Hamburger Menu Button
Thermo Fisher Scientific Logo
登录
没有账号?建立账号 注册
  • 产品
    • 抗体
    • 引物合成
    • GeneArt Gene Synthesis Instant Designer
    • TaqMan Assay and Array Search
    • PCR 设备和耗材
    • 色谱柱和纯化柱
    • 实验室离心机
    • 分子生物学试剂和试剂盒
    • 实验室塑料耗材及用品
    • 查看所有产品分类
  • 应用和技术
    • 色谱
    • 细胞转染和培养
    • 实时荧光定量PCR
    • 质谱
    • 实验室塑料耗材及用品
    • 电子显微镜
    • 蛋白质生物学
    • PCR
    • RNAi
    • 环境
    • 查看所有应用和技术
  • 服务
    • 定制服务
    • 企业级实验室信息化服务
    • 企业服务
    • 金融&租赁服务
    • 仪器服务
    • OEM和商业供应
    • 培训服务
    • 360° CDMO 和 CRO 服务
    • CDMO 服务
    • 临床试验 CRO 服务
    • 查看所有帮助和支持
  • 帮助和支持
    • 学习中心
    • 联系我们
    • 更改国家或地区
    • 查看所有帮助和支持
  • 热门产品
    • TaqMan Real-Time PCR Assays
      TaqMan 实时荧光定量 PCR 试剂盒
    • Antibodies
      抗体
    • Oligos, Primers & Probes
      寡核苷酸、引物、探针
    • GeneArt Gene Synthesis
      GeneArt 基因合成
    • Cell Culture Plastics
      细胞培养耗材
  • 联系我们
  • 货号直购
  • 订单查询
  • 查找文件&证书
Thermo Fisher Scientific Logo

Search

搜索全部或下列指定分类
Search button
          • 联系我们
          • 货号直购
          • 登录
            登录
            没有账号?建立账号 注册
            • 我的账号
            • 订单
            • 账单及发票查询
            • 定制产品及项目

          Disclaimer

          Clicking the images or links will redirect you to a website hosted by BenchSci that provides third-party scientific content. Neither the content nor the BenchSci technology and processes for selection have been evaluated by us; we are providing them as-is and without warranty of any kind, including for use or application of the Thermo Fisher Scientific products presented.

          • Primary Antibodies ›
          • TLR4 (CD284) Antibodies

          Invitrogen

          TLR4 Monoclonal Antibody (76B357.1)

          10个已发表图片
          13 篇参考文献
          查看其他64个TLR4 (CD284)抗体

          {{$productOrderCtrl.translations['antibody.pdp.commerceCard.promotion.promotions']}}

          {{$productOrderCtrl.translations['antibody.pdp.commerceCard.promotion.viewpromo']}}

          {{$productOrderCtrl.translations['antibody.pdp.commerceCard.promotion.promocode']}}: {{promo.promoCode}} {{promo.promoTitle}} {{promo.promoDescription}}. {{$productOrderCtrl.translations['antibody.pdp.commerceCard.promotion.learnmore']}}

          说明书
          实验方案
          问题与答案
          技术支持
          说明书
          实验方案
          问题与答案
          技术支持

          Cite TLR4 Monoclonal Antibody (76B357.1)

          • 抗体检测数据 (13)
          • 已发表图片 (10)
          TLR4 Antibody in Immunocytochemistry (ICC/IF)
          Group 53 Created with Sketch.
          TLR4 Antibody in Immunocytochemistry (ICC/IF)
          Group 53 Created with Sketch.

          图: 1 / 23

          {{ $ctrl.currentElement.advancedVerification.fullName }}
          {{ $ctrl.currentElement.advancedVerification.text }}

          TLR4 Antibody (MA5-16216) in ICC/IF

          Immunocytochemistry analysis of TLR4 in RH-30 cells. Samples were incubated with TLR4 monoclonal antibody (Product # MA5-16216) using a dilution of 1 µg/mL overnight at 4°C followed by anti-mouse Dylight 488 (Green) at a dilution of 1:1,000 dilution for 60 minutes. Cells were fixed in 4% paraformaldehyde for 10 minutes and permeabilized in 0.05% Triton X-100 in PBS for 5 minutes. Nuclei were counterstained with DAPI (Blue). Cells were imaged using a 100X objective and digitally deconvolved. {{ $ctrl.currentElement.advancedVerification.fullName }} 验证信息 View more
          已发表图片由___提供 benchsci-logo
          PMID: {{$ctrl.currentElement.benchSciPubmedId}}
          查看产品

          {{$ctrl.videoDesc}}

          {{$ctrl.videoLongDesc}}

          TLR4 Antibody in Immunocytochemistry (ICC/IF)
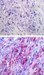
          TLR4 Antibody in Immunohistochemistry (Paraffin) (IHC (P))
          TLR4 Antibody in Immunohistochemistry (Paraffin) (IHC (P))
          TLR4 Antibody in Immunohistochemistry (Paraffin) (IHC (P))
          TLR4 Antibody in Immunohistochemistry (Paraffin) (IHC (P))
          TLR4 Antibody in Immunohistochemistry (Paraffin) (IHC (P))
          TLR4 Antibody in Immunohistochemistry (Paraffin) (IHC (P))
          TLR4 Antibody in Western Blot (WB)
          TLR4 Antibody in Western Blot (WB)
          TLR4 Antibody in Flow Cytometry (Flow)
          TLR4 Antibody in Flow Cytometry (Flow)
          TLR4 Antibody in Flow Cytometry (Flow)
          TLR4 Antibody in Flow Cytometry (Flow)
          TLR4 Antibody in Immunocytochemistry (ICC/IF)
          TLR4 Antibody in Immunocytochemistry (ICC/IF)
          TLR4 Antibody in Immunocytochemistry (ICC/IF)
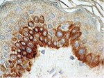
          TLR4 Antibody in Immunohistochemistry (IHC)
          TLR4 Antibody in Immunohistochemistry (IHC)
          TLR4 Antibody in Immunohistochemistry (IHC)
          TLR4 Antibody in Immunohistochemistry (IHC)
          TLR4 Antibody in Western Blot (WB)
          TLR4 Antibody in Western Blot (WB)
          TLR4 Antibody in Western Blot (WB)
          TLR4 Monoclonal Antibody (76B357.1)

          产品信息

          MA5-16216

          应用
          建议稀释比
          已发表文章

          免疫印迹 (WB)

          1-3 µg/mL
          查看5篇已发表文章 5篇已发表文章

          免疫组化 (IHC)

          -
          查看2篇已发表文章 2篇已发表文章

          免疫组化(石蜡) (IHC (P))

          5 µg/mL
          查看1篇已发表文章 1篇已发表文章

          免疫组化(冰冻) (IHC (F))

          1:500
          -

          免疫细胞化学 (ICC/IF)

          1:10-1:500
          查看3篇已发表文章 3篇已发表文章

          流式细胞分析 (Flow)

          1:10-1:500
          查看2篇已发表文章 2篇已发表文章

          酶联免疫吸附实验 (ELISA)

          0.5 µg
          -

          染色质免疫沉淀 实验 (ChIP)

          1:10-1:500
          -

          中和实验 (Neu)

          Assay-Dependent
          -

          点杂交 (DB)

          Assay-Dependent
          -

          In Situ Hybridization (ISH)

          Assay-dependent
          -
          产品规格

          种属反应

          Bovine, Human, Mammal, Mouse, Pig, Rat

          已发表种属

          C. elegans, Fungi, Human, Mouse

          宿主/亚型

          Mouse / IgG2b, kappa

          分类

          Monoclonal

          类型

          Antibody

          克隆号

          76B357.1

          抗原

          A portion of amino acids 100-200 of human TLR4.
          查看免疫原

          偶联物

          Unconjugated Unconjugated Unconjugated

          形式

          Liquid

          浓度

          1.0 mg/mL

          纯化类型

          Protein G

          保存液

          PBS

          内含物

          0.05% sodium azide

          保存条件

          Store at 4°C short term. For long term storage, store at -20°C, avoiding freeze/thaw cycles.

          运输条件

          Ambient (domestic); Wet ice (international)

          RRID

          AB_2537734

          产品详细信息

          Suggested positive control: intestine lysate (WB), ThP1, Ramos (flow).

          靶标信息

          TLR4 is member of the Toll like receptor (TLR) family which plays a fundamental role in pathogen recognition and activation of innate immunity. TLRs are highly conserved from Drosophila to humans and share structural and functional similarities. This receptor is most abundantly expressed in placenta, and in myelomonocytic subpopulation of the leukocytes. Mammalian cells respond to LPS by activating TLR4. TLR4 belongs to the multi-protein complex of lipopolysaccharide (LPS) receptor, containing CD14, LY96 and TLR4, and is involved in signal transduction events induced by lipopolysaccharide (LPS) found in most gram-negative bacteria. TLR4 aids in the recognition of pathogen-associated molecular patterns (PAMPs) that are expressed on infectious agents, and mediate the production of cytokines necessary for the development of effective immunity. The various TLRs exhibit different patterns of expression. Mutations in the TLR4 gene have been associated with differences in LPS responsiveness. Also, several transcript variants of the TLR4 gene have been found, but the protein coding potential of most of them is uncertain. TLR4 is expressed by peripheral blood monocytes and a small population of B-cells and is also expressed in human placenta. Studies with TLR4-deficient mice indicate that the main ligand for TLR is lipopolysaccharide. Consequently, these mice also showed increased susceptibility to Gram-negative sepsis.

          仅用于科研。不用于诊断过程。未经明确授权不得转售。

          生物信息学

          蛋白别名: CD284; homolog of Drosophila toll; hToll; lipopolysaccharide response; TLR4; Toll-like receptor 4; toll-like receptor 4 immunity-related protein; Toll4

          查看更多 收起

          基因别名: ARMD10; CD284; Lps; Ly87; Ran/M1; Rasl2-8; TLR-4; TLR4; TOLL

          查看更多 收起

          UniProt ID: (Human) D1CS53, (Bovine) Q9GL65, (Mouse) Q9QUK6, (Rat) Q9QX05

          查看更多 收起

          Entrez Gene ID: (Pig) 399541, (Human) 7099, (Bovine) 281536, (Mouse) 21898, (Rat) 29260

          查看更多 收起

          功能
          lipopolysaccharide receptor activity transmembrane signaling receptor activity NAD(P)+ nucleosidase activity NAD+ nucleotidase, cyclic ADP-ribose generating lipopolysaccharide binding receptor activity protein binding phosphatidylinositol 3-kinase binding
          参与通路
          activation of MAPK activity microglial cell activation activation of innate immune response toll-like receptor signaling pathway B cell proliferation involved in immune response immune system process nitric oxide production involved in inflammatory response regulation of dendritic cell cytokine production MyD88-dependent toll-like receptor signaling pathway innate immune response-activating signal transduction leukotriene metabolic process inflammatory response response to oxidative stress signal transduction activation of NF-kappaB-inducing kinase activity I-kappaB phosphorylation response to bacterium positive regulation of platelet activation positive regulation of B cell proliferation lipopolysaccharide-mediated signaling pathway response to lipopolysaccharide detection of lipopolysaccharide interferon-gamma production negative regulation of interferon-gamma production negative regulation of interleukin-17 production negative regulation of interleukin-23 production negative regulation of interleukin-6 production negative regulation of tumor necrosis factor production positive regulation of chemokine production positive regulation of interferon-alpha production positive regulation of interferon-beta production positive regulation of interferon-gamma production positive regulation of interleukin-1 production positive regulation of interleukin-10 production positive regulation of interleukin-12 production positive regulation of interleukin-6 production positive regulation of interleukin-8 production positive regulation of tumor necrosis factor production positive regulation of stress-activated MAPK cascade toll-like receptor 4 signaling pathway macrophage activation positive regulation of NF-kappaB import into nucleus positive regulation of tumor necrosis factor biosynthetic process positive regulation of apoptotic process positive regulation of I-kappaB kinase/NF-kappaB signaling positive regulation of DNA binding positive regulation of interleukin-12 biosynthetic process innate immune response positive regulation of MHC class II biosynthetic process positive regulation of interferon-beta biosynthetic process positive regulation of interleukin-1 biosynthetic process positive regulation of interleukin-13 biosynthetic process positive regulation of interleukin-6 biosynthetic process positive regulation of interleukin-8 biosynthetic process positive regulation of nitric oxide biosynthetic process response to ethanol mast cell activation positive regulation of transcription from RNA polymerase II promoter positive regulation of JNK cascade positive regulation of lymphocyte proliferation regulation of cytokine secretion regulation of inflammatory response positive regulation of inflammatory response positive regulation of peptidyl-tyrosine phosphorylation defense response to Gram-negative bacterium positive regulation of sequence-specific DNA binding transcription factor activity positive regulation of NF-kappaB transcription factor activity positive regulation of nitric-oxide synthase biosynthetic process regulation of sensory perception of pain intestinal epithelial structure maintenance positive regulation of macrophage cytokine production negative regulation of ERK1 and ERK2 cascade positive regulation of ERK1 and ERK2 cascade positive regulation of nucleotide-binding oligomerization domain containing 1 signaling pathway positive regulation of nucleotide-binding oligomerization domain containing 2 signaling pathway response to fatty acid cellular response to lipopolysaccharide cellular response to lipoteichoic acid interleukin-1 beta production positive regulation of NLRP3 inflammasome complex assembly MyD88-independent toll-like receptor signaling pathway immune response I-kappaB kinase/NF-kappaB signaling positive regulation of gene expression astrocyte development detection of fungus negative regulation of MyD88-independent toll-like receptor signaling pathway TRIF-dependent toll-like receptor signaling pathway T-helper 1 type immune response defense response to bacterium negative regulation of osteoclast differentiation interleukin-1 beta secretion necroptotic process cellular response to mechanical stimulus apoptotic signaling pathway response to hypoxia skeletal muscle contraction response to toxic substance response to activity immunoglobulin mediated immune response response to retinoic acid response to progesterone response to insulin response to morphine response to glucocorticoid cellular response to retinoic acid response to gold nanoparticle
          It has to be done as per old AB suggested Products section.
          guarantee_icon

          性能保障

          只要您发现Invitrogen抗体在实验中的表现与网站或说明书的所述内容不符,您即可享受免费退换货服务。*

          了解更多
          help_icon

          随时为您服务

          获取常见问题的专家解答,或者直接联系我们的技术专家,咨询应用、设备、常规产品使用问题。

          联系技术支持
          订购 Plus Icon Minus Icon
          • 订单状态查询
          • 订单支持
          • 货号直购
          • 现货供应中心
          • 电子采购
          支持 Plus Icon Minus Icon
          • 帮助&支持
          • 联系我们 - 400 820 8982
          • 技术支持中心
          • 查找文件&证书
          • 报告网站问题
          资源 Plus Icon Minus Icon
          • 学习中心
          • 促销
          • 活动&研讨会
          • 社交媒体
          关于赛默飞 Plus Icon Minus Icon
          • 关于我们
          • 招聘 招聘
          • 投资者关系 投资者关系
          • 新闻 新闻
          • 社会责任 社会责任
          • 商标
          • 政策和通知
          品牌 Plus Icon Minus Icon
          • Thermo Scientific
          • Applied Biosystems
          • Invitrogen
          • Gibco
          • Ion Torrent
          • Patheon
          • PPD
          • 服务条款
          • 隐私政策
          • 定价和运输保险政策
          © 2006-2025 Thermo Fisher Scientific Inc. All rights reserved. All trademarks are the property of Thermo Fisher Scientific and its subsidiaries unless otherwise specified.
          China flag icon
          China
          本网站销售的所有产品均不得用于人类或动物之临床诊断或治疗,仅可用于工业或者科研等非医疗目的。
             电子营业执照 | 经营证照公示 | ICP备案号:沪ICP备11003924号 | 沪公网安备 31011502006935号

          Your items have has been added!


          Host server : magellan-search-blue-555ccb4fbd-hx276:80/100.66.78.66:80.
          git-commit: 75f0c7d4cb44686da2af39b21f2e6446a20282e2
          git-url: https://github.com/thermofisher/magellan-search
          git-branch: release/2.41.0-2025.12.99-1.0