) in ICC/IF

          Immunofluorescence analysis of TLR3 in L929 cells. Samples were incubated with TLR3 Polyclonal antibody (Product # PA5-88251) using a dilution of 1:100. Blue: DAPI for nuclear staining. {{ $ctrl.currentElement.advancedVerification.fullName }} 验证信息 View more
          已发表图片由___提供 benchsci-logo
          PMID: {{$ctrl.currentElement.benchSciPubmedId}}
          查看产品

          {{$ctrl.videoDesc}}

          {{$ctrl.videoLongDesc}}

          TLR3 Antibody in Immunocytochemistry (ICC/IF)
          TLR3 Antibody in Immunocytochemistry (ICC/IF)
          TLR3 Antibody in Immunocytochemistry (ICC/IF)
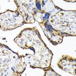
          TLR3 Antibody in Immunohistochemistry (Paraffin) (IHC (P))
          TLR3 Antibody in Western Blot (WB)
          TLR3 Antibody in Western Blot (WB)
          TLR3 Antibody in Western Blot (WB)
          TLR3 Polyclonal Antibody

          产品信息

          PA5-88251

          应用
          建议稀释比
          已发表文章

          免疫印迹 (WB)

          1:500-1:1,000
          -

          免疫组化(石蜡) (IHC (P))

          1:50-1:200
          -

          免疫细胞化学 (ICC/IF)

          1:50-1:200
          -

          酶联免疫吸附实验 (ELISA)

          1 µg/mL
          -
          产品规格

          种属反应

          Human, Mouse, Rat

          宿主/亚型

          Rabbit / IgG

          分类

          Polyclonal

          类型

          Antibody

          抗原

          Recombinant protein (or fragment)
          3D表位/免疫原

          偶联物

          Unconjugated Unconjugated Unconjugated

          形式

          Liquid

          浓度

          1.97 mg/mL

          规格

          197 µg

          纯化类型

          Affinity Chromatography

          保存液

          PBS, pH 7.3, with 50% glycerol

          内含物

          0.05% ProClin 300

          保存条件

          -20°C, Avoid Freeze/Thaw Cycles

          运输条件

          Ambient (domestic); Wet ice (international)

          RRID

          AB_2804776

          产品详细信息

          Positive Samples: A-549, LO2, U-87MG; Cellular Location: Early endosome, Endoplasmic reticulum membrane, Endosome membrane, Single-pass type I membrane protein

          Immunogen sequence: SPFQPLRNLT ILDLSNNNIA NINDDMLEGL EKLEILDLQH NNLARLWKHA NPGGPIYFLK GLSHLHILNL ESNGFDEIPV EVFKDLFELK IIDLGLNNLN TLPASVFNNQ VSLKSLNLQK NLITSVEKKV FGPAFRNLTE LDMRFNPFDC TCESIAWFVN WINETHTNIP ELSSHYLCNT PPHYHGFPVR LFDTSSCKDS A

          靶标信息

          TLR3 (Toll-like receptor 3, CD283) is a member of the Toll-like receptor (TLR) family which plays a fundamental role in pathogen recognition and activation of innate immunity. TLRs are highly conserved from drosophila to humans and share structural and functional similarities. TLRs recognize pathogen-associated molecular patterns (PAMPs) that are expressed on infectious agents, and mediate the production of cytokines necessary for the development of effective immunity. The various TLRs exhibit different patterns of expression. TLR3 is most abundantly expressed in placenta and pancreas, and is restricted to the dendritic subpopulation of the leukocytes. TLR3 recognizes dsRNA associated with viral infection, and induces the activation of NF-kappaB and the production of type I interferons. Further, TLR3 may play a role in host defense against viruses, and the use of alternative polyadenylation sites to generate different length transcripts has been noted for the TLR3 gene. Like its counterparts in Drosophila, TLRs signal through adaptor molecules and could constitute an important and unrecognized component of innate immunity in humans. The TLR family is a phylogenetically conserved mediator of innate immunity that is essential for microbial recognition. TLRs characterized so far activate the MyD88/interleukin-1 receptor-associated kinase (IRAK) signaling pathway. TLR3 is the only human TLR which does not utilize MyD88 as an adaptor molecule instead utilizing TRIF in a signaling path which results in downstream activation of IRF-3 and NF-kB. TLR3 activation leads not only to Type I interferon induction but also to other inflammatory cytokines which result in DC maturation. TLR3 is known to recognize viral double-stranded (ds) RNA, a molecular pattern associated with viral infection. Recently it has been shown to recognize viruses such as Influenza A and West Nile Virus and can mediate entry of at least West Nile Virus.

          仅用于科研。不用于诊断过程。未经明确授权不得转售。

          篇参考文献 (0)

          您是否在文献中引用过该产品?请点击下方按钮邮件告知我们。
          引用该产品

          生物信息学

          蛋白别名: CD283; TLR 3; TLR3; Toll-like receptor 3; unnamed protein product

          查看更多 收起

          基因别名: AI957183; CD283; IIAE2; IMD83; TLR3

          查看更多 收起

          UniProt ID: (Human) O15455, (Mouse) Q99MB1

          查看更多 收起

          Entrez Gene ID: (Human) 7098, (Mouse) 142980, (Rat) 364594

          查看更多 收起

          功能
          RNA binding double-stranded RNA binding transmembrane signaling receptor activity protein binding signaling receptor activity pattern recognition receptor activity identical protein binding ubiquitin-like protein ligase binding receptor activity
          参与通路
          microglial cell activation positive regulation of cytokine production positive regulation of protein phosphorylation toll-like receptor signaling pathway microglial cell activation involved in immune response immune system process regulation of dendritic cell cytokine production MyD88-independent toll-like receptor signaling pathway defense response inflammatory response signal transduction I-kappaB phosphorylation response to virus positive regulation of type I interferon production positive regulation of chemokine production positive regulation of interferon-beta production positive regulation of interleukin-12 production positive regulation of interleukin-6 production positive regulation of interleukin-8 production positive regulation of tumor necrosis factor production positive regulation of toll-like receptor signaling pathway toll-like receptor 3 signaling pathway positive regulation of type III interferon production positive regulation of NF-kappaB import into nucleus positive regulation of I-kappaB kinase/NF-kappaB signaling response to exogenous dsRNA response to dsRNA positive regulation of interferon-gamma biosynthetic process positive regulation of chemokine biosynthetic process innate immune response positive regulation of interferon-alpha biosynthetic process positive regulation of interferon-beta biosynthetic process positive regulation of transcription from RNA polymerase II promoter positive regulation of JNK cascade positive regulation of inflammatory response positive regulation of NF-kappaB transcription factor activity defense response to virus cellular response to exogenous dsRNA extrinsic apoptotic signaling pathway necroptotic signaling pathway MAPK cascade positive regulation of immune system process hyperosmotic response activation of NF-kappaB-inducing kinase activity JNK cascade male gonad development detection of virus positive regulation of gene expression positive regulation of interferon-alpha production positive regulation of interferon-gamma production regulation of toll-like receptor 3 signaling pathway type III interferon production cellular response to interferon-beta defense response to bacterium positive regulation of apoptotic process proteasome-mediated ubiquitin-dependent protein catabolic process negative regulation of osteoclast differentiation positive regulation of angiogenesis positive regulation of macrophage cytokine production cellular response to mechanical stimulus cellular response to interferon-gamma cellular response to xenobiotic stimulus inflammatory response to wounding cellular response to virus intracellular signaling cassette positive regulation of cytokine production involved in inflammatory response cellular response to drug cellular response to dsRNA
          It has to be done as per old AB suggested Products section.

          Disclaimer

          Close

          Clicking the images or links will redirect you to a website hosted by BenchSci that provides third-party scientific content. Neither the content nor the BenchSci technology and processes for selection have been evaluated by us; we are providing them as-is and without warranty of any kind, including for use or application of the Thermo Fisher Scientific products presented.

          guarantee_icon

          性能保障

          只要您发现Invitrogen抗体在实验中的表现与网站或说明书的所述内容不符,您即可享受免费退换货服务。*

          了解更多
          help_icon

          随时为您服务

          获取常见问题的专家解答,或者直接联系我们的技术专家,咨询应用、设备、常规产品使用问题。

          联系技术支持
          订购 Plus Icon Minus Icon
          • 订单状态查询
          • 订单支持
          • 货号直购
          • 现货供应中心
          • 电子采购
          支持 Plus Icon Minus Icon
          • 帮助&支持
          • 联系我们 - 400 820 8982
          • 技术支持中心
          • 查找文件&证书
          • 报告网站问题
          资源 Plus Icon Minus Icon
          • 学习中心
          • 促销
          • 活动&研讨会
          • 社交媒体
          关于赛默飞 Plus Icon Minus Icon
          • 关于我们
          • 招聘 招聘
          • 投资者关系 投资者关系
          • 新闻 新闻
          • 社会责任 社会责任
          • 商标
          • 政策和通知
          品牌 Plus Icon Minus Icon
          • Thermo Scientific
          • Applied Biosystems
          • Invitrogen
          • Gibco
          • Ion Torrent
          • Unity Lab Services
          • Patheon
          • PPD
          • 服务条款
          • 隐私政策
          • 定价和运输保险政策
          © 2006-2026 Thermo Fisher Scientific Inc. All rights reserved. All trademarks are the property of Thermo Fisher Scientific and its subsidiaries unless otherwise specified.
          China flag icon
          China
          本网站销售的所有产品均不得用于人类或动物之临床诊断或治疗,仅可用于工业或者科研等非医疗目的。
             电子营业执照 | 经营证照公示 | ICP备案号:沪ICP备11003924号 | 沪公网安备 31011502006935号

          Your items have has been added!


          Host server : magellan-search-green-6479c7f679-l2s7p:80/100.66.76.236:80.
          git-commit: b70c0dceb888abc3b0dcebb5bc3a5b8753e7e816
          git-url: https://github.com/thermofisher/magellan-search
          git-branch: release/2.50.0-Offline